Cookie Consent byPrivacyPolicies.comQuelle RVG acheter ? - Eugenol
X ray 03 medium zvq18j - Eugenol
cyber_quenottes

25/07/2018 à 13h01

digora vistascan ou vista mini , ne change rien au probleme

fait pour être partagé = se trouve à 10 m du praticien


--
==================
la csnd a voulu le "fromage" de la CCAM
la SECU a ajouté une tapette autour


RépondreCiter
3395 40 umvzjn - Eugenol
Aspius

25/07/2018 à 13h44

Tu peux aussi avoir la développeuse au fauteuil si tu n'as qu'un poste d'omni...

Pour avoir longtemps utilisé un capteur filaire, et switché sur un Proscanner lors de ma création, je ne reviendrai pour rien au monde en arrière.


Capture d  cran 2015 03 12 12.28 - Eugenol
chicot29

25/07/2018 à 14h16

Exemple nouveau patient consulte pour problème sur 36. 1 radio rétroalvéolaire 36 indication carie pénétrante(capteur) , 2 anesthésie 3 rétrocoronaires indication : recherche de caries ( plaques) 4 compo 36.



--
En cas d'échec des négociations conventionnelles, seriez-vous prêt à suivre la promotion d'un déconventionnement massif de la profession par les syndicats représentatifs ? OUI - NON
Participez, anonymement, sur https://goo.gl/forms/nAO0htnsVmxotjYm1

Capture d écran 2018 07 25 14.14 - Eugenol

Capture d  cran 2015 03 12 12.28 - Eugenol
chicot29

25/07/2018 à 14h24

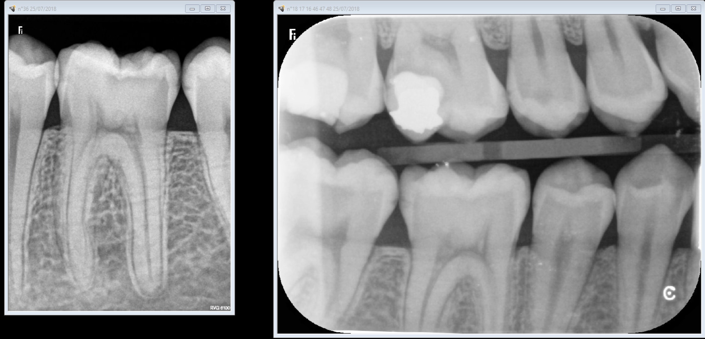
Regardes moi la qualité de merde que ca te sort un système à plaques. C'est completement inconstant. Il n'y a pas photo. -)))


--
En cas d'échec des négociations conventionnelles, seriez-vous prêt à suivre la promotion d'un déconventionnement massif de la profession par les syndicats représentatifs ? OUI - NON
Participez, anonymement, sur https://goo.gl/forms/nAO0htnsVmxotjYm1

Capture d écran 2018 07 25 14.22 - Eugenol

Avatar transparent iqadnc - Eugenol
adhoc

25/07/2018 à 15h02

Le comparatif de mire de cyber_, quand meme, c'est un peu plus rigoureux. Tu prends tes angulations differentes, on ne connait pas l'etat de ta plaque, les deux systemes ont ils le meme age?



moritooth

25/07/2018 à 19h04

chicot29 écrivait:
--------
> Regardes moi la qualité de merde que ca te sort un système à plaques. C'est
> completement inconstant. Il n'y a pas photo. -)))
>

Le stratagème est gros ! Tu nous montres un cliché de capteur rétroalvéolaire , avec une accentuation de netteté logiciel au maximum, d'un côté, avec un cliché rétrocoronaire d'une plaque pourrie ( cf défauts de surface), sans accentuation de netteté !!


3395 40 umvzjn - Eugenol
Aspius

25/07/2018 à 19h08

+1 sur la plaque ruinée...

Piano sur la mauvaise foi.


Avatar transparent iqadnc - Eugenol
adhoc

25/07/2018 à 20h09

>Le stratagème est gros ! <
oui!!!!!

Meme si je prefere la rvg, (histoire de faire monter le score!!!), l'honneteté intellectuelle toujours tu chériras!


Capture d  cran 2015 03 12 12.28 - Eugenol
chicot29

25/07/2018 à 20h23


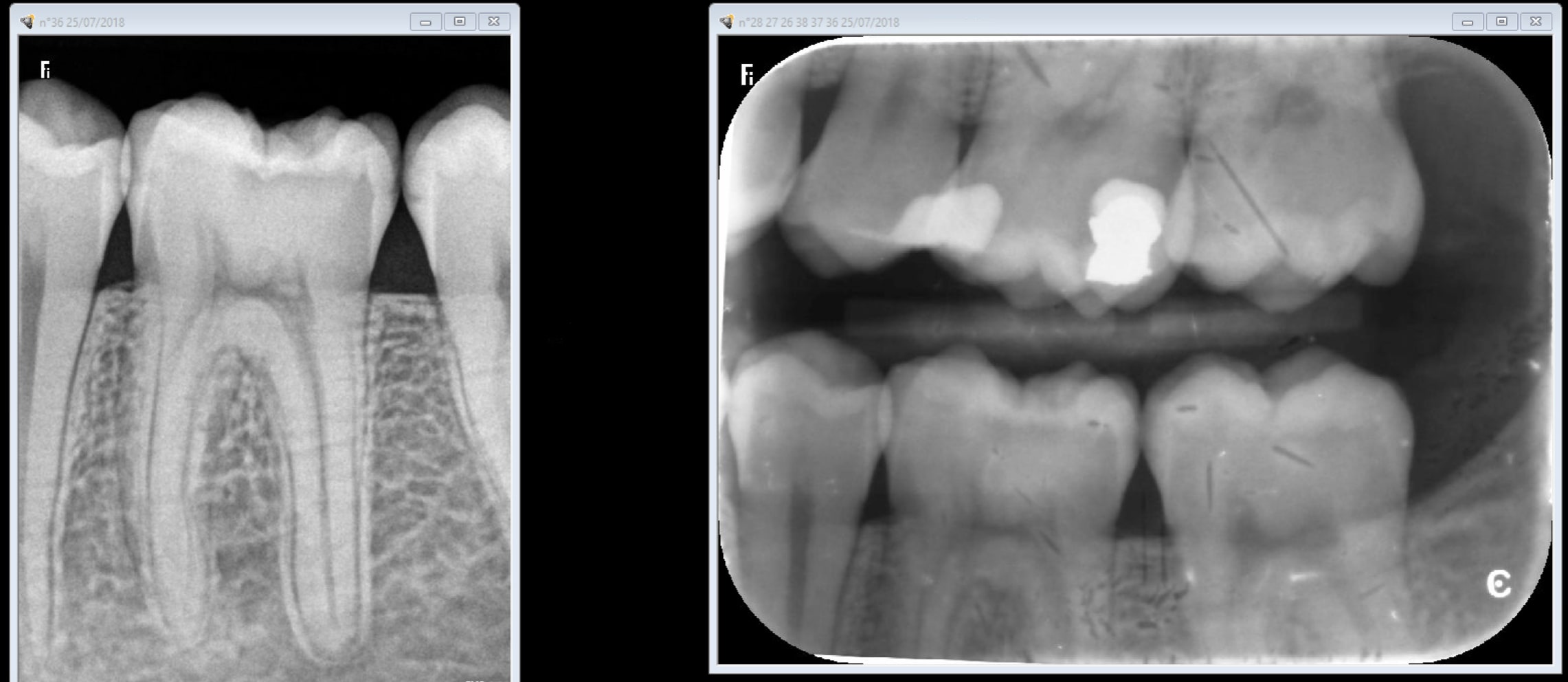
OK une autre plaque faut jouer avec les filtres avec le capteur non. Ca se ruine assez vite les plaques et ça vaut la peau du derche. Excuses moi le capteur est plus vieux de 5 ans que ces plaques de merde.

--
En cas d'échec des négociations conventionnelles, seriez-vous prêt à suivre la promotion d'un déconventionnement massif de la profession par les syndicats représentatifs ? OUI - NON
Participez, anonymement, sur https://goo.gl/forms/nAO0htnsVmxotjYm1

Capture d écran 2018 07 25 20.21 - Eugenol

Capture d  cran 2015 03 12 12.28 - Eugenol
chicot29

25/07/2018 à 20h34

C'est un constat plaques vieilles ou pas plus de boulot à tirer un cliché valable ( gestion du temps d'expo par ex, faire gaffe à ce qu'elles ne prennent pas la lumière au développement ensacheter dés-ensacheter). Le capteur c'est 0,09 s de temps d'exposition point barre. J'ai les 2 bordel pour moi il n'y a pas photo. Faut pas acheter des capteurs de merde non plus. Quand t'en fais 2 dans ta journée tu peux t'appliquer mais quand t'en fais 50 ca commence à etre casses burnes. -)))



--
En cas d'échec des négociations conventionnelles, seriez-vous prêt à suivre la promotion d'un déconventionnement massif de la profession par les syndicats représentatifs ? OUI - NON
Participez, anonymement, sur https://goo.gl/forms/nAO0htnsVmxotjYm1


Capture d  cran 2015 03 12 12.28 - Eugenol
chicot29

27/07/2018 à 00h26

Amusez vous bien avec vos plaques. -)))


--
En cas d'échec des négociations conventionnelles, seriez-vous prêt à suivre la promotion d'un déconventionnement massif de la profession par les syndicats représentatifs ? OUI - NON
Participez, anonymement, sur https://goo.gl/forms/nAO0htnsVmxotjYm1

Capture d écran 2018 07 27 00.23 - Eugenol

burnax

27/07/2018 à 07h01

D'accord le développement des plaques est long.

La qualité d image est meilleure avec mes plaques que le fil kodak précèdent mais après cela dépend du prix mis dans le matos peut être.

Enfin, la fiabilité . Le capteur filaire merde, la note peut devenir vite salée ( 2 capteurs en 11 ans)

Bref, avoir les 2 systèmes.


Photo pluton1b h9n4ea - Eugenol
pluton

27/07/2018 à 07h31

chicot29, tu dois être phosphorescent la nuit....;-))

arrêtez de faire cette guerre plaques vs capteur, c'est stupide...chacun est différent, dans son exercice et dans la configuration du cab
ce qui convient aux uns ne l'est pas forcément pour les autres
perso, moi c'est plaques et çà me va parfaitement parce qu'avec des capteurs filaires avec 2 salles de soins et un bloc op...çà me coûterait un bras...et que des radios rétro c'est pas ce que je fais le plus avec mes 30% d'activité en ODF et 30% d'implanto


Capture d  cran 2015 03 12 12.28 - Eugenol
chicot29

27/07/2018 à 07h37

Combien de plaques achetées en 11 ans ?


--
En cas d'échec des négociations conventionnelles, seriez-vous prêt à suivre la promotion d'un déconventionnement massif de la profession par les syndicats représentatifs ? OUI - NON
Participez, anonymement, sur https://goo.gl/forms/nAO0htnsVmxotjYm1


Capture d  cran 2015 03 12 12.28 - Eugenol
chicot29

27/07/2018 à 07h53

pluton écrivait:
------
> chicot29, tu dois être phosphorescent la nuit....;-))
>
Quand on te parle de probabilité de risque c'est comme éviter d'enculer des mouches pour ne pas prendre de risques de choper une MST. Je dirais que je prends environ 10 000 clichés par an en tenant l'angulateur à la main depuis 25 ans. Par contre j'évite de passer des heures à larver sur une serviette à la plage l'été. -))))

--
En cas d'échec des négociations conventionnelles, seriez-vous prêt à suivre la promotion d'un déconventionnement massif de la profession par les syndicats représentatifs ? OUI - NON
Participez, anonymement, sur https://goo.gl/forms/nAO0htnsVmxotjYm1


Photo pluton1b h9n4ea - Eugenol
pluton

27/07/2018 à 07h58

et en plus tu te lèves du pied gauche...;-))
heu...c'est pour rire, hein....

moi j'ai ce système à plaque depuis 5 ans...je viens juste d'en racheter 2....


Capture d  cran 2015 03 12 12.28 - Eugenol
chicot29

27/07/2018 à 08h11

Bien vu Pluton. Je dors à gauche du lit. Donc en effet il y a un risque stochastique que je me lève du pied droit. -))))


--
En cas d'échec des négociations conventionnelles, seriez-vous prêt à suivre la promotion d'un déconventionnement massif de la profession par les syndicats représentatifs ? OUI - NON
Participez, anonymement, sur https://goo.gl/forms/nAO0htnsVmxotjYm1


Avatar transparent iqadnc - Eugenol
adhoc

27/07/2018 à 08h39

>. Je dirais que je prends environ 10 000 clichés par an en tenant l'angulateur à la main depuis 25 ans.<

pfffff, tu as des jeunes qui te lisent :-((


moritooth

27/07/2018 à 09h02

chicot29 écrivait:
--------
. Je dirais que je
> prends environ 10 000 clichés par an en tenant l'angulateur à la main depuis 25
> ans. Par contre j'évite de passer des heures à larver sur une serviette à la
> plage l'été. -))))
>
De mémoire, il me semble qu'en formation radioprotection, on nous a dit une rétroalveolaire = une heure au soleil. Donc pour toi Chicot, ça fait 10000h de soleil, à raison de 8h par jour à la plage... ben ça te fait l'équivalent de 1250 jours de plage par an !! heureusement que le soleil de Bretagne n'est pas trop fort et que tu ne prend plus de pano !!!


Dprtmuluo7sk4wxn8aabgsxy7sde - Eugenol
Pervers Pépère

27/07/2018 à 09h03

chicot29 écrivait:
--------
> Par contre j'évite de passer des heures à larver sur une serviette à la plage l'été. -))))

Forcément en Bretagne, t'es peinard question UV, le seul risque d'attraper un truc, c'est la pluie ;-))))


Utilisateur banni

27/07/2018 à 09h40

adhoc écrivait:
-----
> >. Je dirais que je prends environ 10 000 clichés par an en tenant l'angulateur
> à la main depuis 25 ans.<
>
> pfffff, tu as des jeunes qui te lisent :-((

Si tu savais le nombre de jeunes qui tiennent les capteurs à la main , tu ne serais pas déçu :)
Ils voient que tous leurs prédécesseurs tenaient leur capteur à la main sans avoir un quelconque problème de santé derrière , du coup c’est normal ils tiennent à la main


X ray 03 medium zvq18j - Eugenol
cyber_quenottes

27/07/2018 à 10h10

il n'a pas dit qu'il tenait le capteur à la main, mais l'angulateur

ce qui devient presque sans danger

par contre 10 000 clichés / an c'est beaucoup

je suppose que tu ne portes pas de dosi chicot29 ?


--
==================
la csnd a voulu le "fromage" de la CCAM
la SECU a ajouté une tapette autour


Capture d  cran 2015 03 12 12.28 - Eugenol
chicot29

27/07/2018 à 12h39

Pervers Pépère écrivait:
--------------
> chicot29 écrivait:
> --------
> > Par contre j'évite de passer des heures à larver sur une serviette à la plage
> l'été. -))))
>
> Forcément en Bretagne, t'es peinard question UV, le seul risque d'attraper un
> truc, c'est la pluie ;-))))

Détrompes toi tu crames plus vite que dans le sud. -)
--
En cas d'échec des négociations conventionnelles, seriez-vous prêt à suivre la promotion d'un déconventionnement massif de la profession par les syndicats représentatifs ? OUI - NON
Participez, anonymement, sur https://goo.gl/forms/nAO0htnsVmxotjYm1


Utilisateur banni

27/07/2018 à 12h48

cyber_quenottes écrivait:
---------------
> je suppose que tu ne portes pas de dosi chicot29 ?

Tu sais bien qu’ils les sortent et les accrochent à la tenue uniquement quand la PCR passe . Et quand la PCR ne passe pas c’est rangé dans un tiroir ou alors sur le plan de travail dans le meilleur des cas :)))))


Logo prismm simple non cntre tzpsib - Eugenol
FlorianROBIN

27/07/2018 à 19h19

Il n'y a pas photo le meilleur filaire pour moi il est français, il est moins chère que ses concurents. c'est Hyphen devlopment
http://hyphen-dev.fr/hd-x/
Le plus appréciable c'est sa consommation USB 80 à 100 mA max pendant l'acquisition.
C'est un l'un des paramètres le plus important a prendre en compte avant la résolution même.
Cela évite beaucoup de surprise en fonction de la qualité de son réseau électrique, la puissance de l'alimentation de son PC ou l'utilisation d'une rallonge. compatible MAC et PC. bref j'en ai essayé plein et dans plein de configuration différente. celui la c'est du costaud.
C'est mon avis perso. tt les goûts son dans la nature....

pour ajouter des infos supplémentaire il a été conçu par Pierre TRANCHANT pour ceux qui le connaissent dans les couloirs de l'ADF.



--
Florian ROBIN
PRISMM, Ile de La Réunion
06 92 03 01 34