Cookie Consent byPrivacyPolicies.comrestauration globale? - Eugenol
Vw campersurfvan bmnk1q - Eugenol
enlaye

16/12/2017 à 14h05

Fort.


6szjws718sv1jksw54v4mpj3a6cu - Eugenol
vulpi

16/12/2017 à 14h07

Je fais de même, wax-up, tailles et prov 1 un peu à l'arrache, et très vite fignolage et prov 2. Je n’arrive pas à être propre du premier coup. On me l'a souvent dit, trop émotif probablement.


Vw campersurfvan bmnk1q - Eugenol
enlaye

16/12/2017 à 14h30

:-)) Et oui , ça ne sert a rien de prevoir de longues seances .


Dolan donald duck weird wqjham bw43ju - Eugenol
GéPé

18/12/2017 à 09h36

vulpi écrivait:
-----
> Il va répondre mock-up je pense.

Yes, full mock up


6szjws718sv1jksw54v4mpj3a6cu - Eugenol
vulpi

18/12/2017 à 09h46

Le port est de combien de temps pour validation de l'hypothèse occlusale?


Vw campersurfvan bmnk1q - Eugenol
enlaye

18/12/2017 à 10h02

le temps d'encaisser le cheque :-))
ç est tres rapide , en quelques jours tu es fixé .
mais temps que le bas n est pas fait .... le chronometre est arrété :-)


S2y2o1v7q53ws4r5wy6ou8czrpom - Eugenol
pxav

18/12/2017 à 11h23

que tu es vénal...


--
xbk
La connaissance s'acquiert par l'expérience, tout le reste n'est que de l'information." ALBERT EINSTEIN


6szjws718sv1jksw54v4mpj3a6cu - Eugenol
vulpi

18/12/2017 à 11h57

pxav écrivait:
----
> que tu es vénal...
>
On dirait une femme!-))


S2y2o1v7q53ws4r5wy6ou8czrpom - Eugenol
pxav

21/12/2017 à 18h15


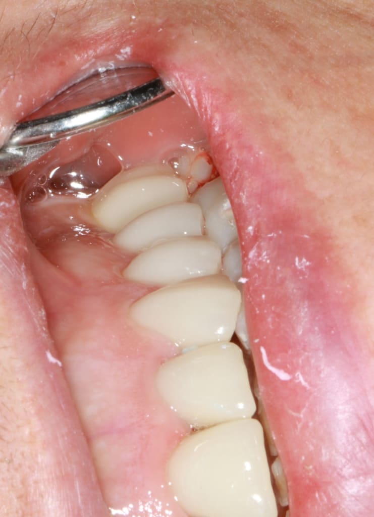
grosse séance de soins, endo 37, composites multiples, et léger stripping antérieur.
c'est propre, la prochaine fois taille du bas et provisoires

--
xbk
La connaissance s'acquiert par l'expérience, tout le reste n'est que de l'information." ALBERT EINSTEIN

Img 5971 thrxue - Eugenol
Img 5972 hjqqhc - Eugenol
Img 5973 ioflew - Eugenol
Img 5975 1 kbzcyp - Eugenol

Vw campersurfvan bmnk1q - Eugenol
enlaye

21/12/2017 à 19h37

joli , papi ;-)
tu t'en sors presque bien d'1 coup , ça sent le vieux lascard malin .

mais tu vois ce que je te disais ? :
tu te fais un haut sympa , et apres tu fais le bas et arrff , ç est moins sympa .
du coup tu retouches les faces palatines du haut pour .se faire plus de place ,et hop tu t'appercois que les prov sont trop fins ,donc tu retailles les dent , donc tu rebase . mais comme on est malin on remonte la dvo avec des compos mais ça ressemble à rien par ce que le wax du haut etait trop en dedans et le temps passe et t'y as envie de pisser que t'y en peu plus ...
ben oui pcq quand tu maitrises ç est que t'y as pris de l'age :-)
alors tu te dis bon , on reverra ça la prochaine fois , et ç est là que tu realises que quand tu as pris les acomptes tu etais content , ça t'a payé les filtres K&N pour les carbus et les membranes neuves ,Mais Mais une fois qu'on a mangé le mouton ,ben faut chier la laine :-))
tu vois tu t'en sors bien , mais ç est pas fini :-)
moralité :
pour ne pas se retenir de pisser , faut commencer par le bas :-)


S2y2o1v7q53ws4r5wy6ou8czrpom - Eugenol
pxav

21/12/2017 à 20h05


Non je n'ai pas touché à la DVO...au contraire j'ai fait attention de garder la même😝
Par contre j'ai "gonflé" les faces vestibulaire des antérieures et la marge est faible.
Pas d'acompte particulier
Je trouve que 980€ de soins pour une petite séance c'est déjà pas mal+ 94€ de dépose inlay core...

--
xbk
La connaissance s'acquiert par l'expérience, tout le reste n'est que de l'information." ALBERT EINSTEIN


Vw campersurfvan bmnk1q - Eugenol
enlaye

21/12/2017 à 20h18

Tu peux te permettre de monter un poil encore ., pour plus de marge . tranquille .


S2y2o1v7q53ws4r5wy6ou8czrpom - Eugenol
pxav

21/12/2017 à 20h26


Ce sera la phase suivante

--
xbk
La connaissance s'acquiert par l'expérience, tout le reste n'est que de l'information." ALBERT EINSTEIN


mr smith

21/12/2017 à 21h13

moi j'aime bien les tissus mous ;o) . les lèvres s'adaptent ;o)))


S2y2o1v7q53ws4r5wy6ou8czrpom - Eugenol
pxav

21/12/2017 à 21h33


Doucement oui ....

--
xbk
La connaissance s'acquiert par l'expérience, tout le reste n'est que de l'information." ALBERT EINSTEIN


S2y2o1v7q53ws4r5wy6ou8czrpom - Eugenol
pxav

23/01/2018 à 17h08

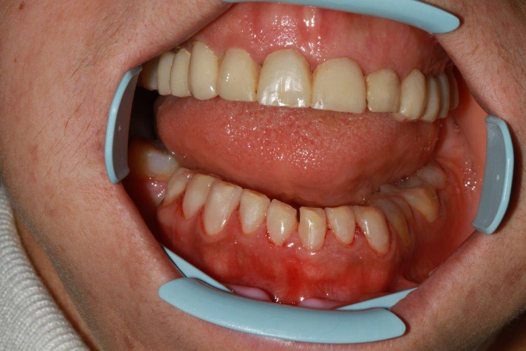
finalement j'ai commencé par le haut....ok je sors


--
xbk
La connaissance s'acquiert par l'expérience, tout le reste n'est que de l'information." ALBERT EINSTEIN

Img 6032r aku46k - Eugenol
Img 6033r b7ly5w - Eugenol
Img 6034 nhs8d1 - Eugenol
Img 6042 k10h7x - Eugenol

Vw campersurfvan bmnk1q - Eugenol
enlaye

23/01/2018 à 17h44

elle est bonne Brigitte ! -))


S2y2o1v7q53ws4r5wy6ou8czrpom - Eugenol
pxav

23/01/2018 à 17h49



....
--
xbk
La connaissance s'acquiert par l'expérience, tout le reste n'est que de l'information." ALBERT EINSTEIN


Vw campersurfvan bmnk1q - Eugenol
enlaye

23/01/2018 à 18h05

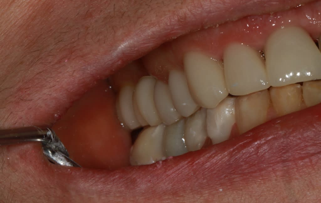
j'aime beaucoup sur la 26 la partie distale , et aussi sa cuspide distale vest .
17 j aime moins la cuspide dito vest , 16 idem , elle est trop verouillante


S2y2o1v7q53ws4r5wy6ou8czrpom - Eugenol
pxav

23/01/2018 à 19h44


Nous sommes d'accord le verrou parait fort mais ce n'est que le début.


--
xbk
La connaissance s'acquiert par l'expérience, tout le reste n'est que de l'information." ALBERT EINSTEIN


S2y2o1v7q53ws4r5wy6ou8czrpom - Eugenol
pxav

08/02/2018 à 17h22

alors verrou ou pas?


--
xbk
La connaissance s'acquiert par l'expérience, tout le reste n'est que de l'information." ALBERT EINSTEIN

Img 6107 gdtdf9 - Eugenol
Img 6108 qi4wcd - Eugenol

S2y2o1v7q53ws4r5wy6ou8czrpom - Eugenol
pxav

08/02/2018 à 17h25


peut être encore un peu sur 15...
par contre les antérieurs , ne sont pas top pour le moment.

--
xbk
La connaissance s'acquiert par l'expérience, tout le reste n'est que de l'information." ALBERT EINSTEIN

Img 6110 a26b0o - Eugenol

Vw campersurfvan bmnk1q - Eugenol
enlaye

08/02/2018 à 17h36

les ant ? non ça ne me choque pas .
par contre 14.15. et meme un peu la 13 , verrou


Vw campersurfvan bmnk1q - Eugenol
enlaye

08/02/2018 à 17h44

l'axe des 14 et 15 est un poil trop en avant et en dedans :
ce qui fait que si tu donnes un peu de liberté laterale , elles vont devenir courtes .
ç est pas grave , il suffit de regonfler les faces vest et vestibuler les pointes ( que je te conseillerais d'abraser au dernier moment .
ainsi les cuspides vest seront plus décollées .
apres , et seulement apres ,tu abraseras aussi le pointe canine de 13 et 23

maintenant que je t'ai dit ça , re regarde la photo , ça te paraîtra plus évident .
mais globalement , ç est pas mal du tout .


Vw campersurfvan bmnk1q - Eugenol
enlaye

08/02/2018 à 17h55

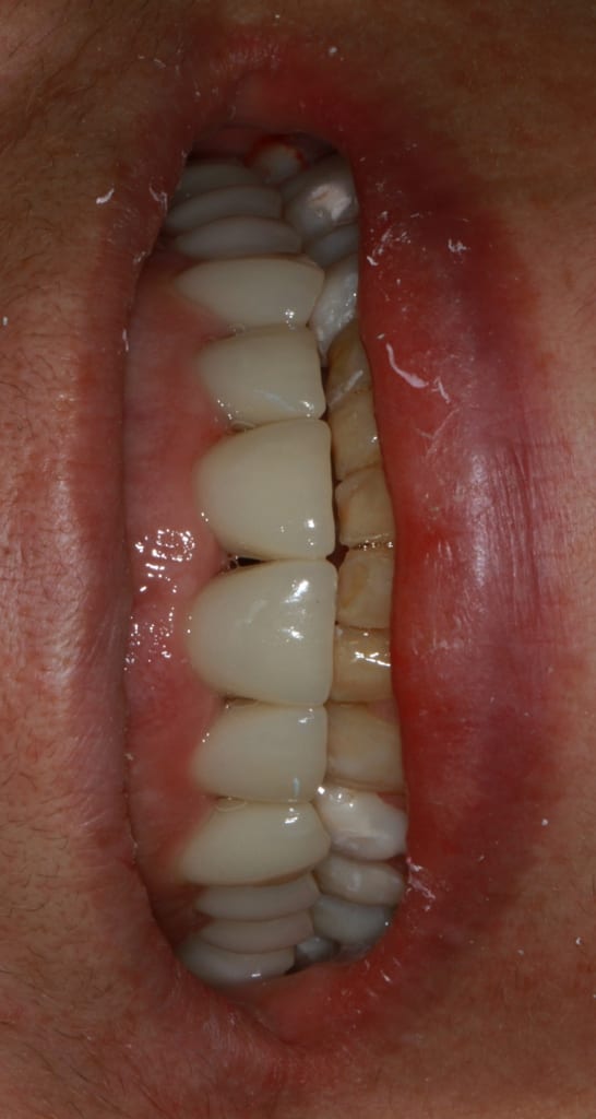
le secteur 20 me plait , je n'avais pas besoin de le voir en bouche pour te le dire :-))


1...789...