Tous les forums
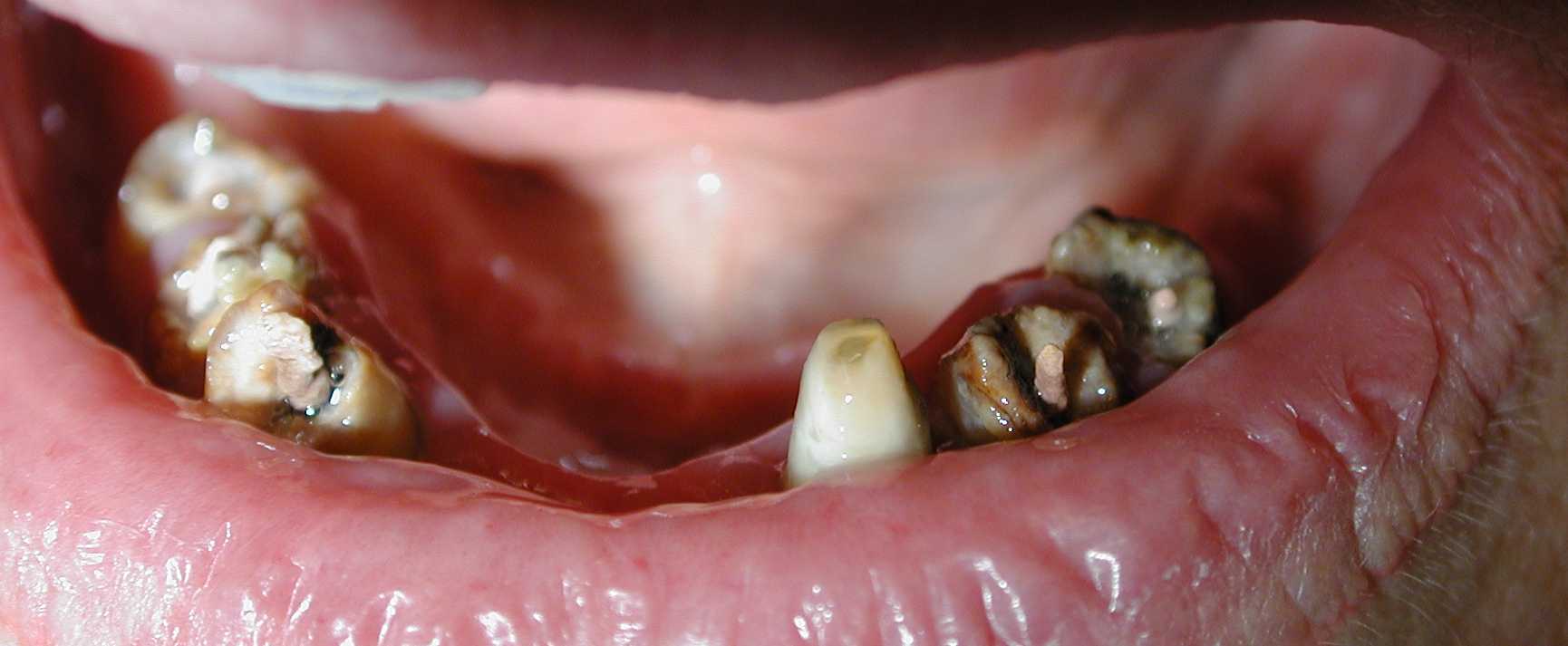
Éclat de céramique sur une 15
29/06/2018 à 18h33
y en a qui se retirent pour eviter le pire :-)
C'est vendredi, c'est conn'rie.
29/06/2018 à 18h39
Le mieux est souvent l'ennemi du bien...
Bebert je sais pas a combien ils sont à bosser en bouche chez toi, ni combien de main tu as, mais c'est d'une complexité rare ce protocole.
Le seul mec qui a décrit quelque chose de réaliste jusqu'à présent c'est Hokusai.
Si je fais pas de provisoire, la gencive c'est un choux fleur dégueulasse le jour de l'empreinte ou de la pose. 1 fois sur 2 l'obturation transitoire a foutu le camp et la gencive poussé par creeping sur/dans la préparation.
Ça me prend moins de temps de faire une provisoire que de déglinguer à nouveau la gencive marginale et patienter pour avoir une hémostase correcte.
29/06/2018 à 18h44
Aspius écrivait:
------
" Si je fais pas de provisoire, la gencive c'est un choux fleur dégueulasse le jour de l'empreinte ou de la pose. "
????? j'ai bien peur que tu ne saches pas tailler
29/06/2018 à 18h48
Aspius , pourquoi tu veux t'opposer à la gencive ? qu'est ce qu elle t'a fait ?
ç est elle qui mene la danse . si tu es obligé de passer par 1 prov ,pour eviter qu'elle pousse ç est que tu la combats .
29/06/2018 à 18h49
Aspius écrivait:
------
" 1 fois sur 2 l'obturation transitoire a foutu le camp et la gencive poussé par creeping sur/dans la préparation. "
tu tailles trop profond
29/06/2018 à 18h51
Aspius écrivait:
------
" Ça me prend moins de temps de faire une provisoire que de déglinguer à nouveau la gencive marginale et patienter pour avoir une hémostase correcte. "
hémostase de quoi ?? le jour de l empreinte il n'y a aucune goutte de sang , sinon , pas d empreinte !
29/06/2018 à 19h03
Je sais pas sur quelle planète tu vis, ni dans quelle bouche tu exerces tes talents, mais ça me laisse rêveur et admiratif.
"????? j'ai bien peur que tu ne saches pas tailler"
Mille merci du compliment.
"tu tailles trop profond "
Non, j'élimine juste le tissu carié, parait que c'est pas terrible les sandwichs dent/carie/ciment/céram
Tu n'as jamais de limites sous gingivales sous d'anciennes restaurations? Impressionnant.
"hémostase de quoi ?? le jour de l empreinte il n'y a aucune goutte de sang , sinon , pas d empreinte !"
Comme le disait fort justement Hokusai, t'as des paquets de patients chez qui un simple coup de souflette pour sécher la préparation déclenche un saignement. Donc hémostase locale.
29/06/2018 à 19h13
Aspius écrivait:
------
" Tu n'as jamais de limites sous gingivales sous d'anciennes restaurations? "
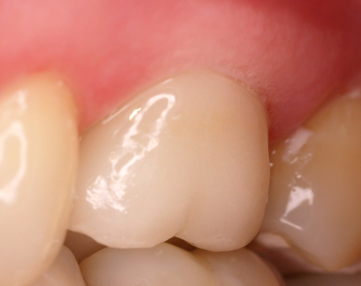
si bien sur , et alors , ce n est pas gênant ., il est où le bourgeonnement ?
provisoire amovible ( non scéllé )
29/06/2018 à 19h17
T'es un as, et je ne suis que merdasse.
Mes excuses excellence.
(Bon, avec la lèvre inférieure pour masquer l'état initial du parodonte c'est un peu dur de juger, mais je t'accorde le bénéfice du doute)
29/06/2018 à 19h20
ce que je veux te dire ç est que si tu tailles gentiment et que tu mets 1 coup de detartreur le jour de la taille ,, la gencive ne prolifère pas , même sans prov . au contraire .
ça ç est le jour de l empreinte .
29/06/2018 à 19h24
Aspius écrivait:
------
" (Bon, avec la lèvre inférieure pour masquer l'état initial du parodonte c'est un peu dur de juger, mais je t'accorde le bénéfice du doute)"
29/06/2018 à 19h27
Aspius écrivait:
------
" T'es un as, et je ne suis que merdasse. Mes excuses excellence. "
non ,ç est moi qui m'excuse , ce n 'est pas là ou je voulais en venir
29/06/2018 à 19h28
Un parodonte pareil c'est même pas 10% de mes patients, et c'est pas faute de les secouer sur l'HBD.
Sur un état parodontal pareil, t'es sur du velours.
Et tes limites sont pas hyper sous gingivales hein, on a pas franchement d'invasion de l'espace biologique sur ce que tu exposes...
29/06/2018 à 19h33
Aspius écrivait:
------
" Et tes limites sont pas hyper sous gingivales hein, on a pas franchement d'invasion de l'espace biologique sur ce que tu exposes..."
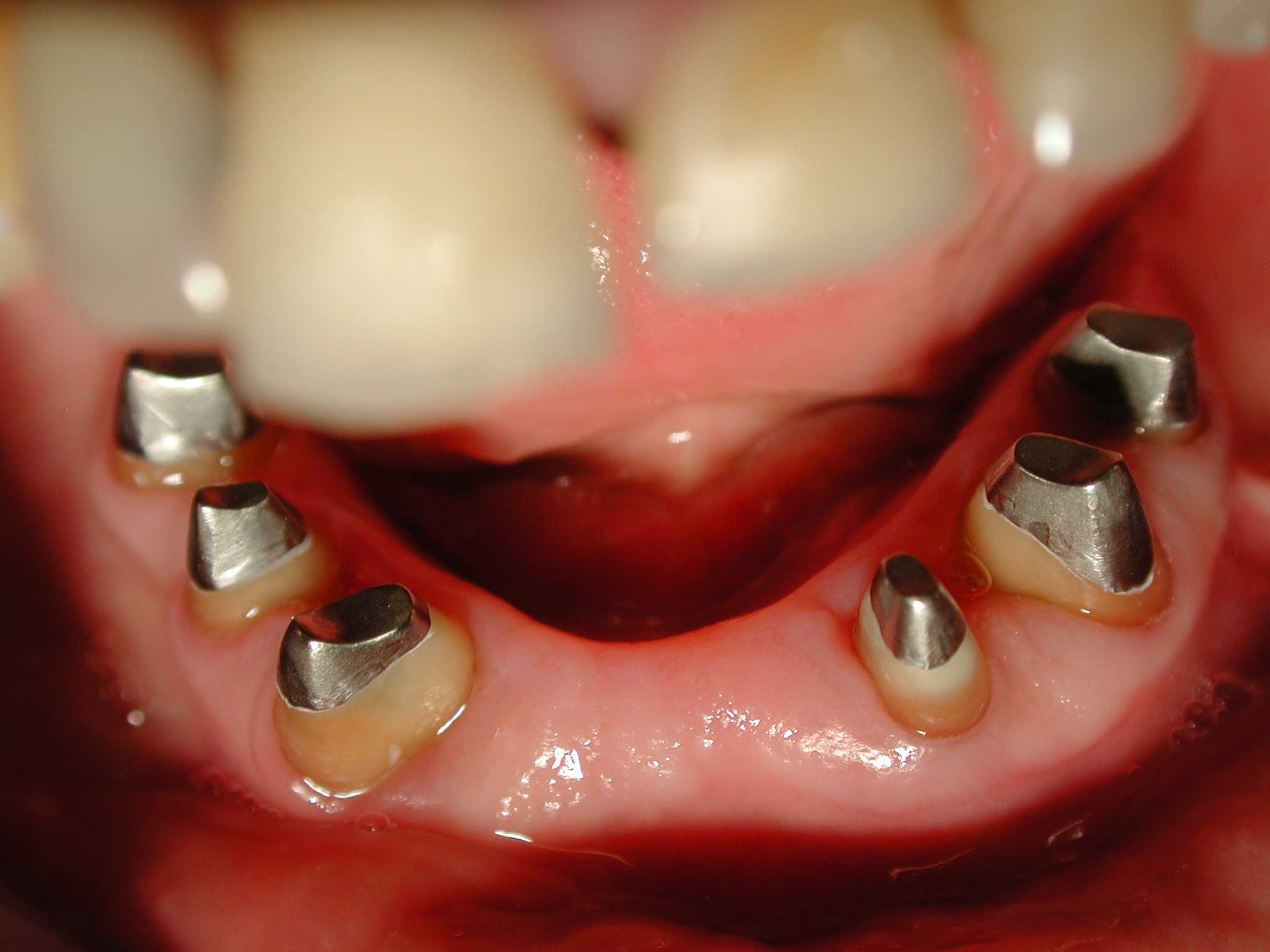
elles ne sont jamais hyper sous gingivales le jour de l empreinte que ce soit ccm ou ccc .
mais entre la taille et l empreinte , il peut se passer 3 semaines de machinage de gencive à la fraise grain fin .
par contre si je fais un prov , ça complique tout , et ç est plus long
29/06/2018 à 19h34
junior® écrivait:
-------
> pareil pour Bebert autant ne pas mettre de film puisque tu la désinsers avant
> que le matériau prenne pour la réinsérer ensuite avec le light
La feuille plastique évite que le putty toujours mou ne colle aux dents.
Et on ne sèche qu'une fois car pour l'insertion du putty, on s'en fout que ce soit sec ou pas: ça sert juste à faire un peu de place pour le light autour des dents.
Franchement, c'est plus facile à faire qu'à expliquer.
Et gros avantage : ça ne comprime pas même avec un putty très dur. Pas de risque de microdéplacement de dents (pt contact merdique ou microenfoncement de la prépa qui donne une surocc à l'arrivée). Là c'est tout en douceur car il y a suffisamment de light pour amortir.
Et pour Aspius: c'est pas compliqué du tout et j'ai déjà pris des empreintes de plusieurs éléments tout seul.
- insertion du PE avec le putty + plastique
- enfoncer un peu le PE et retirer tout de suite (le putty n'est pas pris)
- enlever le plastique,mettre le light dans le PE, sécher les prépas et éventuellement retirer les fils ou rincer l'expasil
- injecter le light sur les prepas
- remettre le PE et cette fois, enfoncer un peu plus et attendre la prise.
Beaucoup plus simple que la wash et laisse plus de temps que le double mélange car même si le putty commence à prendre on s'en fout, il suffit juste qu'il ne soit pas complètement pris.
Avantage: le sulcus n'est pas comprimé et le light ne risque pas d'être chassé comme en double mélange et les tissus mous ne sont pas comprimés.
Essayez une fois et vous verrez.
29/06/2018 à 19h43
enlaye écrivait:
------
> Aspius écrivait:
> ------
> " Et tes limites sont pas hyper sous gingivales hein, on a pas franchement
> d'invasion de l'espace biologique sur ce que tu exposes..."
>
> elles ne sont jamais hyper sous gingivales le jour de l empreinte que ce soit
> ccm ou ccc .
> mais entre la taille et l empreinte , il peut se passer 3 semaines de machinage
> de gencive à la fraise grain fin .
> par contre si je fais un prov , ça complique tout , et ç est plus long
Passionnant comme protocole.
Et c'est adjointe en mode telescope en attendant que t'ait fini de gratter la gencive?
29/06/2018 à 20h01
Aspius écrivait:
------
" Et c'est adjointe en mode telescope en attendant que t'ait fini de gratter la gencive? "
oui , ç est ça .
dans le cas des dents du bas , ç etait son vieux bridge que je rebasais mais ne scellais pas .
sinon rien ou prov si ç est indispensable d un point de vue social ou occlusal
29/06/2018 à 20h29
Aspius écrivait:
------
" Comme le disait fort justement Hokusai, t'as des paquets de patients chez qui un simple coup de souflette pour sécher la préparation déclenche un saignement.
Donc hémostase locale. "
ç est là que je ne saisis pas , je ne comprends pas pourquoi ça saigne encore le jour de l empreinte .
le 1 er jour , bon ok , bien dans ce cas tu passes un coup de detartreur , non ?
et comme entre le 1er jour ou tu attaques la dent et le jour de l 'empreinte il se passe au moins 3 semaines facile , eventuellement tu as le temps d' en repasser un petit coup entre temps , non ?
30/06/2018 à 12h46
C'est intéressant cette histoire de gencive.
Quand je suis sorti de la fac, j'ai appris à bosser chez un mec du genre protocole unique. Il taillait sous gingival, défonçait le sulcus à la touati, expasyl, empreinte, j'ai fait ça pendant 2 ans post fac.
Puis en m'installant, j'ai commencé à pouvoir bosser sur emax, donc à coller (coucou enlaye), et pis coller c'est quand même plus simple en supra. Et pi du coup les empreintes aussi.
Et pi en bout de course, tu t'aperçois que tu n'es pas souvent obligé de tailler infra, même pour la scellée, et puis que quand tu dois vraiment ben tu te débrouilles pour remettre ta gencive au bon niveau. J'ai toujours mon expasyl au fond du tiroir, mais maintenant il est tout séché.
Pour le brossgae, ça ne vous arrive jamais de dire à un mec que vous refusez de bosser tant qu'il n'aura pas commencé à se frotter les ratiches? Au moins avant de venir, pour voir ce que ça fait quoi?
30/06/2018 à 13h05
enlaye écrivait:
------
> entre la taille et l empreinte , il peut se passer 3 semaines de machinage
> de gencive à la fraise grain fin .
> par contre si je fais un prov , ça complique tout , et ç est plus long
Chez Enlaye, ce n'est pas de la gencive d'élevage en batterie! Non Monsieur, c'est de la belle gencive élevée en plein air, et nourrie aux grains fins :-)
Rien à redire, cela donne une magnifique gencive!
Après, attendre 3 semaines entre la taille et les empreintes : faut trouver des patients très patients, et appliquer des tarifs aux petits oignons pour leur caresser les gencives durant 3 semaines...