Tous les forums
Age 1er implant
15/02/2018 à 17h49
Hello,
une question pour les implanto
Jeune fille 15 ans et demi, en parait 18 (1m80)
Je l'ai récupérée en fin d'ortho avec quelques caries non ou mal soignées.
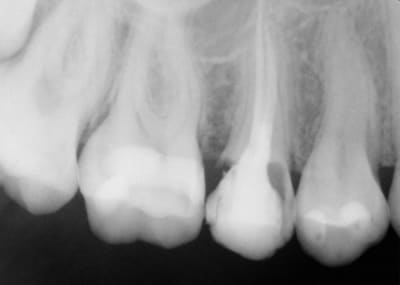
J'ai dévitalisé la 15 il y a environ un mois car douloureuse en sachant qu'elle n'irait pas bien loin et effectivement la paroi palatine s'est fracturée.
Ma question est à quel âge peut-on poser un implant pour remplacer cette 15 ?
Merci.
15/02/2018 à 18h13
La fin de croissance chez une fille c'est plutôt 20 ans (et 23 chez les gars )
Temporise avec une couronne au maximum
15/02/2018 à 18h26
pluton écrivait:
------
> La fin de croissance chez une fille c'est plutôt 20 ans (et 23 chez les gars )
Beuh ! moi ça croît toujours chez moi.
Aïe ! pas sur la tête, hééééé.... pas là non plus ! (en plus ça fait hyper mal)
--
Su-Père Pervers
15/02/2018 à 18h42
Ne jamais demander à un implantologiste, il ne sait que implanter ! Pour un dentiste normal, c'est Inlay-core + céramique avec fin bandeau métallique de sertissage et c'est parti pour au moins 10 ans, voire plus. Quand les implants n'existaient, il n'y avait pas la choix......Alors quand la patiente a 15 ans, il n'y a pas la choix non plus.................avec une très légère élongation coronaire ou une traction orthodontique occlusale, c'est encore mieux.
15/02/2018 à 18h51
Je suis sous gingival, probablement juxta osseux et probablement carié en palatin, IC et céram inenvisageables en l'état.
La traction ortho me semble aussi un bon choix mais les racines sont courtes.
Quelle méthode utilisez-vous pour tracter ?
15/02/2018 à 20h30
Du compo fluide quelques arcs titane que tu trouves chez les vpistes ainsi que du tube odf et roule ma poule
15/02/2018 à 20h36
pluton écrivait:
------
> Du compo fluide quelques arcs titane que tu trouves chez les vpistes ainsi que
> du tube odf et roule ma poule
+syndesmotomie ?
15/02/2018 à 20h49
Tu la vois Enlaye ? avant de lui implanter une vis dans son jeune os , tu peux peut-être lui reimplanter sa dent .... en attendant mieux ! tu feras d'une pierre deux coups : la tractation , la provisoire super bien adaptée . C'est tout merci .
15/02/2018 à 21h10
ben , là , on ne peut pas dire que ce soit 1 cas extrême pour justifier 1 ERI .
je serais plus de l ' avis de Pluton , avec l'ortho .
maintenant , si ça ne marche pas , ce qui m'étonnerait , alors oui ERI .
15/02/2018 à 21h13
mais d'ailleurs ,quoi mettre dans la racine , pour lui tirer dessus ?
à l'ancienne avec un screw-post ? ou un truc plus qui va bien ?
ça m'intéressait , Pluton , que tu nous en dises 2 mots .
aller hop , en favori .
15/02/2018 à 21h49
Moi ce qui m'interpelle le plus en dehors de l'ortho qui te rends une gamine de 15 ans dans cette état carieux sur 14/15/16 , c'est le pourquoi du comment . Elle est sponso par Haribo ou Cola la môme ?
A quoi cela sert de se tordre le coup pour la 15 , quand la 16 ( apriori à la vue de la Z , gros compo sur le collet ) va y passer dans 2 ans et bientot la 17 qui vient juste de naitre .
Ma base de réflexion , c'est que puis je faire pour stopper l'hémorragie ....
15/02/2018 à 21h54
oui, çà marche bien...
çà a en plus le mérite d'être économique...
un screw post, un peu de compo fluide ou a reconstitution de moignon, c'est largement assez résistant pour supporter la traction ortho qui n'est que de quelques grammes...
bien sûr collage du fil dans le tube odf le plus apical possible et reconstitution en large sous occlusion et à corriger au fur et à mesure de la traction...
en moins de 6 mois c'est réglé...peut être même en 2 ou 3 mois... selon le besoin de traction...
15/02/2018 à 21h58
mr smith écrivait:
--------
, quand la 16 ( apriori à la vue de la Z , gros compo sur le collet ) va y passer dans 2 ans et bientot la 17
la 14 ok, 2 petits soins...
la 16 amha c'est plutôt un reste de colle ou de ciment ODF qui servait au scellement de la bague...
15/02/2018 à 22h25
pluton écrivait:
------
>
> la 14 ok, 2 petits soins...
> la 16 amha c'est plutôt un reste de colle ou de ciment ODF qui servait au
> scellement de la bague...
2 soins sur la 14 , la 15 délabrée et surement un soin sur le sillon disto-palatin de 16 ;o)))
La parole est à Bill ;o)))
15/02/2018 à 23h04
Effectivement, état déplorable après plus de 4 ans d'odf.
La 16 c'est un gros pâté de composite qui est en palatin, ML sur quasi toute la face de la dent , je ne sais pas encore ce qui est dessous.
La gamine est superbe, de la graine de top model, je ne dirais pas dans quel réseau elle s'est fait soigner mais ça me rend malade pour elle...
15/02/2018 à 23h21
bill écrivait:
----
> Jeune fille 15 ans et demi, en parait 18 (1m80) ...
...
> La gamine est superbe, de la graine de top model...
Attentiooooooon !
La perversitude commence à te gagner (et je m'y connais)
--
Su-Père Pervers
15/02/2018 à 23h42
pluton écrivait:
------
> La fin de croissance chez une fille c'est plutôt 20 ans (et 23 chez les gars )
> Temporise avec une couronne au maximum
Source ?
15/02/2018 à 23h46
Pervers Pépère écrivait:
--------------
>
> La perversitude commence à te gagner (et je m'y connais)
>
15 ans ça reste une enfant pour moi.
La maman par contre...
Bon, on s'égare... ;-)
15/02/2018 à 23h47
pluton écrivait:
------
> un screw post, un peu de compo fluide ou a reconstitution de moignon, c'est
> largement assez résistant pour supporter la traction ortho qui n'est que de
> quelques grammes...
> bien sûr collage du fil dans le tube odf le plus apical possible et
Tu ferais un petit dessin svp ?
16/02/2018 à 08h10
pluton écrivait:
------
> La fin de croissance chez une fille c'est plutôt 20 ans (et 23 chez les gars )
> Temporise avec une couronne au maximum
Pluton, après 16 ans une fille ne grandit plus vraiment
16/02/2018 à 08h44
pareil que pluton.
ça pousse plus en hauteur mais la gueule change encore.
Source: les implants "mais pourquoi il l'a mis là" chez les patient implanté trop tôt (surtout les hommes à leur majorité).
Après c'est peut être des cas rares dont on se souvient trop bien par rapport à tout les succès.
16/02/2018 à 09h04
lardonbis écrivait:
---------
> pareil que pluton.
> ça pousse plus en hauteur mais la gueule change encore.
> Source: les implants "mais pourquoi il l'a mis là" chez les patient implanté
> trop tôt (surtout les hommes à leur majorité).
> Après c'est peut être des cas rares dont on se souvient trop bien par rapport à
> tout les succès.
Sauf que la croissance perdure bien au delà des 20 et 23 ans.