Cookie Consent byPrivacyPolicies.comJe pose ça là - Eugenol

Je pose ça là

Nouveau image bitmap fz77zh - Eugenol
Sethef

13/06/2018 à 13h34

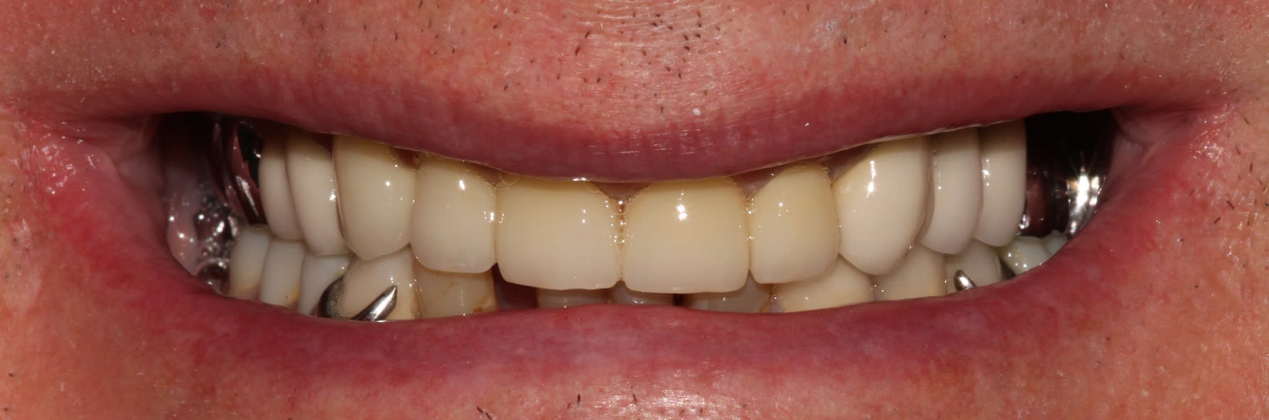
En bouche.
Le sourire est volontairement forcé, je voulais lui éviter les écarteurs.
Il avait l'air de vouloir fermer les diastèmes en bas, on verra si je rajoute quatre céramiques supplémentaires, pas d'obligation.
Petite retouche des bords libres à prévoir je pense, le jour du contrôle.

That's all!

Img 4392 eio1sj - Eugenol
Img 4342 uc1fif - Eugenol

Nouveau image bitmap fz77zh - Eugenol
Sethef

13/06/2018 à 18h10

Et voilà, tu postes des jolis choses pour faire le beau, et aucune réaction.
C'est le RACO qui vous déprime?


Generique fraisage r2rxmm - Eugenol
lardonbis

13/06/2018 à 18h49

c'est beau certes! mais pourquoi tu lui fais pas les Ic mandibulaires d'office voir si il pète tout ?
on veut un peu de suspense en plus de la maitrise !


Nouveau image bitmap fz77zh - Eugenol
Sethef

13/06/2018 à 21h13

Ben parce que je ne suis pas obligé, déjà. Tout le reste, je ne pouvais pas vraiment le faire à moitié, mais là, quoi que décide le patient, ça ne change pas grand chose à la finalité de l'histoire.
Et puis parce que, quand ils commencent à en avoir marre, j'aime bien leur foutre la paix un moment.
En fait, des cas de ce genre, je ne dois pas en avoir plus d'une dizaine à mon actif, et aucun ne m'a fait faire les incisives inf. Ca ne se voit pas vraiment, fonctionnellement ça ne les gêne pas... Et je me dis que ça fait fusible.

Là, les diastèmes sont importants, donc ce sera peut-être le premier. On verra en septembre de toute manière, j'ai plus de place avant.


Vw campersurfvan bmnk1q - Eugenol
enlaye

13/06/2018 à 21h28

Sethef écrivait:
------
" Et voilà, tu postes des jolis choses pour faire le beau, et aucune réaction.
C'est le RACO qui vous déprime? "

Noonn , suis en flag au resto , pas le temps de regarder , tant il m arrive :-)))


Vw campersurfvan bmnk1q - Eugenol
enlaye

14/06/2018 à 16h22

j aurais un poil ecarté la 13 en vest .
à cause du stellite de derrière qui diminue le guidage des chemins d entrée .
sinon , comme te l as dit Lardon , tant que tu ne fais pas les inc du bas , tout va .


Nouveau image bitmap fz77zh - Eugenol
Sethef

14/06/2018 à 18h23

Bien vu, comme d'hab, il s'agit de la seule qui a nécessité un réglage lors de la pose, en dynamique...


Nouveau image bitmap fz77zh - Eugenol
Sethef

15/06/2018 à 15h44

Tiens, d'ailleurs, quel risque ça nous ferait courir en plus de réaliser les incisives du bas?


Vw campersurfvan bmnk1q - Eugenol
enlaye

15/06/2018 à 19h00

le risque pour les incisives du bas ? d’être aussi moches que si tu ne faisais rien .
et encore je te dis ça à toi , pcq tu commences à bien maîtriser la cinématique mandibulaire sinon le risque serait de tout perdre , le haut et le bas .


Nouveau image bitmap fz77zh - Eugenol
Sethef

10/09/2021 à 22h06

Ah, enfin on y arrive.


--
_____________________
Dentiste décroissant.

Img 4593 ajg9vf - Eugenol
Img 4594 mc9uyo - Eugenol
Img 4595 azplbr - Eugenol

Vw campersurfvan bmnk1q - Eugenol
enlaye

10/09/2021 à 23h27

Ah enfin les post qui parlent de dents et prothèses ressortent .
C est plus sympa de parler de courbes de Spee que de courbes vaccinales.



Vw campersurfvan bmnk1q - Eugenol
enlaye

11/09/2021 à 08h04

Huuummm , si j' étais toi , je limerais la crête (le bord libre ) distale de la 42 pour la rentrer . Et en haut , cad en 13 j adoucirais la crête proximale en mésial pour augmenter sa concavité et pareil en 14 , un petit biseau mésial sur la crête ne ferait pas de mal .
Surtout à cause de ce putain de taquet occlusal en métal de la 34 que tu comptes garder .


Vw campersurfvan bmnk1q - Eugenol
enlaye

11/09/2021 à 08h11

Si tu veux t amuser , fais y une ppa à la place du stellite donc sans taquets , juste pour voir .
C est gratos :-)
Et tu verras ce qu il te dira au niveau du confort global . Ton occlusion ne sera plus la même .


Nouveau image bitmap fz77zh - Eugenol
Sethef

11/09/2021 à 09h16

Si tu me dis pourquoi t'aimes pas les taquets, je te dirais pourquoi j'en fais.

Et la 14 m'a piqué l'oeil aussi sur les modèles.


--
_____________________
Dentiste décroissant.


6szjws718sv1jksw54v4mpj3a6cu - Eugenol
vulpi

11/09/2021 à 09h47

Ah! Les taquets... vaste sujet:-)


Avatar transparent iqadnc - Eugenol
adhoc

11/09/2021 à 12h20

(le sujet est sympa). Oui, les taquets, les doubles crochets, les crochets coulés bien massifs, n'est ce pas une spécificité française?. Je remarque que les anglais et les habitants nord Europe ont des prothèses résine ou des métal tres dépouillées, souvent sans crochets et tout le fourbi e. et très souvent , te résultat me semble satisfaisant. Ca flotte un peu plus , ils carburent a la colle les premières années, puis s'en passent et rarement des blessures.


Nouveau image bitmap fz77zh - Eugenol
Sethef

11/09/2021 à 12h56


Ben quand même, sans taquets, ça finit par s'enfoncer, non?

Résine j'en parle pas, c'est une cata au niveau paro.

--
_____________________
Dentiste décroissant.


Nouveau image bitmap fz77zh - Eugenol
Sethef

11/09/2021 à 12h57

Rétention stabilisation sustentation.


--
_____________________
Dentiste décroissant.


Vw campersurfvan bmnk1q - Eugenol
enlaye

11/09/2021 à 13h56

Sethef écrivait:
------
"Ben quand même, sans taquets, ça finit par s'enfoncer, non? "

Non ! :-)
Ça s enfonce même moins .
Et le taquet créé les pb Paro .
Ce qui est logique finalement puisque le taquet donne une forte composante axiale et axiale / traviole sur la racine .
Le pire .


Vw campersurfvan bmnk1q - Eugenol
enlaye

11/09/2021 à 13h57

Déjà rien que le nom , ça sent l embrouille :-)


Vw campersurfvan bmnk1q - Eugenol
enlaye

11/09/2021 à 14h03

Sethef écrivait:
------
" Rétention stabilisation sustentation "
- Rétention , non
- Stabilisation , non plus encore moins . en tout cas pas sur une edentation terminale et si ce n' est pas une edentation terminale encore moins d intérêt .
- sustentation , il n' y a pas de raison .
Sauf le jour de l essayage du châssis vide où cela peut rassurer certains de le voir en l air .


Vw campersurfvan bmnk1q - Eugenol
enlaye

11/09/2021 à 14h13

Le gros pb du taquet c est qu il se met sur les crêtes marginales ,
or ces crêtes marginales sont les seules qui stabilisent et calent vraiment l occlusion en fin de fermeture , contrairement aux faces occlusales .( en exagérant , bien sûr )
J ai écrit un post là dessus , sur les crêtes marginales j essayerais de le retrouver .


mla3

11/09/2021 à 14h16

axiale / traviole... on peut traduire par bras de levier ?
retention et taquet : ok avec Enlaye
"enfoncement ": à Paris V , on était formaté"taquet", en pratique aucune technique d'empte n'appréhende bien la depressibilité tissulaire differentielle, c'est une vue de l'esprit et dans les cas d'édentement terminal c'est parodontalement iatrogène, même avec un suivi systématique de refection de selle.
On repartit mieux le tassement ineluctable sans taquet... pas le pérou mais moins pire.
avis empirique.


6szjws718sv1jksw54v4mpj3a6cu - Eugenol
vulpi

11/09/2021 à 14h30

Je dirais que dans certaines situations cela dégauchi la position de la pap et que cela permet de situer en hauteur la position de la partie rétentive du crochet, donc peut améliorer la qualité de la rétention.
Il n'est pas obligé, ni souhaitable de niquer les crêtes marginales et encore moins d'interférer avec l'occlusion.
( Plus j'avance et plus j'aime les crochets façonnés, les patients aussi d'ailleurs).


mla3

11/09/2021 à 17h43

Vulpi, j'ai rien compris : la partie retentive du crochet c'est la portion terminale du bras, rapport avec un taquet ?
dégauchir la position de pap????tu veux dire quoi?

pour crochet façonné, activable et réactivable point+, mais même en 1/2 jonc pas façonnable parfaitement à la face dentaire , donc son action théorique de solliciter la dent par portion lors de l'insertion desinsertion est un point -
l' idéal pas de ce monde.....