Cookie Consent byPrivacyPolicies.com3 eme p'tit tuto : t'es flon ou quoi ? - Eugenol

3 eme p'tit tuto : t'es flon ou quoi ?

Orezza gazeuse verre litre ocoxey - Eugenol
casa

24/04/2018 à 18h27

ben oui Junior , on sèche parce que soit t'as inventé la dentisterie 3.0 et là c'est banco , soit c'est du flan ton truc !


Orezza gazeuse verre litre ocoxey - Eugenol
casa

24/04/2018 à 18h28

et pourquoi les cmu d'ailleurs ???? pourquoi pas tout le monde ...


Utilisateur banni

24/04/2018 à 18h28

Vous voulez encore chercher ou je vous donne la réponse ?:)


Orezza gazeuse verre litre ocoxey - Eugenol
casa

24/04/2018 à 18h30

non vas-y accouche ! moi j'aime bien les trucs déglingo !


Hok 1b hgd3rj - Eugenol
Hokusai

24/04/2018 à 18h34

Tu cotes un inlay 3f a 250e + une CC a 250e...


Dprtmuluo7sk4wxn8aabgsxy7sde - Eugenol
Pervers Pépère

24/04/2018 à 18h36


Tu achètes Monsieur Chang, on en trouve des pas chers, tu l'enfermes dans la cave et tu le fais bosser, tu lui laisse un peu d'eau et de riz quand même, on n'est pas des boeufs et zou, céram pas chères.

--
Su-Père Pervers


Devil wxz6j6 - Eugenol
devil s dare

24/04/2018 à 18h36

avec du legal? pas un truc tordu ? je ne vois pas


Blue eye thumb medium dx1i0w - Eugenol
bill

24/04/2018 à 18h37

junior® écrivait:
-------
> Vous voulez encore chercher ou je vous donne la réponse ?:)

Ya une histoire de petite culotte dedans ?? :-)


Capture d écran 2018 05 16 à 21.30 - Eugenol
Daryl

24/04/2018 à 18h40

junior® écrivait:
-------
> Vous voulez encore chercher ou je vous donne la réponse ?:)

T'as trouvé un protho malgache qui te fait des ccm au prix des cc de ton labo chinois !!!


Orezza gazeuse verre litre ocoxey - Eugenol
casa

24/04/2018 à 18h45

bon ben tu mets du teflon sur la dent , tu "coules" du composite dessus tu polymérises.. tu enlèves ( ben ouais y'a le teflon) et tu scelles .. et hop tu colles à la nomenclature et tu cotes 250 € .. voili voilou


Utilisateur banni

24/04/2018 à 18h52

La solution elle est ici :
- je fais un congé 2 mm au dessus de la gencive en L. Et je fais un énorme onlay composite par dessus
- 3 solutions :
1) je laisse 2 mm de dent en lingual si c’est possible
2) sinon je fais une reconstitution foulée où le congé en L sera 2 mm au dessus de la gencive
3) si reconstitution foulée impossible : je fais faire un inlay core qui sera ceramisé au dessus du congé, le congé étant en lingual sur l’inlay core lui même , mais à 2 mm au dessus de la gencive.

-> comme la prothèse ne recouvre pas toute la dent nous pouvons la considérer comme un onlay composite . Et donc résultat ils ont une couronne blanche en postérieur sans que ça nous coûte rien. Un onlay en compo chez les chinois c’est 50 balles voir même moins

CQFD

Image hcgu0f - Eugenol
Image ajib0n - Eugenol

Dprtmuluo7sk4wxn8aabgsxy7sde - Eugenol
Pervers Pépère

24/04/2018 à 19h01

C'est pourri ton truc, d'abord c'est plus que limite, si j'ose dire, et ton super onlay compo sur un ic, risque de casser.


--
Su-Père Pervers


Utilisateur banni

24/04/2018 à 19h05

Pourquoi ça risquerait de casser ? Le compo ça tient très bien . J’ ai déjà fait d’enormes overlays en compo en postérieur à mes débuts , ça tient très bien.


Utilisateur banni

24/04/2018 à 19h16

Après pépère si le compo tu le sens pas tu fais du full zircone chinois , c’est pas beaucoup plus cher ...


Dprtmuluo7sk4wxn8aabgsxy7sde - Eugenol
Pervers Pépère

24/04/2018 à 19h24

Fais pas de chinois moi, en plus des fois tu crois que c'est un chinois pis c'est un jap ou un coréen. Mais va falloir que j’apprenne à les reconnaitre pour l'année prochaine, année du dindon (de la farce) .


--
Su-Père Pervers


Utilisateur banni

24/04/2018 à 19h28

Regarde pépère avant la pose , j’ai pas fait gaffe je l’ai pas enfoncé à fond pour faire la photo. La 14 c’est du chinois avant que je la colle.

7e3fad7d 16a0 47d7 b578 45cde48756f3 sxy7dd - Eugenol
5240dd7e 2960 4362 9e8f 024d9a2171d0 kakrah - Eugenol

Utilisateur banni

24/04/2018 à 19h40

Toujours du chinois la 36 sur implant , la 35 est une vieille française faite par un ancien praticien.
Ou une endocouronne chinoise sur la 7....

342608f6 bf75 4cc5 a901 333d1414502d q9cqmw - Eugenol
597a2477 0b63 4cdf b175 83b44f6704fd dg4abz - Eugenol
D0454a35 0dd7 4054 8b77 2c786c6ecf87 dsafoi - Eugenol
E8ae805c 3631 4919 bdff 617737b6554d b7ecq9 - Eugenol

Orezza gazeuse verre litre ocoxey - Eugenol
casa

24/04/2018 à 19h40

Donc tu fais une "presque " couronne en composite ? je suis, comme pervers , sceptique, sur la durée de vie ( bon 1 ou 2 ans ça compte pas hein ! )


Utilisateur banni

24/04/2018 à 19h44

Faites le en full zircone si vous préférez...


Ylfwcw979cz1jnx9gfqeaxndiuzk - Eugenol
Algi

24/04/2018 à 19h50

T'ain tu bosses deux trois heures et le post a pris 50 messages.... pas le temps de lire maintenant.

Teflon: a bouffer du teflon depuis 2/3 jours ben je cogite.... et je suis teflon dans ma tête.

Du coup ce soir: carie profonde +++ sur une 36.

Endo à faire mais je veux d'abord faire une coiffe provisoire histoire de pouvoir refermer le capot entre deux seances.

Carie distale 36..... trou enorme avec contre depouilles dans lequel va aller se fourrer mon unifast...

Je fais ma taille peripherique, je vire la dentine ramollie et là je te comble tout ça avec...... tataaaannnnn! DU TEFLON!

Je l'écrase bien bien dans la cavite, je m'assure que la limites peripherique est lisible et je fous mon provident rempli de resine par dessus.

Nickel chrome!

Ensuite tranquillou j'ai ouvert la chambre, bataillé 45 minutes avec le pulpolithe de la con de manon qui bloquait l'acces aux canaux, atteint mes apex, laissé un coton+girofle, rempli/recouvert de teflon (ben ouais on verra bien) et scellé ma provisoire par dessus.


--
On a toujours le choix mais entre quoi et quoi?
Vas-y boulégue et l'avenir te le dira!


Vw campersurfvan bmnk1q - Eugenol
enlaye

24/04/2018 à 23h46

houlà, eh ben ça y est , on vous laisse 1 moment et ça fini en teflonade ici .
Eh ben , Algi , tu vis 1 drole de vie avec tes 36 , t'ain ,ç est pire que de peindre la girafe .
et toi , Junior , installes toi à Shangai , c' est encore plus simple :-)
Hokusai , 0.2mm d'épaisseur , bien, toi prendre .


Vw campersurfvan bmnk1q - Eugenol
enlaye

26/04/2018 à 11h59

1 autre cas tout frais en 1 seul temps avec 1 insertion du porte empreinte pénible .
comme ç est 1 bridge , je pense qu'il est préférable de mettre 2 morceaux de téflon : 1 par pilier pour éviter que l un tire l'autre . ce serait con puisque je fais ça justement pour éviter le tirage .
bon ,il n'y a pas de moyens de rétraction ici , ( limites juxta ) mais rien n’empêche d'en faire suivant l'envie
on est déjà largement au delà des limites .

 mg 1426 ussv1y - Eugenol
 mg 1430 tzzvcw - Eugenol

Vw campersurfvan bmnk1q - Eugenol
enlaye

30/04/2018 à 18h47

je reviens sur le coup du fil+ teflon ,j'ai oublié de vous dire 1 truc fondamental à l'interet du truc ç est qu'il est FRAISABLE .
et rien ne peut remplacer ça !

par exemple ce cas :
là le depart des racines est concave , et en plus la gencive est à ras .
- des que tu vas tailler , ça va pisser et la séance ben walou .
- si tu veux mettre une matrice , galère aussi .

Fil1 o23suu - Eugenol

Vw campersurfvan bmnk1q - Eugenol
enlaye

30/04/2018 à 19h13

du coup avec le fil + teflon , tu le mets AVANT taille , ce qui te permet de repousser toute la papille apicalement . et contrairement à un fil tu ne rentres pas dans le sulcus , et donc ça ne saigne pas .( même quand tu l enlèves )
et de peu que tu l'esquiches bien avec un fouloir , il est tellement cohésif que tu peux même tailler dedans à la fraise diamant , il ne part pas en charpie .

tu peux donc te descendre le trottoir de la box tranquille , mais alors tranquille , hein .
aller coup de folie , après tu peux même te faire une remontée de marge dans la foulée .
Tu peux aussi te mettre la digue dessous , bien sur .
y a rien là ???

Fil2 b5v6tr - Eugenol

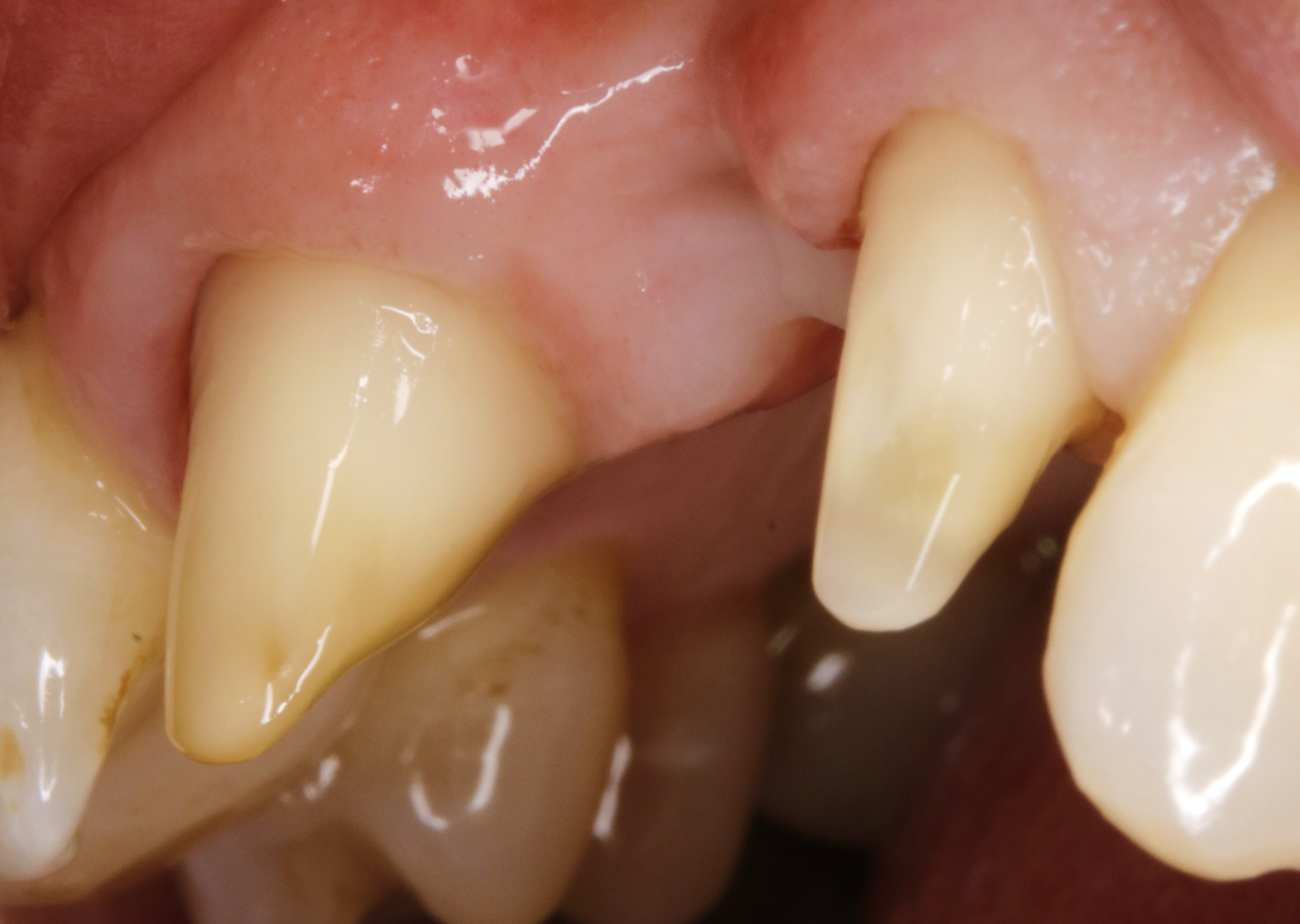
Utilisateur banni

30/04/2018 à 20h34

Ah oui c’est pas con ça empêche le sang de remonter ton truc ou ça empêche le fluide gingival de remonter . Ça fait comme un joint. Tiens gros overlay en compo sur 36

0c636acc 4624 4f32 b7a8 90d653a38b72 aw7yqn - Eugenol

1...789...