Cookie Consent byPrivacyPolicies.comLa sécu dévoile enfin son projet diabolique 🙃🤕🤒 - Eugenol

La sécu dévoile enfin son projet diabolique 🙃🤕🤒

Orezza gazeuse verre litre ocoxey - Eugenol
casa

26/02/2018 à 13h07

Oui Lardon avec le RAC0 , on ne va pas être loin d'une dizaine de couronnes CCM et metal , et de 2 stellites : je ne me pose pas de question , je propose au patient et j'y vais ....Aurais - je bien soigné ce patient ? combien de temps dureront mes soins ? aura-t-il une bouche fonctionnelle pendant 10 ans minimum , aura-t-il une esthétique correcte durant ces 10 ans ? A l'heure actuelle , et vu son niveau de prise en charge basique , ça va être soins et puis une CCM sur la 23 , voire une ou 2 couronnes métal et pis basta parce que déjà ça va être chaud . ... Alors vous allez me sortir l'histoire de la rentabilité , du coup horaire et autres données comptables pour justifier le fait que : non on ne peut pas le soigner ce gamin avec des tarifs iniques tels que proposés et c'est là qu'on va s'engueuler !


P2eqdh3csim6s7nb09ktdq3e7ev8 - Eugenol
barbabapat

26/02/2018 à 13h10

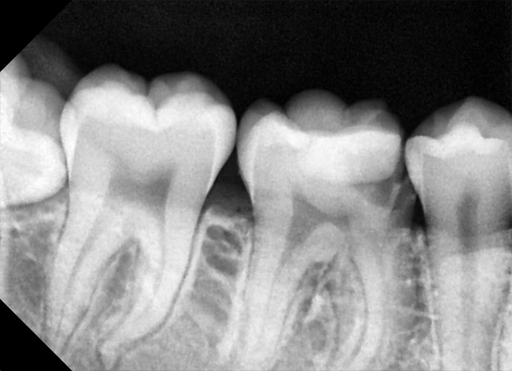
48 cariée jusqu'à la pulpe avec des racines totalement édifiée. Absence de l'ensemble des autres 8. Début de rhyzalise sur la 47.

Ton patient est issus d'un sport étude foot ou équivalent ?

Car pour un homme a 19 ans, il est très en avance sur les âges dentaires.


P2eqdh3csim6s7nb09ktdq3e7ev8 - Eugenol
barbabapat

26/02/2018 à 13h15

Tu laisse l'infection sur 22 non traitée ?
Vu les reprises de soins sur les dents traitées, tu faits de gros cvi sur les dents soignées en espérant que cela tienne. Il y a peut-être 3endos à gauche si on suit ta pano.


Orezza gazeuse verre litre ocoxey - Eugenol
casa

26/02/2018 à 13h22

Barba , ce jeune homme est né en octobre 98 , il a à peine 19 ans ... de corpulence maigre et doit peser 50 kg tout habillé ! comme médecin légiste tu repasseras . J'ai déjà extrait la 47 . La 48 , j'hésite ..et la 22 , je pense tenter de la conserver , j'ai ouvert , elle est asymptomatique , rien dedans , aucune odeur , je ne me vois pas lui extraire déjà .


P2eqdh3csim6s7nb09ktdq3e7ev8 - Eugenol
barbabapat

26/02/2018 à 13h30

En france ou à l’étranger. Car ca peut changer pas mal de choses. Après je ne vois pas en quoi c'est un problème de dire qu'il est en dehors des normes de croissance dentaire au vu de la 48.

Pourquoi extraire la 47. Oui, il y a nécrose de 22, je ne dis à aucun moment de l'extraire. Tu as des endos sur 22, 23, 25 et 35 à faire. Si il est très à risque de carie, pourquoi parles tu alors de une à deux couronnes. Sachant que tu risque d'avoir autant d'endos de l'autre coté.


Generique fraisage r2rxmm - Eugenol
lardonbis

26/02/2018 à 13h32

casa écrivait:
----
Alors vous allez me sortir l'histoire de la rentabilité , du coup horaire
> et autres données comptables pour justifier le fait que : non on ne peut pas le
> soigner ce gamin avec des tarifs iniques tels que proposés et c'est là qu'on va
> s'engueuler !

même pas tu vois.
J'ai pas de stress niveaux compta, c'est le système qui me met mal à l'aise.
On oblige le patient à se nourrir de Flunch payé tarif Troisgros. C'est de l'arnaque et on en est le dernier rouage :D


P2eqdh3csim6s7nb09ktdq3e7ev8 - Eugenol
barbabapat

26/02/2018 à 14h01

casa écrivait:
----
> Alors vous allez me sortir l'histoire de la rentabilité , du coup horaire
> et autres données comptables pour justifier le fait que : non on ne peut pas le
> soigner ce gamin avec des tarifs iniques tels que proposés et c'est là qu'on va
> s'engueuler !

Pour l'instant c'est toi qui parle de rentabilité en liant nécrose et extraction.
De plus pourquoi extraire la 48 encore alors qu'elle peut nécessiter une endo.

Lorsque tu perds trop d'argent dans la réalisations de soins, tu les extraits pour des raisons de rentabilité horaire en faisant une belle perte de chance pour un patient jeune?

Tu les extraits car tu estime qu'il ne fera pas les soins entièrement sinon?


Orezza gazeuse verre litre ocoxey - Eugenol
casa

26/02/2018 à 14h19

Heeu barba .... tu crois que je lui extrais sa 48 par soucis de rentabilité , de même pour sa 22 ? Pour sa 22 je ne vais certainement pas lui extraire , c'était plus pour réagir à ta remarque quant à la 48 , mon expérience me dit que ce type de dent et surtout son état ( qui je te rappelle l'age du patient ) prouvent que déjà elle n'est pas bien partie dans sa vie ... et que même avec une endo sous microscope , la qualité du terrain est plutôt "argileux" voire sablonneux , bref les fondations ne sont pas top ! et si en plus elle doit soutenir un immeuble , perso je n'y habiterais pas ! Quand je vois un gars comme ça , je pense toujours à 10 ans , que restera t-il sachant qu'en 8 ans de dents matures il en a bousillé déjà pas mal et que je ne suis pas magicienne sur la nature du terrain , je peux aider certes , conseiller aussi mais transformer , non ! Donc oui sa 8 , je ne sais pas encore , ce sera le test de la fraise ! si c'est du beurre , je vire ! Je suis comme Lardon , moi , je ne fais aucun miracle , je dirais que j'accompagne le patient dans la gestion de ses dents en réparant au maximum ce que la nature lui a donné, pas de miracle et encore moins de rentabilité dans mon logiciel . DOnc si je lui extrais c'est parce que je pense que c'est mieux pour LUI ! point .


Orezza gazeuse verre litre ocoxey - Eugenol
casa

26/02/2018 à 14h22

@ Lardon , on oblige pas le patient à bouffer au Flunch , on le nourrit , c'est déjà pas mal , et la nourriture du Flunch est équilibrée ,(et peut-être plus que dans un 3*) si on sait choisir ...


P2eqdh3csim6s7nb09ktdq3e7ev8 - Eugenol
barbabapat

26/02/2018 à 14h27

Ton endo sera là dans 10 ans, si tu fais le traitement correct au dessus pour maintenir l’étanchéité durablement dans le temps.

Déjà en prenant le temps de conserver la 47, tu augmentais pas mal l’espérance de vie de al 48. Par contre il fallait faire une remontée de marche et des séances d’hydroxyde de calcium avec une bonne désinfection. Et oui, malheureusement, c’était payé par les soins prothétiques au dessus Inlay-core déjà en temporisation longue et prothèse en fonction de l’évolution radio de la dent.

Enfin, ce que tu as fais pour rendre service au patient peut assez facilement se transformer en mutilation volontaire avec un juge avec des dommages et intérêts eux loin du RACZ.


Generique fraisage r2rxmm - Eugenol
lardonbis

26/02/2018 à 14h35

casa écrivait:
----
> @ Lardon , on oblige pas le patient à bouffer au Flunch , on le nourrit , c'est
> déjà pas mal , et la nourriture du Flunch est équilibrée ,(et peut-être plus que
> dans un 3*) si on sait choisir ...

si tu le vois comme ça pas de soucis. Maintenant on fait un pas en arriere :
ton mec on lui pique son portefeuille, on lui prend 500€ en lui disant que c'est son budget bouffe de midi et qu'il à le droit au buffet flunch.
merde alors. Même si t'aimes le flunch ça pique un peu les fesse non ?


Orezza gazeuse verre litre ocoxey - Eugenol
casa

26/02/2018 à 14h46

Tu vois Barba , tu raisonnes comme un mathématicien .... tu prends un pano , tu définis l'age en fonction de tes critères et hop tu appliques un plan de traitement en fonction de données techniques apprises par cœur et en avant , toute . Ben voilà , le patient n'a pas 30 ans , il est né en France , il est d'origine Portugaise , et tu penses vraiment que sa 8 elle a fondu comme neige au soleil à peine sortie de l’œuf et sans raison ! et que sa mauvaise constitution s'est arrêtée comme ça à la couronne clinique en préservant les racines . Cette dent est cuite a une échéance de 5 ou 6 ans max ! Il n'y a rien de pire que de revoir des patients où tu t'es acharnée à conserver ce que tu pensais conservable qui n'ont plus qu'un bout de chicot complètement rongé en quelques années . tu pourrais penser que le praticien qui a soigné déjà ce jeune homme a fait de la merde ! et ben moi je ne pense pas , pourtant ....Tout ça , c'est du sens clinique barba , pas dans les livres , pas visible sur une Pano , et pour le moment , sur ce patient, tu t'es largement planté !


Dprtmuluo7sk4wxn8aabgsxy7sde - Eugenol
Pervers Pépère

26/02/2018 à 14h50

Et paf, dans ta goule !





--
Su-Père Pervers


P2eqdh3csim6s7nb09ktdq3e7ev8 - Eugenol
barbabapat

26/02/2018 à 15h04

Tu vois, Casa. Tu ne présente qu'un panoramique en éliminant les éléments cliniques. Donc oui, je travailles à partir de ce seul élément en émettant des hypothèses. Par contre c'est ce que fera un expert judiciaire qui lui aussi n'auras pas accès à l'ensembles des éléments cliniques surtout une fois les dents extraites.

Sur la seule base de la pano, j'ai émis un age en disant très bien que c’était impossible. La seule chose que l'on pouvait voir avec l'etat de la 48, c'est que tu ne faisait pas de détournement de mineur en cas de relation sexuelle avec ton patient.

On est pas d'accord sur le traitement, ca ne pose pas de problèmes. Tu estime le patient perdu et tu continue à aller vers la perte de dents, c'est ton choix. Et oui, j'ai un choix différents puisque tu cache les éléments cliniques et que je suis obligé de me définir sans ceux ci.

Oui, l'atteinte carieuse est sévère, par contre tu peux faire évoluer le risque du patient avant d’extraire des dents car tu estimes que c'est plus rentable et que le patients ne mérite pas des soins de meilleur qualité car il est perdu. Car quand même, je n'ai jamais parlé d'extraction de la 22, c'est toi qui l'a dit lorsque j'ai parlé de la nécrose. Il ne me viendrait pas à l'idée d'extraire une 22 juste pour une nécrose.


Orezza gazeuse verre litre ocoxey - Eugenol
casa

26/02/2018 à 15h12

Qui te parle d'expert judiciaire , et que vient-il faire la dedans ? j'espère que tu ne l'es pas expert parce que là , le juge Michel c'est ton frangin !
Tu dis : "Oui, l'atteinte carieuse est sévère, par contre tu peux faire évoluer le risque du patient avant d’extraire des dents car tu estimes que c'est plus rentable et que le patients ne mérite pas des soins de meilleur qualité car il est perdu. "
Tu peux m'expliquer en quoi extraire cette 8 est plus rentable que faire l'endo couronne .. ha ouiiii je viens de comprendre une couronne metal RAC0 c'est pas rentable !!! alors dans ton logiciel , j'extrais aussi les 5 ....? quant à la 2 , ou ai-je dis que j'allais l'extraire , j'ai dis au contraire que j'allais tenter de la conserver .... ! c'est le mot "tenter" qui te déplaît : ben oui , je ne suis sûre de rien moi !


Generique fraisage r2rxmm - Eugenol
lardonbis

26/02/2018 à 15h19

héhé ça commence à ressembler à eugénol ici :D


P2eqdh3csim6s7nb09ktdq3e7ev8 - Eugenol
barbabapat

26/02/2018 à 15h47

Désolé mais une endo-couronne en RACZ peut être moins rentable que l'extraction et la réalisation d'une PAP pour pauvre.

Ca dépend largement de l'investissement en temps que fait le praticien.

Après oui, si pour toi, l'endo, c'est un tire nerf et de la peinture canalaire en 5 minutes, même en RACZ la couronne devient rentable.

Pour la 22, elle est conservable pour 90% des dentistes français qui ne pensent pas qu'il y a un risque quelconque pour la conserver. Par contre oui, après avoir fait des efforts pour la conserver, rien n'est pire que de ne pas aller jusqu’au bout du traitement.


Generique fraisage r2rxmm - Eugenol
lardonbis

26/02/2018 à 16h04

barbabapat écrivait:
----------
Par contre oui, après
> avoir fait des efforts pour la conserver, rien n'est pire que de ne pas aller
> jusqu’au bout du traitement.

tu parles bien du lapin dès le 2eme rdv là ;)


Orezza gazeuse verre litre ocoxey - Eugenol
casa

26/02/2018 à 16h15

On est d'accord barba ! mais pourquoi t’évertues -tu ( tutu ? )à penser qu'il n'ira pas au bout de son traitement ? pourquoi lui , et pas mme truc muche . L'histoire de ce patient est simple , il a du être soigné à l'age de 13,14ans , avec des 6 pourries , des 7 pas mieux et on lui a extrait et soigné ce qu'il restait , il a été sérieux sans doute , le nombre de reconstitutions en atteste , mais que faire d'un gamin à qui on a déjà pas mal extrait de dents .... pas de suite ; surement , il revienst à 19 en étant conscient que ça ne va pas le faire ! là , c'est le porte monnaie qui va coincer ! quelques soient les traitements ( avec 8 sans 8 , avec 22 ou pas ! ) à la limite on s'en fout ! Moi je dis , le RAC 0 va me permettre de le soigner et de lui rendre une certaine dignité dentaire ! et je ne vais pas travailler à perte . Pourquoi , parce que j'ai des investissements raisonnables , parce que j'ai un train de vie honnête , parce que je ne cherche pas à acheter le dernier truc à la mode , le fauteuil à 50 000 € et tout le toutim . JE NE DIS PAS que je suis un modèle et que tout le monde fasse comme moi , j'explique comment , sur un exemple pratique , ce patient à tout à y gagner du RAC0 et moi aussi !
Et bien sur , je n'ai pas de tire nerfs , j'utilise les protaper depuis leur création soit sans doute 15 ans au bas mot , bref , je me situe dans la moyenne sans plus . Toute caricature est insignifiante !


carident

26/02/2018 à 16h15

casa écrivait:
----
> Des comme ça j'en 2 ou 3 par semaine (vu à l'instant ) ... Petite question :
> quel âge à ce patient ?

L'âge n'est pas le plus important... :-)
AMHA, il est plus important d'avoir la réponse à 2 questions primordiale avant d’entamer quoique ce soit...

1 - Quel est le motif de la visite / quels sont les attentes du patient.
Est-il venu juste pour une douleur ou un "petit" problème esthétique, ou a-t'il conscience de son état bucco-dentaire.

2 - Comment en est-il arrivé là? Niveau HBD, fragilité particulière des dents ou/et mauvaises habitudes?

3 - Est-il motivé pour tout refaire et repartir sur de bonnes bases?
Cela va commencer par mettre en place de bonnes habitudes (et voir sa motivation par rapport à cela).
Lui expliquer que ça va être de longues heures au faiteuil et que ça va avoir un certains prix...

> Deuxième question à Carident et à quelques autres, quel
> est le montant de votre plan de traitement ? ( je ne demande pas le détail )

Le but est de tout refaire (mettre en place de bonne habitude, réparer toutes les dents, faire toutes les prothèses...), ou rien!

Car un patient comme ça, qui arrive devant toi un beau matin, après de nombreuses années à rien faire pour ces dents, si le traitement dure trop longtemps (plusieurs années), tu le perdras avant...
Il a besoin d'être rassuré, et motivé :
- qu'il va retrouvé un beau sourire,
- que ça ne va pas prendre trois siècles,
- et que tu vas lui trouver une solution acceptable financièrement, mais qu'il va devoir aussi faire un effort de ce côté là (ça sert aussi à voir sa motivation)

* une solution acceptable peut passer par le faire changer de mutuelle ou lui faire prendre une surcomplémentaire, et à faire une remise conséquente (une sorte de prix de gros), de sorte à ce qu'il paye le moins possible (RAC éventuel et cotisations mutuelles comprises)

=> sans motivation de sa part, tu auras beau faire un travail correcte, ça ne durera pas...

> lardon , la 15 en métal , marqueur social ? ) .. troisième question : pensez
> vous que ce patient a la mutuelle adéquate à son état dentaire

Pas de dents en métal... surtout pas sur un gamin de 19 ans. On ne veut pas le démotiver. Il faut le faire "rêver" pour le motiver!
Si tu lui dis que c'est plié, qu'il va ressembler à requin dans james bond, il faudra pas s'étonner qu'il ne finisse même pas son plan de traitement...

> et enfin :
> pensez-vous que ce patient serait mieux pris en charge grâce au RAC 0 ?

On ne sais pas encore ce que sera le RAC0

ps : c'est quoi cette qualité de pano?!


Orezza gazeuse verre litre ocoxey - Eugenol
casa

26/02/2018 à 16h23

20/20 carident à ton tp vente et motivation , en pratique : combien ? allez ça va te demander 1/4 d'heure de boulot pour le devis .. Une dizaine de couronnes ( au prix de gros !) , 2 stellites . du rêve tu disais ....


Orezza gazeuse verre litre ocoxey - Eugenol
casa

26/02/2018 à 16h24

Petite précision , sur ce jeune , on ne lui voit pas les dents ... bien sur !


Generique fraisage r2rxmm - Eugenol
lardonbis

26/02/2018 à 17h07

casa écrivait:
----
> on ne lui voit pas les dents ... bien sur !

c'est un beau gosse ?

87539 thinkstockphotos 4870265461 gsnjks - Eugenol

Hok 1b hgd3rj - Eugenol
Hokusai

26/02/2018 à 17h19

casa écrivait:
----
> Pourquoi , parce que j'ai des
> investissements raisonnables , parce que j'ai un train de vie honnête , parce
> que je ne cherche pas à acheter le dernier truc à la mode , le fauteuil à 50 000
> € et tout le toutim . JE NE DIS PAS que je suis un modèle et que tout le monde
> fasse comme moi , j'explique comment , sur un exemple pratique , ce patient à
> tout à y gagner du RAC0 et moi aussi !

De toute façon, les "investissements raisonnables" vont s'imposer d'eux mêmes.
Je suis quasiment d'accord avec la totalité de ce que tu dis sauf pour l'histoire du RAC.
Je ne pense pas que le RAC0 fonctionne.
Je pense qu'il déresponsabilise la population.
Le RAC0 c'est un mensonge.
Je pense également que mutualiser le risque dentaire est une erreur.
Pour faire un parallèle avec la responsabilisation... que risque un parent francais qui ne présente pas son enfant au BBD obligatoire ?? Bin rien... nada.
Au Canada, les dentistes sont obligés de signaler aux services sociaux les parents qui ne présentent pas leurs enfants.
Dans les pays d’Europe du nord, c'est un peu le même système de responsabilisation surtout sur les contrôles périodiques.

Le RAC0 ok mais alors avec coercition de contrôles périodiques et réalisations des soins. Mais ce sera fait "a la francaise"... donc le patient est une victime et il n'est jamais responsable et 0 contrôle qualité (bref, une boucherie annoncée).

Pour ce qui est des états dentaires catastrophiques, je voulais juste souligner le fait que la CC et l'amalgame sont ,quoi qu'en pense les esthètes du sillon secondaire mésio-distal de la 18, encore indiqués (hélas, heureusement, je ne suis pas juge) et que cette considération va au-delà de la convention.

Mon patient (ou l'équivalent) doit être dans les 6ke de réhabilitation globale avec des prothèses francaises de base (CCM dents visibles, CC dent post, couronnes fraisées supports de crochets, 2x stellites + prov)...
Dans les 3ke de restant à charge, pour un foyer de 4 personnes à environ 20ke de revenu annuel... Une paille :))))))... mais promis, je m'appliquerai sur les sillons secondaires de sa 27... et je lui présenterai le miroir... faut le faire rêver.


Generique fraisage r2rxmm - Eugenol
lardonbis

26/02/2018 à 17h33

Oui le RAC0 est une grosse blague...
Le "retard" accumulé rend le truc ingérable.
beaucoup de mes patient ont 3 ou 4 screwpost/résine qui trainent avec une indication de couronne évidente, ou un vieux complet usé jusqu’à la corde.. Là ils peuvent pas... si ils peuvent aie aie aie


pour l'amg c'est sur que pour garder les ratounes chez les ado y'a pas mieux..
Compo de 5 ans
Je tombe direct sur du rose... ça me coute cher en MTA ces merdes.
Je vais en faire de l'onlay metal avec ce RAC0 :D

Gloup qa5v5u - Eugenol

1...151617...