Tous les forums
3 eme p'tit tuto : t'es flon ou quoi ?
07/12/2020 à 19h31
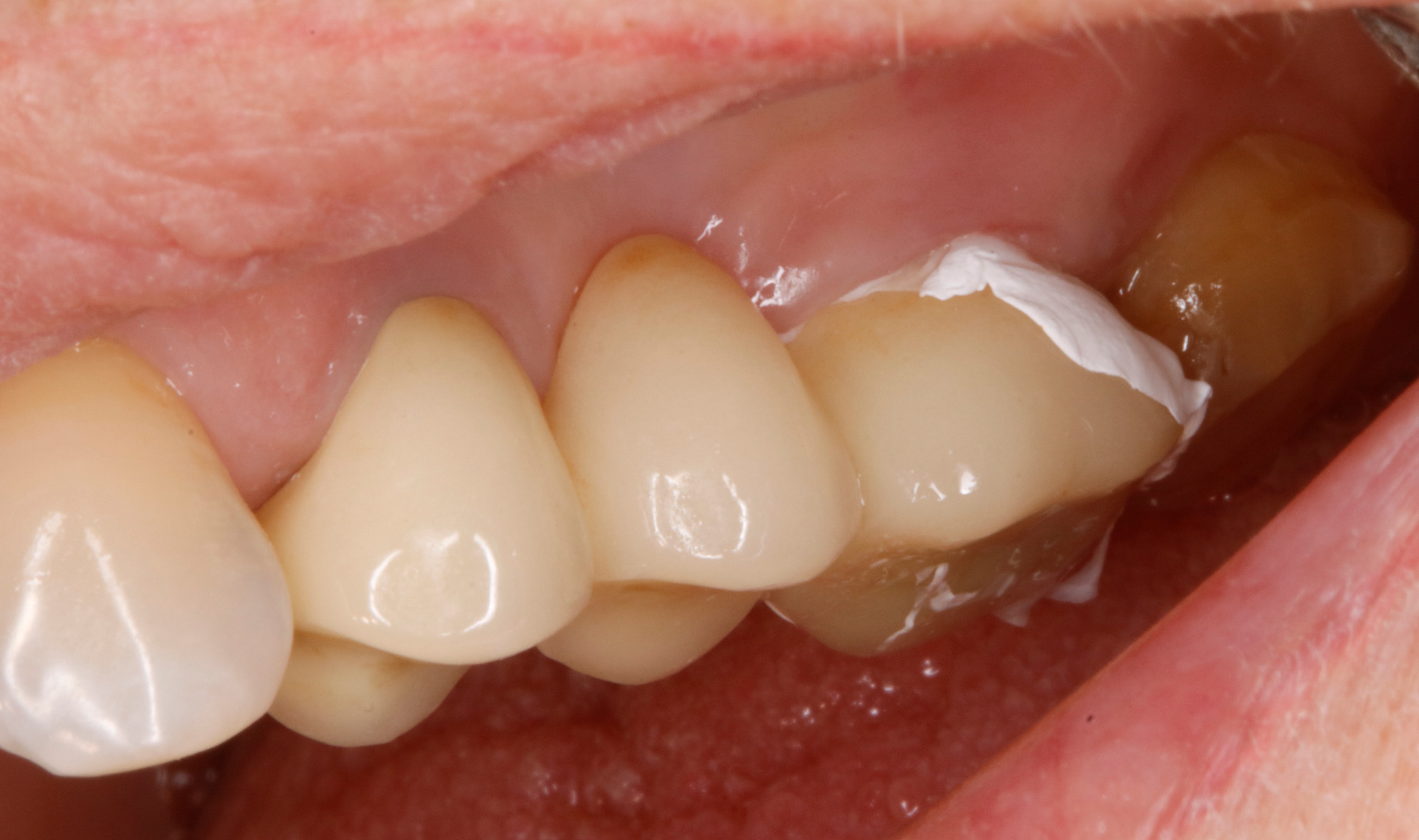
reconstruire un moignon sous une couronne .
2012 je fais un bridge zircon sans reprendre le ttt de la molaire et Crac ça n a pas raté cet eté abcès .
pas grave BIM un grand coup d arrache , et comme rien ne tient au zircon , le bridge vient nickel et on reprend l endo .
seulement voilà , il faut maintenant reconstruire .
alors mettre du téflon dans l intrado , c est une bonne idée , à part que ça bouge dans tous les sens , et qu au moment de le mettre en bouche , ben il ç est déjà barré ou déplacé .
oui pcq le compo on le met dans la dent et non pas dans l intado . ben oui on est pas à la plage à faire des pâtés d Etoile de mer , non plus hein :-) il ne s agirait pas de farcir les limites restantes .
alors j ai trouvé comment le faire tenir au fond de l intrado ce putain de teflon .
ç est quoi d apres vous ?
bon je vais manger à mon restau clandé et au retour , la soluce ! :-))
07/12/2020 à 20h45
varois ? bord de mer ? un tout petit peu de sel fin humide...;
un truc visqueux, collant poisseux et naturel... je préfère ne pas l'envisager 😉
07/12/2020 à 21h02
moi j'étais consignée en couisine (😉) j'ai fait avec les moyens du bord,ruban teflon au cul du verre qui ne s'est pas décollé au retournement . l'astuce rac moins 0.
Y-a -il des accessit distribués ????
07/12/2020 à 21h05
toujours la couisine, une micro goutte de liquide vaisselle ça marche aussi....
07/12/2020 à 21h05
Alcool ?
Pas dans le verre hein, enfin pas que mais dans l'intrados et çuilà tu le bois pas.
Vaseline ?
toujours dans l'intrados hein, ta vie privée ne doit pas interviendre ici.
07/12/2020 à 21h08
dernier essai : une micro lichette de salive : j'ai carton plein, sur mon verre... à confirmer sur zircone
07/12/2020 à 21h23
Seigneur, qu'est ce qu'il mastique lentement... un souci d' amovibles ????
07/12/2020 à 21h48
Il a rencontré une varoise pas difficile ? bon la "soluce" c'est pour demain alors.....bonne nuit à tous.
07/12/2020 à 22h08
:-))) vous êtes excellents :-)
de l huile d olive !! :-)
faut tjs en avoir au cab , je fais plein de trucs avec , ça sent bon , c est un bon cicatrisant et ça fait pas grossir :-)
en l occurrence , ici c est suffisamment fluide pour aller de partout facilement , suffisamment mouillant collant pour imprégner le téflon et qu il tienne par tension superficielle , isolant au compo au cas où il y ait embrouille , rend le téflon transparent pour une meilleur visibilité et facilement enlevable avant scellement .
et surtout j en ai :-))
PP n etait pas loin dans l esprit :-)
07/12/2020 à 22h30
Dormirai moins con...
Les Varois et l’huile d’olive CQFD !
Alors, ton repas ?
😷😉
07/12/2020 à 22h36
enlaye écrivait:
------
> de l huile d olive !! :-)
...
> et surtout j en ai :-))
T'ain heureusement que t'as pas gardé tes analyses d'urine, l'a eu chaud l'autre avec son bridge :-))))
08/12/2020 à 11h43
Bon en clair chacun fait sa salade :-))
(Huile d'olive, de noix-salade-humour-rire-applau)
17/09/2021 à 20h31
lorsque tu dois prendre une occlusion , pour un montage sur articulateur par exemple , ç est tres facile à enregistrer avec les silicones de mordus .
c est tres facile à enregistrer , mais à repositionner sur les modeles en platres qui ne sont pas glissants , c est une autre histoire à causes de ces put.. de languettes proximales et des espaces interdentaires qu il faudrait couper au risque de couper la cale une fois sur deux ,( ce qui explique que les labo ne le font pas ) ..
17/09/2021 à 20h34
alors que là , a plus les languettes , fastoche .et en plus , moins de risque de se casser .
PS : heuuu même si tu as la cam , ça sert tjs de monter sur articu pour monter une dv , ou rechercher une centrée , par exemple
17/09/2021 à 20h52
enlaye écrivait:
------
> PS : heuuu même si tu as la cam , ça sert tjs de monter sur articu pour monter
> une dv , ou rechercher une centrée , par exemple
Eh!eh! Toi tu m’as entendu penser très fort ;-)))
30/03/2025 à 18h10
Gros up
L'était bon ce fil, pas d'embrouille, plein de participants, de la déconne, des combines pro, sympa, pas de Macron, ni de Trumpoutinitude, ni de vaccin ... bref que du bon, c'est apprendre en s'amusant comme siffler en travaillant.
Bon sauf qu'en 2025 le silicone c'est plus dans les empreintes mais dans les lèvres et les soutifs.
Sont cons ces varois