Cookie Consent byPrivacyPolicies.comrestauration globale? - Eugenol
S2y2o1v7q53ws4r5wy6ou8czrpom - Eugenol
pxav

06/12/2017 à 11h20



Tres bonne idée
--
xbk
La connaissance s'acquiert par l'expérience, tout le reste n'est que de l'information." ALBERT EINSTEIN


Generique fraisage r2rxmm - Eugenol
lardonbis

06/12/2017 à 11h22

enlaye écrivait:
------
> Ca s appelle prendre la centree .

prendre la centrée là dessus bonjour l'angoisse.
J'ai deja essayé elle veulent pas, ou alors une fois quand t'as les yeux dedans et plus jamais quand tu veux enregistrer.
Après je te l'accorde t'en as qui comprennent direct et arrive même a te la refaire presque pareil plusieurs fois.


Dprtmuluo7sk4wxn8aabgsxy7sde - Eugenol
Pervers Pépère

06/12/2017 à 11h30

"ça sert à rien, l'occluso" (Didier Deschamps)

;)))

Index xqc2ed - Eugenol

S2y2o1v7q53ws4r5wy6ou8czrpom - Eugenol
pxav

06/12/2017 à 12h12

lardonbis écrivait:
---------
> enlaye écrivait:
> ------
> > Ca s appelle prendre la centree .
>
> prendre la centrée là dessus bonjour l'angoisse.
> J'ai deja essayé elle veulent pas, ou alors une fois quand t'as les yeux dedans
> et plus jamais quand tu veux enregistrer.
> Après je te l'accorde t'en as qui comprennent direct et arrive même a te la
> refaire presque pareil plusieurs fois.

tout à fait d'accord, souvent nous ne pouvons utiliser que la B... et le couteau...
--
xbk
La connaissance s'acquiert par l'expérience, tout le reste n'est que de l'information." ALBERT EINSTEIN


mr smith

06/12/2017 à 13h00

pxav écrivait:
----
>
> Pas de céramique en postérieur sur ma patiente une metal sur 37 que j'ai viré
>

Desole je parlais du cas d’algi


Vw campersurfvan bmnk1q - Eugenol
enlaye

06/12/2017 à 13h27

lardonbis écrivait:
---------
> enlaye écrivait:
> ------
" J'ai deja essayé elle veulent pas, ou alors une fois quand t'as les yeux dedans et plus jamais quand tu veux enregistrer."

Je vois tres bien de qui tu veux parler:
eh bien celles là , il faut les limer direct d entree de jeux .:-))

En fait , il y a 1 interference ou 1 prema , celle qui lui fait faire le fameux crouiic .
Quand tu lui prends gentillement le menton en lui faisant des papouilles , elle se decontracte et elle se retrouve en centree .
Mais la fois d apres comme on a pas le temps de lui faire des gazous gazous de longue , elle se braque et "elle ne veut plus ".
Alors que si tu l as bien limé la 1ere fois , il n y a plus l interference , et apres c est du beurre a chaque fois .:-)


Ylfwcw979cz1jnx9gfqeaxndiuzk - Eugenol
Algi

06/12/2017 à 13h53

Et sinon..... concernant les occlusions inversées chez les vieux.... et l'ortho qu'on peut leur proposer.

Patient quarante cinq ans. Bruxe, serre, tendu acouphénes, cephallées, visites recurrentes chez les osteo sans resultats, cadre sup ingenieur boite helicos bien connue, stressé++++, vit à 200 à l'heure....

Ici pas possibilté remonter la dv car en quasi bout à bout de base.

Dents naturelles m'interdisant d'envisager de la prothèse en premiere intention.

Faire une gouttiere l'aurait peut être amené à un positionnement plus confortable mais aurait conduit à reconstruire ensuite les dents pour se caler comme avec la gouttiere.
Solution qui aurait certes été lucrative mais allait à l'encontre de mes principes et de son portefeuille (quoi que, chez airbus, les cadres (pas les os, faut pas deconner) y z'ont une bonne mutuelle..... ais-je été con?).

Du coup lui ai refilé un activateur de soulet et besombes et expliqué quoi en faire. Au passage, certains appellent ça "dentosophie" et disent que ça marche jamais!

L'a porté consciencieusement, en a bouffé beaucoup mais on a obtenu "ça" en moins d'un an.

Mieux du point de vue DDM et inversé de l'articulé, mieux en "général" aussi même si je l'ai envoyé faire de l'hypnose pour finir de gérer le stress ...


6szjws718sv1jksw54v4mpj3a6cu - Eugenol
vulpi

06/12/2017 à 13h59

;


Generique fraisage r2rxmm - Eugenol
lardonbis

06/12/2017 à 14h10

enlaye écrivait:
------

> Alors que si tu l as bien limé la 1ere fois , il n y a plus l interference , et
> apres c est du beurre a chaque fois .:-)


dur de limer direct au premier RDV, surtout si elle à payé son bridge 46/47/48 les yeux de la tête ( chez moi c'est toujours les 7 ou 8 du bas, les autre je dois pas les voir).
mais je vois le principe.
sinon plutot que balader le menton je conseille des petites pichenettes sur le bout du nez en faisant "bouloum bouloum" ou "gouzi gouzi". J'ai appris ça de mon premier titulaire et c'est pas mal: les chieurs reviennent pas et les autres oublient parfois de fermer de traviole.


Vw campersurfvan bmnk1q - Eugenol
enlaye

06/12/2017 à 14h32

Pas de pitié pour le bridges 678 du bas . C est de la charogne iatrogene .


Ylfwcw979cz1jnx9gfqeaxndiuzk - Eugenol
Algi

06/12/2017 à 15h07

la patiente fume pas mais comme elle joue au bridge peut être fumerait-elle des dunhill.... nan je la soupçonne plutot de dormir la bouche ouverte.

donc possible assechement des dents...

ses coiffes: on a tout essayé.... chappe or jaune+facette resine en haut à gauche, coiffes zircone en bas, coiffes peek sur implants en haut à droite....

donc pas de ccm malheureuse elles auraient pas tenu 6 mois!


--
On a toujours le choix mais entre quoi et quoi?
Vas-y boulégue et l'avenir te le dira!


S2y2o1v7q53ws4r5wy6ou8czrpom - Eugenol
pxav

06/12/2017 à 16h56

on avance


--
xbk
La connaissance s'acquiert par l'expérience, tout le reste n'est que de l'information." ALBERT EINSTEIN

Img 5953 dg5f79 - Eugenol
Img 5954 corwbg - Eugenol
Img 5955 lcufkr - Eugenol
Img 5956 iddzmt - Eugenol
Img 5957 hgg1wz - Eugenol

Utilisateur banni

06/12/2017 à 17h12

J’ai le frère de la patiente de Pxav qui est passé au cabinet :

59d8e73b a5ff 418f b569 5581868fa05e bshljh - Eugenol

Pubg2 rjl8jc - Eugenol
lemondestvaste

06/12/2017 à 17h36

Dommage que la photo manque de netteté ... (http://thedentalist.fr/tag/photographie-dentaire/).
Moi j'ai son cousin ... je le posterai samedi une fois documenté. Même acabit ... J'ai plutôt tendance à penser ortho pour commencer.


Pubg2 rjl8jc - Eugenol
lemondestvaste

06/12/2017 à 17h38

Pour le bloc ic md tu partirais sur des cr ou des facettes ?


Ylfwcw979cz1jnx9gfqeaxndiuzk - Eugenol
Algi

06/12/2017 à 18h26

Et voilà! Ai voulu faire plaisir à v ulpi et suis pas arrivé à editer avec les photos comme il les voulait!

Je recommence + tard.


--
On a toujours le choix mais entre quoi et quoi?
Vas-y boulégue et l'avenir te le dira!


Ylfwcw979cz1jnx9gfqeaxndiuzk - Eugenol
Algi

06/12/2017 à 19h18

Patient quarante cinq ans. Bruxe, serre, tendu acouphénes, cephallées, visites recurrentes chez les osteo sans resultats, cadre sup ingenieur boite helicos bien connue, stressé++++, vit à 200 à l'heure....

Ici pas possibilté remonter la dv car en quasi bout à bout de base.

Dents naturelles m'interdisant d'envisager de la prothèse en premiere intention.

Faire une gouttiere l'aurait peut être amené à un positionnement plus confortable mais aurait conduit à reconstruire ensuite les dents pour se caler comme avec la gouttiere.
Solution qui aurait certes été lucrative mais allait à l'encontre de mes principes et de son portefeuille (quoi que, chez airbus, les cadres (pas les os, faut pas deconner) y z'ont une bonne mutuelle..... ais-je été con?).

Du coup lui ai refilé un activateur de soulet et besombes et expliqué quoi en faire. Au passage, certains appellent ça "dentosophie" et disent que ça marche jamais!

L'a porté consciencieusement, en a bouffé beaucoup mais on a obtenu "ça" en moins d'un an.

Mieux du point de vue DDM et inversé de l'articulé, mieux en "général" aussi même si je l'ai envoyé faire de l'hypnose pour finir de gérer le stress ... Chez un pote à halboy


--
On a toujours le choix mais entre quoi et quoi?
Vas-y boulégue et l'avenir te le dira!

Dsc02211 brgf6q - Eugenol
Dsc02213 ypiu2u - Eugenol
Dsc02212 y5fn8f - Eugenol
Dsc02214 jjag0u - Eugenol
Img 0401 mno58r - Eugenol
Img 0400 f5m84x - Eugenol

Smile beach jgh0a1 - Eugenol
Céramik

07/12/2017 à 01h27

Tu as gagné vraiment qq chose en 1 an ?
Le bas a bougé un peu, le haut bof.
Pourquoi pas ortho/expansion ?
Photo clinique avant / après ?



--
Céramik


Ylfwcw979cz1jnx9gfqeaxndiuzk - Eugenol
Algi

07/12/2017 à 08h25

Ouille..... ceramik me cherche ;0)

Le but initial c'était pas de faire de l'ortho même si j'esperais une amelioration mais essayer d'amener un patient en souffrance à aller mieux.

Chose faite.

Et sinon il ne souhaitait pas faire d'ortho mais solutionner ses soucis d'oclusion.


--
On a toujours le choix mais entre quoi et quoi?
Vas-y boulégue et l'avenir te le dira!


Pubg2 rjl8jc - Eugenol
lemondestvaste

14/12/2017 à 16h09

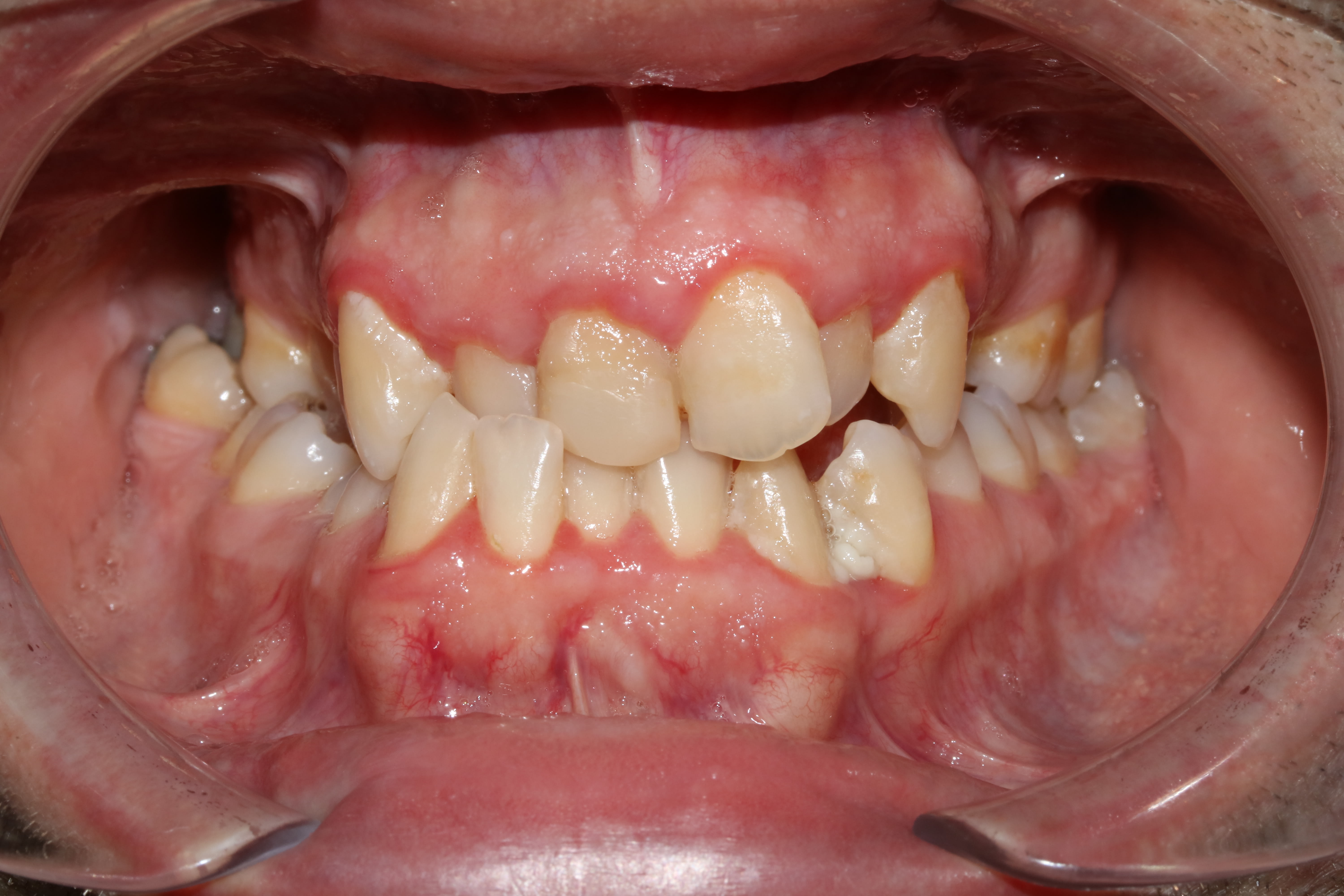
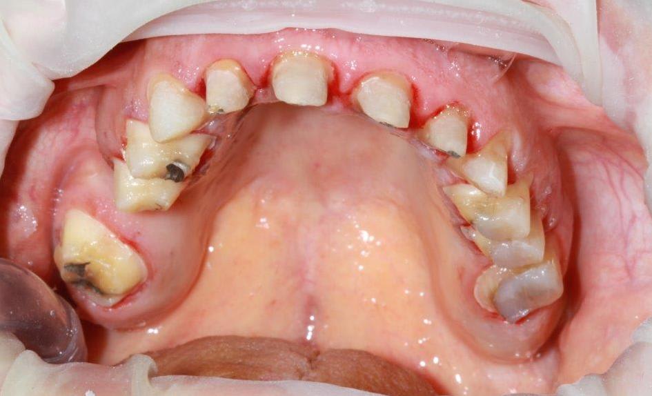
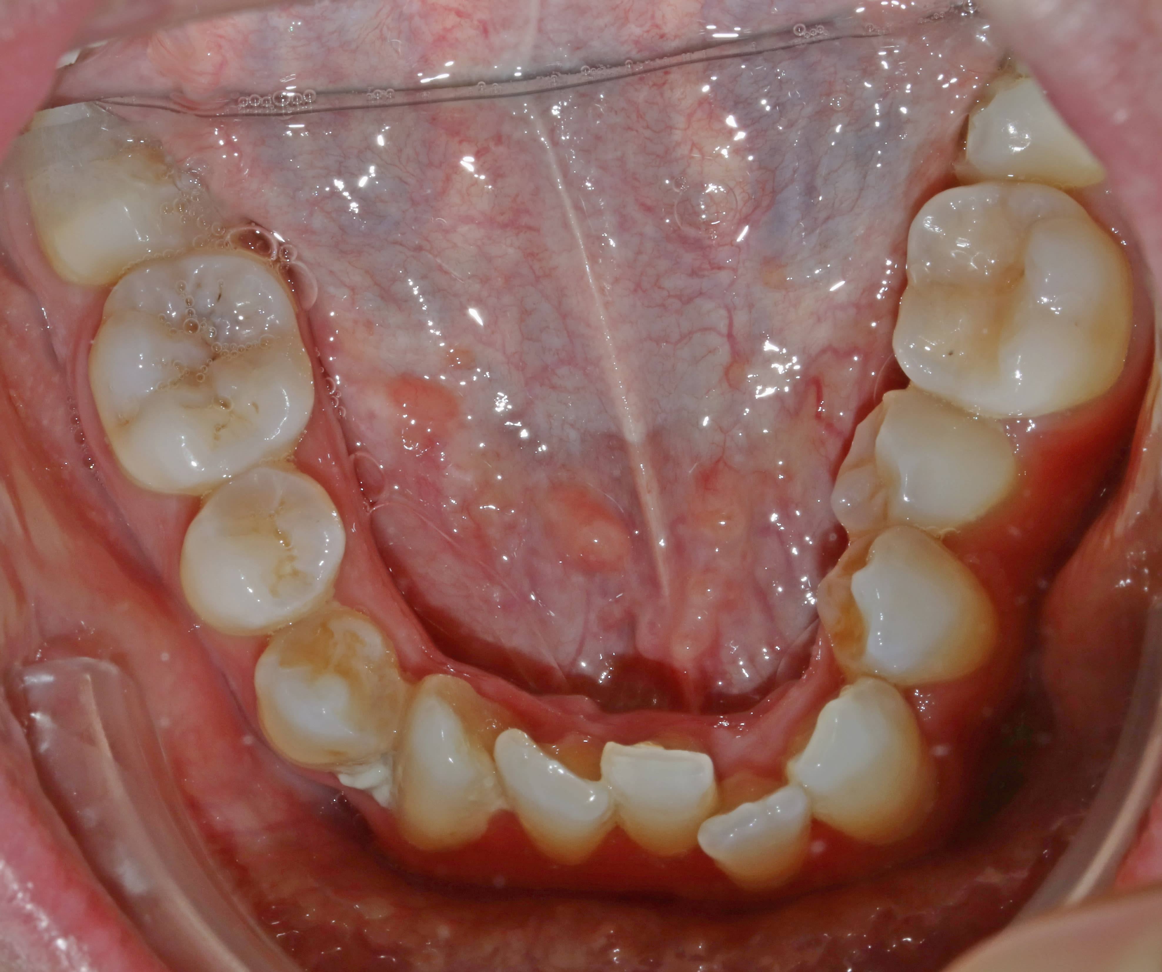
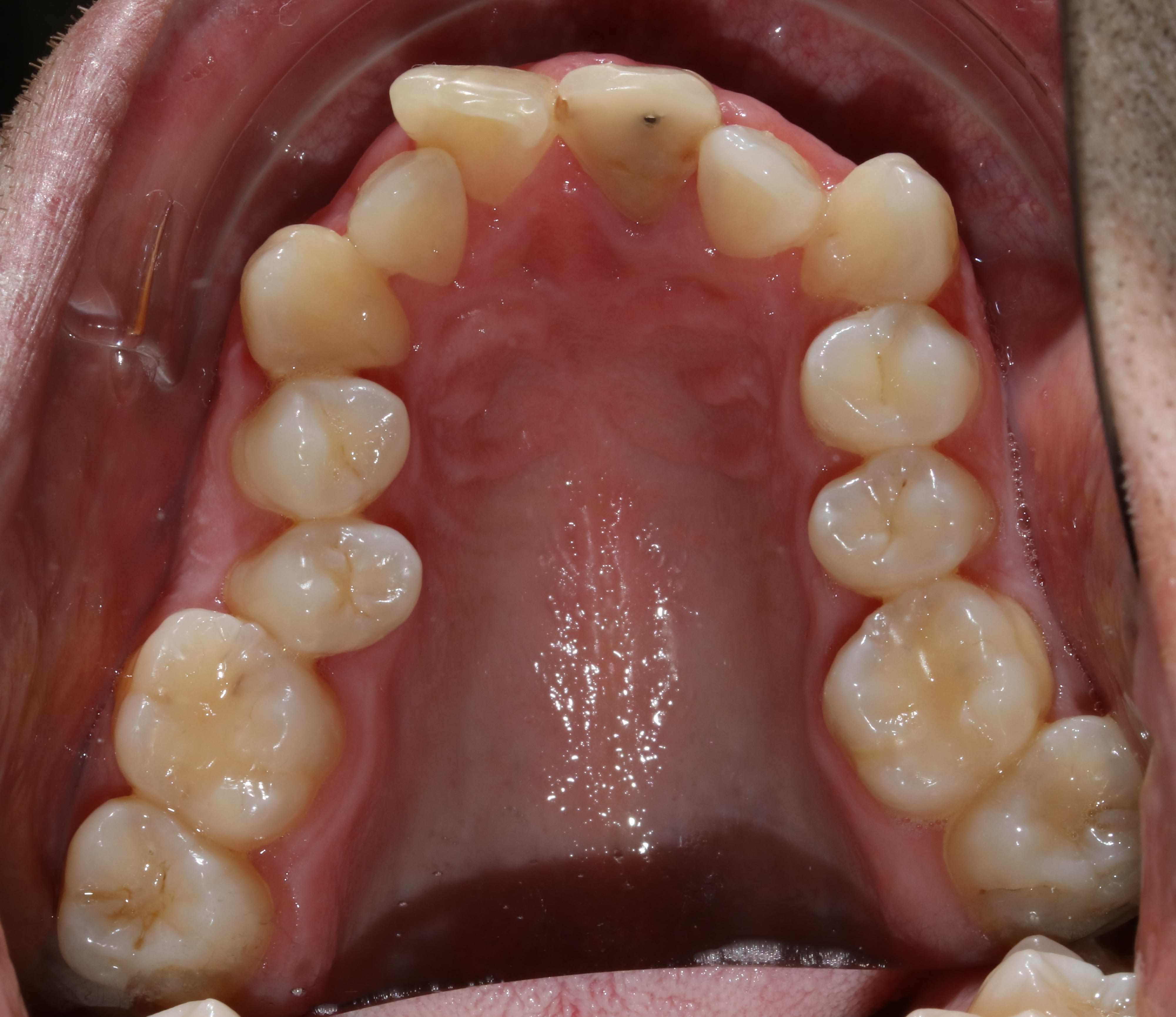
36 ans ...un oublié de l'ortho ...

Arcade md yl4v9v - Eugenol
Arcade mx upxl37 - Eugenol
Droite njf4pn - Eugenol
Face pyrsyz - Eugenol
Gauche snbsdh - Eugenol

S2y2o1v7q53ws4r5wy6ou8czrpom - Eugenol
pxav

14/12/2017 à 18h20


sympa, mais au moins il n'a pas 4 CCM soudées en inversé par moitié...

--
xbk
La connaissance s'acquiert par l'expérience, tout le reste n'est que de l'information." ALBERT EINSTEIN


S2y2o1v7q53ws4r5wy6ou8czrpom - Eugenol
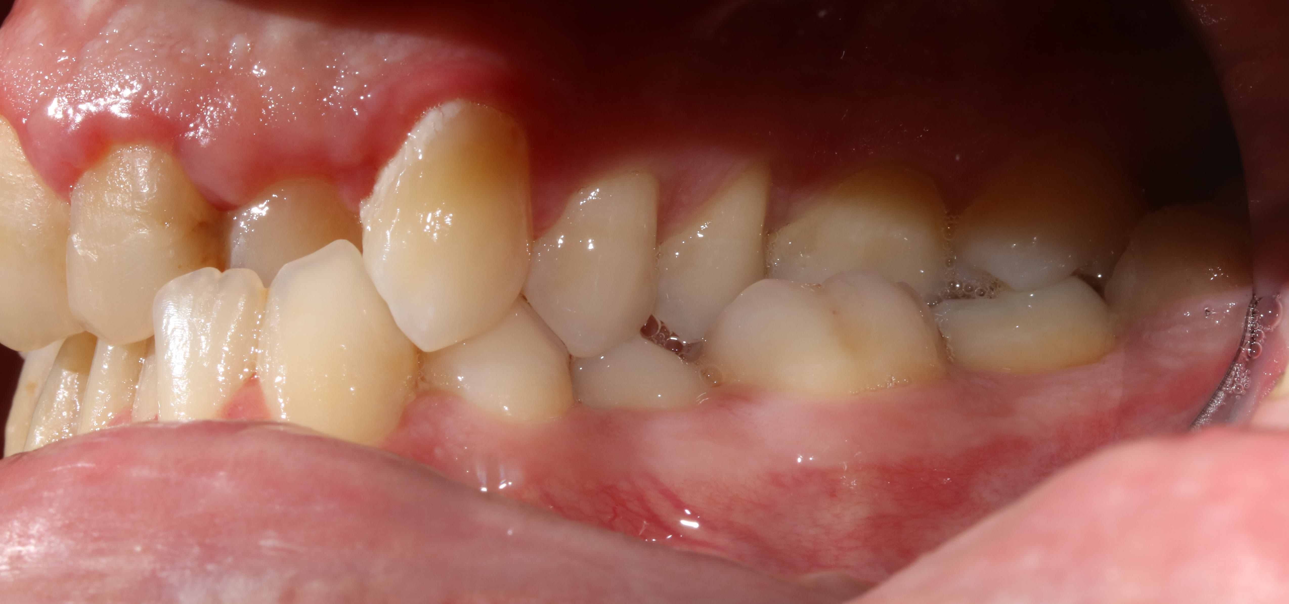
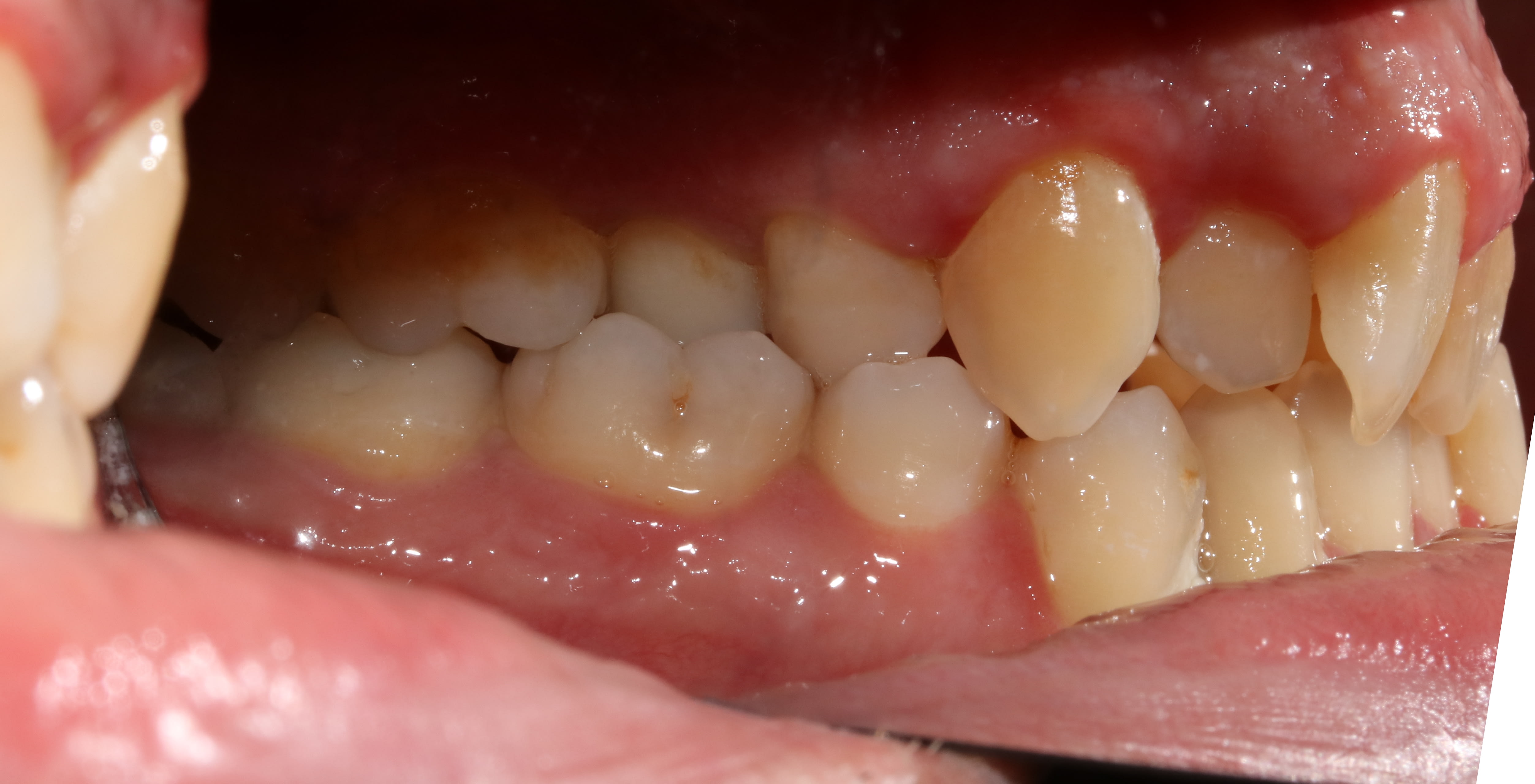
pxav

14/12/2017 à 18h45


Deuxième rdv ce jour...ça prend forme, doucement
taille du haut et nouveaux provisoires
ça va me permettre de faire l point su la suite (alignement des collets etc....)
--
xbk
La connaissance s'acquiert par l'expérience, tout le reste n'est que de l'information." ALBERT EINSTEIN

Img 5963 weonu1 - Eugenol
Img 5965 jzd7ak - Eugenol
Img 5967 ckc07g - Eugenol
Img 5968 ryx2fk - Eugenol

Vw campersurfvan bmnk1q - Eugenol
enlaye

14/12/2017 à 19h22

?? tu avais mis l'autre jour des prov à la va vite , tu avais repris l'empreinte des tailles , et là tu as encore retaillé et mis des prov 2 eme generations ?
ç est ça ?


S2y2o1v7q53ws4r5wy6ou8czrpom - Eugenol
pxav

14/12/2017 à 20h20

oui, je tâtonne....


--
xbk
La connaissance s'acquiert par l'expérience, tout le reste n'est que de l'information." ALBERT EINSTEIN


Vw campersurfvan bmnk1q - Eugenol
enlaye

14/12/2017 à 20h23

Hummmm tu ne nous dis pas tout .


1...567...