Cookie Consent byPrivacyPolicies.comRé-endo et rhizalyse - Eugenol

Ré-endo et rhizalyse

Sigyn

16/02/2018 à 14h02

Bonjour à tous,

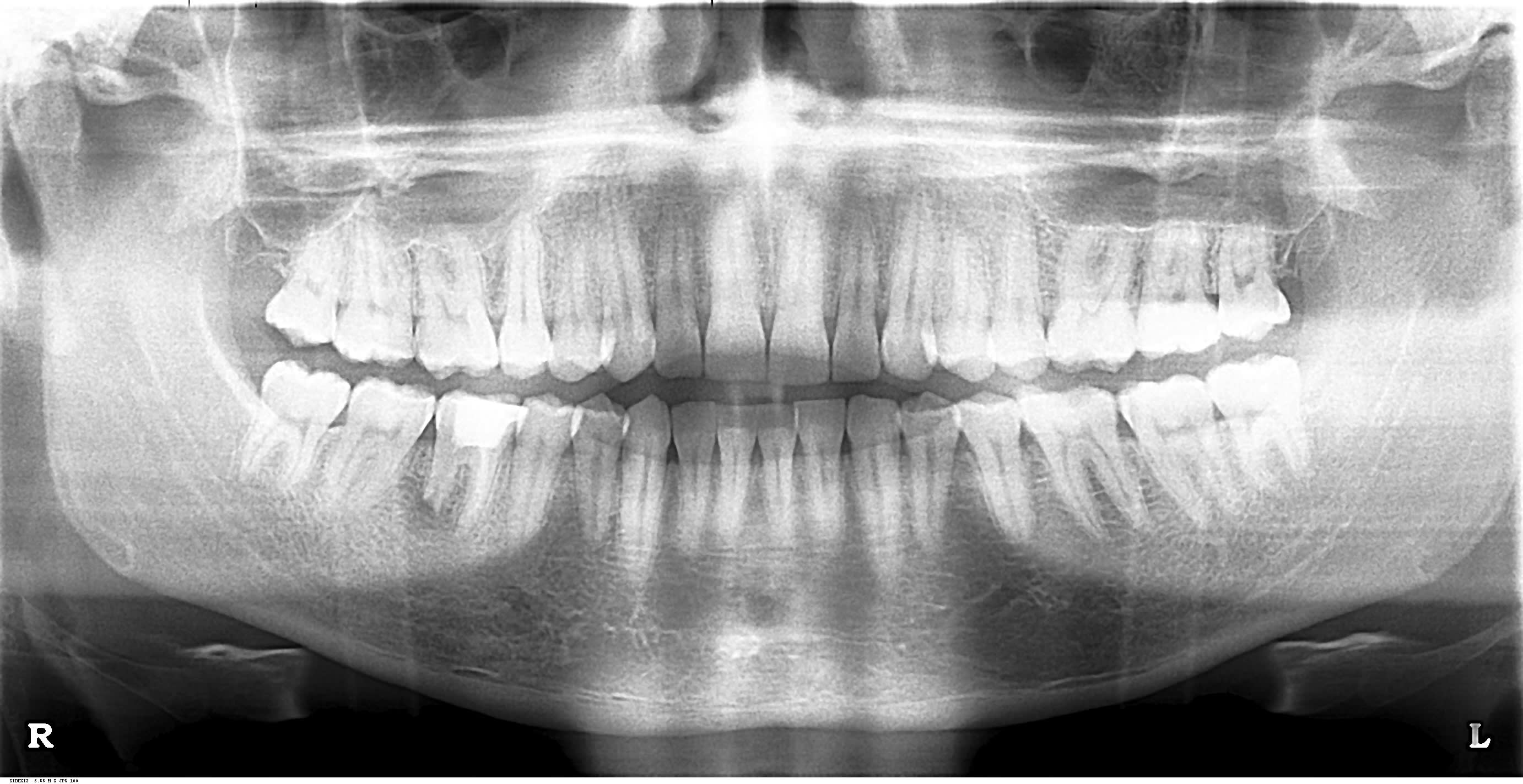
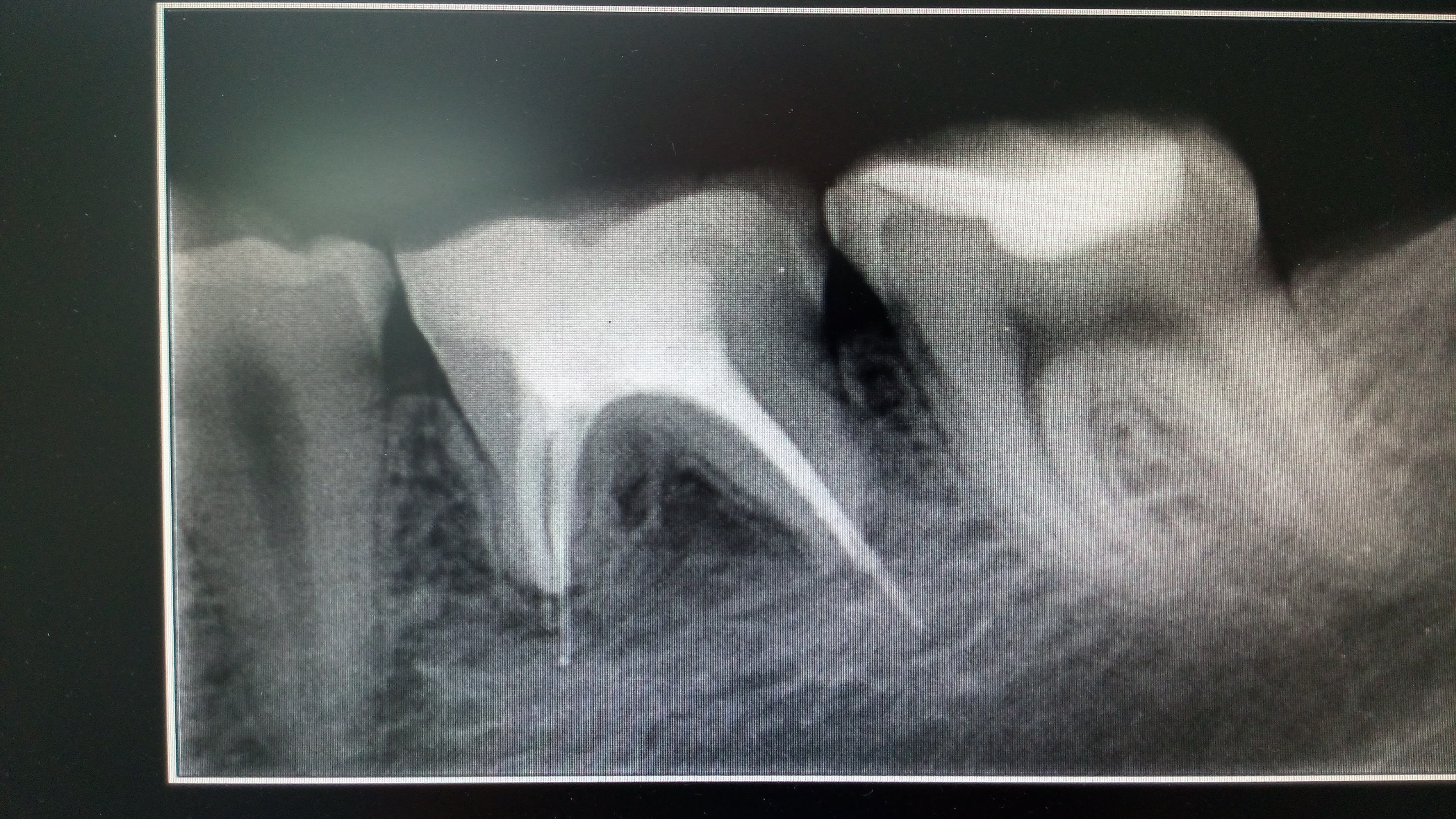
Je souhaiterais avoir vos avis concernant la prise en charge de cette dent. Une endo a été faite, mais seuls les canaux mésiaux ont été obturés.
L'apex de racine distale a été totalement grignoté par l'abcès . J'ai drainé et mis le patient sous AB.
Comment obturer la racine D? Que feriez-vous?

Merci d'avance :)

Dw2r6qivq2zvobo35bx8 - Eugenol
Hu8ezuz3q92zqfe59ycx - Eugenol

Devil wxz6j6 - Eugenol
devil s dare

16/02/2018 à 14h14

pour moi racine distale foutue ; hemisection et conservation des racines mesiales ,c est peut etre faisable mais la prothese ne va pas tenir .... donc extraction et implant


Vw campersurfvan bmnk1q - Eugenol
enlaye

16/02/2018 à 14h23

Ça ç est l indication de l ERI .


Dolan donald duck weird wqjham bw43ju - Eugenol
GéPé

16/02/2018 à 14h39

Endo cone moulé et surement résection apicale dans la foulée. Ou obturation titane.


Sigyn

16/02/2018 à 16h11

Tout d'abord, merci pour vos réponses :)

@devil s dare
Je souhaite être la plus conservatrice possible, en espérant que ça tienne encore quelques années avant d'envisager une réhabilitation implantaire.

@Gépé
Si technique à l'endo cone moulé, tu condenses à froid? Machtou? MacSpadden?

J'avais sinon pensé obturer à la biodentine... est-ce envisageable selon vous?


Dolan donald duck weird wqjham bw43ju - Eugenol
GéPé

16/02/2018 à 16h32

Ca risque d'être tendu la biodentine dans un canal... Obture plutot au cone + bioroot si tu n'as pas l'expérience du truc,, même en faisant un dépassement aucun problème vu que tu fais la résection apicale/curetage après.


Vw campersurfvan bmnk1q - Eugenol
enlaye

16/02/2018 à 19h19

Et @ enlaye , rien ??
Pffff , à quoi ça sert que je racontes des conneries , alors ?:-)


Dprtmuluo7sk4wxn8aabgsxy7sde - Eugenol
Pervers Pépère

16/02/2018 à 19h23

enlaye écrivait:
------
> Et @ enlaye , rien ??
> Pffff , à quoi ça sert que je racontes des conneries , alors ?:-)

Sniff, sniff... ah ben tu sens le pâté, c'est pour ça.


--
Su-Père Pervers


Vw campersurfvan bmnk1q - Eugenol
enlaye

16/02/2018 à 19h32

D accord mais elle , elle ne le sait pas . J comprends pas .


CT

17/02/2018 à 15h07

Je me suis rappelé d'un cas similaire que j'avais traité avec une séance d’hydroxyde de calcium, puis obturé tant bien que mal à la gutta. J'ai revu le patient 5 ans après (j'étais collab à l'époque, c'était un patient du titulaire), le TR n'était pas optimal mais le résultat plutôt pas mal.
Je me rappelle également avoir cureté un tissu de granulation au niveau de la furcation en vestibulaire, ce qui à dû aidé à la cicatrisation.
Le patient avait 16 ans, il fallait temporiser.

Img 20140908 175647 o0rhxz - Eugenol
Img 20140908 175619 slqvj9 - Eugenol

Sigyn

19/02/2018 à 20h37

@enlaye
:p Désolée enlaye, en fait je t'avoue ne pas être pour l'ERI (dans ce cas ci je précise)

@Gépé
Ok je vais faire comme ça, c'est ce qui me semble le mieux

@CT
Merci pour cet exemple. Oui lorsque je vais désobturer les canaux mésiaux, je passerai par une phase de temporisation au CAOH2, c'est ce que je fais tout le temps et ça fonctionne bien ;)

Merci à tous pour vos réponses ;)