Cookie Consent byPrivacyPolicies.comMCI Blueskyplan form2 - Eugenol

MCI Blueskyplan form2

pierre31

20/12/2017 à 13h05

Petit cas de planification avec bluesky et MCI.
1- recalage du guide radio
2 - waxup virtuel et recalage
3- planif avec blueskyplan
4- modélisation du guide
5- impression du guide en résine normale pour repositionnement des analogues
6- impression des modèles avec orifices des analogues ( form2 )
7- positionnement des analogues et montage en articulateur ( avec le guide radio )
8- modélisation du bridge provisoire
9- impression du bridge pour valider l’esthétique
10- envoie du stl du bridge pour usinage en PMMA
11- contrôle occlusion
12 - collage des piliers provisoires
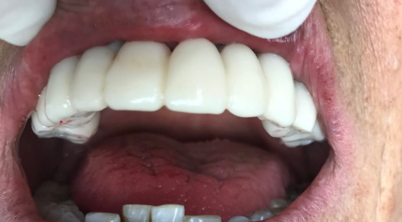
resultat

Pw4sfktzoa0larxm9i4y - Eugenol
Pethbccihimk6siknnpv - Eugenol
Dor1cckp5gp9mliugt1b - Eugenol
Elouy8tdwl7zdfk4vzcw - Eugenol
Tttodvox2suopd2jaenm - Eugenol
Hkfynb5poema6ud6amlw - Eugenol
Auxakimdsth166ddpltg - Eugenol
Qtufx7w9n9xvioix5okc - Eugenol
Tlmsojs1qdx7fgwdbtxr - Eugenol
Bxlv2rboysgo4tayvmln - Eugenol
Czwvq3vtrgw888zdk7dq - Eugenol
Zza05lcpdkese35hnejo - Eugenol
Cpxtxvcreww0sx94obif - Eugenol
B4dha2k0gmcl4a10ecov - Eugenol
Bwpnjy8phqixtpwq5yyf - Eugenol
Gyozugh0bcgdkvxkppdj - Eugenol
Isfmhakdngp6qsrdcmm3 - Eugenol

Hok 1b hgd3rj - Eugenol
Hokusai

20/12/2017 à 13h10

Pourquoi le guide semble perforé de petites bulles ??
tu utilises exocad pour la modelisation?
Pourquoi avoir imprimé le bridge en résine transparente ?
C'est nickel comme travail.


pierre31

20/12/2017 à 13h14

ce sont les supports d'impression .
je ne me suis servi de ce guide que pour repositionner les analogues .
je n'ai pas pris le temps de le polir.
Oui modélisation du waxup et du bridge avec exocad


Hok 1b hgd3rj - Eugenol
Hokusai

20/12/2017 à 14h47

t'as pas de photos de la chir ??
Tu as la formlabs2 au cab ?
Combien de temps peut on laisser le bridge en PMMA ? c'est quelle marque le PMMA ?
Peut on imaginer d'imprimer le bridge prov ?


pierre31

20/12/2017 à 15h54

non pas de photos ni de vidéos. ( la patiente n'a pas donnée son accord )
J'ai d'autres chirurgies programmées du même type . J'en posterai à ce moment là.
Oui j'ai la formlab et les scanners de labo au cabinet.
Pas de soucis de temps avec le bridge PMMA ( très solide et gros connecteurs; totalement passif ).
Dans ce cas je pense que le bridge va rester en place 4 mois.
Pour la marque : Tempomill Vario.(PIRAHDENTAL)
Formlab envisage a priori de sortir une résine pour les provisoires ... à suivre


Hok 1b hgd3rj - Eugenol
Hokusai

20/12/2017 à 16h33

J'ai une autre petite question, sans malice, pourquoi avoir imprimé le modele antagoniste et pas l'avoir coulé en platre ?? Tu as un scanner intra buccal ?


pierre31

20/12/2017 à 16h49

Pour avoir le même matériaux . Mais ça n'a pas un gros intérêt.
Je n'utilise pas de scanner intra buccal ; j'utilise des scanners de labo qui ouvrent beaucoup plus de portes.


Image r6habu - Eugenol
Thomas Crown

20/12/2017 à 17h42

Ça envoie ce truc , ou est ce qu’on apprend à faire cela et le total des investissements pour démarrer ?


pierre31

20/12/2017 à 18h57

Pour la formation ou aide ça peut être moi. ( mais ça présente un intérêt que sous forme de tp avec vos propres cas )
Pour le matériel tu peux commencer avec un scanner d'occasion ; ou tu fais scanner tes modèles chez ton prothésiste ( et tu récupères les stl ). Puis une form2 une chambre à photopolymeriser pour la résine.
( vite amorti )


3f3boxni50k58rq7e9ce9ddqrxgk - Eugenol
dentiste57

20/12/2017 à 19h27

very, very very good job !!!


chicotdagneau

20/12/2017 à 21h11

bravo joli travail
comment fais tu pour matcher ton cone beam avec ton modèle stl quand tu n a pas de dents??


Hok 1b hgd3rj - Eugenol
Hokusai

20/12/2017 à 22h03

Encore une mini question, c est du full guided ??


damdam

21/12/2017 à 07h47

detax.de pour la resine à provisoire en a2 ou a3
un peu cher mais faire attention de ne pa trop mettre de supports d’impression car résine perdue
imprimante 405nm par exemple wanhao d7

1h30 d’impression

on pourrait quasiment modeliser après la chir ....


pierre31

21/12/2017 à 08h41

Pour matcher : le patient passe le conebeam guide radio en place .
Après tu "passes" le guide radio au conebeam et tu matches par points (appareil de numérisation).
Pour matcher le waxup tu matches le stl avec le palais par points ( alignement sur modèle )

Alignement guide radio ph5ouk - Eugenol
Alignement waxup rhvycx - Eugenol

pierre31

21/12/2017 à 08h42

oui chirurgie entièrement guidée


chicotdagneau

21/12/2017 à 21h14

merci Pierre 31


Casque beotien a3jo39 - Eugenol
beotien

25/12/2017 à 08h12

bravo beau travail


Icon poker h4nm2d - Eugenol
jeff

03/01/2018 à 00h35

damdam écrivait:
------
> detax.de pour la resine à provisoire en a2 ou a3

> imprimante 405nm par exemple wanhao d7

c'est celle la ?
https://www.detax.de/en/shop/produkte/Freeprint-temp.php

Parce que c'est écrit : For all LED/UV printers with a light spectrum of 378-388 nm.
405 nm, c'est la longueur d'onde des imprimantes laser.

Et pourtant, "la Wanhao Duplicateur 7 DLP utilise la longueur d'onde 405 nm ".
Donc, on est pas dans les carateristiques de la résine. pourtant , tu dis que cela marche ?

J'etais tenté par une Liquide cristal.
La resine Freeprint serait aussi compatible ? je n'arrive pas a trouver la longueur d'onde des Liquide cristal.



Icon poker h4nm2d - Eugenol
jeff

03/06/2018 à 16h42

Je remonte le post pour pierre .
As tu de nouveau cas de ce style à nous montrer ?
As tu réfléchi à la mise en place d’une formation ?
Suite à ton post , j’ai failli acheter exocad , imprimante et scanner autoscan-dsex.
Finalement, j’ai une moonray depuis une semaine .
J’hesite toujours pour exocad.


pierre31

04/06/2018 à 21h30

Bonsoir Jeff,

Oui j'ai d'autres cas ; il faut que je fasse le tri .
Quel système implantaire utilises-tu?
Avec quel logiciel de planification travailles-tu?
Quel type de formation t'intéresses ? ( MCI ; planification ; les 2 ; tp sur vos cas ; ...? )
En fonction des réponses , je vais réfléchir à l'organisation d'une formation


Icon poker h4nm2d - Eugenol
jeff

05/06/2018 à 21h25

Je pose principalement des naturactis ETK. Mes planif sont en general faite avec le logiciel clearstream de mon vieux cône beam, mais je viens de faire mon premier guide sur blueskyplan .
On m’installe un nouveau cône beam jeudi. Il me semble que clearstream veux faire évoluer son logiciel , je verrais donc comment est la nouvelle version .
BSP évolue rapidement aussi , a voir les dernière vidéo de Cory Glenn .
Pour BSP , il y a www.cfb3d.com qui fait des formations , mais pour l’instant , juste la réalisation de guide . Niveau deux pour prothèse à l’etude.
Ce que j’aimerai ? Et bien ce que tu a montré est top .
Je viens d’imprimer et d’essayer la maquette d’un bridge sur 6 implant. Mon labo voulait me faire essayer un montage esthétique en dent du commerce sur cire , ce qui n’a rien à voir. .
Mais c’est mon labo qui a modélisé sur exocad.

De même , j’ai un cas de bimax fait avec posit , j’arrive à la réalisation de prothèse définitive, mais la patient est super chiant/exigeant : je tiens absolument à essayer la copie exacte de son futur bridge . La encore modélisation et impression , sans doute en nexdent c&b
Donc , l’impression promet de belles choses.
Pour les cas complexe , avec implant , facette, dv modifié, j’aimerai faire le wax up , l’imprimer pour le faire essayer au patient le jour de la remise de devis . Difficile dans ce cas de générer des frais important si refus , donc , tout faire soi-même ?
Je ne sais pas si à l’avenir , on pourra tout faire avec BSP ou s’il faudra toujours exocad.
J’ai aussi trouvé cela :
https://drscherer.teachable.com/p/dental3d/?_ga=2.54923180.660019294.1526935422-1122054900.1526935422
Utilisation de BSP et meshmixer , en logiciel libre, ce qui est toujours plaisant en ces temps de rac0, mais en anglais

Cela part un peu dans tous les sens , mais voilà en gros mes envies.


pierre31

10/06/2018 à 11h41

bonjour jeff
Je poste un nouveau tout petit cas : https://www.eugenol.com/sujets/420518-bsp-mci-couronne-provisoire-imprimee


Icon poker h4nm2d - Eugenol
jeff

17/05/2019 à 08h03

Salut pierre, si tu es dans le coin.
Finalement : formation autodidacte, je fais tout avec BSP et meshmixer.

J'ai relu ton post. Preparer le bridge a l'avance avec les piliers c'est quand meme chaud. il suffit d'un rien de deviation, lors de la prepa sur modele, ou de la chir pour que le bridge ne rentre pas.

je prefere solidariser le bridge en bouche. ( Fait une fois avec Posit, avec un bridge avec armature métal ).
J'ai une question : penses tu que ce bridge PMMA , avec pilier prov collé en bouche, serais assez solide / rigide pour une EMCI ?

Bridge pmma1 hzfyxc - Eugenol
Bridge pmma2 pevw31 - Eugenol

pierre31

18/05/2019 à 13h29

bonjour bertrand
Superbe
Pour le pmma usiné il n'y a aucun problème ; j'ai revue la patiente que la semaine dernière et rien n'a bougé.( pas sérieuse :) )
Il faut que tu es des gros connecteurs pour ne pas avoir de mouvements parasites .
Il faut que ton collage avec les piliers soit parfait.
Tu peux aussi faire un guide "provisoire" pour le repositionnement .
Bravo pour ton travail en tout cas.
Si tu es vers Toulouse le 17 juin ; passe nous voir .
On organise une soirée


pierre31

18/05/2019 à 13h41

lundi 17 juin à 18 heures

Lundi j4xsxy - Eugenol