Cookie Consent byPrivacyPolicies.comrestauration globale? - Eugenol
S2y2o1v7q53ws4r5wy6ou8czrpom - Eugenol
pxav

08/02/2018 à 18h01

nous sommes d'accord mais rdv de 3 h ce matin (un autre cas ) et 3 h cette am je n'ai pas vérifié les latéralités ...je cherchai surtout à gérer la nouvelle hauteur d'occlusion .


--
xbk
La connaissance s'acquiert par l'expérience, tout le reste n'est que de l'information." ALBERT EINSTEIN


Vw campersurfvan bmnk1q - Eugenol
enlaye

08/02/2018 à 18h40

il y a 1 truc qu'il faut dire quand meme , aux djeun's ,pas à toi , vieux lascar :-)
ç est que quand tu fais un haut mémé joli , mais qu'il est trop verrouillant , et bien ,apres , si jamais la femme te demande de faire le bas ç est là que ç est embêtant .
pcq le bas ne ressemblera à rien , ce sera tout plat avec une courbe à la con , genre les pm et m plus basses que les canines .et les incisives courtes et larges .
or , surtout chez les vieilles , le bas , ç est ce que l'on voit en 1er .
voilà pourquoi il faut se donner de la marge en haut , au moins en lateral , et ce d'autant plus que l'on va vers l'arriere .
il y a 1 autre truc aussi , ç est qu'avec l' usure , les faces proximales s'usent aussi . du coup les dents du bas se mesialisent . et on se retrouve dent sur dent . faut l anticiper ça aussi .
ainsi il est plus facile de :
gerer l 'esthétique par le bas et la fonction par le haut !!!


burnax

08/02/2018 à 19h09

Pardon pour la question, qu'appelez-vous " verrouillage"?


S2y2o1v7q53ws4r5wy6ou8czrpom - Eugenol
pxav

08/02/2018 à 20h29

enlaye écrivait:
------
> il y a 1 truc qu'il faut dire quand meme , aux djeun's ,pas à toi , vieux lascar
> :-)
>
et bien voilà je constate avec plaisir que j'ai bien fait de suivre mon instinct puisque contrairement à ce que tu laissais entendre il ne faut pas systématiquement commencer par le bas.

la patiente ne me demande pas de faire le bas après ...nous étudions la bouche dans son ensemble dés le début, et je privilégie la fonction, car seule une bonne fonction permettra d'avoir une esthétique perenne...donc la boucle est bouclée.

par contre merci de me faire réfléchir c'est toujours constructif car les sciences exacte n'existent pas...encore

--
xbk
La connaissance s'acquiert par l'expérience, tout le reste n'est que de l'information." ALBERT EINSTEIN


S2y2o1v7q53ws4r5wy6ou8czrpom - Eugenol
pxav

08/02/2018 à 20h34

pour faire simple verrouillage c'est lorsque la forme d'une dent (ici 14/15 ) ne permet pas les latéralités.
exacte ici
par contre sur ce cas 13/23 sont éventuellement destinées au guidage canines ce qui ne pourra etre vérifié et corrigé que lorsque le bas sera fini la fonction prime sur l’esthétique.


--
xbk
La connaissance s'acquiert par l'expérience, tout le reste n'est que de l'information." ALBERT EINSTEIN


Pubg2 rjl8jc - Eugenol
lemondestvaste

08/02/2018 à 20h49

Merci pour le partage et ces échanges enrichissants.


S2y2o1v7q53ws4r5wy6ou8czrpom - Eugenol
pxav

08/02/2018 à 20h53


Le partage permet de réfléchir c'est donc constructif surtout quand ça reste cool😇

--
xbk
La connaissance s'acquiert par l'expérience, tout le reste n'est que de l'information." ALBERT EINSTEIN


mr smith

08/02/2018 à 21h33

pxav écrivait:
----
> pour faire simple verrouillage c'est lorsque la forme d'une dent (ici 14/15 ) ne
> permet pas les latéralités.

Les 4 et 5 max sont des vraies emmerdeuses , sujettes à esthétique et à la fonction ;o)


Vw campersurfvan bmnk1q - Eugenol
enlaye

09/02/2018 à 00h02

pxav écrivait:
----
" la patiente ne me demande pas de faire le bas après ...nous étudions la bouche dans son ensemble dés le début, et je privilégie la fonction, car seule une bonne fonction permettra d'avoir une esthétique perenne...donc la boucle est bouclée. "

ah bon ? et les incisives de bas tu les laisses comme ça ? meme pas un une facette ou un compo ?
original ton truc !
pour quelle fonction tu parles finalement ?, sucer des glaces à leau ?


Vw campersurfvan bmnk1q - Eugenol
enlaye

09/02/2018 à 00h43

burnax écrivait:
------
" Pardon pour la question, qu'appelez-vous " verrouillage"? "

j'ai dit verrouillage , mais finalement je regrette ce mot .
je regrette pcq ç est un terme trop statique . comme si ce verrouillage intervenait en fin de fermeture . il supprime la notion de mouvement AVANT la fermeture .
or ç est bien le mouvement AVANT la fermeture totale qui m' intéresse .
et non le ou les trajets à l'ouverture . on s'en tape des diductions à l’ouverture puisqu'ils n'existent pas .
non seulement ils n'existent pas ,mais en plus ce sont des mouvements volontaires .
et les mvts volontaires n'engendrent pas la para-fonction , ni la destruction durs , a moins d’être complètement jobard .
sauf pour les incisives , bien sur , qui gèrent le guidage à la fois à la fermeture mais aussi à l'ouverture .

il ne faut pas oublier que l'on a commencé à régler les latéralités en ouverture pour 1 seule et bonne raison , ç est que l'articulateur est posé sur le plan de travail ,et que donc ,ç est la branche supérieure qui bouge . ç est tout , ç est con mais ç est comme ça , ç est à l'envers .
a la limite si les trajets etaient les memes à l'ouverture et à la fermeture , ce ne serait pas grave , mais ce n' est pas le cas .
donc quand je dis verrouillant , je veux dire manque de possibilité de tolérance à la fermeture .
en effet la mand est pendulaire et elle atterrit sur le maxillaire ; ce n'est pas une pince à sucre .
elle peut arriver vite ou doucement de gauche ou de droite ,d'une position d'atm haute ou basse , et aussi d'une possition d' atm avancée ou reculée .
alors comme on n'en sait rien avant essayage , et le prothesiste encore moins , il faut se laisser du gras pour pouvoir meuler de ci delà , ç est la moindre des choses .
le décalage du centrage en latéral ç est ce qu il y a de plus dur à percevoir lorsque tu reconstruis une arcade complète . on ne sait pas où doit etre à priori la position finale , puisque si l'on reconstruit tout , ç est que la centrée est pathologique , puisque tout est fracassé .
donc il faut tout faire pour ne pas imposer 1 position unique des trajets de fermeture avant réglages .

ça te vas comme réponse ?


S2y2o1v7q53ws4r5wy6ou8czrpom - Eugenol
pxav

09/02/2018 à 06h13



Quand je dis bouche dans son ensemble c'est simple non ?
Tu te doutes bien que lrs incisives mandibulaire suivront...mais je ne les ferai qu'a la fin, lorsque la fermeture sera sans verrouillage et surtout une fois que j'aurai validé la dv d'usage.
--
xbk
La connaissance s'acquiert par l'expérience, tout le reste n'est que de l'information." ALBERT EINSTEIN


Vw campersurfvan bmnk1q - Eugenol
enlaye

09/02/2018 à 08h24

Ahhh ouiii , tu fais tout en meme temps , tout en commençant par le haut .
C est a dire que tu vas valider tes reglages en fonction de heuuu , ben de rien en fait , puisqu il n y a encore rien de fait en bas . :-)


S2y2o1v7q53ws4r5wy6ou8czrpom - Eugenol
pxav

09/02/2018 à 10h23

si elle est en provisoire résine en bas depuis hier


--
xbk
La connaissance s'acquiert par l'expérience, tout le reste n'est que de l'information." ALBERT EINSTEIN


Vw campersurfvan bmnk1q - Eugenol
enlaye

09/02/2018 à 10h39

ah , bien , et alors ? il faut 1 identifiant et 1 code d’accès pour pouvoir voir ? :-))


S2y2o1v7q53ws4r5wy6ou8czrpom - Eugenol
pxav

09/02/2018 à 11h43

ah , bien , et alors ? il faut 1 identifiant et 1 code d’accès pour pouvoir voir ? :-))

ben non, peut être des lunettes :-))


--
xbk
La connaissance s'acquiert par l'expérience, tout le reste n'est que de l'information." ALBERT EINSTEIN

Img 6107 dpg3by - Eugenol
Img 6108 v9ehr3 - Eugenol
Img 6110 b83adw - Eugenol

Vw campersurfvan bmnk1q - Eugenol
enlaye

09/02/2018 à 12h32

ayé , je les ai mises .
ah ouiii , mais bouche fermée , ça fait 1 peu cachotteries :-)
j 'ai compris , tu as fais les secteurs post du bas jusqu'aux canines en prov en fonction de ton haut . , et apres tu vas voir ce qui se passe .
bon j'te rassures il ne se passera rien de spécial puisque tes prov de sur-elevation font fonction de gouttierre de relaxation . par contre tes canines vont avoir une forme de talon de santiag .
finalement tu fais par le haut , à la fois l'esthetique et la ( les ) fonction , puis tu adapteras le bas en fonction de la place disponible .
effectivement ,ç est une façon de voir differente de la mienne :
tu construis d'abord le garage , puis tu t’achètes ensuite la voiture susceptible de rentrer dedans .


S2y2o1v7q53ws4r5wy6ou8czrpom - Eugenol
pxav

09/02/2018 à 12h59

enlaye écrivait:
------

> tu construis d'abord le garage , puis tu t’achètes ensuite la voiture
> susceptible de rentrer dedans .

non, j'ai 4 garages....
--
xbk
La connaissance s'acquiert par l'expérience, tout le reste n'est que de l'information." ALBERT EINSTEIN


Vw campersurfvan bmnk1q - Eugenol
enlaye

09/02/2018 à 13h13

Effectivement ,sur le telephone les photos sont plus claires , on y voit mieux les prov .
Sais pas pourquoi sur l ordi du cab c est tout noir .


S2y2o1v7q53ws4r5wy6ou8czrpom - Eugenol
pxav

09/02/2018 à 13h58


oui ou bien l'age....


--
xbk
La connaissance s'acquiert par l'expérience, tout le reste n'est que de l'information." ALBERT EINSTEIN


S2y2o1v7q53ws4r5wy6ou8czrpom - Eugenol
pxav

02/03/2018 à 14h31


la suite, pose des secteurs molaires prémolaires mandibulaire

--
xbk
La connaissance s'acquiert par l'expérience, tout le reste n'est que de l'information." ALBERT EINSTEIN

Img 6138 r05rky - Eugenol
Img 6140 ec1slt - Eugenol
Img 6142 qhyptd - Eugenol
Img 6144 mwluw6 - Eugenol

Vw campersurfvan bmnk1q - Eugenol
enlaye

02/03/2018 à 17h48

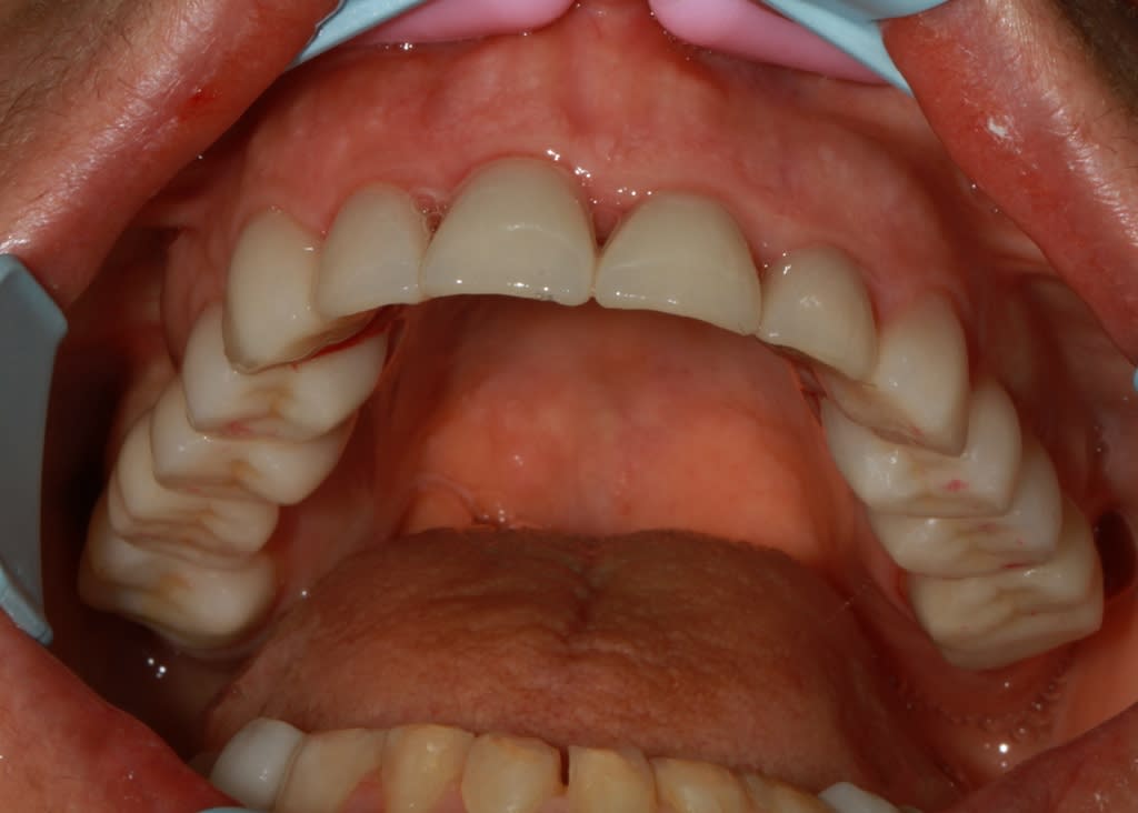
putain ,ç est beau !!!
photo de l'arcade du haut :
j'aime beaucoup la forme d’hélice ( monzon wilson)
tu as diminué le verrouillage secteur 1
tu as aussi écarté l'axe des sillons principaux
tu as encore relevé la dvo
les adaptations gingivales sont hyper propres
t'y a bossé . là .


S2y2o1v7q53ws4r5wy6ou8czrpom - Eugenol
pxav

02/03/2018 à 19h09



Merci pour les compliments, c'est en partie grace à ton aide , les remarques me font regarder la patiente différemment et j'adapte fonction de ce que je veux
--
xbk
La connaissance s'acquiert par l'expérience, tout le reste n'est que de l'information." ALBERT EINSTEIN


Vw campersurfvan bmnk1q - Eugenol
enlaye

02/03/2018 à 19h21

pxav écrivait:
----

" Merci pour les compliments, c'est en partie grace à ton aide , les remarques me
font regarder la patiente différemment et j'adapte fonction de ce que je veux "

si ç est vrai , tu m'honores de ce compliment .



S2y2o1v7q53ws4r5wy6ou8czrpom - Eugenol
pxav

02/03/2018 à 20h01

Bien sur que c'est vrai, il y a des petits détails que je vois mais que je zappe par facilité, et quand il y a un post dessus, je suis obligé de .... et puis il y a les détails que je ne vois pas car ce n'est pas dans mes habitudes..(lèvres décalées, collet peu ou mal alignés etc...)...


--
xbk
La connaissance s'acquiert par l'expérience, tout le reste n'est que de l'information." ALBERT EINSTEIN


Vw campersurfvan bmnk1q - Eugenol
enlaye

05/03/2018 à 10h34

Pxav ,si je devais finir ce cas , je demanderais à Brigitte de laisser les incisives en inocclusion , de l'espace d'un bande matrice . là je n'ai pas le temps , mais il y a des milliards de choses à dire pour justifier .


1...8910...