Cookie Consent byPrivacyPolicies.com6 ou 8 mm ? - Eugenol

6 ou 8 mm ?

Icon poker h4nm2d - Eugenol
jeff

25/09/2017 à 13h12

on dit qu'il ne faut pas traiter ses proches, mais bon..

Pour une 16, j’hésite entre un 4.5 x 6, et 4.5 x 8.

Sachant que je ne suis pas tres à l'aise avec les summers ( les lift, sans probleme ! ). j'ai fait mes deux premier il y a peu.

avec la trousse DASK, et prf, pas de biomat.

Là, c'est pour mon épouse , la membrane est super fine et le plancher en biais.
Un implant de 6 mm est il suffisant pour une 16 ?

Wf0wk8hny18uf74rsyta - Eugenol

Pierre logo clykpp - Eugenol
Denteo33

25/09/2017 à 13h19

À titre perso, ici 8mm sans problème avec des éponges collagène comme comblement.

Pour une molaire unitaire, 8mm en longueur et 4,5 en diamètre, je pense que c'est le minimum

Les 6mm, je les réserverais aux cas particulièrement complexes et plural.


060108 005 nrfjgc - Eugenol
NaFr

25/09/2017 à 13h41


Les implants courts ça marche pas mal, ici un BICON 5x6 sur une 17 d'un confrère

--
Francis N.

Del phi 17 q75mmc - Eugenol

Dolan donald duck weird wqjham bw43ju - Eugenol
GéPé

25/09/2017 à 15h35

Les 6 j'en ai posé pas mal, il faut faire très attention au rapport hauteur couronne clinique / longueur de l'implant. J'ai eu au début le cas d'un patient qui m'a fait une fracture de l'os vestibulaire avec luxation de l'implant sur une 27 3 semaines après la pose de la couronne... L'axe était bon mais hauteur couronne plus d'un cm, pour un implant de 6mm c'est pas possible.
Maintenant je les réserve que pour les cas mandibulaires ou pluraux.

Ici je fais un summers et un implant de 8. Tu peux aussi faire une voie latérale.


Photo pluton1b h9n4ea - Eugenol
pluton

25/09/2017 à 18h40

perso, je suis un adepte de la simplicité...un 6mm bien calé contre la corticale sinusienne, je prends...


elfiss

26/09/2017 à 01h05

8 mn avec un summers (idealement 10)
Au pire en cas de perforation de la membrane et d'un comblement impossible l'implant aura un ancrage bi-cortical, ce qui est plus rassurant qu'un 6mn (il est aussi possible de laisser cicatriser et reintervenir)


Generique fraisage r2rxmm - Eugenol
lardonbis

26/09/2017 à 08h45

de ce qu'on m'a appris :
- un implant disperse les contraintes dans l'os sur ses 3 premiers mm.
- un implant avec 3 mm de spires exposées doit être déposé.
Donc je dirais 6mm

maintenant y'a la réalité clinique... avec le cas de Gépé...


Dolan donald duck weird wqjham bw43ju - Eugenol
GéPé

26/09/2017 à 09h04

elfiss écrivait:
------

> Au pire en cas de perforation de la membrane et d'un comblement impossible

Pas de comblement en Summers...


Generique fraisage r2rxmm - Eugenol
lardonbis

26/09/2017 à 09h17

de toute façon c'est ta femme, donc ça va foirer, autant faire simple :D


chicopathe57

26/09/2017 à 13h49

pluton écrivait:
------
> perso, je suis un adepte de la simplicité...un 6mm bien calé contre la corticale
> sinusienne, je prends...

pareil.
Vu l'épaisseur/qualité de nonoss sur la coupe frontale, ton Diam4.5 en 6mm aura une ostéointégration de bourrin, tu peux y aller les yeux fermés, franchement c'est du velours, là,non?!
C'est quoi qui te tracasse?




Olieve

26/09/2017 à 18h20

Jamais eu de soucis avec les 6 mm

Ici un ID Interactive 6mm : le jour de la pose de l'implant, à 4 mois après pose de la couronne, Bite-wing à 3 ans que je viens de faire à l'instant.

4062014 zn6qcy - Eugenol
2102014 daiinc - Eugenol
1 hvpmfw - Eugenol

Bubo bubo portrait xqn39s - Eugenol
oiseaudenuit

26/09/2017 à 20h48

le 8 sans hésitation étant donné qu'avec le 6 tu perforeras quand même.


chicopathe57

26/09/2017 à 22h25

oiseaudenuit écrivait:
------------
> le 8 sans hésitation étant donné qu'avec le 6 tu perforeras quand même.

Et donc, la logique?
1) ton 8 ne tiendras pas plus.
2) La membrane devra recouvrir une surface implantaire plus grande. Le risque de merdouille est un poil plus élevé de recouvrir 3mm de titane plutôt que 1mm, pourquoi prendre ce (très modéré) risque?
Pourquoi pas mettre un 16mm dans ce cas?
moi, je dis ça, imagine devoir expliquer ton choix de 8mm au cours d'une expertise en cas d'échec implantaire chez un patient mécontent.
Et pis là c'est sa femme...oh la merde en cas de divorce qui se passe mal!


Bubo bubo portrait xqn39s - Eugenol
oiseaudenuit

26/09/2017 à 23h12

Si t'as 6,5 mm de partout, le débat est pertinent car on discute perfo ou non perfo. Ce n'est pas le cas ici. Dans sa planif, on voie une perfo timide du 6 mm qui n'est pas réaliste, on ne fait pas de demie perfo. Le risque est d'hésiter, sous-forer et ne pas assez enfouir son implant ou de surforer. Avec le 8, tu ne te poses pas de questions et tu fais ça proprement. Il n'est pas rare de voir à 1-2 ans une fine couche d'os se former dans des cas comme ça.


Photo pluton1b h9n4ea - Eugenol
pluton

26/09/2017 à 23h39

non, tu ne perfores pas dans ce cas... tu commences ton forage normal et quand tu sens la corticale sinusienne, tu stoppes le forage et tu passes au foret suivant....
quand tu as fait ta séquence, tu prends l'ostéotome convexe le plus proche du diamètre de forage optimum que tu règles à 6mm et tu tapotes gentiment pour déformer la corticale...
ne reste plus qu'à visser l'implant...
pas d'effraction sinusienne et un implant qui a un contact et un assise optimale...

pourquoi faire compliqué et plus risqué quand on peut faire simple...


chicopathe57

27/09/2017 à 00h14

Je radote mais en cas d'expertise (ex: le patient qui ne supporte pas le titane..., 2mm qui se balade dans le sinus, même sans aucun signe clinique/ radiologique, par principe tu seras responsable)
Mais t'as raison, autant perforer la membrane franchement sans se poser de question pour éviter de foirer sa pose MAIS Je fore à 8 et pose un 6.
Pourquoi le débat perfo/non perfo serait pertinent du moment ou il n'y a pas de risque de perforer? Autant perforer et se donner un peu de jeu pour enfouir un peu plus l'implant si besoin ( 1/4 de tour pour une stabilité primaire acceptable, par ex...)


Bubo bubo portrait xqn39s - Eugenol
oiseaudenuit

27/09/2017 à 01h09

Pluton, je partais de l'hypothèse que quelqu'un qui déclare ne pas être à l'aise avec les Summer n'était pas forcément équipé d'ostéotomes. Après s'il veut taper sur la tête de sa femme avec un maillet, ça les regardes.

Chicopathe57, Je ne suis pas expert mandaté, peut être l'es-tu toi même mais il me semble qu'il y a une biblio abondante sur le fait qu'un "petit" dépassement (< 3 mm) était tout à fait tolérable. Il y aurait une muqueuse d'apparence louche, un résidu de pate canalaire, ... OK je poserai un 6 avec un ostéotome. Mais là, tout parait clean.
Dernière remarque, il serait peut être judicieux de choisir un implant légèrement (-0,5 mm) plus étroit. Il y a peu d'os, autant le préserver.


Aiguille cyboyt - Eugenol
fatboy

27/09/2017 à 05h11

Dans ce cas la, je mets un 8, idealement avec un ostetome, mais sans, j'ai les memes resultats. Pas de materiau, meme pas du gelatemp. 4.5 de largeur me convient, tu as assez d'epaisseur en vestibulaire. Avoir un diametre consequent permet de ne pas avoir un implant long en gardant la meme surperficie de contact avec l'os. C'est quand meme une premiere molaire maxillaire, si on pouvait mettre un 3x6 ca ce saurait.


albert

27/09/2017 à 12h54

Dans le doute il est préférable de faire ce que l'on sait bien faire : si tu es à l'aise avec le sinus lift latéral pose un implant de 10 mm.
En complément de ce qui a été dit, pour le sinus crestal il existe des forêts qui provoque une osteocondensation apicale de l'os ce qui te permet de soulever sans effraction l'os apicale à l'implant sur 2 mm. (forêt VERSAH).


Icon poker h4nm2d - Eugenol
jeff

27/09/2017 à 12h56

et bien les amis, nous n'avons pas atteint le consensus scientifique :)


chicopathe57

27/09/2017 à 13h48

oiseaudenuit , je suis pas expert, c'est juste que si 2mm de titane dans le sinus ne pose pas de problème, cela n'en fait pas pour autant une justification scientifique. Dans ce cas, s'il ne m'apporte rien pourquoi le faire dépasser?

Jeff, pour répondre à ta question, oui, un implant de 6mm est suffisant pour certains d'entre nous, et comme le suggère oiseaudenuit, la bibliographie peut t'aider dans ton choix



Icon poker h4nm2d - Eugenol
jeff

29/09/2017 à 13h50

tout chaud.
5x6 mm.
Contrôle régulier du fond du puits, et après le passage du dernier foret, je sens que c'est mou en distal.
le soufflement pas le nez ne produit pas de bulle, petit bout d'éponge hémostatique pour éviter que le filetage n'accroche, et pose.
il y plus qu'attendre...
Merci des avis exprimés.

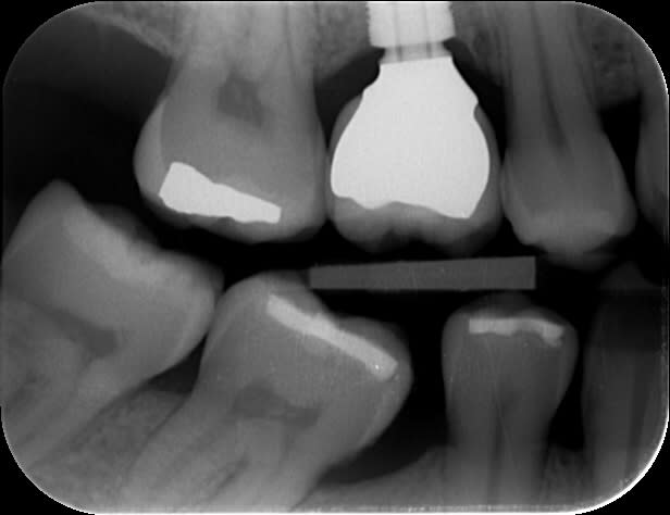
6 mm uzbccs - Eugenol

Generique fraisage r2rxmm - Eugenol
lardonbis

29/09/2017 à 14h07

cette forme trapue avec la connectique à 1mm du nonos je trouve que ça inspire confiance.


Images 1 vwmtnm - Eugenol
Castor

01/10/2017 à 20h54

Moi j'aime bien les summers sans rien...

Img 3460 qvfuqe - Eugenol

Utilisateur banni

02/10/2017 à 23h21

Dites voir : ne vaut il pas mieux poser un 8-10 mm après un summers plutôt qu'un 6 mm dans le cas où on peut être amené à perdre 2-3 mm d'os pour des raisons x ou y ?
Perdre 2-3 mm sur un implant de 10mm c'est pas trop grave. Perdre 2-3 mm sur un implant de 6 ça devient tout de suite plus embêtant


12