Cookie Consent byPrivacyPolicies.comVertiges après pose 21 - Eugenol

Vertiges après pose 21

Mm goodteeth2 ex0rr1 - Eugenol
Jules

16/11/2017 à 14h43

Bonjour à tous,

J'aurai aimé vos avis sur un cas clinique.

Jeune patiente, RAS santé, non fumeuse, juste une 21 avec un traitement ...insuffisant...

Exo de la 21 début janvier de cette année, et la semaine dernière pose d'un implant GlobalD InKone 3.5 L8.5, pose à 50-55 N.cm
Comme j'avais une paroi osseuse intègre mais fine en vestibulaire, ajout de biomatériau et d'une membrane résorbable, et suture sans tension en libérant le lambeau vestibulaire.
J'ai prescrit une semaine d'ATB, anti inflammatoire 3 jours et bains de bouche.

Au niveau du site opératoire, rien de notable au niveau des suites opératoires, la patiente ressent que ça tire un peu sur la gencive les 48 premières heures, et depuis plus de sensibilités.

Cliniquement la gencive est belle, la cicatrisation est bien avancée, les berges ont fusionné, aucun signe infectieux, ni inflammatoire.

Par contre, la patiente est en arrêt depuis lundi, dés qu'elle se lève, la station debout lance une douleur au niveau du haut du nez, qui diffuse parfois au niveau du front, et qui lui fait perdre l'équilibre, une sensation de lourdeurs qui lui fait tourner la tête...
Les symptômes ont commencé 2 à 3 jours après l'intervention.

Je n'ai pas touché au canal incisif pendant l'intervention, serait-ce l'inflammation post-op qui comprimerait une branche du naso palatin ?
Je ne suis pas à l'aise à l'idée de temporiser trop longtemps vu la gêne ressentie, mais si je dois réintervenir, je ne suis pas encore sûr de ce que doit comporter la réintervention...

Vous en pensez quoi ? Vous feriez quoi ?






Mm goodteeth2 ex0rr1 - Eugenol
Jules

16/11/2017 à 14h44

Les rétros

2015 05 29 retro avant exo x9afby - Eugenol
2017 01 04 exo uklgb2 - Eugenol
2017 05 03 retro preop dadb2g - Eugenol
2017 11 09 retro jour pose hwdyvj - Eugenol
2017 11 15 retro j 7 x3s3zc - Eugenol

Mm goodteeth2 ex0rr1 - Eugenol
Jules

16/11/2017 à 14h44

Localisation de la gêne

PS : non ce n'est pas la patiente, c'est le premier résultat google pour "visage face"

Img 0218 yqbb9b - Eugenol

Mm goodteeth2 ex0rr1 - Eugenol
Jules

16/11/2017 à 14h51

Quelques images du cone beam et de la planif

Planif 1 owxhvi - Eugenol
Planif 2 slmeas - Eugenol
Planif 3 v71j9j - Eugenol
Planif 4 my2dza - Eugenol
Planif 5 fqtf2p - Eugenol
Planif 6 ody3rj - Eugenol

2 n2dlt7 - Eugenol
2+2®

16/11/2017 à 15h03

tu n'as pas un cone beam avant implantation?


Mm goodteeth2 ex0rr1 - Eugenol
Jules

16/11/2017 à 15h09

Non je n'en avais pas refait faire.
J'avais levé un lambeau pour l'extraction de la 21 donc j'avais déjà vu le site, et avant l'opération j'avais revu la patiente et "sondé" à l'aiguille.
J'aurai par contre trouvé nécessaire de la renouveler si l'esthétique de la zone cervicale avait importé, mais on a une lèvre supérieure qui dissimule largement les collets.


Hok 1b hgd3rj - Eugenol
Hokusai

16/11/2017 à 15h17

Jules écrivait:
-----
> PS : non ce n'est pas la patiente

A bon ?? ;)
Mais si j ai bien compris ca ne fait qu une grosse semaine que l intervention a eu lieu non??


2 n2dlt7 - Eugenol
2+2®

16/11/2017 à 15h17

Pourquoi l'avoir enfoui autant? tu penses pas que tu va galérer pour la partie prothétique?


Mm goodteeth2 ex0rr1 - Eugenol
Jules

16/11/2017 à 15h26

L'InKone est prévu pour être placé en sous crestal de 2mm normalement.
C'est donc beaucoup plus agréable en un temps chirurgical et un peu laborieux en 2 temps : ostéotomie à prévoir lors du second temps...
Mais là, membrane et bio mat.... j'ai préféré fermer hermétiquement...
(Un jour je prendrai peut-être un deuxième système avec un implant crestal pour ça)


145 kssowa - Eugenol
Zuhurragin

16/11/2017 à 15h26

Pour une fois je demanderai bien une pano pour voir ses sinus et fosses nasales (perméabilité des méats, épaisseur muqueuse ?), ensuite aucun pb avec les ATB et anti-inflammatoires (change le ttt voir arrêt pour voir) ?
Le problème du canal incisif n'en est pas un, on peut le cathéteriser sans pb par la suite.


--
"C'est parce que la vitesse de la lumière est supérieure à celle du son que certains paraissent brillants avant d'avoir l'air cons."


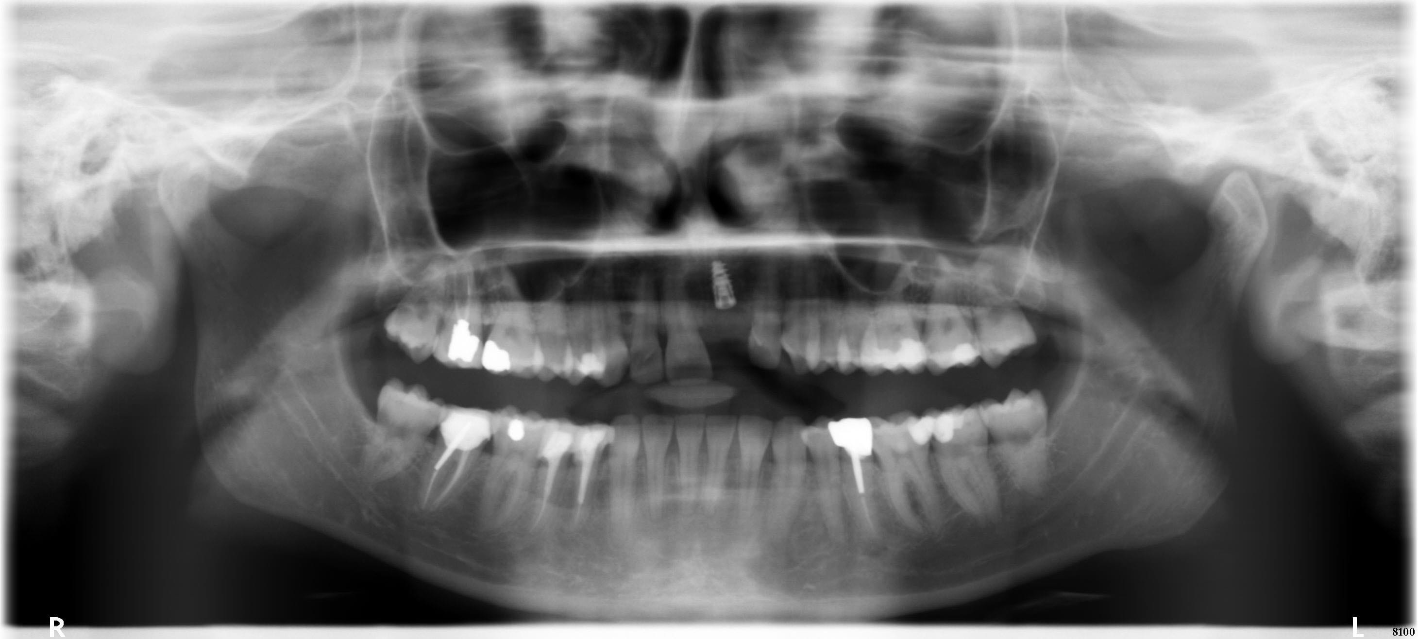
Mm goodteeth2 ex0rr1 - Eugenol
Jules

16/11/2017 à 15h35

Voici pour la panoramique à 6 jours post op.
Les sinus paraissent clairs.
J'ai pensé aussi à un effet secondaire de l'antibiotique... Elle le terminait hier soir, donc si c'est ça amélioration à prévoir aujourd'hui et demain, je serai vite fixé. Mais j'y crois moyen...
Anti inflammatoires, il y a eu 3 jours d'Ibuprofene 400mg x3/j après l'intervention, et le médecin traitant consulté a rajouté 2 jours de cortisone ensuite. Fini depuis 2 jours. Aucune variation dans les symptômes.

Pano uiihvz - Eugenol

145 kssowa - Eugenol
Zuhurragin

16/11/2017 à 15h59

Euh... ton implant est très très enfoui esthétiquement je pense que ça va pas être une super surprise (même si elle recouvre, pense que les patients regardent toujours en soulevant la lèvre...) ensuite par rapport à l'apex de ta 11 il semble très haut, je ferai une 3D perso pour voir mon plancher des fosses nasales.
Attention ce n'est pas une critique juste un constat.


--
"C'est parce que la vitesse de la lumière est supérieure à celle du son que certains paraissent brillants avant d'avoir l'air cons."


Alios

16/11/2017 à 23h25

Ta patiente n'aurai-elle pas l'envie de se faire poser un implant gratuitement ?
Ses troubles paraissent subjectifs...


Aiguille cyboyt - Eugenol
fatboy

17/11/2017 à 06h22

A ta place, j'enleverai l'implant et le materiau de comblement. L'implant est trop enfoui et trop court, le resultat esthetique ne sera pas bon tres longtemps, cet implant etant inutile, autant le virer avant qu'il soit osteointegre, et si ca se trouve ca enlevera les symptomes de la patiente. Le bio-oss que tu as mis en vestibulaire meme couvert par une membrane ne prendra que si tu as fait des trous dans la corticale, ce que je pense que tu n'as pas fait parce que ta paroi vestibulaire etait fine, donc ca a peu de chance de servir a quelque chose.
Jusqu'ou as-tu decolle la muqueuse vestibulaire?


2 n2dlt7 - Eugenol
2+2®

17/11/2017 à 10h09

pareil que fatboy

je profite des doléances de la patiente pour tout déposer et recommencer plus tard


Mm goodteeth2 ex0rr1 - Eugenol
Jules

17/11/2017 à 10h37

@Zuhurragin : non je suis certain qu'il n'y a pas eu de perforation du plancher nasal, j'ai sondé le forage implantaire.
@Alios : Je n'y avais pas pensé, mais sauf si je me suis vraiment planté sur elle, ça ne semble pas être la psychologie de la patiente

@Fatboy : j'ai arrêté mon décollement en approchant l'épine nasale.

Je vous remercie tous pour vos conseils.
J'ai fouillé la biblio pour les vertiges et je ne trouve des cas que lors d'utilisation des ostéotomes où il y a un risque que les percussions mobilisent les otolithes de l'oreille interne.

Néanmoins, les symptomes persistant, je vais suivre votre conseil et tout déposer...


Aiguille cyboyt - Eugenol
fatboy

17/11/2017 à 12h29

Je dois avouer que je ne sait pas d'ou viennent les vertiges de ta patiente. Les AI auraient dus etre efficaces.
Les seuls que j'ai eu a gerer venaient des medocs que je prescrivaient, a l'arret des traitements tout rentrait dans l'ordre.


Vw campersurfvan bmnk1q - Eugenol
enlaye

17/11/2017 à 12h36

question bete , tu lui a mis quoi comme prov ?
une ppa ?


Mm goodteeth2 ex0rr1 - Eugenol
Jules

17/11/2017 à 13h02

@Fatboy : Beaucoup de mal à comprendre aussi... Après, comme c'est apparu 3 jours après l'intervention, j'ai envie de croire que la dépose va arranger les choses en 3 jours et confirmer le lien. Et j'apprendrai peut-être plus tard que c'était autre chose et qu'il n'y avait pas de lien avec l'implanto...
Je dépose ce soir. Je vous tiendrai au courant.

@Enlaye : une PPA, oui, mais je mets les crochets sur les 6 et ne sous dimensionne pas la plaque pour mettre la sustentation sur le palais. L'intrados a été fortement retouché. Au contrôle à 6 jours, un appui franc sur le palais ou la dent ne lance pas, et la gencive ne blémit même pas un chouia.
Je n'ose pas encore trop tenter la temporisation collée quand l'occlusion interdit les ailettes... J'ai testé sur une patiente qui ne supportait rien d'autre, avec un collage au compo sous digue sur les faces proximales uniquement des adjacentes, si ça tient bien ça me débloquera :)


Vw campersurfvan bmnk1q - Eugenol
enlaye

17/11/2017 à 13h11

ah , et le passage des crochets ( qui se font en occlusal ,cetainement ) ça ne gene pas l'occlusion ?


Mm goodteeth2 ex0rr1 - Eugenol
Jules

17/11/2017 à 13h16

Nop, pas d'interférence au cabinet, et la PAP est très bien supportée depuis janvier.


Blue eye thumb medium dx1i0w - Eugenol
bill

17/11/2017 à 16h03


Elle a des nausées, mal au ventre... ? Peut-être une bonne vieille gastro des familles ! ;-)

Blague à part, j'espère que tu donneras la suite, c'est le genre de cas qui interpelle.



Generique fraisage r2rxmm - Eugenol
lardonbis

17/11/2017 à 17h23

comment elle c'est pété la dent ?
carton ?

sinon quand c'est zarbi et que le patient arrive bien à provoquer la douleur j’anesthésie la zone et on teste.
J'ai déjà eu des truc hyper louche après une endo de prémo et j'ai une patiente ( un des sujet "crac" je crois) qui se tape des signes étranges quelques semaines après un carton.

un truc à lire:
bibnum.univ-lyon1.fr/nuxeo/nxfile/...0/THod_2012_CAPPEAU_%20Henri.pdf


Mm goodteeth2 ex0rr1 - Eugenol
Jules

17/11/2017 à 18h00

Trauma oui, vers 13-15 ans d'après la patiente. J'imagine que c'est pour ça que toutes les autres dents ont évolué avec la croissance de l'os alvéolaire, mais que la 21 est resté bien tranquille en haut.
On remarque quand même que la nature est bonne mère : plus de 10 ans avec une provisoire à tenon sans obtu endo, et rien, pas l'ombre d'un signe infectieux !

J'ai pas réussi à accéder à ton doc, lardon, il faut des identifiants pour se connecter, non ?


Generique fraisage r2rxmm - Eugenol
lardonbis

17/11/2017 à 18h12

j'ai chié mon lien et je retrouve plus :D ! il est ou passé!!
c'est en accès libre du coup je doit pouvoir te le coller là direct.
La provisoire à tenon elle à cassé suite à un choc ?


12