Cookie Consent byPrivacyPolicies.comCône beam: pour cyber-quenottes et les autres - Eugenol

Cône beam: pour cyber-quenottes et les autres

Utilisateur banni

16/01/2018 à 09h46

une petite question pour les personnes qui sont compétentes dans le sujet. Je raconte beaucoup d’ âneries sur pas mal de sujets pour amuser la galerie mais là j’avoue mon incompétence dans ce domaine :
-> quel est aujourd’hui le classement des meilleurs cône beam ? Du meilleur au plus mauvais ( en prenant en compte la qualité de l’imagerie , le logiciel, la qualité de la maintenance)
-> quel est celui qui a le meilleur rapport qualité prix ?
-> quelle marque il ne faut absolument pas acheter? Quels gros problèmes vous avez eu? Certains ont certainement eu de gros déboires ou des gros pépins , non ?

Je pense que le plus compétent dans ce domaine c’est cyber quenottes. Donc la question s’adresse à toi. Mais bon bien entendu toutes les personnes qui se sont intéressées et qui ont analysé le marché du cône beam peuvent répondre bien évidemment.


Photo pluton1b h9n4ea - Eugenol
pluton

16/01/2018 à 09h55

déjà, tu évites tout ce qui est Kodak....
ensuite, un petit champs est suffisant dans 99% des cas (et même conseillé car il te faudrait des compétences en diagnostique radio qui sortent de la "sphère" dentaire...en plus, plus le champs est petit et meilleure est la qualité d'image...)

le truc + :avoir une bonne qualité pano...
pour l'instant, rien vu de mieux que chez Instrumentarium (Kavo) en réunissant tous les critères...et vu que mon OP200D de 15 ans est toujours au top....si je devais changer, je pense que naturellement j'irais choisir un OP300 avec la fonction conebeam....

mais il y a peut être encore mieux...çà fait un moment que je ne me suis pas penché sur le sujet...


Dprtmuluo7sk4wxn8aabgsxy7sde - Eugenol
Pervers Pépère

16/01/2018 à 10h00

junior® écrivait:
-------
> Je raconte beaucoup d’ âneries sur pas mal de sujets pour amuser la galerie...

Oui, d'ailleurs, faudrait que ça cesse, c'est une maison sérieuse ici, môssieur.

Bon, ok , je m' casse....


elje

16/01/2018 à 10h19

un cbct pour quelle utilisation?


Utilisateur banni

16/01/2018 à 10h30

Pour faire joli dans mes toilettes :)
Pour l’implanto bien évidemment . Cas unitaire ou multiple. Pour évaluer le niveau osseux au niveau du ramus par exemple (rapports anatomiques) . Pour les dents de sagesse aussi dans certains cas et de voir si je délègue ou pas pour les sagesses . Et puis il y a bien entendu d’autres indications.
C’est même pas pour une question d’argent, c’est pour avoir tout de suite une évaluation rapide de la situation osseuse, pour éviter de faire perdre du temps à mes patients et à moi , et puis pour être certain d’avoir une imagerie de qualité. Car on a beau leur dire : allez chez Mr x pour les radios. Il y a toujours des patients qui vont aller faire un scanner de merde , qui vont te ramener des coupes improbables où on ne voit pas les choses correctement. J’ai minimum 1 patient tous les 2 mois qui me ramène des coupes merdiques. Tu leur dis quoi ? Il va falloir repayer 150 balles et aller ailleurs faire les radios?


Generique fraisage r2rxmm - Eugenol
lardonbis

16/01/2018 à 10h54

ça me fait penser à un centre radio du coin qui fait presque toujours des pano hallucinante... on dirait des retro mise cote à cote tellement c'est net des 1 aux 8.
Du coup t'as un peu honte de les faire au cabinet ..


X ray 03 medium zvq18j - Eugenol
cyber_quenottes

16/01/2018 à 11h07

objectivement, j'en sais foutre rien
je mesure des rayonnements autour de la machine mais
- je sais souvent pas la démarrer à cause de l'accumulation de logiciels
- je radiographie un fantôme forme de plastique et d'eau et je trouve l'image si peu intéressante que je la détruit aussitôt

pour les rétros j'ai des opinions, mais pour les CBCT, à part les pannes de carestream et leurs arnaques récurrentes....

PS : pluton a pas dit que des bêtises = je confirme que petit champ + petits voxels est plus malin que grand champ et gros voxels
et pareil pour son commentaire sur le diag

vu un petit champ chez un endo = TOP


atrax

16/01/2018 à 11h58

Quelle machine a t-il?

lardonbis écrivait:
---------
> ça me fait penser à un centre radio du coin qui fait presque toujours des pano
> hallucinante... on dirait des retro mise cote à cote tellement c'est net des 1
> aux 8.
> Du coup t'as un peu honte de les faire au cabinet ..


elje

16/01/2018 à 12h38

junior® écrivait:
-------
> Pour faire joli dans mes toilettes :)
> Pour l’implanto bien évidemment . Cas unitaire ou multiple. Pour évaluer le
> niveau osseux au niveau du ramus par exemple (rapports anatomiques) . Pour les
> dents de sagesse aussi dans certains cas et de voir si je délègue ou pas pour
> les sagesses . Et puis il y a bien entendu d’autres indications.
> C’est même pas pour une question d’argent, c’est pour avoir tout de suite une
> évaluation rapide de la situation osseuse, pour éviter de faire perdre du temps
> à mes patients et à moi , et puis pour être certain d’avoir une imagerie de
> qualité. Car on a beau leur dire : allez chez Mr x pour les radios. Il y a
> toujours des patients qui vont aller faire un scanner de merde , qui vont te
> ramener des coupes improbables où on ne voit pas les choses correctement. J’ai
> minimum 1 patient tous les 2 mois qui me ramène des coupes merdiques. Tu leur
> dis quoi ? Il va falloir repayer 150 balles et aller ailleurs faire les radios?

donc pour l’omnipratique, donc petit champs. J’ai une orthophos XG 3D de Sirona, pas mal bien que décevant pour l’endo, les Planméca donnent aussi de très bonnes images


Generique fraisage r2rxmm - Eugenol
lardonbis

16/01/2018 à 12h48

atrax écrivait:
-----
> Quelle machine a t-il?
>
> lardonbis écrivait:
> ---------
> > ça me fait penser à un centre radio du coin qui fait presque toujours des pano
> > hallucinante... on dirait des retro mise cote à cote tellement c'est net des 1
> > aux 8.
> > Du coup t'as un peu honte de les faire au cabinet ..

aucune idée.
je crois surtout qu'ils avaient un manipulateur de génie. Ça m'arrive aussi de faire de belles images, mais en principe je ne sais pas pourquoi c'est nickel et pourquoi les 9 fois suivantes c'est bof bof.

début des belles images il y a 5/6 ans donc machine assez récente je dirais.


Photo pluton1b h9n4ea - Eugenol
pluton

16/01/2018 à 13h21

cyber_quenottes écrivait:

> PS : pluton a pas dit que des bêtises = je confirme que petit champ + petits
> voxels est plus malin que grand champ et gros voxels
> et pareil pour son commentaire sur le diag
>
> vu un petit champ chez un endo = TOP

parce que tu trouves que je raconte souvent des conneries?...;-))

sincèrement pour en avoir discuté avec un mec pointu l'année dernière lors de mon renouvellement du bidule de radioprotection des patients c'est exactement ce qui est ressorti du débat...
un petit champs de 8x8 c'est l'idéal pour nous CD...
après si tu as besoin de plus => radiologue pour conebeam grand champs ou scan
et puis faut pas oublier les outils informatiques qui permettent de superposer les images...

l'OP300 en mode pano fait plusieurs images panoramiques simultanées (5 de mémoire) et superpose les zones les plus nettes automatiquement...
bilan: une qualité d'image exceptionnelle...encore bien meilleure que celle de mon OP200 qui reste toujours dans le coup ( pour pas dire dans les meilleures) 15 ans après quand je regarde certaines images pano publiée récemment sur nonol...


X ray 03 medium zvq18j - Eugenol
cyber_quenottes

16/01/2018 à 14h25

non, pluton

c'est mon défaut que relève ma femme
je dis toujours une double négation
çà l'énerve


dcs

16/01/2018 à 15h11

un petit champ 8*8 tu abuses !!!

je suis passé par kodak , et morita , y a pas photo!!!!!
logiciel kodak plus plaisant mais qualité morita au top champs 8*10 largement suffisant mais tu peux réduire manuellement au calibrage du patient .
un bonheur pour l implanto , pour les sagesse , pour les endo . tu vas apprendre a regarder tes pano en imaginant 3d et détecter direct si t tu complètes par une 3d.
tu vas constater que tes endos anciennes sont tres tres bof(même si ta retro est top !)!!!! que les apex ne sont jamais ou tu penses , et que tu vas devoir faire mieux .
si tu as un pb de budget , je vends ma morita r100 avril 2012 pour prendre la nouvelle .
2 choses ont révolutionnés mon exercice :un cone beam et le vdw pour l endo en sans fil . le reste est anecdotique


dcs

16/01/2018 à 15h13

prochaine étape la 3d shape quand la maintenance sera raisonnable et non obligatoire (en 10 ans tu doubles le prix )


X ray 03 medium zvq18j - Eugenol
cyber_quenottes

16/01/2018 à 15h55

cyber_quenottes écrivait:
---------------
vu un petit champ chez un endo = TOP

========================================

MORITA Veraview POCS 3D F40 RX X 550


Utilisateur banni

16/01/2018 à 16h07

Non j’ ai pas de problème de budget :) je suis tellement économe et je prends très peu de vacances que si je voulais je pourrais m’en acheter plusieurs cash :)) Mais ça ne va pas m’empêcher de faire mon gros radin et de négocier les prix. Donc en gros si je comprends bien il y a 3 marques qui se détachent Morita Instrumentarium et planmeca
OP300 et les derniers Morita ça va chercher dans les combien environ ?

S’agissant de l’endo , rien qu’avec ma Digora, j’ai déjà vu certaines de mes endos faites il y a 4 ans à mes débuts, et ça m’est arrivé 2-3 fois de me dire : quel est le salaud qui a fait cette endo et qui a obturé à 2 mm de l’apex ? Je regarde dans l’historique : ah ben c’est moi qui ai fait cette endo :) Il y a 4 ans je faisais mes endos avec un vieux capteur de merde de chez Visiodent.... quelle catastrophe on ne voyait pas l’ apex des racines palatines des 6-7 maxillaire avec ces capteurs
Entre le logiciel merdique Visiodent et leur ancien capteur de merde , ils m’auront tout fait


atrax

16/01/2018 à 19h09

Après 4 ans d’exercice tu as réussi à mettre plus de 100 000 euros de côté? Alors deux hypothèses: soit tu es implanto exclusif soit t’as pas de copines ? 


Utilisateur banni

16/01/2018 à 19h12

Non je ne suis pas du tout Implanto exclusif :)


mr smith

16/01/2018 à 19h32

junior® écrivait:
-------

> Entre le logiciel merdique Visiodent et leur ancien capteur de merde , ils
> m’auront tout fait

Pour tes longueurs de travail , tu avais pris aussi leur localisateur d'apex ? ;o))))


carident

16/01/2018 à 22h02

pluton écrivait:
------
> l'OP300 en mode pano fait plusieurs images panoramiques simultanées (5 de
> mémoire) et superpose les zones les plus nettes automatiquement...
> bilan: une qualité d'image exceptionnelle...encore bien meilleure que celle de
> mon OP200 qui reste toujours dans le coup ( pour pas dire dans les meilleures)
> 15 ans après quand je regarde certaines images pano publiée récemment sur
> nonol...

Je crois que tu te trompes. L'OP300 ne superpose rien, mais fait 5 ou 6 clichés en même temps et te laisse choisir la ou les images que tu veux. Mais, tout comme l'OP200D, l'OP300 a le système qui permet de tester la "dureté" osseuse au départ pour moduler le rayonnement... Ce qui permet d'améliorer le contraste, et la qualité d'image, tout en diminuant la dose de rayonnement.

"exposition automatique à dose contrôlée. Le système mesure la densité de la branche montante du patient et définit les valeurs de l’exposition adaptée à ce patient"
https://www.henryschein.be/be-fr/images/dental/OP200_fr.pdf

La mesure se fait au départ, puis l'appareil fait la pano avec la même valeur d'exposition.

Chez Morita, ils ont un système similaire, sauf que chez eux l'appareil mesure en permanence et module le rayonnement pendant toute la pano : ce qui permet de ne pas avoir la zone antérieure plus sombre que les zones latérales et postérieures...

Pour la 3D, Morita a amélioré la gestion des artéfacts notamment avec sa dernière machine la Veraview X800 qui fait un tour complet (360°) pour mieux éliminer les artefact.

http://www.morita.com/group/en/products/diagnostic-and-imaging-equipment/2d-/-3d-imaging/veraview-x800/

C'est la pano de chez Durr qui fait 20 clichés différents et sélectionne quasiment pour chaque dent l'image la plus nette pour reconstruire le cliché finale. La pano est toujours nette, mais peut parfois paraitre "artificielle".

https://www.duerrdental.com/fr/produits/imagerie/appareils-de-radiographie/vistapano-s/

Ils ont repris ce système de superposition de l'image la plus nette dans leur 3D, la VistaVox

https://www.duerrdental.com/fr/produits/imagerie/appareils-de-radiographie/vistavox-s/

La Durr constitue le meilleur rapport qualité prix pour qui celui qui recherche un très grand champs (équivalent à 130mm). Elle permet aussi de faire des petits champs 5x5 ou des grands champs qui permettent de voir l'intégralité des deux arcades.


rene

16/01/2018 à 22h21

je constate plusieurs radiologues autour de chez moi utilisent la Newtom VGI avec une qualité d'image exceptionnelle , pour en avoir parlé avec l'un d'eux , il dit que c'est la Rolls des cone beam


je vais prendre la nouvelle Newtom Go qui a la meme qualité que la VGI
a mon avis comparable ou supérieure a la morita
rien a voir avec mon vieux vatech qui est dépassé +++


atrax

16/01/2018 à 22h28

Pour quel prix rene?


Utilisateur banni

16/01/2018 à 22h31

Hey ben Carident ça c’est de la réponse ! Ça ne rigole pas! T’as un doctorat option Cône beam toi :)
Qu’est ce que tu penses de la Newtom Carident ?
Et donc je suppose que tu as une Dürr chez toi ?
Et quel est le prix de vos bécanes ?


Olieve

17/01/2018 à 03h13

Ce qui serait vraiment intéressant c’est que les possesseurs de cbct nous montrent leurs images quotidiennes. Faire une sorte de base de donnée par type de machine.


carident

17/01/2018 à 12h35

junior® écrivait:
-------
> Qu’est ce que tu penses de la Newtom Carident ?
Je ne connais pas la Newtom, mise à part que le fabricant est plébiscité par les radiologues /
Par contre, je crois savoir que le Rosbif en a acheté une à l'ADF 2016. Peut-être pourrait-il nous dire ce qu'il en pense après plus d'un an de recul...
A l'ADF 2016, j'avais observé les clichés de la Newtom et de l'OP300, et j'avais préféré ceux de l'OP300.
Mais c'est très subjectif, et surtout difficile de se faire un avis sur des clichés sélectionnés et peut être retouchés sur un stand...

> Et donc je suppose que tu as une Dürr chez toi ?
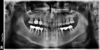
J'avais une pano instrumentarium OP200D avec l'option VT qui permet de faire des coupes transversales (mais que je n'ai jamais utilisé), et là depuis octobre, j'ai la VistaVox de Durr.
Pour ce qui est de la qualité de la 3D, je n'ai aucune référence pour pouvoir comparé, car je n'en avais pas avant... Par contre pour la pano, je peux dire que les clichés de la VistaVox sont quasi comparables qualitativement à ceux de l'intrumentarium...
Ci-joint deux clichés prise sur le même patient à 3/4 ans intervalle.

> Et quel est le prix de vos bécanes ?

Pano 17012018 jbqizn - Eugenol
Pano 22032014 h3st92 - Eugenol