Cookie Consent byPrivacyPolicies.comrestauration globale? - Eugenol
S2y2o1v7q53ws4r5wy6ou8czrpom - Eugenol
pxav

08/10/2019 à 18h38

oui et apparemment, certains "pollueurs" sont absent du forum, ce qui donne envie de revenir poster
j'ai bien 2 ou 3 cas de chir. qui trainent, faudrait que je poste ça...


--
xbk
La connaissance s'acquiert par l'expérience, tout le reste n'est que de l'information." ALBERT EINSTEIN


S2y2o1v7q53ws4r5wy6ou8czrpom - Eugenol
pxav

30/10/2019 à 15h41


contrôle ce jour...

--
xbk
La connaissance s'acquiert par l'expérience, tout le reste n'est que de l'information." ALBERT EINSTEIN

Img 8750 ilxrru - Eugenol
Img 8752 qgshgk - Eugenol
Img 8754 yjsxdb - Eugenol

Bebe 038 nf8eum - Eugenol
danteyeah

30/10/2019 à 20h08

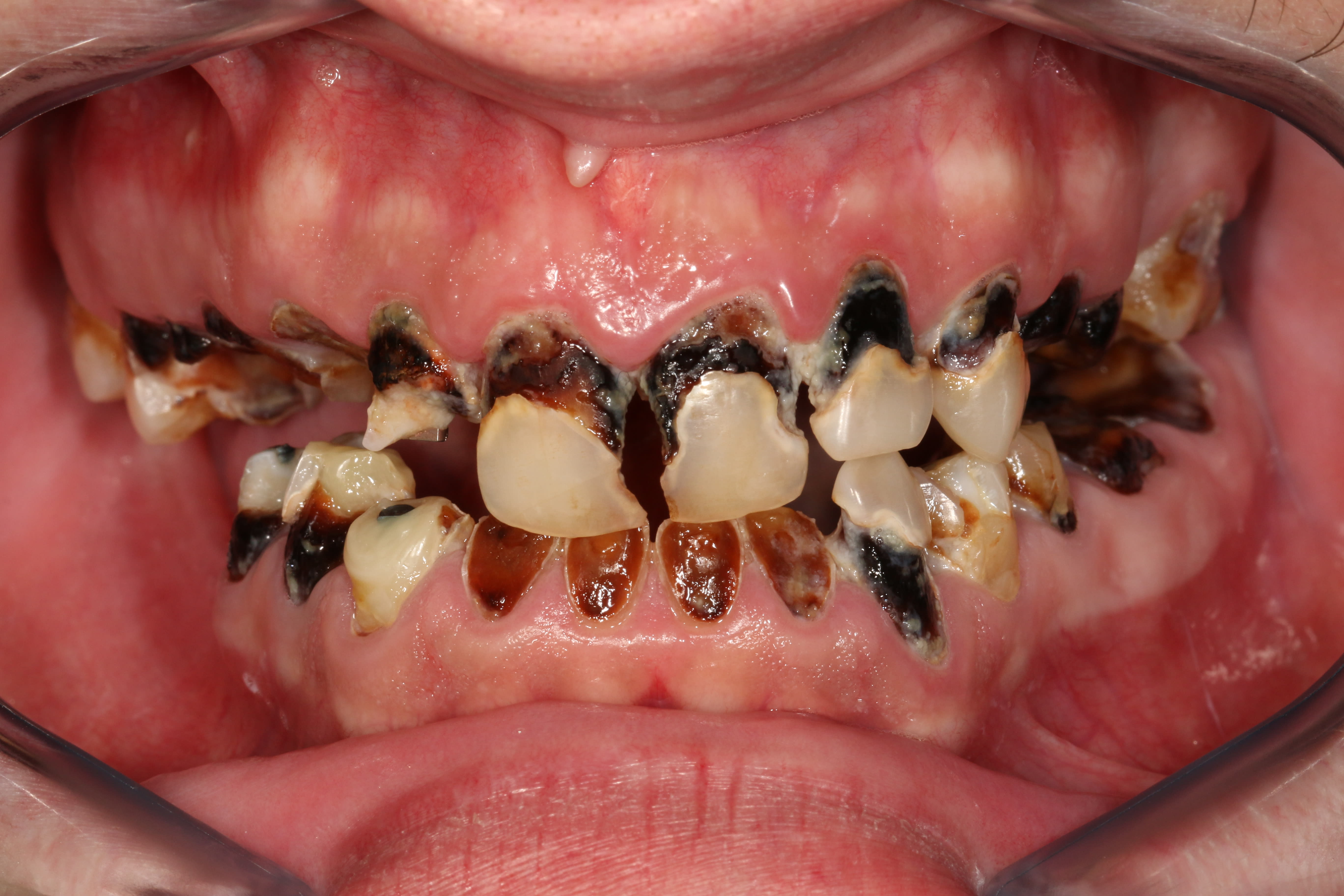
Chouette journée, toujours aussi bon l'ami....sauf en cadrage photo ;-) changes rien.

Ma p'tite B.A. CMU de l'été. On en a chier mais dans la joie et la bonne humeur et ni le gamin, ni moi ne regrettons l'aventure

Img 4358 y1ozac - Eugenol
Img 4454 fdy61f - Eugenol

Hok 1b hgd3rj - Eugenol
Hokusai

30/10/2019 à 20h18

T as une pano avant après danteyeah ??


S2y2o1v7q53ws4r5wy6ou8czrpom - Eugenol
pxav

30/10/2019 à 20h21

danteyeah écrivait:
---------
> Chouette journée, toujours aussi bon l'ami....sauf en cadrage photo ;-) changes
> rien.
>
> Ma p'tite B.A. CMU de l'été. On en a chier mais dans la joie et la bonne humeur
> et ni le gamin, ni moi ne regrettons l'aventure

Superbe ton cas... Désolé pour le cadrage .....
--
xbk
La connaissance s'acquiert par l'expérience, tout le reste n'est que de l'information." ALBERT EINSTEIN


danteyeah écrivait:
---------
> Chouette journée, toujours aussi bon l'ami....sauf en cadrage photo ;-) changes
> rien.
>
> Ma p'tite B.A. CMU de l'été. On en a chier mais dans la joie et la bonne humeur
> et ni le gamin, ni moi ne regrettons l'aventure

C'est vrai que c'est bien photoshop ;-))

Nan , j'déconne, super boulot.


Bebe 038 nf8eum - Eugenol
danteyeah

30/10/2019 à 20h49

Hokusai écrivait:
-------
> T as une pano avant après
Avant oui, c’était encore vivant quasi partout....y’a eu du taf, on y a passé tout l’été au frais sous la clim


Vw campersurfvan bmnk1q - Eugenol
enlaye

30/10/2019 à 20h53

enlaye écrivait: en 2018
------
" si fracture tu auras ce sera sur les faces proxy au niveau post . je dis bien si "

dis moi , il n y aurait pas une fracture de ceram entre 16 et 17 ?? :-))


Bebe 038 nf8eum - Eugenol
danteyeah

30/10/2019 à 20h55

ℙ𝕖𝕣𝕧𝕖𝕣𝕤 ℙé𝕡è𝕣𝕖 écrivait:
--------------
> danteyeah écrivait:
> ---------
> > Chouette journée, toujours aussi bon l'ami....sauf en cadrage photo ;-)
> changes
> > rien.
> >
> > Ma p'tite B.A. CMU de l'été. On en a chier mais dans la joie et la bonne
> humeur
> > et ni le gamin, ni moi ne regrettons l'aventure
>
> C'est vrai que c'est bien photoshop ;-))
>
> Nan , j'déconne, super boulot.

Quitte à faire du Photoshop j’aurais pris les références prothétique du MOF et pas du Tong


Vw campersurfvan bmnk1q - Eugenol
enlaye

30/10/2019 à 21h39

tres joli ton cas CMU Danteyeah .


Ylfwcw979cz1jnx9gfqeaxndiuzk - Eugenol
Algi

30/10/2019 à 22h59

Espérons il traite mieux tes dents que les siennes....

Mais sait on jamais, peut être tu te seras pas donné tout ce mal pour rien.

Sympa. Bravo.


--

https://open.spotify.com/user/8iz7teu84dfphmgspeh2979o8/playlist/59Tfpt7zoHfkI27430lfNg?si=MAiYEkb2S6mMV6qNX2aFwg


On a toujours le choix mais entre quoi et quoi?
Vas-y boulégue et l'avenir te le dira!


Pubg2 rjl8jc - Eugenol
lemondestvaste

31/10/2019 à 09h38

Magnifique boulot ! Merci pour le partage !

Tu as gardé des dents vivantes ou bio partout ? Plutôt tfm ou compo tenon ? Comment as tu organisé tes séances de soins ?


Bebe 038 nf8eum - Eugenol
danteyeah

31/10/2019 à 13h55

Algi écrivait:
----
> Espérons il traite mieux tes dents que les siennes....
>
> Mais sait on jamais, peut être tu te seras pas donné tout ce mal pour rien.
>
> Sympa. Bravo.
>
Le Gamin m'a ramené 20 ans en arrière, j'étais jeune installé à l'époque et un gars 20-25 ans c'était pointé au cab avec grosso-modo la même tronche, et avec tous les stigmates de la dépression (seul, habite chez Môman, surement puceau, aucune confiance en soi et pas de job). Trop content d'avoir un gars qui me fasse confiance, j'y donne tout ce que j'ai dans le bide, et résultat des courses 1 an plus tard, il revient marié avec un job et tout sourire.
Si je peux aider le gamin d'aujourd'hui comme celui d'il y a 20 ans à sortir de sa torpeur, alors j'ai gagné, et si après ça il a encore besoin de soin "dentaire", je suis là pour ça. Pour l'instant j'espère simplement avoir fait juste un peu plus que la dentisterie.....j'espère.


Bebe 038 nf8eum - Eugenol
danteyeah

31/10/2019 à 14h00

lemondestvaste écrivait:
--------------
> Magnifique boulot ! Merci pour le partage !
>
> Tu as gardé des dents vivantes ou bio partout ? Plutôt tfm ou compo tenon ?
> Comment as tu organisé tes séances de soins ?

On reste dans le cahier des charges du panier CMU, et non y'a presque plus rien de vital, et pour certaines il a fallu faire de l'élongation et de la reprise endo gratis. C'est tout IC et CCM scellé à l'ancienne.
Et l'organisation c'est simple: mois d'Aout, fait 40° à l'ombre, pas un chat à l'horizon, donc il a bien voulu me tenir compagnie scotché au fauteuil toute la journée 1X par semaine.... le pauvre, il en a chier


S2y2o1v7q53ws4r5wy6ou8czrpom - Eugenol
pxav

31/10/2019 à 16h17

danteyeah écrivait:
---------
Pour l'instant j'espère simplement avoir fait
> juste un peu plus que la dentisterie.....j'espère.

cool de lire ça, perso j'ai un équivalent cmu, mais pas de photo désolé, et panier mal respecté car tout est en Emax.. bravo à toi et ne changes rien ...
--
xbk
La connaissance s'acquiert par l'expérience, tout le reste n'est que de l'information." ALBERT EINSTEIN


Vw campersurfvan bmnk1q - Eugenol
enlaye

31/10/2019 à 18h30

et entre 16 et 17 , alors ? on ne change tjs rien , on ne touche à rien ? , devant ?

Inkedinkedimg 8750 ilxrru li att2sr - Eugenol

S2y2o1v7q53ws4r5wy6ou8czrpom - Eugenol
pxav

31/10/2019 à 19h59



Ben non on ne touche à rien 😉
--
xbk
La connaissance s'acquiert par l'expérience, tout le reste n'est que de l'information." ALBERT EINSTEIN


S2y2o1v7q53ws4r5wy6ou8czrpom - Eugenol
pxav

31/10/2019 à 20h07


si tu regardes la photo à la pose, même défauts..

--
xbk
La connaissance s'acquiert par l'expérience, tout le reste n'est que de l'information." ALBERT EINSTEIN

Img 6144 mwluw6 jnmwrw - Eugenol
Inkedinkedimg 8750 ilxrru li att2sr octanz - Eugenol

S2y2o1v7q53ws4r5wy6ou8czrpom - Eugenol
pxav

14/01/2020 à 13h00


donc tu avais raison Enlaye... le bridge à cassé (sur un carambar quand même:-))
dépose, nettoyage sablage des couronnes récupérable et pose d' implant, uniquement en manuel (os tendre)

--
xbk
La connaissance s'acquiert par l'expérience, tout le reste n'est que de l'information." ALBERT EINSTEIN

029 lbedjl - Eugenol
030 l2v2ab - Eugenol
031 eprqqn - Eugenol
032 ar3ton - Eugenol
033 bghvnq - Eugenol
039 xjmgt2 - Eugenol
041 yfawnc - Eugenol

Vw campersurfvan bmnk1q - Eugenol
enlaye

14/01/2020 à 13h33

ben oui ç était prévisible , à cause des 2 flèches bleues plus haut .
ç est un grand classique ça . quand tu ne peux pas être libre devant , tu t énerves derrière .
et ç est meme pas derriere en fait , mais plutôt dans une zone la plus éloignée possible de devant .
donc ç est derrière et de coté . en diagonale , quoi .
il s avère qu en plus là, derrière , ç est nouveau bridge , donc pas encore usé à sa convenance , tout au moins en latéral .
alors elle s engatse dessus avec beaucoup de force puisque ç est tout pres de l axe charniere .
là où ç est vicieux , ç est que si ton bridge etait pipé avec une grosse erreur occlusale , ben il serait tjs là , entier .
il serait tjs là , pcq si l erreur était plus importante à l arrière ,sur un bridge à la con , elle aurait eu mal soit a l atm soit aux dents antagonistes , et elle aurait cherché un autre endroit pour aller se désénerver . en l occurrence elle t aurait fracassé le bloc ant .
alors maintenant que tu a résolu le pb post ( qui n était qu une conséquence de devant ) méfies , par sympathie pour toi , je te conseillerais de vite vite retoucher au niveau des 2 flèches bleues .
si tu ne le fais pas , tu vas encore dire que je suis un chat noir , un enlaystradamus :-))))


Vw campersurfvan bmnk1q - Eugenol
enlaye

14/01/2020 à 13h43

puis aussi la crete mesiale de la 14 coté palatin , faut retoucher .


S2y2o1v7q53ws4r5wy6ou8czrpom - Eugenol
pxav

14/01/2020 à 14h00

je vais donc stocker 2 implants pour la zone antérieure.... :-))


--
xbk
La connaissance s'acquiert par l'expérience, tout le reste n'est que de l'information." ALBERT EINSTEIN


1...1112