Cookie Consent byPrivacyPolicies.comenigme du we : 1ère tentative.... - Eugenol

enigme du we : 1ère tentative....

Avatar transparent iqadnc - Eugenol
adhoc

29/02/2020 à 10h44

J'avoue , mon vuloi, je ne savais pas et j'ai cherché sur les sites animaliers. cette exception chez les vertébrés est déroutante.

Une video sympa


vulpi écrivait:
-----
> adhoc écrivait:
> -----
> > Elle ne baille pas.
>
> Gagné!!! Elle ne baille pas.

Ouais ben c'est nul et on s'en fout, je préfère mes soluces.


Avatar transparent iqadnc - Eugenol
adhoc

29/02/2020 à 12h23

On peut comprendre!!!!!

Blondequibaille nmatdp - Eugenol

Voilaaaaaaaaaaaaa, ça c'est mieux !


Capture d écran 2018 05 16 à 21.30 - Eugenol
Daryl

29/02/2020 à 12h37

ℙ𝕖𝕣𝕧𝕖𝕣𝕤 ℙé𝕡è𝕣𝕖 écrivait:
--------------
> Voilaaaaaaaaaaaaa, ça c'est mieux !

Tu parles Charles, une fausse blonde !! ;-))


Vw campersurfvan bmnk1q - Eugenol
enlaye

29/02/2020 à 12h55

y s en fout si ç est une chauve souris et pas une girafe :-)


Daryl écrivait:
-----
> ℙ𝕖𝕣𝕧𝕖𝕣𝕤 ℙé𝕡è𝕣𝕖 écrivait:
> --------------
> > Voilaaaaaaaaaaaaa, ça c'est mieux !
>
> Tu parles Charles, une fausse blonde !! ;-))

Peut être, en plus on sait pas vu d'ici, mais vraie sein pathique.


Quel est l'animal de couleur que les russes n'aiment pas ?


Vw campersurfvan bmnk1q - Eugenol
enlaye

29/02/2020 à 19h07

Huummmm . # t ain qué dur #


Gri-fix

01/03/2020 à 01h33

Pas (pie)rus.?


6szjws718sv1jksw54v4mpj3a6cu - Eugenol
vulpi

12/06/2020 à 11h20

On fait quoi?

On fait quoi lu1sts - Eugenol

Avatar transparent iqadnc - Eugenol
adhoc

12/06/2020 à 11h25

Symptomatique?


6szjws718sv1jksw54v4mpj3a6cu - Eugenol
vulpi

12/06/2020 à 11h30

je te le dis dans 20 min ;-) la patiente arrive.


Screenshot 20190204 160354 2 ookelm - Eugenol
Arsénieux

12/06/2020 à 11h38

Porter plainte contre ce bouffon...🤡.
Ha ! Non, déontologie 💶💶 oblige


6szjws718sv1jksw54v4mpj3a6cu - Eugenol
vulpi

12/06/2020 à 12h01

asympto, je surveille tous les 6 mois. Un jour faudra peut être faire quelque chose.
La prov est scellée au polycarboxylates, donc étanche.
Je me connais, si elle se descellait, je tenterais une CR avec un moignon compo probablement.
L'implant c'est la facilité...
On sent bien la French touch, en plus c'était pas du low-coast!!


Rape p0as4f - Eugenol
rapelapente

12/06/2020 à 13h14

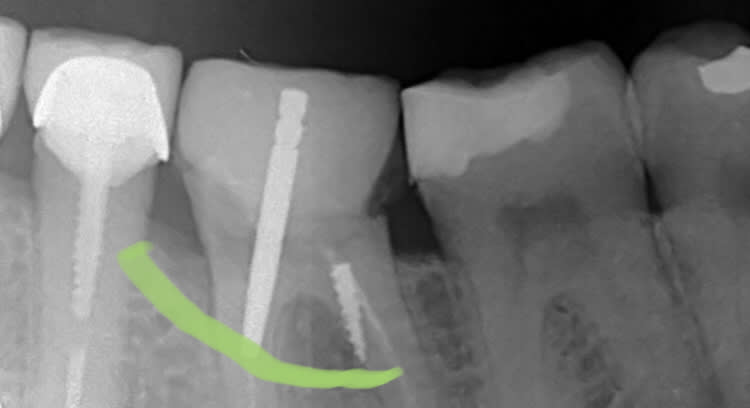
Peut être que le confrère qui a mis le tenon, n'était pas le même que celui qui a posé le screw post ?
Que celui qui n'a jamais péché....

IL me semble reconnaître un screw que j'ai posé en 1981...


--
Schooner For Ever


6szjws718sv1jksw54v4mpj3a6cu - Eugenol
vulpi

12/06/2020 à 13h22

rapelapente écrivait:
-----------
> Peut être que le confrère qui a mis le tenon, n'était pas le même que celui qui
> a posé le screw post ?
Bien vu. Le tenon, c'est pas le souci, tu supprimes le surplomb en Ml, ça redresse l'axe et ... et quoi au fait?-)
Le screw c'est chiant, asympto depuis 15 à 20 ans effectivement.
J'en ai aussi commis, pas des screw-posts... je suis trop jeune pour avoir connu:-))
A l'origine, ma question était, que feriez vous?
Perso, je surveille l'espace inter radiculaire et j'attends que ça se descelle... qu'il se passe quelque chose.


6szjws718sv1jksw54v4mpj3a6cu - Eugenol
vulpi

12/06/2020 à 13h28

je pense reconnaître la même philosophie de soins sur la 45, j'espère pas y toucher:-))


Tozzi

12/06/2020 à 14h55

Si ya pas de perfo en regard du screw post je m'en coupe une.
Tu as un fais un 3D ?


6szjws718sv1jksw54v4mpj3a6cu - Eugenol
vulpi

12/06/2020 à 15h10

Nan pas fait, c'est asympto et ça changerait rien de faire un 3D (voir les recommandations, la prescription d'un 3D doit apporter un bénéfice, là y a pas)... on le saura le jour le l'autopsie:-)
...
Personne est pour déposer le screw, bourrer au MTA, rte, IC, CR:-))


Avatar transparent iqadnc - Eugenol
adhoc

12/06/2020 à 15h12

Ma question etait le pendant direct de ta réponse, celle qui allait conditionner ma propre réponse !!!
Tu te doutes :"rien"!!!
Peut etre avertir : "un jour, la ferraille dans la racine risque de perforer votre dent et d'abimer l'os qui, l'entoure , il faudra alors extraire".


6szjws718sv1jksw54v4mpj3a6cu - Eugenol
vulpi

12/06/2020 à 15h13

c'est fait... mais elle me prend pour zorro:-(
Je lui ai fait un bridge il y a 15 ans qui se porte bien... alors tu te doutes qu'elle est zen... on fera la même chose Docteur... sauf que la 5 pas glop!


Avatar transparent iqadnc - Eugenol
adhoc

12/06/2020 à 15h42

Mais, tu ES zorro, mon vulpi!!!!!!! Et zorro applique, en accord avec sa patiente le vieil adage "le mieux est l'ennemi du bien"
Sur moi, on ne toucherait pas avant les douleurs inter-radiculaires et donc un épaississement ligamentaire inévitable, mais quand?


Utilisateur banni

12/06/2020 à 15h52

Tu n’aurais pas une autre radio ? On dirait qu’il y a comme une cuvette ...

82af6a2c bc01 4661 88ce b516a62d987b qcsvjm - Eugenol

Utilisateur banni

12/06/2020 à 15h58

Traitement RAC0 « Comment ça se fait docteur ma dent s’effrite » / retraitement endo pour faire une couronne céramo céramique .

3c68feff 0deb 4f26 8c18 2b41ad7d7fa3 lbxmfw - Eugenol
C53ffe74 6ffb 43c8 bba9 c22f60cf9f22 duwbv5 - Eugenol

1...161718...