Tous les forums
Mince j'ai piqué un patient à une "jeune " consoeur ...
27/02/2018 à 18h29
Ma consoeur : Vue 2 fois , 1 ère séance parlotte , 2 ème séance , devis et détartrage : une devis de 875 € quand même mais surtout , une chance sur 2 que ça se transforme en implant : vous comprenez , je ne suis pas sûre de pouvoir la conserver ( ça te fait marrer Chicot , moi aussi ! ) ....et toujours pas de soin de cette dent .
La patiente est venue me voir .... Je l'avais soignée il y quelques années mais depuis elle a déménagé ...
Attention le jeun's (ou pas d'ailleurs ...) : faut pas prendre les patients pour des jambons ....
27/02/2018 à 19h28
Et donc quand tu as une ratiche dans cet état, tu zappes le détartrage , le devis et tu attaques la dent. Notre boulot commence par soulager les patients, non
27/02/2018 à 20h15
elje écrivait:
----
> Et donc quand tu as une ratiche dans cet état, tu zappes le détartrage , le
> devis et tu attaques la dent. Notre boulot commence par soulager les patients,
> non
Ben rien n'indique que la patiente vient pour douleur. Il faudrait donc commencer à réaliser des soins dans une bouche non préparée ?
27/02/2018 à 20h25
Je ne vois pas non plus en quoi faire un détartrage préliminaire est un soucis (sauf si bien sûr il y a une urgence douloureuse), et je trouve assez honnête de préciser qu'un aléas peut arriver et qu'on est pas à l'abri d'une merde.
Par contre je trouve laid de balancer comme ça un tarif sans plus d'infos. C'est quoi le but ? Faire un peu de populisme ?
Ceci dit Casa a une telle opinion du monde entier et un tel a priori sur la profession que ce sujet ne m'étonne pas beaucoup.
27/02/2018 à 20h29
4 sur 5 , je suis de garde dimanche , ça craint ....
La semaine dernière une amie était de garde : 22 patients , je commence à comprendre ....
27/02/2018 à 22h36
C'est cher 875 euros? Ou tu es juste contente qu'une jeune soit moins "sure" que toi qui n'a sans doute aucun problème?
27/02/2018 à 22h50
J'hallucine ! Mais dites moi un peu vous avez choisi ce metier pourquoi au juste ?
Si vous doutez sur le fait de sauver cette dent , faut changer de boulot !
A votre avis pourquoi la pateinte n'a pas donné suite ... mais si vous ne voyez pas la problème , tant pis , mais faudra pas se plaindre .....
27/02/2018 à 23h14
PtnbZ écrivait:
-----
" C'est cher 875 euros? Ou tu es juste contente qu'une jeune soit moins "sure" que toi qui n'a sans doute aucun problème? "
ni l'un ni l'autre à mon avis .
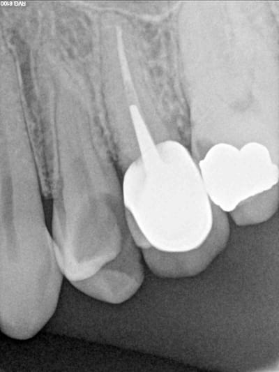
ç est que lorsque tu vois la radio ,eh bien tu agis de suite et tu causes après . surtout que ç est un cas facile , il n'y a besoin de microscope pour trouver la pulpe :-)
27/02/2018 à 23h23
875? C'est tout?
Plus sérieusement, la seule question à se poser c'est : quel est le motif de consultation?
Si la dent est symptomatique et que rien n'a été fait pour soulager la patiente avant que le devis ne soit signé, c'est laid.
Si la dent est asymptomatique, je vois aucun problème à ce que rien n'ait encore été fait sur cette dent, à la condition d'avoir informé la patiente de la survenue potentielle imminente d'une symptomatologie.
27/02/2018 à 23h34
Pas compliqué faut commencer le taf et après on discute. Après avec la carie sur la 6 et la couronne sur la 5 ça commence à faire beaucoup. D’ailleurs casa elle date de quand cette couronne ?
27/02/2018 à 23h37
Aspius écrivait:
------
> Plus sérieusement, la seule question à se poser c'est : quel est le motif de
> consultation?
> Si la dent est symptomatique et que rien n'a été fait pour soulager la patiente
> avant que le devis ne soit signé, c'est laid.
> Si la dent est asymptomatique, je vois aucun problème à ce que rien n'ait encore
> été fait sur cette dent, à la condition d'avoir informé la patiente de la
> survenue potentielle imminente d'une symptomatologie.
+1
27/02/2018 à 23h41
Aspius écrivait:
------
" Si la dent est asymptomatique, je vois aucun problème à ce que rien n'ait encore été fait sur cette dent, à la condition d'avoir informé la patiente de la survenue potentielle imminente d'une symptomatologie."
oui bien sur , d'où l'intérêt de faire un det , ç est important , faut pas rigoler avec le tartre .:-))
27/02/2018 à 23h45
Ca se discute effectivement.
Si tu fais l'endo d'entrée, elle repart avec une dent qui ne l'embêtera pas pendant un moment c'est sur ; mais si elle en reste là avec son pansement provisoire et n'est pas engagée par un devis pour aller jusqu'au bout , ca peut se terminer par une extraction dans 1 ou 2 ans .
--
•La chose la plus importante dans la communication est d'entendre ce qui n'a pas été dit. (Peter F. Drucker)
27/02/2018 à 23h48
Moi je dis, le responsable de tout ce merdier est celui qui a fait cette couronne de débutant sur la 25!
28/02/2018 à 00h01
Grave... Comment peut-on laisser faire ça?! ;-)
Franchement, il aurait voulu nuire au patient qu'il ne s'y serait pris autrement...
28/02/2018 à 00h06
Rhoooo , la vengeance du serpent à plume :-))
tu dis celui , mais tu penses celle :-)))
28/02/2018 à 00h12
enlaye écrivait:
------
> oui y a préméditation :-))
Le second dentiste a dû voir qu'il y avait préméditation ; et hagard il s'est mis à faire un détartrage machinalement histoire de détourner sa propre attention de cette couronne machiavélique, à l'origine des lésions carieuses adjacentes...