Cookie Consent byPrivacyPolicies.comQu'en pensez vous ? Je suis consternée - Eugenol

Qu'en pensez vous ? Je suis consternée

Hok 1b hgd3rj - Eugenol
Hokusai

29/09/2017 à 14h27

chicot29 écrivait:
--------
> C'est pas si simple que ca. Tu peux avoir un bon relationnel et faire de la
> merde. L'inverse est plus compliqué à faire passer. -)))

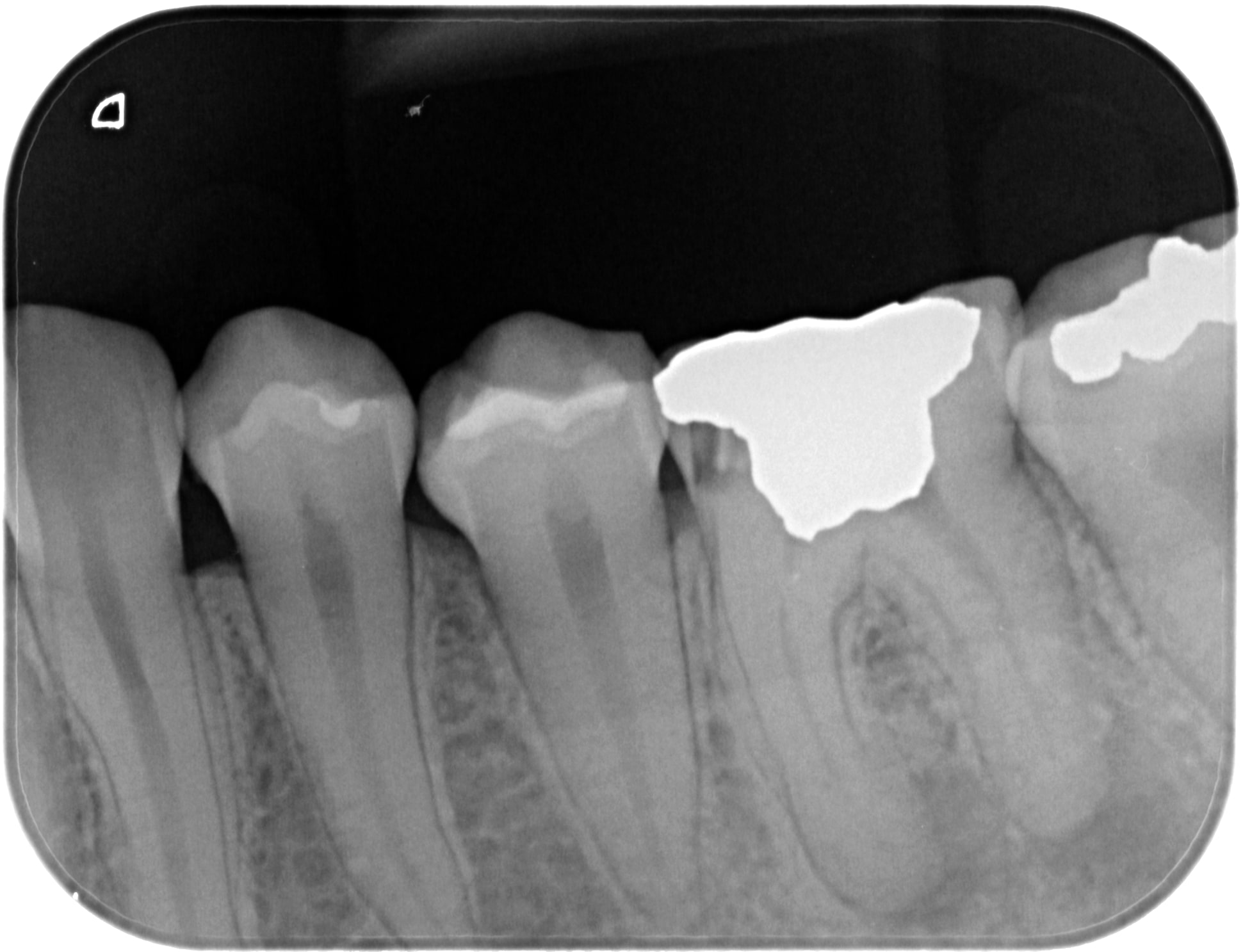
Y'a quand meme des limites... ici une jeune fille de 18 ans.

308 x 20150924 120644 xcpeglvweuej 4 ueo9bz - Eugenol