Cookie Consent byPrivacyPolicies.comOccluso? - Eugenol

Occluso?

Dprtmuluo7sk4wxn8aabgsxy7sde - Eugenol
Pervers Pépère

13/12/2017 à 14h35

junior® écrivait:
-------
> Tu me conseilles quoi pour ce cas ?

De mettre les photos à l'endroit ;))

m'en vais !


Vw campersurfvan bmnk1q - Eugenol
enlaye

13/12/2017 à 14h55

@ Sethef
Il avait oublié 1 chose primordiale ,le gonz , avant meme de sortir le papier bleu :
C est de lui demander ce qu elle sentait tout simplement .
Le papier etant là pour confirmer et visualiser .

L occluso , c est savoir ecouter.
Savoir ecouter les gens ( et decoder)
Et savoir ecouter les dents qui claquent
,c est 90 % du boulot , comme en prothese totale , pareil.


Nouveau image bitmap fz77zh - Eugenol
Sethef

13/12/2017 à 15h14

Ma dernière titulaire disait que la couronne définitive, c'était comme des chaussures neuves, fallait que ça gêne un peu au début. Et assez curieusement, les patients n'avaient pas l'air bien dans leurs baskets.


6szjws718sv1jksw54v4mpj3a6cu - Eugenol
vulpi

13/12/2017 à 15h16

En complète c'est lors de l'enregistrement du rim qu'il faut être malin, tu oublies les bases en bouche et papote, si le patient est beau et ne savonne ni de droite ni de gauche et qu'en plus c'est franc et répétitif, t'as tout bon, il n'y a pas à manipuler ou si peu.


Generique fraisage r2rxmm - Eugenol
lardonbis

13/12/2017 à 15h20

Sethef écrivait:
------
> Ma dernière titulaire disait que la couronne définitive, c'était comme des
> chaussures neuves, fallait que ça gêne un peu au début. Et assez curieusement,
> les patients n'avaient pas l'air bien dans leurs baskets.

-me prend pas pour un con ça te gêne là !
-ben ? ça va se faire non?

Chez moi ils sont bien dressé par les anciens. ils me cachent tout de peur que leur meule les ratounes ou pour me faire plaisir. Du coup je demande plus je tartine de bleu.


Utilisateur banni

13/12/2017 à 15h27

enlaye écrivait:
------
> Pas de mylolyses , parodonte en acier trempé , cerveau calme , ça fonctionne
> apparemment .
> Tu remplaces ce qui manque , tranquille .
>
> Apres en haut , il ne doit pas y avoir beaucoup d os en vest ( 12 ) .
> Alors là c est embetant si tune fais pas 1 implant mais un bridge ou autre ,
> il faut enregistrer les trajets de fermeture , et tous les mvts , sur la table
> incisive et se les mettre de coté avant de toucher quoi que ce soit .

Oui je fais un implant sur la latérale et un appareil à la mandibule


6szjws718sv1jksw54v4mpj3a6cu - Eugenol
vulpi

13/12/2017 à 17h14

Un appareil, tu es cuisinier?


6szjws718sv1jksw54v4mpj3a6cu - Eugenol
vulpi

13/12/2017 à 18h29

Tu nous montreras le chassis de PAP? suis curieux.


Vw campersurfvan bmnk1q - Eugenol
enlaye

13/12/2017 à 19h30

Huuuuuuu y a Vulpi qui envoie :-)


Utilisateur banni

13/12/2017 à 19h46

vulpi écrivait:
-----
> Tu nous montreras le chassis de PAP? suis curieux.

Bin dis moi :) crache le morceau.


6szjws718sv1jksw54v4mpj3a6cu - Eugenol
vulpi

13/12/2017 à 19h56

peux pas... la bouche pleine... serait pas poli ... pizza... patrimoine mondial;-)

Tu nous montreras le tracé en vue linguale et le montage des dents.


Utilisateur banni

13/12/2017 à 20h14

Allez dis moi .... en vue linguale ?
je vais te faire une barre + barre cingulaire... c’est quoi le souci?
Mais pour la correction occlusale vous proposez quoi ?:)))


6szjws718sv1jksw54v4mpj3a6cu - Eugenol
vulpi

13/12/2017 à 20h18

Toi c'était Johnny, moi c'était... pas plus original d'ailleurs, sociologique plutôt, ah c'est pas facile! je te comprends.



Tu vas devoir composer, as tu fait un tracé? au moinsss ce n'est pas le protho qui le fait?-)))


Utilisateur banni

13/12/2017 à 20h23

Allez j’ai fait des empreintes d’etude :))
Elle a la gueule de travers . Donc faut bien lui replacer tout ça avant ... c’est pour ça que j’attendais qu’Enlaye nous fasse un petit topo.


Utilisateur banni

13/12/2017 à 20h51

Vous pensiez que j’allais faire les prothèses comme ça :))) , hein ? Tel est pris qui croyait prendre :) une petite perche et un hameçon lancé et op on embarque du monde :)


6szjws718sv1jksw54v4mpj3a6cu - Eugenol
vulpi

13/12/2017 à 20h52

ce qui va te sauver en adjointe c'est l'édentement bilatéral post.


Utilisateur banni

13/12/2017 à 20h57

Elle ne veut pas d’implants en postérieur car elle a pas les moyens.


6szjws718sv1jksw54v4mpj3a6cu - Eugenol
vulpi

13/12/2017 à 20h59

bin justement c'est intéressant comme cas.


Vw campersurfvan bmnk1q - Eugenol
enlaye

14/12/2017 à 08h23

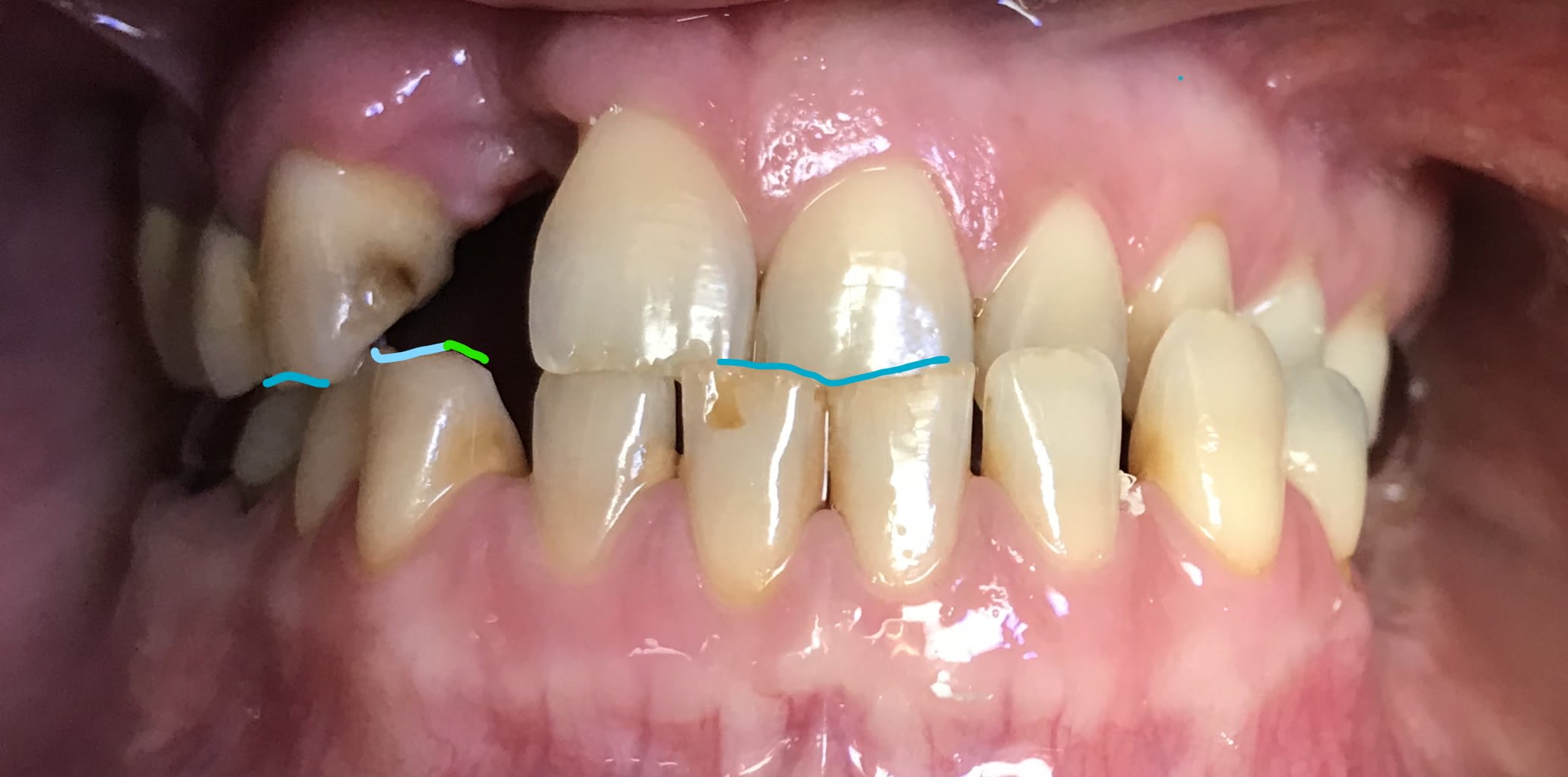
Junior faudra que tu fasses gaffe à 1 truc , quand meme :
à la couronne metal du fond en bas à gauche ( 37?).
tu vas la garder pour mettre un crochet , je suppose , mais saches quand meme . que ç est elle qui a mis le bordel .
elle doit gêner en RETROpropulsion laterale çàd en fermeture alors qu'il est couché coté droit ,par exemple et un peu en propulsion aussi . pas pour rien qu'il ait perdu sa 12 .
donc tu la ( 37?) racles bien en mesial lingual et plus si affinité .
tu la transformes en bite d'amarrage .
et bien sur SURTOUT PAS de taquet dessus !!!.
et la 12 qui est à la croisée des chemins , j'y mettrais un prov sur l'implant avant de mettre la définitive pendant 2 mois facile .
quant à l'appareil il ne devrait pas trop poser de pb , puiqu'il ne servira à rien ( d'un point de vue occlusal ) .


6szjws718sv1jksw54v4mpj3a6cu - Eugenol
vulpi

14/12/2017 à 13h41

Et là tu vois quoi? Faut que j’adresse à un esssspécialiste?

Plus de 10 ans qu'il n'y a rien en bas, et là le coup de bol, elle s'est faite renverser par une voiture, avec les sous touchés elle va pouvoir se payer une pap/pac(?) C'est-y pas chouette?
La RC j't'en parle pas... trop simple!

Dscf3069 s3usgb - Eugenol
Dscf3070 saszen - Eugenol
Dscf3071 fpbucp - Eugenol

Vw campersurfvan bmnk1q - Eugenol
enlaye

14/12/2017 à 14h35

Je vois que tu vas en baver .:-)


Dprtmuluo7sk4wxn8aabgsxy7sde - Eugenol
Pervers Pépère

14/12/2017 à 15h07

vulpi écrivait:
-----
> Et là tu vois quoi? Faut que j’adresse à un esssspécialiste?
>
Moi, j'en connais un bien

Dr Knorr

http://www.knorr.fr/produits/categorie/430160/les-soupes-knorr-en-sachet


Pubg2 rjl8jc - Eugenol
lemondestvaste

14/12/2017 à 15h56

J'adore ton cas Vulpi !


Utilisateur banni

15/12/2017 à 07h04

enlaye écrivait:
------
> Junior faudra que tu fasses gaffe à 1 truc , quand meme :
> à la couronne metal du fond en bas à gauche ( 37?).
> tu vas la garder pour mettre un crochet , je suppose , mais saches quand meme .
> que ç est elle qui a mis le bordel .
> elle doit gêner en RETROpropulsion laterale çàd en fermeture alors qu'il est
> couché coté droit ,par exemple et un peu en propulsion aussi . pas pour rien
> qu'il ait perdu sa 12 .
> donc tu la ( 37?) racles bien en mesial lingual et plus si affinité .
> tu la transformes en bite d'amarrage .
> et bien sur SURTOUT PAS de taquet dessus !!!.
> et la 12 qui est à la croisée des chemins , j'y mettrais un prov sur l'implant
> avant de mettre la définitive pendant 2 mois facile .
> quant à l'appareil il ne devrait pas trop poser de pb , puiqu'il ne servira à
> rien ( d'un point de vue occlusal)

plus sérieusement, à part la 37 que je retouche.
Y a moyen de faire autre chose ?
Avec sa classe 3 squelettique , sa canine va taper pile poile sur le bord libre de la couronne sur Implant si je pose un implant !


Vw campersurfvan bmnk1q - Eugenol
enlaye

15/12/2017 à 08h06

ç est sur , elle va avoir une drôle de tronche la 12 , là on en est à boucher 1 trou , pas à faire du ouane eugaine staille .
ç est là qu'il serait bonard d'avoir la photo de sa parafonction nocturne en bout à bout canin .
pour la 12 ,faudrait lui faire un bout à bout quand elle est dans cette position de parafonction .
pour l'animer tu peux la mettre de traviol dans l'axe 37 /13 .

si tu montes sur articu , ce qui ne servirait à RIEN d'ailleurs , il faut :
1 que tu desserres les boitiers condyliens
2 tu mets les modèles en position de parafonction
3 tu refais coapter les boitiers et tu serres .
tu auras le paramétrage des mvts extrêmes .
PS : et split cast obligatoire , bien sur ,sinon ç est impossible à faire .

Inked7f6cbbb1 a54f 4995 b0d9 c69e9b952dd4 q6ipda li s3jwxp - Eugenol