Cookie Consent byPrivacyPolicies.comPatiente mécontente du titulaire - Eugenol

Patiente mécontente du titulaire

8tercecn7hisbbqbde2nil4nyxrw - Eugenol
Hanibalecter

17/11/2017 à 14h01

Bonjour, je recois une patiente (qui vient pour la 2e fois au cab) un peu énervé contre mon titulaire.
A la base elle voulait prendre rdv avec moi, je sais pas ce qui s'est passé, mais c'est mon titulaire qui l'a vu la 1ere fois.

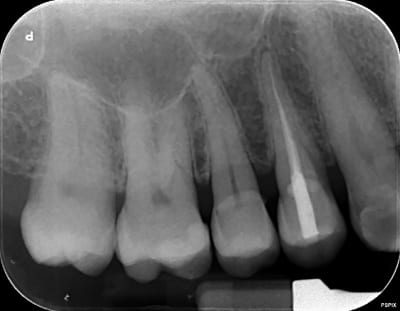
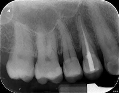
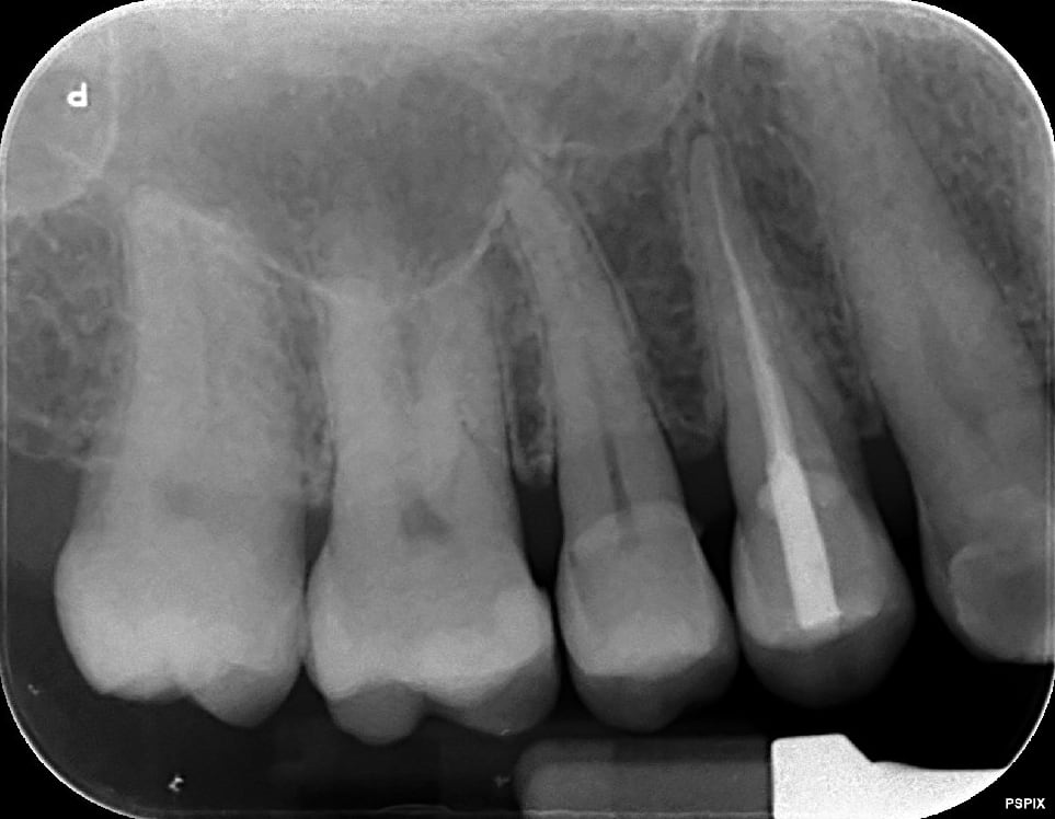
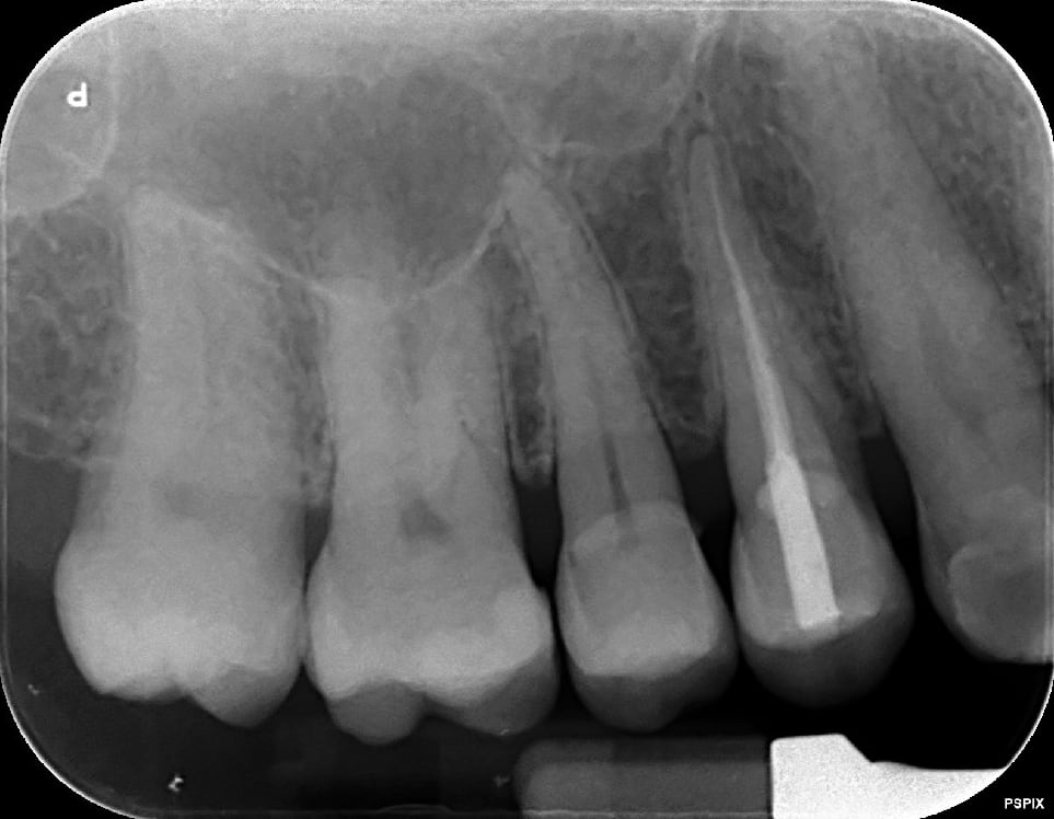
En fait elle est venu pour une douleur sur le secteur 1. Apparemment le titulaire n'a pas fait de radio pre op. Il ne lui a rien dit sur ce qu'il faisait, du coup il a réalisé le TR et a dit qu'il faudrait peut etre envisager une couronne lors d'un prochain rdv. Mais la patiente en sortant ne savait pas vraiment ce qu'il avait fait ni ce qu'elle avait a la base. Bref elle a été tres decu de ce 1er rdv et ne veut plus le revoir.

Du coup, sur ce 2e rdv, je calme le jeu en disant que ce qu'il a fait était nécessaire, qu'elle avait surement une bonne carie à la base. Le seul défaut étant qu'il avait pas bien expliquer le tout. Le titulaire est vieux, travaille a l'ancienne, etc etc. Bref j'ai reussi a calmer le jeu.

A ce rdv j'ai juste fais un soins 1f occlusal et dit que la couronne ne sera pas necessaire finalement.

La qualité de la rx est pas terrible car j'ai impr ecran via teamviewer, je ne suis pas au cab.

Bref c'était l'histoire du jour xD

Edit: Comment gérer ce genre de situation. En remonter l'info au titulaire, ou laisser couler ?


Screenshot cf5ka2 - Eugenol

South park   craig te7bfk - Eugenol
CRAIG

17/11/2017 à 14h22

Elle avait d'autres dents dévitalisées?


Vw campersurfvan bmnk1q - Eugenol
enlaye

17/11/2017 à 14h43

ç est con ,à faire ça je l'aurais fait sur la 5 .
je sors .


Icon hase505so n7k1wb - Eugenol
airylis

17/11/2017 à 14h57

Le titulaire est vieux, travaille a l'ancienne, etc etc.
Tout s'explique , les vieux ne font que de la merde ....Je suis bien placé pour le savoir !
Bon dans 15 jours, pour mes 73 ans je serai a la retraite et alors ciao eugenol je vous laisse entre "jeunes" qui ne font que des soins de qualité !


Generique fraisage r2rxmm - Eugenol
lardonbis

17/11/2017 à 15h13

airylis écrivait:
-------
>qui ne font que des soins de qualité !

je me sens pas trop visé du coup ;)
pfffuu


voorzitterst

17/11/2017 à 15h21

1 tu écoutes la chanson de Brassens en pensant à Airylis
2 sans radio pré-op difficile de se prononcer
3 des patients mécontents du dentiste précédent tu te méfieras car tu est le prochain sur la liste (je demande toujours au nouveau patient pourquoi il change de praticien)

Quand ils sont tout neufs,
Qu'ils sortent de l'œuf,
Du cocon,
Tous les jeun's blancs-becs
Prennent les vieux mecs
Pour des cons.
Quand ils sont d'venus
Des têtes chenu’s,
Des grisons,
Tous les vieux fourneaux
Prennent les jeunots
Pour des cons.
Moi, qui balance entre deux âges,
J' leur adresse à tous un message :

Le temps ne fait rien à l'affaire,
Quand on est con, on est con.
Qu'on ait vingt ans, qu'on soit grand-père,
Quand on est con, on est con.
Entre vous, plus de controverses,


Cons caducs ou cons débutants,
Petits cons d' la dernière averse,
Vieux cons des neiges d'antan.
Petits cons d' la dernière averse,
Vieux cons des neiges d'antan.
Vous, les cons naissants,
Les cons innocents,
Les jeun's cons
Qui, n' le niez pas,
Prenez les papas
Pour des cons,
Vous, les cons âgés,
Les cons usagés,
Les vieux cons
Qui, confessez-le,
Prenez les p'tits bleus
Pour des cons,
Méditez l'impartial message
D'un qui balance entre deux âges :

Le temps ne fait rien à l'affaire,
Quand on est con, on est con.
Qu'on ait vingt ans, qu'on soit grand-père,
Quand on est con, on est con.
Entre vous, plus de controverses,
Cons caducs ou cons débutants,
Petits cons d' la dernière averse,
Vieux cons des neiges d'antan.
Petits cons d' la dernière averse,
Vieux cons des neiges d'antan.


Avatar transparent iqadnc - Eugenol
adhoc

17/11/2017 à 15h38

Bé non, mon airylis, reste sur le nonol a ta retraite!!!

Ce que j'adore , c'est la transition entre deux phrases liées inconsciemment par hannibalecter.

> Le seul défaut étant qu'il avait pas bien expliquer le tout. Le titulaire est vieux, travaille a l'ancienne, etc etc. <

On a ici une juxtaposition de deux éléments verbaux : le manque de communication et l'age du praticien.
C'est sur, les jeunes communiquent beaucoup mieux, bonne orthographe, bonne grammaire, logique, jamais d'acronymes, charisme, répondent bien et remercient quand de l'aide est apportée ici.
Bien sur . :-)))
En tout cas, airylis, ils en chient plus que nous, c'est quand meme moins marrant pour eux....la cnsd et le socialisme sont passés par la....


Mm goodteeth2 ex0rr1 - Eugenol
Jules

17/11/2017 à 15h52

Quelques réflexions en vrac :

Quand le nouveau patient est content de son précédent dentiste, c'est qu'il a pris sa retraite ou qu'il est parti s'installer au soleil/à la montagne/sur la côte. Sinon, le patient te dit toujours qu'il était mauvais.

C'est difficile a posteriori de dire que l'endo n'était pas nécessaire. D'ailleurs d'où viendrait l'idée de faire une endo non nécessaire ? ;)

Ah oui une dernière, c'est ton titulaire, si vous vous fâchez et qu'il le décide, tu n'auras plus de cabinet ni de patients... Si tu n'es pas prêt à t'installer ou que tu n'as pas envie de changer de cabinet tout de suite, relativise....


8tercecn7hisbbqbde2nil4nyxrw - Eugenol
Hanibalecter

17/11/2017 à 15h58

CRAIG écrivait:
-----
> Elle avait d'autres dents dévitalisées?

Non aucune, ni aucun autre soins d'ailleur (pas de compo ou d'amalgame).



airylis écrivait:
-------
> Le titulaire est vieux, travaille a l'ancienne, etc etc.
> Tout s'explique , les vieux ne font que de la merde ....Je suis bien placé pour
> le savoir !
> Bon dans 15 jours, pour mes 73 ans je serai a la retraite et alors ciao eugenol
> je vous laisse entre "jeunes" qui ne font que des soins de qualité !

non je ne dit pas que les vieux travaillent mal, je dis que mon titulaire est vieux et travaille à l'ancienne effectivement.

Pas de digue, alors certe certain ne mettent pas de digue et n'ont pas de pb, mais chez lui on va dire que les TR sont pas top top (pas au bout, contamination salivaire probablement) et que a +1an voir +5ans y'aura une peche chez 80-90% de ses patients.
Les empreintes sont en full alginate, alors certe certain doivent se démerder pas mal avec l'alginate, mais chez les les adaptations de couronnes sont pas top top (probablement parce que les empreintes sont pas coulées dans la journée, que ses tailles sont pas top top (pas de congé visible).

Tout ca ce ne sont pas des reproches, tant qu'il assume et que ses patients sont satisfaits et que je n'ai pas a gérer ses retours, moi ca me va. C'est juste un constat


8tercecn7hisbbqbde2nil4nyxrw - Eugenol
Hanibalecter

17/11/2017 à 16h02

Jules écrivait:
-----
> Quelques réflexions en vrac :
>
> Quand le nouveau patient est content de son précédent dentiste, c'est qu'il a
> pris sa retraite ou qu'il est parti s'installer au soleil/à la montagne/sur la
> côte. Sinon, le patient te dit toujours qu'il était mauvais.
>
> C'est difficile a posteriori de dire que l'endo n'était pas nécessaire.
> D'ailleurs d'où viendrait l'idée de faire une endo non nécessaire ? ;)
>
> Ah oui une dernière, c'est ton titulaire, si vous vous fâchez et qu'il le
> décide, tu n'auras plus de cabinet ni de patients... Si tu n'es pas prêt à
> t'installer ou que tu n'as pas envie de changer de cabinet tout de suite,
> relativise....

Je suis d'accord, je ne peux pas etre certain de savoir si l'endo etait necessaire ou pas.
Dans tous les cas il n'a pas fait de radio pre op, ya deja un probleme. S'il se choppe un controle, il n'aura rien pour se couvrir.

D'ailleurs étant collab, s'il a un controle, suis je egalement controlé ? Je pense que non ca parait evident mais est ce que j'ai plus de risque d'etre controlé à l'avenir ? Si je reprend le cab, qu'il prend sa retraite, le CDC peut il me demander des indus sur des actes que je n'ai pas fais ?


Vw campersurfvan bmnk1q - Eugenol
enlaye

17/11/2017 à 16h03

Hanibalecter écrivait:
------------
"Tout ca ce ne sont pas des reproches, tant qu'il assume et que ses patients sont satisfaits et que je n'ai pas a gérer ses retours, moi ca me va."

et sinon , ça va toi ? , on peut faire quelque chose pour toi ?


Blue eye thumb medium dx1i0w - Eugenol
bill

17/11/2017 à 16h08

"Il est de fait que les vieux cons, comme vous dites, sont d’anciens jeunes cons restés fidèles aux mêmes valeurs sacrées de la condition humaine qui s’accommodent aussi bien de la banane sur l’œil à 18 ans que de la casquette Ricard à 50..."
Pierre Desproges dans Chroniques de la haine ordinaire :-)


--
https://endobox.fr/mode-demploi/


South park   craig te7bfk - Eugenol
CRAIG

17/11/2017 à 16h12

Hanibalecter écrivait:
------------
> CRAIG écrivait:
> -----
> > Elle avait d'autres dents dévitalisées?
>
> Non aucune, ni aucun autre soins d'ailleur (pas de compo ou d'amalgame).
>

Ce détail est suspect à mes yeux si on ajoute les symptômes qui ne semblaient pas correspondre à ceux d'une pulpite...

Mais bon en France on a tellement l'habitude de dévitaliser à la légère que.....


Utilisateur banni

17/11/2017 à 16h15

Faut le dénoncer à la police , c’est un scandale :)))


X ray 03 medium zvq18j - Eugenol
cyber_quenottes

17/11/2017 à 16h16

au vu de cette image ( mauvaise comme tu dis ) moi je couronne pas


South park   craig te7bfk - Eugenol
CRAIG

17/11/2017 à 16h23

junior® écrivait:
-------
> Faut le dénoncer à la police , c’est un scandale :)))


Si c'était ta gamine, ta femme ou ta mère tu rigolerais sûrement moins.....


8tercecn7hisbbqbde2nil4nyxrw - Eugenol
Hanibalecter

17/11/2017 à 16h23

enlaye écrivait:
------
> Hanibalecter écrivait:
> ------------
> "Tout ca ce ne sont pas des reproches, tant qu'il assume et que ses patients
> sont satisfaits et que je n'ai pas a gérer ses retours, moi ca me va."
>
> et sinon , ça va toi ? , on peut faire quelque chose pour toi ?

Je suis loin d'etre bon, c'est pour ca que je suis sur nonol, pour poster mes questions et mes cas foirés pour m'améliorer
Quand je fais mon bilan retrospectif sur 2 ans (depuis la these), j'ai faic bcp de merde
Et je pense que dans 2 ans, je me dirai que ce que je fais maintenant c'était aussi de la merde. Mais du moment que je vois là où je bosse pas bien et que je m'améliore c'est le principal. C'est quand tu refuses de voir la réalité que ca va poser des soucis.

J'ai eu bcp de casse de cr full ceram en posterieur cette année (3-4 sur une dizaine de posé, c'est énorme :/, je pose que du CCM habituellement), faudra que je fasse un topic la dessus. J'en ai juste fais un peu car mon protho me la proposé et du coup j'ai passé le cap, mais c'était pas une bonne idée :/ Du coup je refais les couronne cassé en CCM (a ma charge)
Bref l'erreur vient tres probablement de moi (probleme de taille, probleme de collage (faudra que je donne mon protocole exact), ou probleme de formation tout simplement. Du coup je n'en fais plus pour le moment tant que je n'ai pas trouvé la solution.

Donc je ne suis pas tout blanc non plus je suis d'accord


Mm goodteeth2 ex0rr1 - Eugenol
Jules

17/11/2017 à 16h33

Sinon dans TeamViewer, dans le menu "visualiser" t'as une option "privilégier la qualité", tu verras c'est mieux :)


Utilisateur banni

17/11/2017 à 16h45

CRAIG écrivait:
-----
> junior® écrivait:
> -------
> > Faut le dénoncer à la police , c’est un scandale :)))
>
>
> Si c'était ta gamine, ta femme ou ta mère tu rigolerais sûrement moins.....

J’ai pas de gamine ni de femme et plus de mère, ça tombe bien


6szjws718sv1jksw54v4mpj3a6cu - Eugenol
vulpi

17/11/2017 à 16h48

ça nous fait au moins un point commun.


PtnbZ

17/11/2017 à 16h49

C'est pour ca que tu es aussi taquin Junior, va taquiner une gonzesse tu verras c'est cool :))


8tercecn7hisbbqbde2nil4nyxrw - Eugenol
Hanibalecter

17/11/2017 à 16h56

Jules écrivait:
-----
> Sinon dans TeamViewer, dans le menu "visualiser" t'as une option "privilégier la
> qualité", tu verras c'est mieux :)

merci

Screenshot vzsg8n - Eugenol

Utilisateur banni

17/11/2017 à 17h04

n'empêche que maintenant grâce à ton titulaire, elle n’ a plus mal :) Merci qui ? Merci le titulaire :))


South park   craig te7bfk - Eugenol
CRAIG

17/11/2017 à 17h08

junior® écrivait:
-------
> CRAIG écrivait:
> -----
> > junior® écrivait:
> > -------
> > > Faut le dénoncer à la police , c’est un scandale :)))
> >
> >
> > Si c'était ta gamine, ta femme ou ta mère tu rigolerais sûrement moins.....
>
> J’ai pas de gamine ni de femme et plus de mère, ça tombe bien


Ah bah tes préférences sexuelles cela ne me regarde pas...😎


Bebert.

17/11/2017 à 17h13

En tout cas, au vu de la cavité d'accès j'aurai aussi un doute.
Ou alors mylolyse et/ou dent hypersensible au froid ou à la percussion. ??