Cookie Consent byPrivacyPolicies.comSuite echec greffe osseuse et implants - Eugenol

Suite echec greffe osseuse et implants

Pierre logo clykpp - Eugenol
Denteo33

26/07/2018 à 13h01

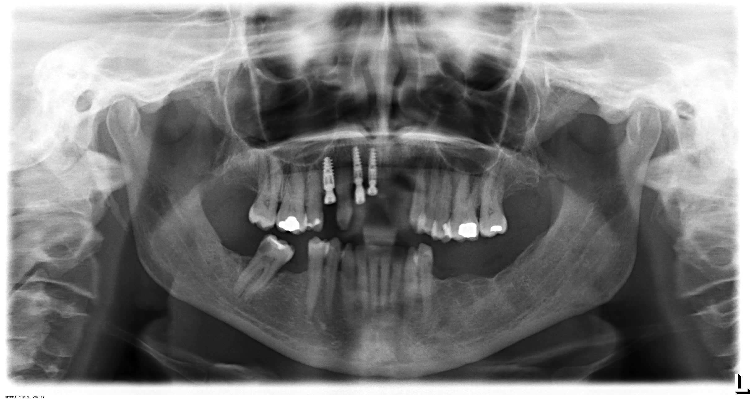
Je reçois une nouvelle patiente :
Pas de soucis de santé mais fumeuse 20 cigarettes par jour

Elle a subi de nombreux échecs implantaires :
- nécrose d'une greffe ramique au niveau de 21/22
- implants déposés puis reposés

Elle découvre très peu même lors d'un sourire forcé.

J'aimerais avoir vos avis.

Je lui proposerais pour remplacer ses incisives maxillaires :

- sans arrêt du tabac : un stellite pour remplacer ses incisives maxillaires
avec dépose de l'implant en 11 et réenfouissement de l'implant en 12

- avec arrêt du tabac : réaliser un bridge provisoire 13-12-(11/21/22)-23-24 MAIS en mutilant 3 de ses dents (13,23 et 24) mais pour m'assurer d'avoir une prothèse fixe qui me permettra de greffer le secteur 21/22

Gx4demt2g1oh3wyh8p6m - Eugenol
Pano ija1xb - Eugenol
Occlusion de face u2kq2d - Eugenol
Occlusion droite jcrks2 - Eugenol
Occlusion gauche uc5fdu - Eugenol
Rvg implants p3ijc8 - Eugenol

Ylfwcw979cz1jnx9gfqeaxndiuzk - Eugenol
Algi

26/07/2018 à 14h33

Et en bas ? T'as prévu kekchose en bas ? Pasque sinon je donne pas cher des antérieures.....

Commence donc par 2 ppa et assures toi qu'elle a des molaires en état de marche.


--
On a toujours le choix mais entre quoi et quoi?
Vas-y boulégue et l'avenir te le dira!


Pierre logo clykpp - Eugenol
Denteo33

26/07/2018 à 14h43

Tu as raison Algi
En effet, le bas étant "plus classique" avec soit PAP ou implants (avec devitalisation 47), je n'en ai pas parlé


Dolan donald duck weird wqjham bw43ju - Eugenol
GéPé

26/07/2018 à 20h04

Ton histoire de bridge en mutilant des dents "saines" pour pouvoir faire une greffe c'est de la grosse connerie (no offense). Un appareil résine que tu auras évidé sur la zone de la greffe ira très bien.
Et un petit coup d'aéropol aussi


Pierre logo clykpp - Eugenol
Denteo33

26/07/2018 à 20h44

C'est exactement pour cela que je voulais vos avis.
C'est vrai que je ne suis pas logique...mais je me méfie beaucoup des prothèses amovibles sur les zones greffées


Dolan donald duck weird wqjham bw43ju - Eugenol
GéPé

26/07/2018 à 23h24

Aucun problème, tu dis au patient de la porter le moins possible et de l'enlever pour manger. Et tu enlèves 1mm d'épaisseur au niveau de la greffe. Je le fais tout le temps, pas de problèmes.
C'est sûr que si tu peux faire greffe + implants + provisoire fixe c'est mieux mais pas évident.


Ylfwcw979cz1jnx9gfqeaxndiuzk - Eugenol
Algi

27/07/2018 à 11h32




--
On a toujours le choix mais entre quoi et quoi?
Vas-y boulégue et l'avenir te le dira!


log69

29/07/2018 à 11h42

Algi écrivait:
----
> Vas-y boulégue et l'avenir te le dira!
on a toujours le choix entre la bêtise et la sottise