Cookie Consent byPrivacyPolicies.comGestion implantaire édentement 16 17 - Eugenol

Gestion implantaire édentement 16 17

Fear and loathing in las vegas toax7t - Eugenol
Donchico

31/08/2018 à 19h21

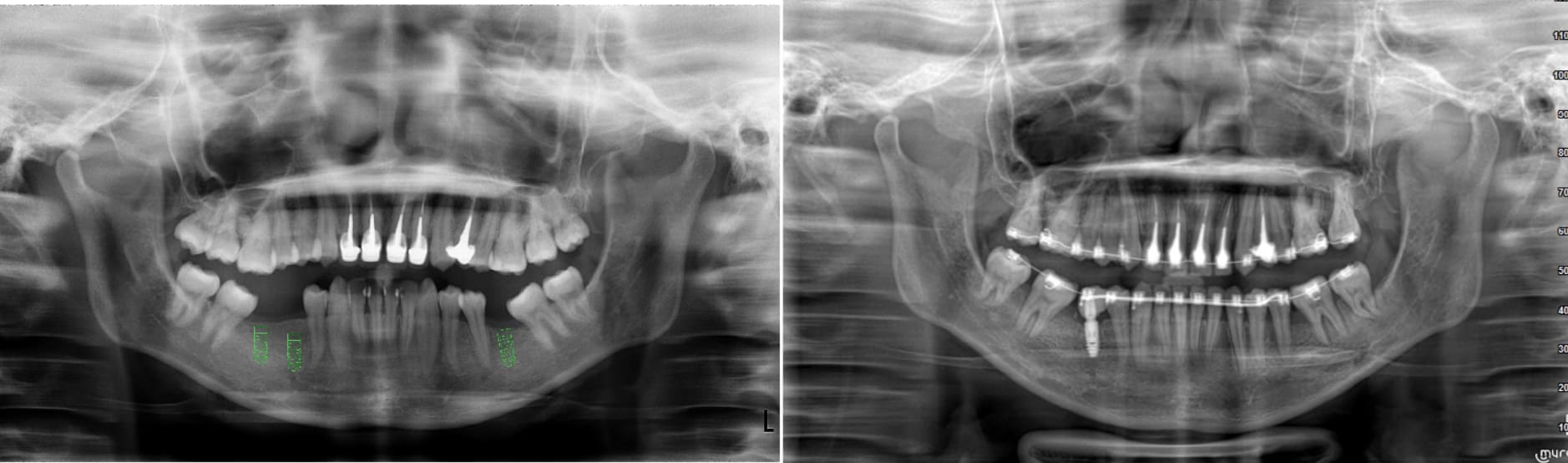
J'aurais besoin de votre avis éclairé dans la gestion de cet édentement 16 17.
La 18 est mésialée et regarde un peu en vestibulaire.
J'ai extrait la 16 suite à une fracture de racines et une infection paro.
Et maintenant se pose le problème du replacement de 16 et 17.

Que faire:
1) implant 16 et on laisse le diastème 16 / 18
2) extraction de 18 et un bridge 16 17 18 sur 2 implants 16 18.

Quel est votre avis?

Qd1n5fcwgkmzy2t8rwxi - Eugenol
Sygwwuqnl5knocxl7jph - Eugenol
I56igx815oykmmyt0gcm - Eugenol
Z9zftsbfyvjpdiapp4io - Eugenol
Qloe4xl3afzxqwnh2vbz - Eugenol
Ivi5bhzbyyarilf2r2sc - Eugenol
Ytvfbzrylssro4u60vxj - Eugenol
Pmdwuw7ttwn68k6lyaua - Eugenol

Dolan donald duck weird wqjham bw43ju - Eugenol
GéPé

01/09/2018 à 08h01

exo 18, sinus lift, implant 16 17


Photo pluton1b h9n4ea - Eugenol
pluton

01/09/2018 à 09h17

pourquoi exo???
une minivis ortho la 18 se retrouve en place de 17, implant en 16 et puis c'est tout....


Aiguille cyboyt - Eugenol
fatboy

01/09/2018 à 09h19

exo 18, implant 16 et 18, bridge 16-18. Sinus lift en option.


Avatar transparent iqadnc - Eugenol
adhoc

01/09/2018 à 09h57

>une minivis ortho la 18 se retrouve en place de 17, implant en 16 et puis c'est tout....<

c'est sur , pluton, mais la 18 va avoir un axe oblique corono mesial apico distal. ("va etre de traviole pour résumer!!) par effet de traction pure si l'on ne met pas d'arc.
Et apres, probleme d'autonettoyage entre 18 et 16.

EDIT
Sinon, tu as raison de vouloir conserver la 18. Lers choses ne sont plus helas comme il y a 20 ans. Si il y a une merde avec l'exo 18 saine sans signes pathologiques ni douleurs avec un patient procédurier, c'est considéré comme mutilation volontaire non justifiée et ca fait mal.

Tant pis pour le diasteme 16-18 . Donc implant 16 et c'est tout pour moi ou orthon complete avec arc.


Photo pluton1b h9n4ea - Eugenol
pluton

01/09/2018 à 10h05

perso je mets un arc...mais avec des minivis, une bague molaire sur lequel est fixé un ressort permettant de contrôler la traction, çà fonctionne aussi (cf par ex les systèmes utilisés par Dancha)

je ne vois aucune indication d'extraire cette 18...


Avatar transparent iqadnc - Eugenol
adhoc

01/09/2018 à 10h10

J'ai edité, mon pluton.
Ok pour le systeme dancha, mais il faut en meme temps faire une traction et mettre un second bracket (ou une bague a double etage ) avec un ressort distalant pour creer un moment de force,, pigé, mais faut savoir faire :-)


Fear and loathing in las vegas toax7t - Eugenol
Donchico

01/09/2018 à 10h43

Merci pour vos réponses, c'est un patient MGEN (sans connotation non plus :p )
Je vais voir avec l'ortho à qui j'adresse mes cas d'adulte ce qu'il en pense.
Je n'était pas très chaud non plus pur extraire une dent saine qui ne demande rien à personne.
Par contre est ce que la mésialisation de la 18 est possible même si le sinus plonge au niveau de l'édentement de la 17 ancien et qu'il n'y a pas d'os en mésial ? Ça va se remanier tout seul ?
Si on doit placer une vis de traction, où la mettre ? à la place de la 16? Ou peut-on se servir de l'implant en 16 pour tracter la 18 ?


Photo pluton1b h9n4ea - Eugenol
pluton

01/09/2018 à 11h24

oui, un implant peut servir d'ancrage pour tracter la 18 (après son ostéointégration bien sûr...;-)

donc pourquoi pas un traitement en "binôme" avec l'ortho...pour moi, c'est la meilleure solution...


1309531 ours brun n5iukf - Eugenol
seespan

01/09/2018 à 12h41

Exact.
Implant en 16, on attend trois mois, provisoir et l on tracte la 18 avec bague sur 17 18.
Par contre attention a l etat paro de 18

Message écrit sur mon téléphone ( pas d'option Français )


--
หมอจัดฟัน


1309531 ours brun n5iukf - Eugenol
seespan

01/09/2018 à 13h33

Les implants c'est ce qui à de mieux comme appuis pour l'orthodontie. Ca enfonce les minivisses .

Par contre attention quand vous tracter une 7 ou une 8 vous pouvez avoir des pertes osseuse importante. Donc prévenir le patient/patiente de cette possibilité quand les espaces sont important ou même peut important.

Un de mes premiers cas sur traction par implant était sur des 47 48 et 37 38 versé avec des implants coincé entre 6 et 7 à refaire.
J'ai proposé d'utilisé les implants dans un premier temps pour redresser les molaires puis "extraction" des implant et fermeture de l 'espace.
Ca c'est très bien passé secteur 4 mais secteur 3 perte osseuse monstrueuse sur 37, donc extraction et implant, 38 conservable mais niveau d'os faiblard quand même. Pourquoi une perte aussi importante et d'un seul coté pas d'idée.

Pour le cas de la photo c'est mon cas le plus extrême de traction avec implant. J'ai fais une barre lingual reliant l'implant en 45 à 34. Je vient d'attaquer une autre cas similaire avec la même méthodologie :-) .


--
หมอจัดฟัน

Impl wyybrr - Eugenol

Capture d  cran 2015 03 12 12.28 - Eugenol
chicot29

01/09/2018 à 13h47

Donchico écrivait:
--------
> Merci pour vos réponses, c'est un patient MGEN (sans connotation non plus :p )

Ah ! C'est pour ça les couronnes métal au fond ( belle avancée protocolaire) .....-)))) Et tu comptes t'y prendre comment pour faire passer la pilule NPC hors protocole ?
--
En cas d'échec des négociations conventionnelles, seriez-vous prêt à suivre la promotion d'un déconventionnement massif de la profession par les syndicats représentatifs ? OUI - NON
Participez, anonymement, sur https://goo.gl/forms/nAO0htnsVmxotjYm1


Dolan donald duck weird wqjham bw43ju - Eugenol
GéPé

01/09/2018 à 17h00

Pour moi la 18 est loin d'être saine : carie, pb paro en mésial, version mésiale. Tout à fait justifié d'extraire cette 18. L'ortho sur une 18 ca frise le surtraitement (sans oublier que c'est très loin d'être évident) je pense pas que beaucoup de patients acceptent de l'ortho ici.


1309531 ours brun n5iukf - Eugenol
seespan

01/09/2018 à 17h27

C'est pas que je prêche pour ma paroisse Gépé, mais mettre une bague sur la provisoire sur implant, une bague la 18 , un fil et une chainette pour faire bouger la 18 c'est pas vraiment ce que j'appelle un challenge au niveau orthodontique.
Vue qu'en plus il s'agit d'une fermeture d'espace tu n'as même pas besoin de tâtonner pour atteindre la bonne distance mesio distal.
Tu fais ta provisoire au dimension souhaité et tu ramène la 18 contre. C'est deux rendez vous, trois grand max.
Pour la patient ça ne gène pas et c'est invisible donc il est ok, et ça s'aura moins chère qu'un implant donc il est encore plus ok.

Vue que c'est un MGEN il va surement râler un peut mais moins qu'avec deux implants.


--
หมอจัดฟัน


Dprtmuluo7sk4wxn8aabgsxy7sde - Eugenol
Pervers Pépère

01/09/2018 à 19h33

Faire de l'ortho pour une 18 cariée sur un MGEN qui a déjà la 22 toute pourrave à couronner depuis des plombes et le côté 20 tout aussi pourri, mouahhhh !



--
C'est vendredi, c'est conn'rie,
mais les zôtres jours aussi.


chicopathe57

01/09/2018 à 20h23

Moi je dirais:
implant 16 et je laisse la 18 au patient en lui disant que je ne souhaite pas l'extraire pour l'instant car elle peut encore servir mais qu'elle peut poser problème par la suite (bourrage alimentaire, carie et déchaussement implant) et qu'on l'enlèvera à ce moment, et on réevalue à chaque contrôle annuel.
Et si y'a un bourrage, c'est le patient qui souhaitera qu'on l'enlève, fin de l'histoire.
L'ortho sur 18, nonobstant le coût, j'aimerais bien voir comment la sagesse avance en étant déjà contre la corticale de la procidence sinusienne.


Bubo bubo portrait xqn39s - Eugenol
oiseaudenuit

01/09/2018 à 21h18

Bonsoir, je ferais comme sur l'image n°6, c'est à dire extraction 18, implant en 16 droit, implant angulé en 18 et prothétiquement une 16 et une 17. Pas de sinus, pas d'ortho. Voir 48 qui risque de poser des problèmes au niveau occlusale.


1309531 ours brun n5iukf - Eugenol
seespan

02/09/2018 à 02h59

Juste pour info il n'y a pas de contre indication particulière à bouger une dent qui est contre le sinus. Dans certain cas ça peut ralentir le mouvement mais c'est plus ou moins tout. Clairement pas un soucie si il y a un implant.
Un de mes tout premiers cas.
Extraction de 16 et 26, 17 et 27 étant clairement contre le sinus.
Pour le prix facturé c'est généralement fonction du temps passé sur le fauteuil. Si vous avez suive le fil sur " redresser une 7 sans minivisse " vous avez vue des cas ou on à fait de l'ortho pré implantaire. Vous vous doutez bien que ça n 'est pas facturer comme un traitement orthodontique complet vue que le temps fauteuil est plus que réduit.

Etablissez le prix pour les deux options, expliquez la situation au patient et laissez le choisir.
J'ai déjà eu deux ou trois cas ou les patients ont préférer extraction + implant plutôt que d'avoir un traitement même séquentiel et peut onéreux. Et d'autre ou ils ont préférer partir pour des full traitement pour deux ans plutôt que de faire un implant.
--
หมอจัดฟัน

Pqn gtkrpc - Eugenol

Photo pluton1b h9n4ea - Eugenol
pluton

02/09/2018 à 08h30

laisses tomber seespan...
tu remarqueras quand même que c'est que ceux qui font de l'ortho (toi, adhoc et moi) qui pensent à cette solution pourtant très simple, efficace et élégante....et bien évidement non mutilante pour le patient...

aux autres, je dirai ceci: est-ce que dans votre pratique implantaire la corticale sinusienne est un obstacle impénétrable??? je connais la réponse puisque je suis aussi poseur d'implant comme vous....et bien évidement la réponse est non....
et bien c'est la même chose en ODF on peut déplacer une dent en déformant la corticale sinusienne, çà n'est absolument pas un problème...
dans le cas présenté ici, en terme de prédictibilité de résultat, la solution ortho/implanto est sans conteste celle qui aura le plus haut niveau...loin devant les autres...
si vous faites l'exo de la 8, même pas sûr que vous ne soyez pas obligé de faire un sinuslift car l'os dans cette zone se résorbe en général +++ voir disparaît avec la dent si la tubérosité vient avec la dent...
bref, dans vos plan de ttm, ayez toujours une petite case allumée ortho...çà vous aidera pour plus de choses que vous ne le pensez...même en implanto et surtout pour la gestion d'espace prothétique...


1309531 ours brun n5iukf - Eugenol
seespan

02/09/2018 à 09h28

Merci Pluton c'est sympa je me sens moins seul :-) .

Pour la petite histoire au US la plus part des dentistes aurait proposé un mini traitement invisalign .


--
หมอจัดฟัน


3395 40 umvzjn - Eugenol
Aspius

02/09/2018 à 10h25

Le plus drôle ça reste quand même de considérer l'ortho comme un surtraitement, pour lui substituer exo+sinuslift+implant.

L'ortho c'est pas spécialement mon rayon, mais dans une logique générale de gradient thérapeutique, si l'ortho peut produire un résultat équivalent à une autre technique, autant faire dans le moins invasif possible...


1309531 ours brun n5iukf - Eugenol
seespan

02/09/2018 à 10h34

Ben disons que dans le système Français tu ne favorise pas le gradient thérapeutique. Et l'ortho sequentiel vas rentrer dans la case " truc que le patient comprend pas pourquoi il doit payer ".

La solution double implants, c'est prédictible et ça ne pose pas de soucie par rapport au patient.



--
หมอจัดฟัน


3395 40 umvzjn - Eugenol
Aspius

02/09/2018 à 10h46

Comme la paro, quoi.

Mais pour le coup sur un profil MGEN je pense que l'aspect mini-invasif et conservatoire n'est pas à sous estimer, surtout si au final c'est plus économe que sinus+clou.


Fear and loathing in las vegas toax7t - Eugenol
Donchico

03/09/2018 à 19h18

Je suis tout à fait d'accord avec la solution tmt ortho pour tracter la 18 et implant 16.
Mais c'est un prof donc je ne pense pas que l'arc complet en vestibulaire va lui aller.

Si l'extraction de la 18 merde au niveau de la tubérosité, ça va pas être simple de le rattraper. Et la 18 même comme ça cale la 37 . Pour la 38 c'est une autre histoire.

Pour l'ostéointégration de l'implant avant de s'en servi comme support de traction , 3 mois c'est suffisant ?
L'implant va prendre des forces tangentielles pas terrible non ?
Moi j'ai plutôt tendance à être plus prudent au maxillaire avec 5 à 6 mois. (cf le cours du DU d'implanto que j'ai fait il y a 8 ans).
Mais bon je ne suis pas un cador de l'implanto non plus, je ne gère que les cas simples .


Photo pluton1b h9n4ea - Eugenol
pluton

04/09/2018 à 07h46

çà sera pas un arc complet vestibulaire, surtout si tu utilises l'implant...;-)
3 ou 4 mois c'est bien suffisant...et souvient toi que l'on déplace une dent avec une force continue de .... 9 grammes donc c'est sans danger pour l'implant...;-)


12