Tous les forums
problème infection apicale
07/05/2018 à 13h48
Bonjour à tous.
Je soigne une patiente de 88 ans, plutôt en bonne santé qui présentait une infection apicale sur 31 il y a 1 an. Voussure vestibulaire, pas vraiment douloureuse.
Bref je dévitalise, bonne irrigation et la voussure disparaît rapidement.
Je laisse cicatriser tranquillement sauf que 1 an près, c'est pire.
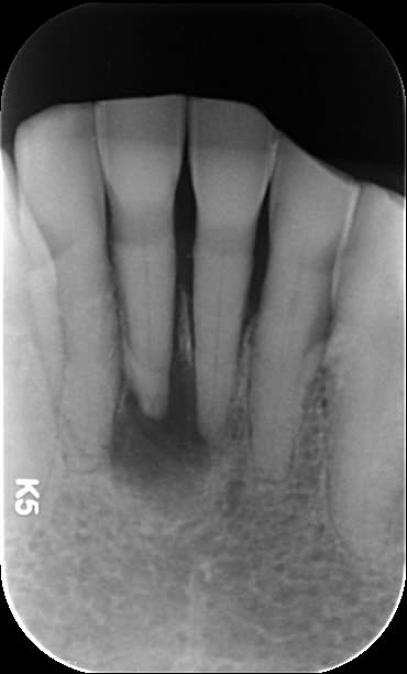
Ci joint le cône beam
Bon je commence à sécher un peu.
Les dents sont peu mobiles, pas douloureuses, légère voussure vestibulaire. Du coup la patiente est réticente pour l'extraction mais je pense qu'on le fera quand même.
Mais surtout que pensez vous de ce qu'on voit sur les coupes 31 et 38? Morceaux de racines ? lors de l'exo faut les virer aussi? voir même extraire 41 et 32?
Merci par avance.
07/05/2018 à 14h46
La saloperie... Pourtant cliniquement j'ai rien trouvé. Je vais retenter avant de prendre le davier. Et pour les morceaux de "racines" en apical de 41 et 32 vous pensez quoi?
07/05/2018 à 14h54
Pardon, j'ai regardé les coupes en faisant autre chose, en rejettant un oeil je t'ai sûrement dit une connerie.
Apex fracturés?
J'imagine que si c'était mon cas je tenterais la résection avant le davier.
07/05/2018 à 14h57
En fait, ce qui m'a induit en erreur, c'est la coupe 15 du doc 3, je ne comprends pas son orientation. L'image est très différente des coupes du doc 4.
(elle est en rotation de manière importante la 31?)
07/05/2018 à 15h06
D'ailleurs, c'est une 41.
Je pense que j'ai compris, je pense que tu devrais trouver le second en linguo distal.
Pour les apexs (?), la lésion ne semble pas centrée dessus. Si résection, peut-être devras tu alors les virer et faire 2 endos supplémentaires...
Recherche ce canal supplémentaire avant. (disto lingual!)
07/05/2018 à 16h51
- quelle est la cause de cette nécrose ? Choc ?
- test de vitalité sur les 4 incisives.
- retraitement
- puis résection si nouvel échec
- si échec ERI avec contention
- si échec extraction
- PPA ou implant
07/05/2018 à 17h25
junior® écrivait:
-------
> - quelle est la cause de cette nécrose ? Choc ?
A 12 ans c'est plutôt les chocs. A 88 ans c'est sûrement la vieillerie.
07/05/2018 à 17h26
junior® écrivait:
-------
> - retraitement
> - puis résection si nouvel échec
> - si échec ERI avec contention
> - si échec extraction
> - PPA ou implant
Tu es dur avec les vieux Junior. Proposer 5 traitements consécutifs pour la même cause à un âge aussi avancé c'est de la cruauté :)
07/05/2018 à 19h50
Ils tiennent bien le choc les ptits vieux faut pas croire . J’ai posé récemment 2 implants sur une mamie de de 82 ans . Aucun problème. Ils ont juste du mal à rester longtemps la bouche ouverte . Sur le coup tu te dis : « putin mais qu’est Que je suis con à lui poser des implants. » et puis finalement ils encaissent bien.
Après effectivement autant pour moi je n’avais pas vu l’âge. Tout dépend si il lui reste encore beaucoup de dents. Si on est plus à une dent près et qu’il lui manque déjà pas mal de dents : extraction , te fais pas chier à retraiter . Je ne m’amuserais pas à faire une résection ou une ERI dans ce cas là.
07/05/2018 à 21h26
Le ttt endo était déjà sport. Il y a une pap sur laquelle je peux faire une brasure mais c'est surtout 31 et 42 qui m'emmerde, je pense que 41 c'est plié
07/05/2018 à 21h26
Le ttt endo était déjà sport. Il y a une pap sur laquelle je peux faire une brasure mais c'est surtout 31 et 42 qui m'emmerde, je pense que 41 c'est plié
08/05/2018 à 07h00
A la base je pense qu'il y avait un second canal en lingual. Regarde les coupes horizontales tu devrais le trouver ou au moins l'imaginer. Sur les coupes sagittales, le canal que tu as obture est deporte en vestibulaire, c'est une bonne indication. Sur la retro tu vois bien les deux racines de l'incisive latérale, tu trouves en general 2 canaux sur la centrale dans ce cas la.
Les images que tu vois en apical des voisines, je ne sais pas ce que c'est, mais je ne pense pas a des bouts de racines, plutot des bouts d'os en voie de sequestration (possible syndrome de Stockholm en vue).
Selon moi a 88 ans, tu n'as plus beaucoup de temps a perdre sur un fauteuil de dentiste ou a avoir mal apres les soins chez le sus-dit dentiste, donc je simplifie, extraction, curetage, puis bridge colle.
08/05/2018 à 10h15
s'il y a deja une pap y a pas photo
extraction/adjonction
comme il est dit plus haut : pas torturer la patient des heures sur le fauteuil
mais il faut que la decision vienne d'elle (a toi d'etre pedagogue)
08/05/2018 à 14h51
Eh bien moi j'en vois à 88 ans qui sont très en forme et si ils voulaient bien me donner la formule magique pour être pareil au même âge je signe des 2 mains !! Par ailleurs les dents sont stables et non douloureuses alors stop aux "à priori " de son âge !!
Je vois de plus en plus souvent des incisives et canines mandibulaires avec 2 racines (encore une 33 traitée il y a 15 jours avec 2 racines chez une dame de 82 ans, chez qui j'ai précédemment retraitées les 42 et 32 à 2 racines avec infection apicale aujourd'hui totalement rentrés dans l'ordre).
Donc les dents de ta mamie ont 2 racines et 2 canaux et avant de sortir ton davier prend en compte l'état physique et mental de cette dame ainsi que la maintenance de son hygiène dentaire !!
Merci pour elle !
08/05/2018 à 15h05
@cquenotte mais c'est quoi ton plan de traitement, alors? Reprise endo puis apicectomie ( parce que là la pêche à la taille d'une petite cerise quand même, elle va pas disparaître toute seule), avec quel pronostic de succès?
08/05/2018 à 15h19
fatboy écrivait:
------
> @cquenotte mais c'est quoi ton plan de traitement, alors? Reprise endo
OUI tout simplement !
>puis apicectomie ( parce que là la pêche à la taille d'une petite cerise quand même,
> elle va pas disparaître toute seule),
Non même pas ! Tu serais surpris je pense de constater comme certaines lésions peuvent rentrer dans l'ordre de façon "prodigieuse" !! Il s'agit "simplement" d'un canal non traité et pas d'une reprise de tt qui peut être vite plus complexe donc ici le taux de sucés est bien plus intéressant !
>avec quel pronostic de succès?
He bien je n'ai aucune stat à te donner mais j'ai un pronostic intéressant : que cette mamie finisse sa vie avec ses dents ! Tu signerais pas toi ??
08/05/2018 à 15h35
Je demande pas mieux que de lui laisser sa dent.
Visiblement les images aux apex des dents adjacentes ne gène personne. Je vais tenter de trouver la racine linguale, de mémoire c'était bien calcifié. Je verrai bien et on risque pas grand chose de toute façon
08/05/2018 à 21h46
Voilà un cas pour lequel un endo exclusif pourrait t'aider ! Je dirai même plus, aider ta patiente !
08/05/2018 à 22h59
dent2669 écrivait:
--------
> Voilà un cas pour lequel un endo exclusif pourrait t'aider ! Je dirai même plus,
> aider ta patiente !
Trop chou comment comme conseil . Meme dans une ville de bord de mer de ma plage , je dis celà pour les endos exclus fans de surf , ben y a no body . En conséquence je choisis la résection ....
08/05/2018 à 23h20
En l'occurrence je suis à Paris , donc ça se trouve. Ceci dit j'ai un pote qui à pris un endo en colab qui bosse bien pas trop loin de chez moi, je vais voir ça.
09/05/2018 à 09h42
j'en ai déjà parlé sur eugénol je crois donc je me répète ;)
j'ai un taux d'échec phénoménal sur ce type de traitement.
C'est quoi le problème avec les Ic mandibulaire chez les plus de 60 ans? Il se passe un truc ou j'ai pas de bol ( j'ai pas calculer le χ² mais quand même, ça fait tilt) ?
limite j'hésite à sortir direct la pince.