Cookie Consent byPrivacyPolicies.comrestauration globale? - Eugenol
S2y2o1v7q53ws4r5wy6ou8czrpom - Eugenol
pxav

23/11/2017 à 20h09

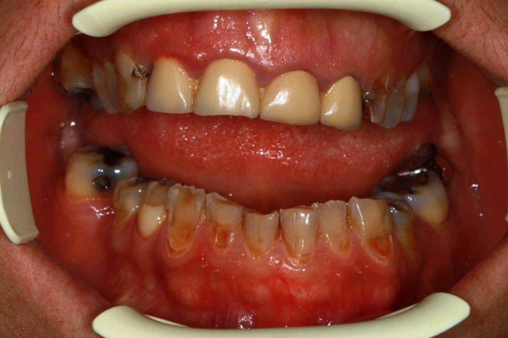
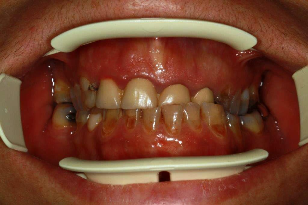
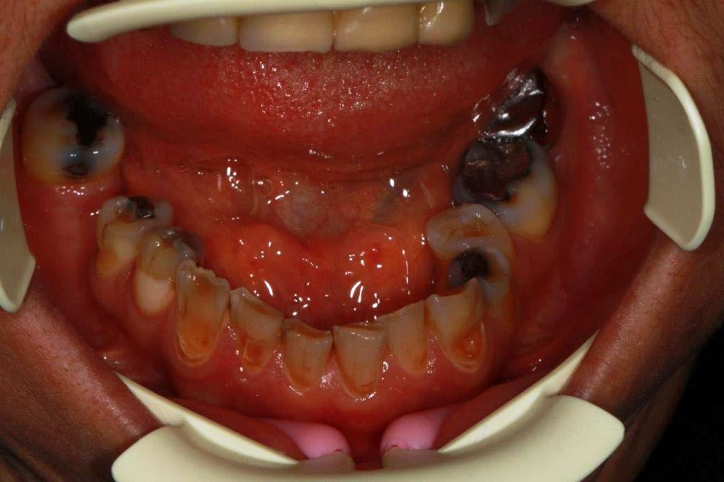
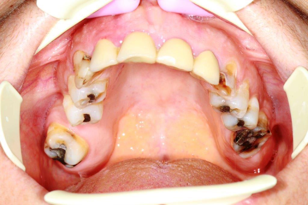
patiente 48 ans ...voudrait pouvoir manger et sourire...


--
xbk
La connaissance s'acquiert par l'expérience, tout le reste n'est que de l'information." ALBERT EINSTEIN

Iq0yljv5duhwkaluemcl - Eugenol
L8r9qaqnt11kii8xxtb8 - Eugenol
Ssfudtcocmdmgagrl1qu - Eugenol
Ghk3noaqzjhzze1iz2qx - Eugenol

S2y2o1v7q53ws4r5wy6ou8czrpom - Eugenol
pxav

23/11/2017 à 20h12




--
xbk
La connaissance s'acquiert par l'expérience, tout le reste n'est que de l'information." ALBERT EINSTEIN

Cha ka pano du 03.10 - Eugenol

Image r6habu - Eugenol
Thomas Crown

23/11/2017 à 20h44

L’etape des provisoires va être crucial.
J’hesite souvent entre 1mois et plus , comme si j’attendais qu’il se passe quelque chose , je sais pas ..


S2y2o1v7q53ws4r5wy6ou8czrpom - Eugenol
pxav

23/11/2017 à 20h48


Oui j'ai bien peur qu'il soit nécessaire de faire haut et bas en synchro....

--
xbk
La connaissance s'acquiert par l'expérience, tout le reste n'est que de l'information." ALBERT EINSTEIN


Vw campersurfvan bmnk1q - Eugenol
enlaye

23/11/2017 à 20h55

j'aime bien ce genre de plan .
presque sans ortho tu pourrais t'en sortir non ?


S2y2o1v7q53ws4r5wy6ou8czrpom - Eugenol
pxav

23/11/2017 à 20h56



Comme d'hab...😀
--
xbk
La connaissance s'acquiert par l'expérience, tout le reste n'est que de l'information." ALBERT EINSTEIN


Vw campersurfvan bmnk1q - Eugenol
enlaye

23/11/2017 à 21h00

grace à Brigitte :-))


S2y2o1v7q53ws4r5wy6ou8czrpom - Eugenol
pxav

23/11/2017 à 21h32


Elle va effectivement faire les wax up...

--
xbk
La connaissance s'acquiert par l'expérience, tout le reste n'est que de l'information." ALBERT EINSTEIN


Vw campersurfvan bmnk1q - Eugenol
enlaye

23/11/2017 à 21h47

y a enlaystradamus qui veille :-))


Nouveau image bitmap fz77zh - Eugenol
Sethef

23/11/2017 à 22h47

Chouette cas, le plus dur sera évidemment de lever l'articulé croisé.
La DV est-elle conservée? Ce sera plus simple si il faut la remonter.

Le cas est déjà traité?


S2y2o1v7q53ws4r5wy6ou8czrpom - Eugenol
pxav

23/11/2017 à 22h56

Non je ne croyais pas que ce cas se ferait, et la patiente vient de decider...donc empreintes et réflexions.
Devis accepté acompte versé il me reste a trouver la solution.
À priori travail sur dents vivantes sauf celles qui sont. Déjà traitées dv légèrement modifiée,et retablir une occlusion standard...un peu chaud quand même.
Pas d'implant prévu ni ortho
On va faire chauffer l'Emax....


--
xbk
La connaissance s'acquiert par l'expérience, tout le reste n'est que de l'information." ALBERT EINSTEIN


Vw campersurfvan bmnk1q - Eugenol
enlaye

23/11/2017 à 23h24

j'aimerais bien avoir un photo des moulages en occlusion vue de derrière . ç est possible ?


Vw campersurfvan bmnk1q - Eugenol
enlaye

23/11/2017 à 23h26

et aussi , ta patiente peut elle te donner 1 historique ? ( l'ordre ) des travaux qui ont étés faits .


Nouveau image bitmap fz77zh - Eugenol
Sethef

23/11/2017 à 23h26

J'ai bien l'impression de voir quelques détails, mais ça me ferait drôle de te les énumérer; connaissant la qualité de tes réalisations, je trouverai ça un peu décalé.

Pour la même raison, même si c'est évidemment loin d'être un cas simple, je n'y vois pas d'énorme difficulté surtout pour toi. So what?

(tiens, les collets s'aligneront probablement tous seuls en repositionnant 21 22 23, celle là c'est enlaye qui me l'a apprise).


Nouveau image bitmap fz77zh - Eugenol
Sethef

23/11/2017 à 23h27

Pff, un disjoncteur à 6 ans aurait évité tellement d'emmerdes.


S2y2o1v7q53ws4r5wy6ou8czrpom - Eugenol
pxav

23/11/2017 à 23h32


Suis en we donc la suite photo semaine prochaine
Par contre n'hésitez pas à noter ce qui vous passe par la tête j'enregistre je mixe et ça me guide vers la ou les solutions
C'est l'intérêt de ce genre de post.
J'ai un autre boulot en cours ce we...

--
xbk
La connaissance s'acquiert par l'expérience, tout le reste n'est que de l'information." ALBERT EINSTEIN

20171117 143404 oljkg2 hjvolm - Eugenol

S2y2o1v7q53ws4r5wy6ou8czrpom - Eugenol
pxav

23/11/2017 à 23h33




--
xbk
La connaissance s'acquiert par l'expérience, tout le reste n'est que de l'information." ALBERT EINSTEIN


Nouveau image bitmap fz77zh - Eugenol
Sethef

23/11/2017 à 23h35

Je regardais comment retrouver le plan d'occlusion, je tirerais ma plaque de fox depuis les pointes canines mandibulaires, provisoires en postérieur, puis provisoires en postérieur maxillaire à la hauteur qui te convient, dans la même séance. Je laisse la béance antérieure créée jusqu'à la prochaine, elle devrait déjà se sentir un peu plus relax.
Séance suivante, horizontalisation (on n'a pas les repères du visage) de la ligne incisive mandibulaire, provisoires devant au maxillaire. Ca devrait permettre d'y voir plus clair.


Vw campersurfvan bmnk1q - Eugenol
enlaye

23/11/2017 à 23h46


sur ce cas , il y a 1 truc de particulier ,,ç est que les dents de devant sont solidarisées ( d'apres la pano )
ce qui voudrait dire que lorsque le bridge a été fait ,il y avait déjà la compensation osseuse et l'occlusion croisée .
imaginons que dans un 1er temps ,on coupe les solidarisations uniquement entre les centrales et que l'on gratte les couronnes pour arriver presqu'en en bout à bout de 21+22+23 . (le plus dur serait le préjudice esthétique de cette période .)
et en faisant des compo de glissement sur les dents antago du bas
ce serait déjà pas mal ( si pas d'ortho ,bien sur ).
à cela le fait de faire comme une élongation coronaire legere , l'os deviendrait plus souple et le rattrapage ultérieur par des ic serait plus facile .


Vw campersurfvan bmnk1q - Eugenol
enlaye

24/11/2017 à 00h06

ah oui ,ç est pas bête Sethef , ton histoire de béance temporaire .


Nouveau image bitmap fz77zh - Eugenol
Sethef

24/11/2017 à 00h19

C'est un peu le même but que toi, libérer le bazar pour lui permettre de propulser la mandibule, là je n'ose pas parler de mouvement d'incision.
En fait à la fin de la première séance, elle devrait déjà avoir des postérieures alignées sur le plan d'occlusion recherché, des pentes cuspidiennes toutes plates, et une sacrée liberté de mouvement.
Bon, ça implique une quinzaine de prep dans la séance, mais en prévoyant la mtinée ça se fait. Et après, sur un coup comme ça, c'est dodo.


Vw campersurfvan bmnk1q - Eugenol
enlaye

24/11/2017 à 00h21

ou même une gouttière avec libération des dents de devant .
pas propulser la mand , le contraire tu voulais dire , non?

"Et après, sur un coup comme ça, c'est dodo."
sur!!


S2y2o1v7q53ws4r5wy6ou8czrpom - Eugenol
pxav

24/11/2017 à 08h52

Sethef écrivait:
------
> Je regardais comment retrouver le plan d'occlusion, je tirerais ma plaque de fox
> depuis les pointes canines mandibulaires, provisoires en postérieur, puis
> provisoires en postérieur maxillaire à la hauteur qui te convient, dans la même
> séance. Je laisse la béance antérieure créée jusqu'à la prochaine, elle devrait
> déjà se sentir un peu plus relax.

ceci me fait réfléchir, j'ai tendance à commencer par le maxillaire, car il est fixe dans l'espace, contrairement à la mandibule qui porte avec elle les défauts d'occlusions, latéro-déviation etc...accumulées pendant de nombreuses années, néanmoins ceci n'est pas forcement figé dans mon esprit, donc éventuellement....
> Séance suivante, horizontalisation (on n'a pas les repères du visage) de la
> ligne incisive mandibulaire, provisoires devant au maxillaire. Ca devrait
> permettre d'y voir plus clair.


--
xbk
La connaissance s'acquiert par l'expérience, tout le reste n'est que de l'information." ALBERT EINSTEIN


lachmar

24/11/2017 à 08h53



le genre de cas qu'on aime tous

le patient en forte demande

de beaux geste techniques à faire : possibilité de garder un max vivant ( , et beaucoup moins compliqué que ca n'en a l'air , mêm si tu ne peux pas augmenter la hauteur tu fais quand même un boulot top les doigts dans le nez

valorisant dès les premiers gestes (temporisation antérieure pour te faire plaisir)
nous curieux de voir ce que ca donnera à la fin

tu ne peux pas perdre

régale toi


S2y2o1v7q53ws4r5wy6ou8czrpom - Eugenol
pxav

24/11/2017 à 08h56

enlaye écrivait:
------
>
> sur ce cas , il y a 1 truc de particulier ,,ç est que les dents de devant sont
> solidarisées ( d'apres la pano )
> ce qui voudrait dire que lorsque le bridge a été fait ,il y avait déjà la
> compensation osseuse et l'occlusion croisée .
> imaginons que dans un 1er temps ,on coupe les solidarisations uniquement entre
> les centrales et que l'on gratte les couronnes pour arriver presqu'en en bout à
> bout de 21+22+23 . (le plus dur serait le préjudice esthétique de cette période
> .)
> et en faisant des compo de glissement sur les dents antago du bas
> ce serait déjà pas mal ( si pas d'ortho ,bien sur ).
> à cela le fait de faire comme une élongation coronaire legere , l'os deviendrait
> plus souple et le rattrapage ultérieur par des ic serait plus facile .
>

il est effectivement prévu de libérer les antérieures de ce traitement sadomaso... mais je ne suis pas chaud pour les compos de glissement dans ce cas, elle a trop de mal à établir une occlusion stable...
--
xbk
La connaissance s'acquiert par l'expérience, tout le reste n'est que de l'information." ALBERT EINSTEIN


12...