Cookie Consent byPrivacyPolicies.comEndo du jour - Eugenol

Endo du jour

carident

14/09/2017 à 16h55

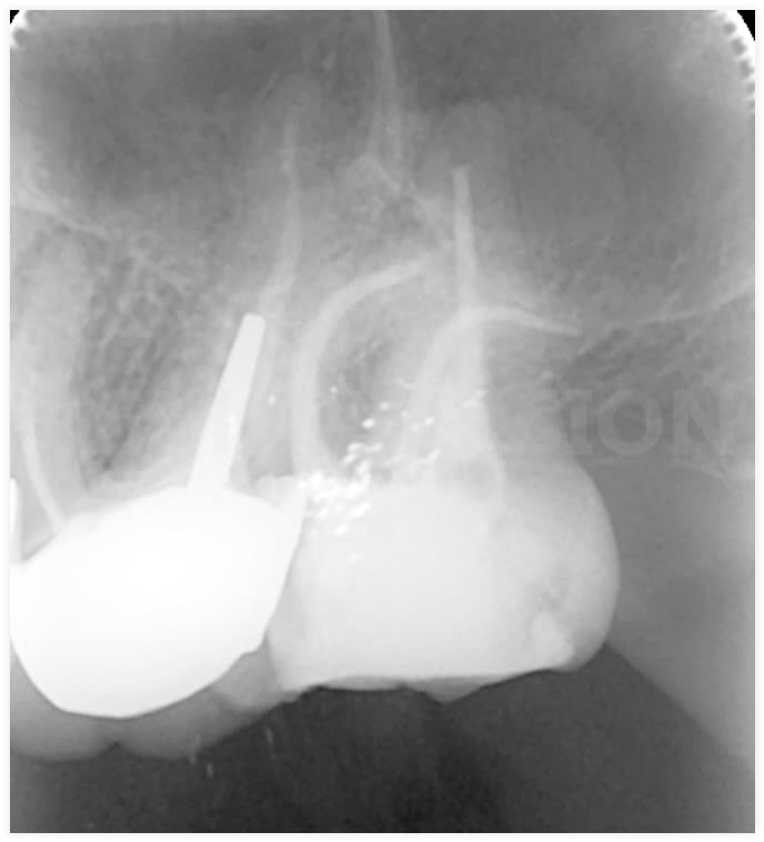
Un grand merci au Reciproc blue!
J'ai pu passer le jaune dans 2 canaux, et le noir dans le DV qui présentait la courbure la plus marquée...

Hpyffycox3g0fjpgvl3p - Eugenol

2 n2dlt7 - Eugenol
2+2

14/09/2017 à 17h03

Bravo
un grand merci a mon inspiration et mon grand talent

Dujour gf3ekh - Eugenol

lachmar

14/09/2017 à 17h50

carident écrivait:
--------
> Un grand merci au Reciproc blue!
> J'ai pu passer le jaune dans 2 canaux, et le noir dans le DV qui présentait la
> courbure la plus marquée...

superbe

mais sans vouloir gacher ta joie , il faut en remttre un petit coup en palatin ... ca tombe bien c'est pas le plus compliqué

bravo pour les autres

t'es sur qu'il y a pas une deuxième MV ? ))))))


lachmar

14/09/2017 à 17h51

2+2 écrivait:
---
> Bravo
> un grand merci a mon inspiration et mon grand talent


que celui qui n'a jamais fait ca te jette la première pierre ))))


carident

14/09/2017 à 18h14

lachmar écrivait:
-------
> mais sans vouloir gacher ta joie , il faut en remttre un petit coup en palatin
> ... ca tombe bien c'est pas le plus compliqué
>

Je ne pense pas. D'après le localisateur du VDW gold reciproc, je suis bon en palatin (mesure faite juste avant l'obturation).

> bravo pour les autres
>
> t'es sur qu'il y a pas une deuxième MV ? ))))))

Pas vu...

Screen shot 09 14 17 at 06 - Eugenol

Blue eye thumb medium dx1i0w - Eugenol
bill

14/09/2017 à 23h35

carident écrivait:
--------
> Un grand merci au Reciproc blue!
> J'ai pu passer le jaune dans 2 canaux, et le noir dans le DV qui présentait la
> courbure la plus marquée...

Joli !
Couillu d'y aller en rotation ! ;-)
Tu as passé quoi avant ?

--



carident

15/09/2017 à 13h00

bill écrivait:
----
> carident écrivait:
> --------
> > Un grand merci au Reciproc blue!
> > J'ai pu passer le jaune dans 2 canaux, et le noir dans le DV qui présentait la
> > courbure la plus marquée...
>
> Joli !
> Couillu d'y aller en rotation ! ;-)
> Tu as passé quoi avant ?
>

Je commence toujours les canaux plus ou moins compliqués par les limes FKG iRace Plus
iRace Plus

"En complément de la séquence de base, deux instruments très flexibles (de conicité .02) permettent le traitement des cas plus difficiles (canaux fortement courbés, étroits ou calcifiés).
2 instruments: R1a 20/.02 et R1b 25/.02
Vitesse recommandée: 600 tr/min
Couple: 1.5 Ncm"

Si les iRace Plus ne passent pas, j'utilise les ScoutRace de chez FKG

"ScoutRace est une séquence de trois instruments Race de conicité .02 et de diamètres ISO 10, 15 et 20. Elle est dédiée au cathétérisme mécanisé des canaux à courbure(s) sévère(s) ou de type « S ». Il s’agit d’instruments de premier passage utilisés après la détermination de la longueur de travail avec les limes K manuelles ou un localisateur d’apex."

Ensuite, réciproc blue.

Mais ce qui est incroyable c'est d'arriver à l'apex avec des instruments mécanisés de 40 et 50/100 dans des racines aussi courbés...


Aiguille cyboyt - Eugenol
fatboy

15/09/2017 à 13h04

"Mais ce qui est incroyable c'est d'arriver à l'apex avec des instruments mécanisés de 40 et 50/100 dans des racines aussi courbés..."

Pourquoi aussi gros?


carident

15/09/2017 à 13h21

fatboy écrivait:
------
> "Mais ce qui est incroyable c'est d'arriver à l'apex avec des instruments
> mécanisés de 40 et 50/100 dans des racines aussi courbés..."
>
> Pourquoi aussi gros?

Parce que plus c'est gros, mieux c'est... ;-)

http://www.dentistrytoday.com/endodontics/1049--sp-1111186977

BIGGER IS BETTER

“Bigger is better” means instrumenting apical canals to the correct size, a size that is usually larger than traditionally accepted. It means that bigger instruments are required to clean the canal 3 to 5 mm coronal to the constriction where the canal diameter is considerably larger than that of the constriction. Bigger is better does not apply to the apical constriction. The apical constriction, when present, is the narrowest part of the canal and should be instrumented (if desired) to a size just slightly larger than its existing “natural” diameter. And finally, bigger is better certainly does not mean over-instrumenting canals and subjecting roots to possible fracture. Because most of the chewing forces are concentrated coronally, a slight over-enlargement of the apical third of the canal (if it occurs) should not be clinically significant.

Table 2. Suggested maxillary apical preparation sizes (ISO/ADA sizes).

http://www.dentistrytoday.com/Media/EditLiveJava/1003_Senia_02.jpg


Table 3. Suggested mandibular apical preparation sizes (ISO/ADA sizes).

http://www.dentistrytoday.com/Media/EditLiveJava/1003_Senia_03.jpg

Our goal is larger and cleaner canals apically without removing excessive dentin coronally. This can be accomplished by using a flexible material (NiTi), a flexible noncutting shaft, and a short blade with a noncutting pilot tip. In the authors’ opinion, this design is best suited to follow the canal. Practitioners have been conditioned to believe that apical canal sizes are small even when research shows otherwise (Tables 2 and 3). If skeptical about the sizes given, we ask you to look at the very tip of instruments, sizes 20 through 35, then ask yourself if canals are really that small. Most likely you will appreciate just how small these sizes really are and intuitively accept the fact that apical canals are larger in most cases.


Avatar transparent iqadnc - Eugenol
adhoc

15/09/2017 à 16h50

Carident, lachmar a repéré un petit manque en palatin, tu sais tres bien que le localisateur d'apex a des plages d'erreur assez importantes, surtout lors d'un petit retrecissement canalaire .
J'ai améilloré le contraste de ta radio pour mieux voir ce palatin. En effet... Ce qui ne veut pas dire forcément qu'on peut faire mieux!
c'est une horreur sur pattes, ta molaire, comme sait bien le faire mere nature pour nous faire suer. bravo.

Carident qi0wf4 - Eugenol

carident

15/09/2017 à 19h31

adhoc écrivait:
-----
> Carident, lachmar a repéré un petit manque en palatin, tu sais tres bien que le
> localisateur d'apex a des plages d'erreur assez importantes, surtout lors d'un
> petit retrecissement canalaire .
> J'ai améilloré le contraste de ta radio pour mieux voir ce palatin. En effet...
> Ce qui ne veut pas dire forcément qu'on peut faire mieux!
> c'est une horreur sur pattes, ta molaire, comme sait bien le faire mere nature
> pour nous faire suer. bravo.

Merci.

En fait, je vois bien le dôme apicale radiologique qui est à 2mm de l'extrémité de mon cône de gutta, cela dit, le dome apicale radiologique de correspond pas forcément à l'apex... J'ai tendance à plus croire le localisateur d'apex. Cela dit, je vais avoir un cône beam bientôt, je contrôlerais...


Aiguille cyboyt - Eugenol
fatboy

16/09/2017 à 08h00

@carident,
Merci, j'ai appris quelque chose aujourd'hui. Mais, du coup, la R25 comme instrument unique c'est du travail de sous-équipé?


6szjws718sv1jksw54v4mpj3a6cu - Eugenol
vulpi

16/09/2017 à 09h06

fatboy écrivait:
------

> Merci, j'ai appris quelque chose aujourd'hui. Mais, du coup, la R25 comme
> instrument unique c'est du travail de sous-équipé?

Non, si tu crois en ton hypochlorite et que ta prépa a ménagé une conicité suffisante pour l'amener à l'apex.
C'est une histoire de chapelles, les scandinaves aiment bien les gros diamètres + butées, les US sont plus irrigation+conicité.