Cookie Consent byPrivacyPolicies.com6 ou 8 mm ? - Eugenol

6 ou 8 mm ?

moritooth

02/10/2017 à 23h45

chicopathe57 écrivait:
------------
> oiseaudenuit , je suis pas expert, c'est juste que si 2mm de titane dans le
> sinus ne pose pas de problème, cela n'en fait ...>

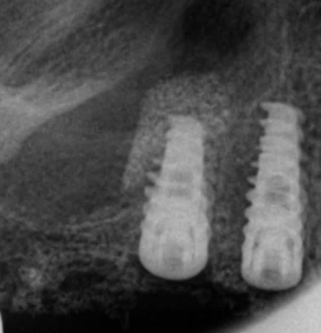
Les 2 mm ne sont pas dans le sinus puisqu'après ossification de la zone entre l'ancien plancher et la membrane soulevée, l'apex de l'implant ne sera plus dans la cavité sinusienne.


moritooth

02/10/2017 à 23h49

junior® écrivait:
-------
> Dites voir : ne vaut il pas mieux poser un 8-10 mm après un summers plutôt qu'un
> 6 mm dans le cas où on peut être amené à perdre 2-3 mm d'os pour des raisons x
> ou y ?
> Perdre 2-3 mm sur un implant de 10mm c'est pas trop grave. Perdre 2-3 mm sur un
> implant de 6 ça devient tout de suite plus embêtant

Quand tu as perdu 2 à 3 mm d'os, tu perdras le reste. Certes le 10mm resistera un peu plus longtemps, mais pas tant que ça, car si les 2 ou 3 premiers mm sont longs à perdre, après ça va beaucoup plus vite !


Utilisateur banni

03/10/2017 à 06h35

Est ce que pour toi tout implant qui perd 3 mm d'os perdra inévitablement de l'os jusqu'à l'apex? (Avec ou non une intervention pour traiter cette perte d'os)
Est ce qu'une dent par exemple qui perd de l'os sur 3 mm va perdre à tous les coups de l'os jusqu'à l'apex ?

il me semble avoir vu des implants posés par des confrères (je n'en doute pas, ça m'arrivera aussi) qui ont perdu 3 mm d'os et l'implant est toujours en place 10 ans après la pose. Une mauvaise gestion de l'épaisseur d'os au niveau du col a du se produire par exemple, du coup perte d'os sur 3 mm, car os traumatisé et mal irrigué. Puis sur les 2/3 inférieures de l'implant on a d'avantage de l'épaisseur d'os, du coup quasi plus de perte d'os. C'est un exemple parmi d'autres


chicopathe57

03/10/2017 à 08h42

moritooth écrivait:
---------
> Les 2 mm ne sont pas dans le sinus puisqu'après ossification de la zone entre
> l'ancien plancher et la membrane soulevée, l'apex de l'implant ne sera plus dans
> la cavité sinusienne.

D'accord avec toi si la membrane est effectivement soulevée, mais dans la façon de faire d'oiseaudenuit ou il passe "proprement" le foret, la membrane a plus de chance de se déchirer plutot que de se décoller. Dans ce cas, il y aura une exposition partielle de l'implant si l'implant est trop long. Pas grave, la muqueuse se fibrosera au titane mais il n'y aura presque pas de remplissage osseux tout autours de l'implant, d'ou mon expression "dans le sinus", sous-entendu y'a pas d'os autours.

Pourquoi chercher 1à 2mm de plus, c'est pour la stabilité primaire, non?
Quand tu vois la largeur d'os sur la coupe frontale, la stabilité est atteinte avec la surface du forage
donc aucun problème à dépasser, mais aucun intérêt non plus.


Generique fraisage r2rxmm - Eugenol
lardonbis

03/10/2017 à 08h58

question bête: si je dépasse de 10mm dans le sinus en dégommant tout ( un jour ou je suis encore plus mauvais que d'habitude) , la muqueuse, elle grimpe?


moritooth

03/10/2017 à 09h11

junior® écrivait:
-------
> Est ce que pour toi tout implant qui perd 3 mm d'os perdra inévitablement de
> l'os jusqu'à l'apex? (Avec ou non une intervention pour traiter cette perte
> d'os)
> Est ce qu'une dent par exemple qui perd de l'os sur 3 mm va perdre à tous les
> coups de l'os jusqu'à l'apex ?
>

La perte osseuse autour d'un implant et autour d'une dent ne suivent pas, à mon avis, les memes mecanismes. Quand tu as un cratère de 3mm qui se forme autour du col de l'implant, sa durée de vie va etre conditionnée par le niveau d'hygiène et l'état des défenses du patient.

Alors effectivement on voit des implants qui sont posés au milieu d'une cuvette osseuse, mais qui ne bougent pas tant qu'il reste quelques spires ankylosées. Mais la destruction osseuse est telle que c'est inreprenable par derrière, surtout à la mandibule.

Je pense que tant que c'est un col lisse qui est exposé on a pas de problème, mais dés que tu as une ou deux spires ou du granuleux exposé c'est cuit.


dov

04/10/2017 à 11h04

Une autre possibilite:Vous avez une idee du procede utilise?
On commence avec un plancher sinusien de 4.5 mm,On pose un implant de 4,2 sur 10 mm,dans la meme seance.(rx jour 0)

Inger aviva yi6sah - Eugenol

dov

08/10/2017 à 11h38

Bon pas de reaction.
Abord crestal par la methode DENSAH.


Utilisateur banni

08/10/2017 à 12h20

T'as rajouté du biomatériau ?
Je pensais que ce genre de forêts ça permettait de soulever sans ajout de matériau.


Icon poker h4nm2d - Eugenol
jeff

09/10/2017 à 12h27

J'ai cherché un peu sur le net, et rien trouvé sur tes forets DENSAH.
Tu aurais un lien ?


Utilisateur banni

09/10/2017 à 13h53

https://versah.com


zamzamleroi

09/10/2017 à 22h48

Fou le site c est les lentulos de l implanto ... après j ai du mal à voir comment les cellules osseuses restent viables surtout dans les cas d expension ca a l air assez violent. Au niveau des sensations ça donne quoi ?


12