Cookie Consent byPrivacyPolicies.comenigme du we : 1ère tentative.... - Eugenol

enigme du we : 1ère tentative....

6szjws718sv1jksw54v4mpj3a6cu - Eugenol
vulpi

14/10/2019 à 23h22

Pas du tout, la lésion n'est pas circulaire et l'entrée punctiforme.
Tu vas avoir une année difficile mon junior, ne prévois rien pour les vacances cet été, les validations ce sera en septembre 😝


lampadaire skurup

15/10/2019 à 09h11

Non mais qu’est ce que tu me racontes ça n’est pas une résorption interne. Si un endodontiste pouvait confirmer ?!


Ylfwcw979cz1jnx9gfqeaxndiuzk - Eugenol
Algi

15/10/2019 à 09h18

L'a pas tort le minot qui joue sur la sémantique et sodomise allègrement les diptères...

Résorption interne faut de la pulpe vivante mais agressive....

Ici je dirais effraction ou fracture suite à forage ou action du tenon et infiltration depuis le parodonte.... Donc externe mon cher whatzefeuck spongieux.

En même temps on s'en balec de savoir si externe interne ou idiopathique si la dent est foutue....


--

https://open.spotify.com/user/8iz7teu84dfphmgspeh2979o8/playlist/59Tfpt7zoHfkI27430lfNg?si=MAiYEkb2S6mMV6qNX2aFwg


On a toujours le choix mais entre quoi et quoi?
Vas-y boulégue et l'avenir te le dira!


6szjws718sv1jksw54v4mpj3a6cu - Eugenol
vulpi

15/10/2019 à 10h07

Admettons.
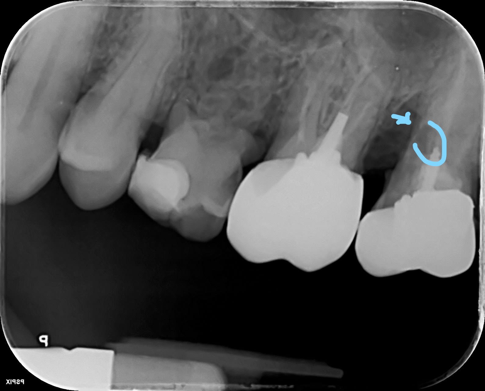
Ce qui est inhabituel, c'est la localisation, c'est vraiment infra, plutôt sphérique, je vous ai marqué la communication avec la poche.
En bouche tu vois rien, ce qui est au dessus est indemne. C'est racine palatine... tenon?

Fiev3 h1rep1 - Eugenol

Ylfwcw979cz1jnx9gfqeaxndiuzk - Eugenol
Algi

15/10/2019 à 10h12

Sans vouloir être alarmiste sur 3 et 4 c'est un artefact ou y'a aussi un souci à se faire...?

Pense à pas traîner pour le stellite en 2021 c'est opposable...


--

https://open.spotify.com/user/8iz7teu84dfphmgspeh2979o8/playlist/59Tfpt7zoHfkI27430lfNg?si=MAiYEkb2S6mMV6qNX2aFwg


On a toujours le choix mais entre quoi et quoi?
Vas-y boulégue et l'avenir te le dira!


Rape p0as4f - Eugenol
rapelapente

15/10/2019 à 10h23

Pfouuu ! Je viens de lire les posts sur cette 7...
Non mais ça va pas ?
J'ai mal à la tête...
Vous réfléchissez trop pour une exo à 20 balles !
C'est pas bon pour l'efficience !

A fé mal ? A vé y arracher pis faire un râtelier



--
Schooner For Ever


6szjws718sv1jksw54v4mpj3a6cu - Eugenol
vulpi

15/10/2019 à 13h28

Algi écrivait:
----
> Sans vouloir être alarmiste sur 3 et 4 c'est un artefact ou y'a aussi un souci à
> se faire...?
>
> Pense à pas traîner pour le stellite en 2021 c'est opposable...
>
Rigole pas avec ça, je m'étais fait une niche écologique en partielle, ça interresse personne et souvent c'est fait en dépits du bon sens, alors pour une feignasse comme moi c'était facile...
2021 tu dis? on va vers une nouvelle extinction de masse, que fait Greta?


lampadaire skurup

16/10/2019 à 17h06

Et celle-ci tu ferais quoi pour la 6 ? :) retraitement ou extraction ?

--
Fabriqué en métal. Avec un design intemporel, le lampadaire skurup vous ravira. Hauteur réglable en fonction de l'éclairage souhaité.

Ed302fe7 8fc5 4f82 9ae0 1b3cfeb1120c ogn3ww - Eugenol

Ylfwcw979cz1jnx9gfqeaxndiuzk - Eugenol
Algi

16/10/2019 à 17h16

Tout d'abord hemisection de la racine mésiale de la 6 et traction orthodontique de la 5 avec une potence fixée à la 6.

Ensuite reprise endo de la 6 et la 5.

Ensuite ERI de la 5 et/ou de la 6 si échec du retraitement.

Ensuite I core sur 5 et 6 et pour finir 2 coiffes solidarisees.

J'ai bon ?


--

https://open.spotify.com/user/8iz7teu84dfphmgspeh2979o8/playlist/59Tfpt7zoHfkI27430lfNg?si=MAiYEkb2S6mMV6qNX2aFwg


On a toujours le choix mais entre quoi et quoi?
Vas-y boulégue et l'avenir te le dira!


lampadaire skurup

16/10/2019 à 19h06

Ok pourquoi pas, Et le Vulpi il fait quoi lui ?

--
Fabriqué en métal. Avec un design intemporel, le lampadaire skurup vous ravira. Hauteur réglable en fonction de l'éclairage souhaité.


6szjws718sv1jksw54v4mpj3a6cu - Eugenol
vulpi

16/10/2019 à 19h24

Il était banni pour la demie journée, ça bugge fort leur machin.
Je vire les deux et je cloue.


lampadaire skurup

16/10/2019 à 19h30

Ah c’est le Vulpi qui a bon :) photo avant extraction et EII


--
Fabriqué en métal. Avec un design intemporel, le lampadaire skurup vous ravira. Hauteur réglable en fonction de l'éclairage souhaité.

3cfd2980 9eaf 4535 b396 327ccd3a067f j8abdo - Eugenol
1049af25 a185 49f3 b7ee 1088ef7bae7d cd63tg - Eugenol

Ylfwcw979cz1jnx9gfqeaxndiuzk - Eugenol
Algi

16/10/2019 à 19h36

Mais elle est nulle ton énigme !

Elle a rien d'enigmatique, rien !


--

https://open.spotify.com/user/8iz7teu84dfphmgspeh2979o8/playlist/59Tfpt7zoHfkI27430lfNg?si=MAiYEkb2S6mMV6qNX2aFwg


On a toujours le choix mais entre quoi et quoi?
Vas-y boulégue et l'avenir te le dira!


lampadaire skurup

16/10/2019 à 20h00

Et le cas du Vulpi c’est une énigme peut-être ?:)


--
Fabriqué en métal. Avec un design intemporel, le lampadaire skurup vous ravira. Hauteur réglable en fonction de l'éclairage souhaité.


Ylfwcw979cz1jnx9gfqeaxndiuzk - Eugenol
Algi

16/10/2019 à 20h03

D'u autre côté que ce soit toi ou vulpi VOUS êtes des énigmes....


--

https://open.spotify.com/user/8iz7teu84dfphmgspeh2979o8/playlist/59Tfpt7zoHfkI27430lfNg?si=MAiYEkb2S6mMV6qNX2aFwg


On a toujours le choix mais entre quoi et quoi?
Vas-y boulégue et l'avenir te le dira!


Utilisateur banni

14/12/2019 à 15h24

Qu’est-ce que c’est d’après vous ?


--
La forme de ma coupe de cheveux futuriste me permet une meilleure pénétration dans l'air et d' avoir moins de résistance face au vent lorsque je me déplace.

50cb9351 2a0c 40aa 96fe 15f3c55c8c7d jdlxp7 - Eugenol

6szjws718sv1jksw54v4mpj3a6cu - Eugenol
vulpi

14/12/2019 à 16h23

Un diasthème.


Utilisateur banni

14/12/2019 à 16h28

La dent du cul de junior


Utilisateur banni

14/12/2019 à 16h38

vulpi écrivait:
-----
> Un diasthème.

Au niveau gingival

--
La forme de ma coupe de cheveux futuriste me permet une meilleure pénétration dans l'air et d' avoir moins de résistance face au vent lorsque je me déplace.


Mireille-Mathieu écrivait:
----------------
> Qu’est-ce que c’est d’après vous ?

Une photo pourrie ?
Un petit pois dans la narine droite qui a migré ?
Un chikungunya vénère d'avoir été coincé sous la lèvre pendant des plombes alors que ces potes se gavaient de sang frais de touristes néerlandais ?
Une bouffigue causée par un grokompo infiltré sur la 11 ?


Rape p0as4f - Eugenol
rapelapente

14/12/2019 à 17h43

Une violente injection d'anesthésique


--
Schooner For Ever


Bebe 038 nf8eum - Eugenol
danteyeah

14/12/2019 à 18h15

Une corticale vestibulaire soufflée par un kyste maousse : origines ?? Comme t’aimes pas le composite c’est forcément une nécrose de la 11


6szjws718sv1jksw54v4mpj3a6cu - Eugenol
vulpi

15/12/2019 à 18h48

On va faire le concours de photos pourraves.

Img 20191129 133611 xpdxxz - Eugenol

Avatar transparent iqadnc - Eugenol
adhoc

16/12/2019 à 09h23

Elle est tres bien, ta photo, vulpi. Comment fais tu pour tenir le miroir d'une main et l'appreil de l'autre? :-))


6szjws718sv1jksw54v4mpj3a6cu - Eugenol
vulpi

16/12/2019 à 09h47

L'habitude, j'aime bien me prendre en photo en action.


1...141516...