Cookie Consent byPrivacyPolicies.comnouvelles recommandations pour exo des DDS après ortho ? - Eugenol

nouvelles recommandations pour exo des DDS après ortho ?

elje

19/10/2017 à 17h41

Dentalgic écrivait:
---------
> elje écrivait:
> ----
> > j’imagine que pour une germectomie,
> > un des parents prend un jour d’enfant malade, donc ça ne tient pas.
> Enfant malade à 16 / 17 ans ?
>
> Pour répondre à ta question : il faut poser l'indication. Quand les germes sont
> encore dans la branche à 16 ans (comme sur ta pano), il y a de forte chance
> qu'il n'y ait pas de place... Pour les autres on surveille.
> C'est mon point de vue.
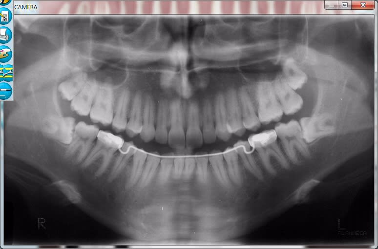
perso, je ne pose pas mes diagnostics sur des pourcentages de chance , mais on peut discuter , je pense qu’un one beau montrerait une position linguale des germes et une position bien moins « postérieure » que la pano one le laisse penser. J’essaierai de suivre le cas.


Vw campersurfvan bmnk1q - Eugenol
enlaye

19/10/2017 à 17h44

il est vrai que le nivellement reduit l'espace libre pour les dds .


Photo1 wmxx1a - Eugenol
Dentalgic

19/10/2017 à 17h49

De mon expérience, nombre d'adultes qui se font extraire les DDS regrettent de ne pas l'avoir fait avant... (les suites opératoires sont souvent plus lourdes que pour les ados).
Après je suis d'accord qu'on est content de trouver un pilier en cas de besoin (mais bon, les endos sur les 8 c'est quand même pas le plus facile).


Photo1 wmxx1a - Eugenol
Dentalgic

19/10/2017 à 17h52

elje écrivait:
----
> J’essaierai de suivre le cas.

C'est intéressant, tiens-nous au jus.


Vw campersurfvan bmnk1q - Eugenol
enlaye

19/10/2017 à 17h55

si je dis :
apres un ttt d'ortho , il faut enlever systematiquement les dds ( pcqu'il y aura un manque de place ,)
puis je en conclure ? :
- que pcqu'il y a eu ttt d'ortho ,qu'il y a 1 manque de place ?
- ou que le manque de place est donc systematique ortho ou pas ?

le mieux ,pour faire des economies , autant enlever les dds à tout le monde entier des le plus jeune age , et comme ça on en profite pour enlever l'apendicite , ?


6szjws718sv1jksw54v4mpj3a6cu - Eugenol
vulpi

19/10/2017 à 18h16

https://www.uniodf-journal.org/articles/uniodf/pdf/2008/03/uniodf200837p22.pdf


Image r6habu - Eugenol
Thomas Crown

19/10/2017 à 21h08

#balancetonortho
Qui commence.


cy2

20/10/2017 à 08h25

J'ai assisté l'an dernier à une formation sur les chir maxillo-faciales en ortho. Lefort et traction canines.
A bien sûr été abordé le sujet des DDS.
Le maxillo qui intervenait a été clair : l'indication d'extraire des dds à visée post-orthodontique est trop limite au niveau médico légal. Il a d'ailleurs spécifié que la tendance actuelle va vers un refus des stomato et maxillo de réaliser ce genre d'interventions, engageant eux mêmes leur responsabilité en cas de problème.


elje

20/10/2017 à 08h43

cy2 écrivait:
---
Il a d'ailleurs
> spécifié que la tendance actuelle va vers un refus des stomato et maxillo de
> réaliser ce genre d'interventions, engageant eux mêmes leur responsabilité en
> cas de problème.
>
He bien les deux derniers stomatos libéraux de ma ville ne devaient pas assister à ce cours, car c'est leur principale activité.


Generique fraisage r2rxmm - Eugenol
lardonbis

20/10/2017 à 08h44

enlaye écrivait:
------
> il est vrai que le nivellement reduit l'espace libre pour les dds .

ça c'est un coup bas.


PtnbZ

20/10/2017 à 09h09

elje écrivait:
----
> cy2 écrivait:
> ---
> Il a d'ailleurs
> > spécifié que la tendance actuelle va vers un refus des stomato et maxillo de
> > réaliser ce genre d'interventions, engageant eux mêmes leur responsabilité en
> > cas de problème.
> >
> He bien les deux derniers stomatos libéraux de ma ville ne devaient pas assister
> à ce cours, car c'est leur principale activité.
Ben ça rapporte, en même temps.


Photo1 wmxx1a - Eugenol
Dentalgic

20/10/2017 à 09h34

Je comprends pas. On en prend déjà plein la tronche dans les médias (etc..) et toi tu te permets de lancer ça sur nos confrères...


elje

20/10/2017 à 09h34

PtnbZ écrivait:
-----
> elje écrivait:
> ----
> > cy2 écrivait:
> > ---
> > Il a d'ailleurs
> > > spécifié que la tendance actuelle va vers un refus des stomato et maxillo de
> > > réaliser ce genre d'interventions, engageant eux mêmes leur responsabilité
> en
> > > cas de problème.
> > >
> > He bien les deux derniers stomatos libéraux de ma ville ne devaient pas
> assister
> > à ce cours, car c'est leur principale activité.
> Ben ça rapporte, en même temps.
la conjointe aussi, pour autant, réalisons nous des couronnes préventivement?


Hok 1b hgd3rj - Eugenol
Hokusai

20/10/2017 à 09h42

enlaye écrivait:
------
> le mieux ,pour faire des economies , autant enlever les dds à tout le monde
> entier des le plus jeune age , et comme ça on en profite pour enlever
> l'apendicite , ?

c'est le pack allègement.


Image r6habu - Eugenol
Thomas Crown

20/10/2017 à 09h54

Dentalgic écrivait:
---------
> Je comprends pas. On en prend déjà plein la tronche dans les médias (etc..) et
> toi tu te permets de lancer ça sur nos confrères...
Je comprends pas cette remarque, quelle polémique y a t il ici à s’interroger sur la pertinence d’un geste chirurgical demandé par un tiers, au regard de l’évolution des bonnes pratiques ?
Le gradient thérapeutique par exemple, tu as le droit de t’en moquer, mais tu ne peux le nier. Ben là, c’est pareil.
Perso je suis à la limite de renvoyer les demande d’extraction des PM à l’envoyeur, il a qu’a Les faire si c’est une étape si indispensable à son traitement.


Photo1 wmxx1a - Eugenol
Dentalgic

20/10/2017 à 10h06

Ptnbz nous explique que les stomatos extraient les DDS parce que ça rapporte.
Ca ne te rappelle pas certaines polémiques nous concernant ?


PtnbZ

20/10/2017 à 10h06

elje écrivait:
----
> PtnbZ écrivait:
> -----
> > elje écrivait:
> > ----
> > > cy2 écrivait:
> > > ---
> > > Il a d'ailleurs
> > > > spécifié que la tendance actuelle va vers un refus des stomato et maxillo
> de
> > > > réaliser ce genre d'interventions, engageant eux mêmes leur responsabilité
> > en
> > > > cas de problème.
> > > >
> > > He bien les deux derniers stomatos libéraux de ma ville ne devaient pas
> > assister
> > > à ce cours, car c'est leur principale activité.
> > Ben ça rapporte, en même temps.
> la conjointe aussi, pour autant, réalisons nous des couronnes préventivement?
Personnellement non. Dans les centres low cost Qui sont la référence de demain en france, voulue par le gouvernement, oui.
Une autre question?


PtnbZ

20/10/2017 à 10h15

Dentalgic écrivait:
---------
> Ptnbz nous explique que les stomatos extraient les DDS parce que ça rapporte.
> Ca ne te rappelle pas certaines polémiques nous concernant ?

En fait je rebondissais sur le fait que c'était leur "principale activité".
Eux peuvent gagner leur vie en remplissant un rôle, le dentiste pâs forcément.
Ca te rappelle une polémique sur les soins non ? )) C'est normal


elje

20/10/2017 à 11h13

Thomas Crown écrivait:
------------
> Dentalgic écrivait:
> ---------
> > Je comprends pas. On en prend déjà plein la tronche dans les médias (etc..) et
> > toi tu te permets de lancer ça sur nos confrères...
> Je comprends pas cette remarque, quelle polémique y a t il ici à s’interroger
> sur la pertinence d’un geste chirurgical demandé par un tiers, au regard de
> l’évolution des bonnes pratiques ?
> Le gradient thérapeutique par exemple, tu as le droit de t’en moquer, mais tu ne
> peux le nier. Ben là, c’est pareil.
> Perso je suis à la limite de renvoyer les demande d’extraction des PM à
> l’envoyeur, il a qu’a Les faire si c’est une étape si indispensable à son
> traitement.
Merci de recadrer le débat et j'ai les mêmes interrogations que toi sur les prémos, surtout quand je reçois une lettre type avec des croix comme un QCM. Imaginons qu'il arrive un soucis lors de l'intervention et que l'on nous demande de justifier ce geste, au même titre que pour les DDS qu'allons nous répondre, parce qu'on nous a demandé de le faire. Pour éviter que l'on me taxe d'anti ortho, je bosse principalement avec un qui me fait systématiquement un compte rendu de première visite, avec le plan de traitement et ses justifications, chaque exo que me demande cet orthodontiste comporte la justification de ce praticien. Si j'ai des doutes je l'appelle on en discute.


Avatar transparent iqadnc - Eugenol
adhoc

20/10/2017 à 11h56

Oui, c'est sur, la nature est bonne et généreuse.
Qu'est ce qui m'a pris de faire de l'ortho a mon fils ainé (over jet de plus d'un cm) et de faire extraire les 4 dds qui ne demandaient qu'a prendre leur bonne place, bien entendu?
Et ce genre de situation court les rues chez nos jeunes.

Ddsnaturebonne bgvi3j - Eugenol

Generique fraisage r2rxmm - Eugenol
lardonbis

20/10/2017 à 12h37

l'ortho vers qui j'oriente mes patient me demande une exo de définitive tout les deux/trois ans... du coup je réfléchi même pas, je tire :D


elje

20/10/2017 à 12h38

adhoc écrivait:
-----
> Oui, c'est sur, la nature est bonne et généreuse.
> Qu'est ce qui m'a pris de faire de l'ortho a mon fils ainé (over jet de plus
> d'un cm) et de faire extraire les 4 dds qui ne demandaient qu'a prendre leur
> bonne place, bien entendu?
> Et ce genre de situation court les rues chez nos jeunes.
je pense que tu n'as pas lu le sujet du post ni mon argumentaire de départ. ca n'amène rien a la conversation


Generique fraisage r2rxmm - Eugenol
lardonbis

20/10/2017 à 12h39

adhoc écrivait:
-----
> Et ce genre de situation court les rues chez nos jeunes.

elle est jolie ta pano. C'est quoi le matos qui fait ça ?


Photo1 wmxx1a - Eugenol
Dentalgic

20/10/2017 à 14h13

elje écrivait:
----
> adhoc écrivait:
> -----
> > Oui, c'est sur, la nature est bonne et généreuse.
> > Qu'est ce qui m'a pris de faire de l'ortho a mon fils ainé (over jet de plus
> > d'un cm) et de faire extraire les 4 dds qui ne demandaient qu'a prendre leur
> > bonne place, bien entendu?
> > Et ce genre de situation court les rues chez nos jeunes.

> je pense que tu n'as pas lu le sujet du post ni mon argumentaire de départ. ca
> n'amène rien a la conversation

Oups, je voulais poster une pano et discuter orthodontie et DDS, du coup là j'hésite, j'ai un peu peur d'être hors sujet...


Vw campersurfvan bmnk1q - Eugenol
enlaye

20/10/2017 à 14h43

le sujet ç est l'extraction prophylactique des dds après ortho .
faut reconnaître quand même que les orthos sont très forts en prophylaxie .

tu prends un minot ,et pour éviter un futur problème à venir ,

( comment ça quel probleme ? t es con ou quoi ? on t'as dit un probleme ,forcement qu'il aura un pb un jour ,lequel on sait pas ,mais il en aura 1 :-) )
tu lui arraches 4 dents ( ce qui fait déjà 4 prob en moins a venir ) tu le mets bien à plat puis à la fin , tu lui attaches les dents du bas et voir du haut ( a vie si possible ) et après tu lui arraches les 4 germes de dds parcqu'on sait jamais dés fois qu'on ait fait tout ça pour rien :-)))) et hop encore 4 pb en moins .
aller va mon petit , tu peux être tranquille maintenant .

Rhooooo de mauvaise foi , qu'il est cet enlaye :-)))))) me regale :-)