Tous les forums
Restaurer au composite des pointes canines bien usees chez une jeune femme
28/02/2018 à 18h06
Bonjour!
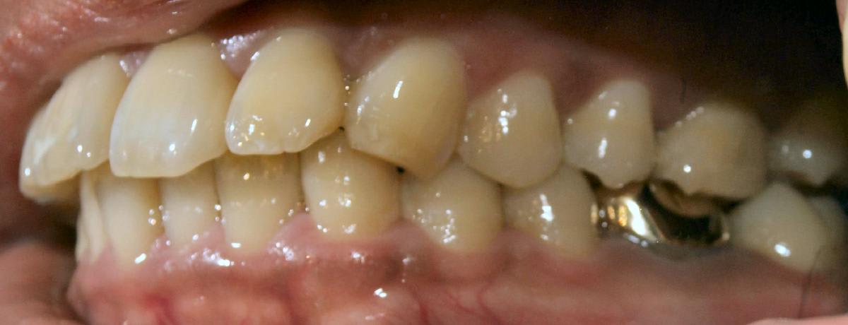
La patiente de 25 ans presente un bruxisme nocturne avec abrasion selective des canines maxillaires.
Sachant que je vais lui faire de l'invisalign sous peu, est il envisageable de reconstituer au composite les canines ? Quitte a ensuite les ingresser un peu?
Ou alors faire d'abord l'ingression ortho et ensuite la reconstruction?
28/02/2018 à 19h59
Mais attends , tu veux ingresser quoi ???
D apres toi elle use les canines pourquoi ?
Et si tu sais , quel est ton plan de ttt ?
Il n y a pas un truc d evident a faire, avant , d apres toi ?
28/02/2018 à 20h58
Il y a eu une egression compensatrice, donc en ingressant un peu (1.5mm) on peut redonner une forme et une position plus naturelle aux canines.
28/02/2018 à 22h01
Une egression compensatrice ???:-)))))
Ahh booooon ,bien suuuur !
Et pour compenser quoi , au fait , chou chou ??:-)))
28/02/2018 à 22h11
Je pense que tout le monde a compris maintenant que j'etais un abruti fini, maintenant si vs voulez bien m'eclairer de votre science.
28/02/2018 à 22h17
Non ,l abruti , c est celui qui t a donné tes cours d occluso .
Vais manger et quand je rentre , je te raconte des choses .A+
01/03/2018 à 00h30
bon , les affaires reprennent . on va commencer par la fin :
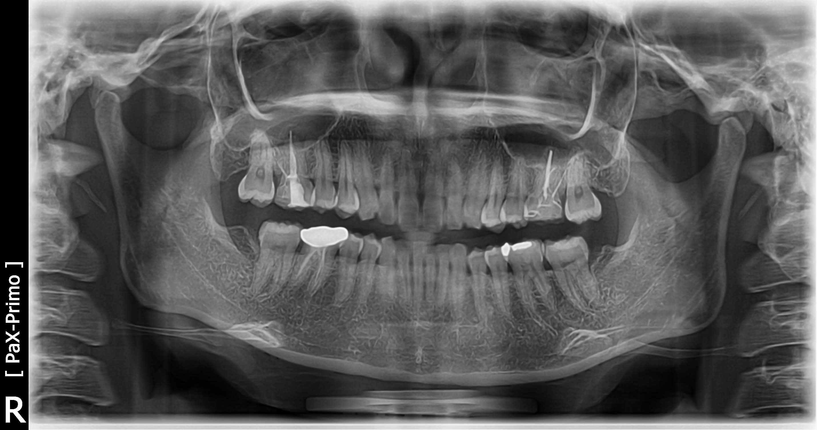
ce cas est tres simple , l'usure des canines est due à la couronne en metal . tu l'enleves ,tu lui fais un prov , et on en parle plus . ç est 1 pb de décalage latéral en OIM .
tu remarqueras que les 2 canines sont usées de façons différentes .
celle de droite est 1 usure par mouvement de grande amplitude alors que celle de gauche ,non .
et comme par hasard , ç est celle de droite qui est usée par le + grand mouvement , comme pour s'ecarter le plus possible de la 36 .
les canines servent , juste avant la fermeture , à verrouiller l'occlusion .
elles ne servent presque qu'à ça d'ailleurs .
oui pcque quand on aura tous compris que de l'ouverture on s'en branle , on aura fait un grand pas en avant . la fermeture faisant appel à des mvts inconscients et incontrôlés ( involontaires ) gérés par la proprioception alors que pour l'ouverture ,ç est le contraire ,ç est 1 mvt volontaire .
les canines:préparent la fin du verrouillage latéral ( droite gauche ) ET aussi bloquent la mandibule par un verrouillage avant arr , afin de protéger le bloc incisif .
ce n'est pas pour rien qu'elles arrivent en dernier sur l'arcade . leur position est adaptative à la forme de toute l'arcade afin de mettre tout le monde d'accord quant à la fin du mouvement .
pas pour rien ,non plus que dans les cas ( comme le tient) d'occlusion inverse postérieur bilatérale ,elles sont sorties et assez longues . ç est pour laisser aux molaires le temps de guider latéralement la mand lors de la fermeture .
ainsi ,l'occlusion inverse bilatérale symétrique n est pas un problème en soit .
Mais mais mais , si tu perturbes le trajet d'entrée de fermeture par une couronne iatrogène , qui modifie cet équilibre instable en latéral , 1 des canines se trouvera en sur verrouillage ( ta 43 ? ) et l'autre en sur guidage ( ta 33 ?) .
ceci étant insupportable pour ta patiente pénible ( ah oui , ç est le type même de la gonzesse casse couille qui ne supporte pas la contrariété ) ,la nuit elle va serrer pour pousser la canine en sur verrouillage , et comme elle n'y arrive pas ,elle va ouvrir pour se soulager et en profiter pour essayer de l'user par des mouvements de grande amplitude .
voilà comme je la sens , ton histoire ,fastoche .
bien sur , cela n'engage que moi et j'attends des commentaires .
PS : parallèlement ,il faudra retoucher aussi un poil les molaires qui ont bougés ... et les bords libres des incisives du bas coté droit dont l'arc s'est resserré .
01/03/2018 à 00h39
Ca tombe bien demain je lui pose la couronne ceram sur 36.
Tu veux dire qu'elle avait une interference sur cette couronne en oim qui la force a avoir une position decalee en lateral de la mandibule?
Pourtant j'ai l'impression (mais je dois etre idiot) que sur les cliches les dents s'engrainent relativement bien sans inversé ou bout a bout molaire...
Une fois que je lui pose la nouvelle couronne, on peut faire qq chose pour redonner une forme de canine d'une fille de 25 ans a 13 et 23 ou non?
01/03/2018 à 00h46
matten écrivait:
------
" Tu veux dire qu'elle avait une interference sur cette couronne en oim qui la force a avoir une position decalee en lateral de la mandibule? "
oui , bien sur . d'ailleurs quand tu l'as déposé elle a du se sentir mieux de suite , non ?
01/03/2018 à 00h48
Pas du tout, elle etait bien avec cette dent en or, on l'a changee uniquement a but esthétique
01/03/2018 à 00h51
matten écrivait:
------
" redonner une forme de canine d'une fille de 25 ans a 13 et 23 ou non? "
oui , avec 2 petits trucs en ceram collés .
mais pas tout de suite , faudra d'abord bien re-regler tout l'ensemble .
ça prend 3 semaines à peu pres . le temps que les articulations se recentrent .
01/03/2018 à 00h53
matten écrivait:
------
" Pas du tout, elle etait bien avec cette dent en or, on l'a changee uniquement a but esthétique "
tu lui as posé la question quand tu lui a enlevé ? , si ça changeait quelque chose ? pcq si tu ne lui poses pas la question , tu ne peux pas le savoir :-))
01/03/2018 à 00h53
Mais en toute honnêteté va falloir me faire un dessin car je ne vois pas du tout le decalage...
Les milieux interincisifs sont centres, les 6 max sont recouvrent bien en vestibulaire les 6 du bas... Ou est le decalage?
01/03/2018 à 01h05
Je viens de lui poser la question a l'instant elle me dit ne sentir aucune difference, ni en mieux ni en pire, car elle ne ressentait aucune gene au depart.
01/03/2018 à 01h06
tu rigoles ou quoi ? t'as vu la tronche des 6 ?
- en distal de 26 il y a une prematurité , sa face vest est mangée et la 27 est à l'ouest
- la 16 est toute usée
- tu es presque en supra-clusion par usure des calages post
- quant au décalage latéral il n'a pas besoin d'etre grand donc visible au niveau inter incisif , pour induire un bruxisme . surtout qu'elle est encore jeune .
01/03/2018 à 01h09
matten écrivait:
------
" Je viens de lui poser la question a l'instant elle me dit ne sentir aucune difference, ni en mieux ni en pire, car elle ne ressentait aucune gene au depart. "
ç est toi qui dormira mieux , elle fera moins de bruit :-)))
01/03/2018 à 01h09
Les 6 ont cette tete car la patiente a eu des inlays onlays en cerec sur 16/26 depuis une 10aine d'annees.
01/03/2018 à 01h10
enlaye écrivait:
------
> matten écrivait:
> ------
> " Je viens de lui poser la question a l'instant elle me dit ne sentir aucune
> difference, ni en mieux ni en pire, car elle ne ressentait aucune gene au
> depart. "
>
> ç est toi qui dormira mieux , elle fera moins de bruit :-)))
Pas mal Sherlock!😂
01/03/2018 à 01h13
Ah ok maintenant je vois! Mais c'est plus 37 et 47 qui sont en vestibuloposition non?
01/03/2018 à 01h20
matten écrivait:
------
" Les 6 ont cette tete car la patiente a eu des inlays onlays en cerec sur 16/26 depuis une 10aine d'annees."
ben oui , elle les a usés , pour se les mettre en place , la couronne en metal ( or ? ) elle ne s'use pas , en tout cas pas à la meme vitesse .
si elle a eu ces onlay à 15 ans ,ç est probablement à cause de l'occlusion inverse . l'effet iatrogène a commencé très tôt . cqfd
01/03/2018 à 01h22
matten écrivait:
------
" Ah ok maintenant je vois! Mais c'est plus 37 et 47 qui sont en vestibuloposition non?"
ç est ce que l'on appelle une occlusion inverse :-))