Cookie Consent byPrivacyPolicies.comnouvelles recommandations pour exo des DDS après ortho ? - Eugenol

nouvelles recommandations pour exo des DDS après ortho ?

elje

20/10/2017 à 18h18

enlaye écrivait:
------
> le sujet ç est l'extraction prophylactique des dds après ortho .
> faut reconnaître quand même que les orthos sont très forts en prophylaxie .
>
> tu prends un minot ,et pour éviter un futur problème à venir ,
>
> ( comment ça quel probleme ? t es con ou quoi ? on t'as dit un probleme
> ,forcement qu'il aura un pb un jour ,lequel on sait pas ,mais il en aura 1 :-)
> )
> tu lui arraches 4 dents ( ce qui fait déjà 4 prob en moins a venir ) tu le
> mets bien à plat puis à la fin , tu lui attaches les dents du bas et voir du
> haut ( a vie si possible ) et après tu lui arraches les 4 germes de dds
> parcqu'on sait jamais dés fois qu'on ait fait tout ça pour rien :-)))) et hop
> encore 4 pb en moins .
> aller va mon petit , tu peux être tranquille maintenant .
>
> Rhooooo de mauvaise foi , qu'il est cet enlaye :-)))))) me regale :-)
j'étais dans le plus politiquement correct mais en gros c'est ça.


elje

20/10/2017 à 18h26

Dentalgic écrivait:
---------
> elje écrivait:
> ----
> > adhoc écrivait:
> > -----
> > > Oui, c'est sur, la nature est bonne et généreuse.
> > > Qu'est ce qui m'a pris de faire de l'ortho a mon fils ainé (over jet de plus
> > > d'un cm) et de faire extraire les 4 dds qui ne demandaient qu'a prendre
> leur
> > > bonne place, bien entendu?
> > > Et ce genre de situation court les rues chez nos jeunes.
>
> > je pense que tu n'as pas lu le sujet du post ni mon argumentaire de départ. ca
> > n'amène rien a la conversation
>
> Oups, je voulais poster une pano et discuter orthodontie et DDS, du coup là
> j'hésite, j'ai un peu peur d'être hors sujet...
Ben non , vas y au contraire, c'est intéressant de voir des cas sujet à discussion. Adhoc a montré un cas où à mon avis l'exo des DDS aurait du être faite bien avant sur son fils. je ne montrerai pas le cas de ma fille de 27 ans qui a subit 6 ans d'orthodontie 4 prémos en moins, avec une énorme récession sur une 31 , erreur reconnu par l'ortho qui a sorti la dent de l'arcade mais qui voulait qu'à 16 ans je lui enlève les sagesses qui jamais ne sortiraient. J'aurais vraiment du parier, car elles sont sorties sans soucis. Heureusement que papa dentiste, faisant pas mal de paro, les dégats sont réparés et ma fille a 28 dents au lieu de 24, (soit seulement 4 dent de plus qu'en denture lactéale) si j'avais écouté mon copain ortho. et si on lui avait enlevé ses DDS????


Orezza gazeuse verre litre ocoxey - Eugenol
casa

20/10/2017 à 18h33

Aujourd'hui , lettre d'un confrère qui fait de l'ortho pour extraire des 5 de lait avec de belles racines .... ok sauf que ce confrère est .. stomato !!! heuuuu ... faut p't'être que je réagisse , non ? 34 e pour 3 dents ....yes


6szjws718sv1jksw54v4mpj3a6cu - Eugenol
vulpi

20/10/2017 à 19h45

casa écrivait:
----
> Aujourd'hui , lettre d'un confrère qui fait de l'ortho pour extraire des 5 de
> lait avec de belles racines .... ok sauf que ce confrère est .. stomato !!!
> heuuuu ... faut p't'être que je réagisse , non ? 34 e pour 3 dents ....yes

Bin ça dépend, moi j'aime pas les mômes, alors même gratis ça me va.


Utilisateur banni

20/10/2017 à 21h19

Bah alors ! Ben bien entendu qu’il faut les laisser en place ! Ça ne cause aucun problème...

8de0a1e8 2dd0 4d53 a097 9bb4ebf20214 c1hzlx - Eugenol
Ac10a55a 5fe5 4eef 8bc3 48ce8e842de0 wmi4kc - Eugenol
Ab108eda 34af 4f84 af10 998952addb29 ul6tfn - Eugenol
8243588c a2f4 4bdc b073 e1b3d70bbdf4 ok8qx5 - Eugenol
E561e138 b7ba 4f34 ac1d e238600b02a9 w4mrpg - Eugenol
27a0ef84 30d2 474c b7f5 dd3f605a0909 zd09jn - Eugenol
Ed7428f9 3851 4af0 bddb 192ced35661c rcvw5y - Eugenol

Hok 1b hgd3rj - Eugenol
Hokusai

20/10/2017 à 21h34

Pourquoi les ortho sont dans l incapacite de realiser les avulsions chez leur patients ??


elje

21/10/2017 à 07h56

junior® écrivait:
-------
> Bah alors ! Ben bien entendu qu’il faut les laisser en place ! Ça ne cause aucun
> problème...
il n'est pas question de ne jamais enlever les DDS mais de là à systématiquement les faire enlever suite à un traitement d'ortho parce que ça aurait une influence sur la pérénité du résultat, il y a un monde. je n'ai pas les photos mais je pourrais aussi te prouver que l'encombrement incisif se remet en place malgré l'exo des sagesses dans de nombreux cas, le rfuter serait méconnaitre l'évolution d'une bouche


Vw campersurfvan bmnk1q - Eugenol
enlaye

21/10/2017 à 08h22

Si bien sur que les dds peuvent faire en sorte que les incisives se croisent .
Non pas par la poussee ou un manque de place mais par la creation d une interference .
Et encore que ce n est meme pas forcement pas la dds qui est en cause toute seule , mais a cause du recouvrement incisif a la con et le nivellement cree par l ortho que la dds devient interferente .

Si tu veux , c est comme si tu rentrais chez toi la nuit ,et que ta femme a bougé tous les meubles avant que tu arrives .
Eh bien pour la dds c est pareil , elle etait programmee pour aller la a telle heure , mais entre temps il y a eu des travaux qui n etaient pas prevus par le programme du coup effectivement elle n a plus rien a faire là .
Tout au moins sa fonction prevue au depart n est plus possible


Utilisateur banni

21/10/2017 à 08h25

Sauf si une contention a été mise en place.
Et je suis désolé mais dans un grand nombre de cas l’espace pour les DDS est très limite , voir insuffisante > caries , zone difficile à nettoyer, pericoronarite.


Photo1 wmxx1a - Eugenol
Dentalgic

21/10/2017 à 08h34

elje écrivait:
----
> je ne montrerai pas le cas de ma fille de 27 ans
> qui a subit 6 ans d'orthodontie 4 prémos en moins, avec une énorme récession
> sur une 31 , erreur reconnu par l'ortho qui a sorti la dent de l'arcade mais
> qui voulait qu'à 16 ans je lui enlève les sagesses

Les orthos n’adressent pas systématiquement TOUS leurs patients pour exo des DDS ! En post-traitement ils évaluent les chances d'évolution et posent l’indication.
Extraire les DDS à des patients qui ont déjà eu les prémo extraites est très très exceptionnel (as-tu d’autres cas que celui de ta fille à partager ?). J’évalue la proportion de ces cas (par rapport à mon activité personnelle) à moins de 1%...


Vw campersurfvan bmnk1q - Eugenol
enlaye

21/10/2017 à 08h35

Bien sur Junior , il faut enlever la dds , et apres la 7 ?
Tu n as jamais remarque , qu apres ortho ,les 7 ne sont pas a leurs place ?
Elles sont souvent basses et non allignees


elje

21/10/2017 à 08h40

junior® écrivait:
-------
> Sauf si une contention a été mise en place.
> Et je suis désolé mais dans un grand nombre de cas l’espace pour les DDS est
> très limite , voir insuffisante > caries , zone difficile à nettoyer,
> pericoronarite.

Et quand la contention part? hé bè, ça bouge !!!!
Pour la place, donc on enlève des prèmos pour faire de la place, puis les DDS parce qu’il n’y aura pas de place, ça fait beaucoup non?
Je résume ma position et ensuite j’arrête:
A priori consensus au moins pour dire que l’éruption des DDS ne foutent pas en l’air le traitement d’ortho même si il n’y a pas de publication récente sur le sujet.
il serait pour ma part très bien que les orthodontistes justifient donc leur demande d’extraction avec des éléments concrets et non par du baratin pour faire peur aux patients.
Il serait bien qu’ils expliquent aussi que leur traitement n’est pas à visée esthétique pure et que les encombrements peuvent récidiver avec ou sans exo des DDS.
Il serait aussi bien qu’ils ‘organisent pour revoir 5 ans après leurs patients pour faire un bilan de leur pratique


elje

21/10/2017 à 08h45

Dentalgic écrivait:
---------
> elje écrivait:
> ----
> > je ne montrerai pas le cas de ma fille de 27 ans
> > qui a subit 6 ans d'orthodontie 4 prémos en moins, avec une énorme récession
> > sur une 31 , erreur reconnu par l'ortho qui a sorti la dent de l'arcade mais
> > qui voulait qu'à 16 ans je lui enlève les sagesses
>
> Les orthos n’adressent pas systématiquement TOUS leurs patients pour exo des DDS
> ! En post-traitement ils évaluent les chances d'évolution et posent
> l’indication.
> Extraire les DDS à des patients qui ont déjà eu les prémo extraites est très
> très exceptionnel (as-tu d’autres cas que celui de ta fille à partager ?).
> J’évalue la proportion de ces cas (par rapport à mon activité personnelle) à
> moins de 1%...
Dans ma ville et en particulier dans le plus gros cabinet c’est le cas , l’extraction des DDS est une obligation de fin de traitement.
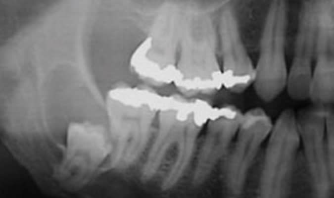
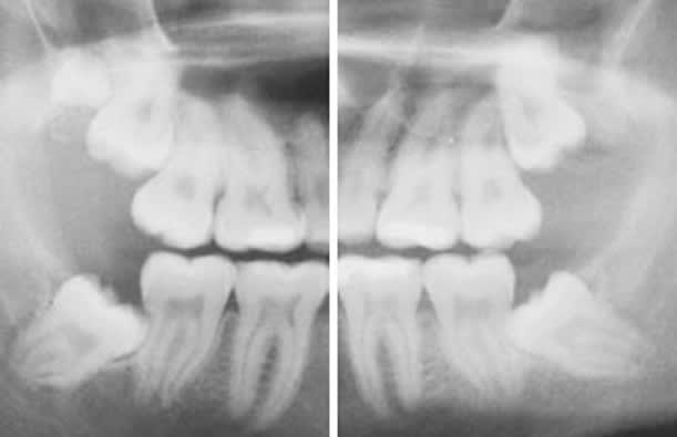
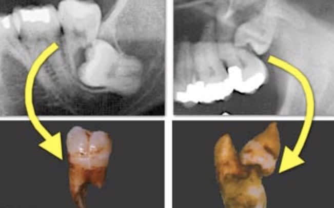
Pour les cas à partager , absolument les deux des patients de mercredi derniers avaient leur prémos extraites, c’est d’ailleurs ce qui a déclenché ce post. est la troisième dont j’ai posté le cliché a une orientation correcte des germes des DDS avec une plage muqueuse importante derrière les 7


Photo1 wmxx1a - Eugenol
Dentalgic

21/10/2017 à 09h38

Je dispose d’une base de données d’environ 500 patients par an adressés par des orthos en vue avulsion des DDS. Tous les courriers orthos et les panos ont été numérisés et cela ne devrait pas être difficile à récupérer dans le fichier document de Visiodent…

Je suis prêt à parier qu’une proportion très importante de ces patients n’a pas eu d’extraction de prémolaires.


elje

21/10/2017 à 09h52

Dentalgic écrivait:
---------
> Je dispose d’une base de données d’environ 500 patients par an adressés par des
> orthos en vue avulsion des DDS. Tous les courriers orthos et les panos ont été
> numérisés et cela ne devrait pas être difficile à récupérer dans le fichier
> document de Visiodent…
>
> Je suis prêt à parier qu’une proportion très importante de ces patients n’a pas
> eu d’extraction de prémolaires.
Il serait intéressant de noter les indications d’extractions des DDS. si le nivellement rend par le recul des 7 l’éruption de ces dents impossible, il me semble alors que cela doit être dit dés le départ et que les DDS doivent être extraite dès que possible à l’état de germe comme le préconise les recommandations de la HAS. pourquoi attendre la fin du traitement et la phase de contention? ils arrivent à dire qu’une dent posera dans l’avenir des problèmes mais sont incapables de prévoir l’interférence de leur traitement sur l’évolution de cette dent? je ne parle que pour les cabinets que je connais bien et pour encore une fois en avoir discuté avec les orthos dont des amis très proches, ils ne se posent pas cette question et la majorité des cas leurs indications sont à titre prophylactique d’où ce coté systématique qui me dérange, à croire que le seul ,nom de dent de sagesse est une indication d’extraction comme dent mobile serait synonyme d’extraction et implant. Au risque de me répéter , il y a des indications pour intervenir, d’autres pour s’abstenir, le systématique est source de problème pour les patients mais aussi pour les praticiens.Bon week end


Utilisateur banni

21/10/2017 à 11h15

Oui mais très souvent, avoue le Elje , y a tout juste la place, ou alors elles sont enclavées. Et quand elles sont en place , TRÈS souvent vous prenez une sonde paro , vous la passez en postérieur et en lingual : on l’enfile sur bien plus de 3 mm = véritable nid à bactéries.

Je sais pas si vous avez eu à faire à ça : j’ai reçu plusieurs fois des patients qui venaient avec leur pano et où le radiologue écrivait lui même : Il n’est pas nécessaire d’extraIre les DDS ou bien il est nécessaire d’extraire les DDS .
——>>>> est ce normal qu’un radiologue se permette de dire des grosses conneries du type : il ne faut pas extraire alors qu’il faut extraire et inversement ?????? Normalement ils n’ont pas à dire si oui ou non il faut les extraire ?!? Ils n’ont pas ouvert la bouche du patient, ils n’y connaissent rien en dentisterie et ça les empêche pas de dire des conneries.

Petit HS : dentalgic tu n’as pas de problème avec Visiodent toi ?


Le Rosbif

21/10/2017 à 11h58

Je peut te guarantee Junior que si tu pourait sonder ton appendix tu trouverait aussi un masse de bactérie.

Alors, on y va? ;-)


Utilisateur banni

21/10/2017 à 14h03

enlaye écrivait:
------
> Elles sont souvent basses et non allignees

Si! J’ai souvent remarqué ça. Explique voir :))

En même temps, avouez que très souvent quand les DDs sont sur l’arcade, elles ont une position improbable.


Vw campersurfvan bmnk1q - Eugenol
enlaye

21/10/2017 à 16h57


enlaye écrivait:
" Elles sont souvent basses et non allignees "( les 7 )

Junior
"" Si! J’ai souvent remarqué ça. Explique voir :)) ""

Et si les 7 etaient bien à leur place prevues ? Hein finalement ?
C 'est ca la magie du nivellement :-))
Tu vois ou je veux en venir ?
Tu comprends mieux l histoire des meubles :-))) ?



Utilisateur banni

21/10/2017 à 17h34

En attendant ,histoire qu’ils gardent un petit souvenir de moi , je leur laisse de temps en temps une crevasse quand j’y vais comme un bourrin . C’est pas mal, ça fait comme une réserve à nourriture :))

878aeb8d b410 427b a34b a85d9d6864b8 vft63s - Eugenol

6szjws718sv1jksw54v4mpj3a6cu - Eugenol
vulpi

21/10/2017 à 21h54

Fais moi vite un onlay ou une couronne sur la 7, elle va casser tôt ou tard... à moinsss que tu préfères implanter, attitude respectable :-))))


Utilisateur banni

21/10/2017 à 23h45

Tu penses bien que c’est prévu ^^ , d’autant plus que j’ ai zigouillé la partie D de l’amalgame en extrayant la 8 :)


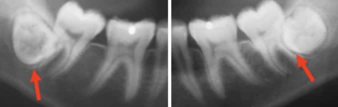
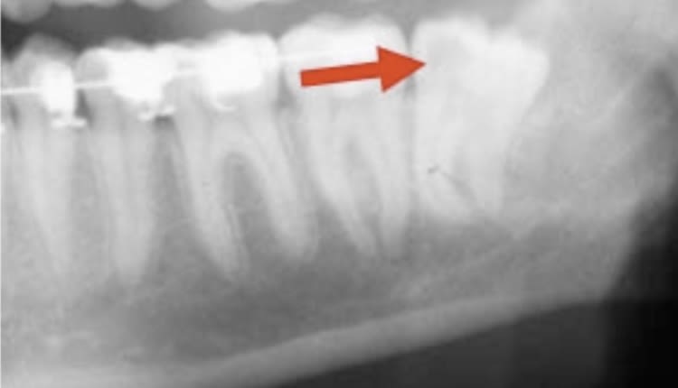
Photo1 wmxx1a - Eugenol
Dentalgic

27/10/2017 à 14h00

Un petit up pour confirmer que sur mes 500 derniers patients adressés ortho en vue DDS, aucun n'a eu les prémolaires d'extraites. Donc tous les orthodontistes n'adressent pas leurs patients pour avulsions préventives des DDS, la plupart posent l'indication...

En pièce jointe un patient qui n'a pas voulu écouter les consignes en 2014 et qui vient finalement de se faire opérer cette semaine.