Cookie Consent byPrivacyPolicies.comEndo 37 canal secondaire vers espace interradiculaire? - Eugenol

Endo 37 canal secondaire vers espace interradiculaire?

Dazic

11/09/2018 à 14h27

Hello,

La patiente est l'assistante en formation nouvellement venue au cabinet (état buccal un peu cata mais motivation ++ maintenant… 4 endo molaires a prevoir, nombreux soins ;/ ).

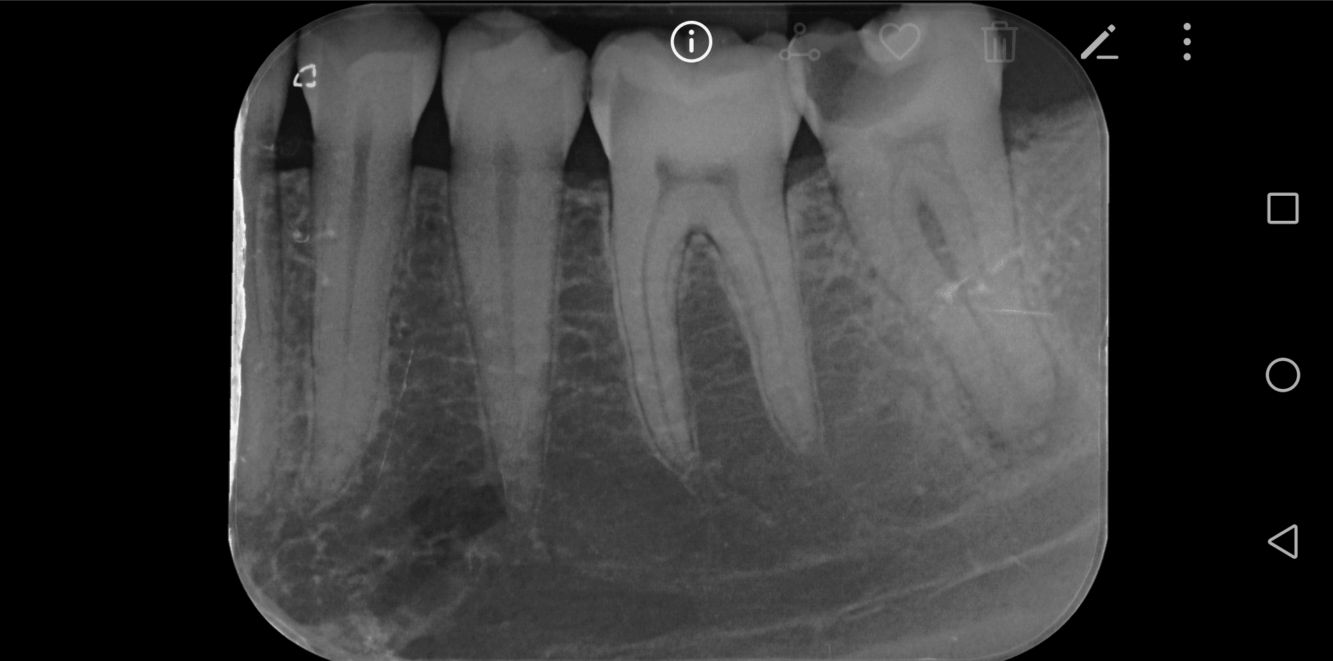
Diagnostic : Parodontite chronique apicale en phase aigue, il y a une semaine. Anesthesie impossible à ce moment la, mise sous AB depuis 5 jours. Au vu de la radio pre-op je considère le TR comme potentiellement compliqué.

Programme du jour théorique, éviction carieuse, exploration canalaire, pansement canalaire et cavit +/- reconstitution pre endo. Programme a venir TR sous digue.

En pratique :
ouverture de la chambre pulpaire et exploration sous AL.
Un gros canal Distal très excentré en vestibulaire est trouvé, ainsi qu'un fin canal MV relié au canal distal par un isthme peu profond. Je trouve également un fin canal ML. Les deux canaux mésiaux se situent bien en mesial, sur la même ligne parallèle au bord mesial et séparés de 1mm.

Parage canalaire des trois canaux à la LK 8/10/15/20 sur LT initial de 19mm et irrigation. ouverture du foramen avec gates. Aucun saignement.
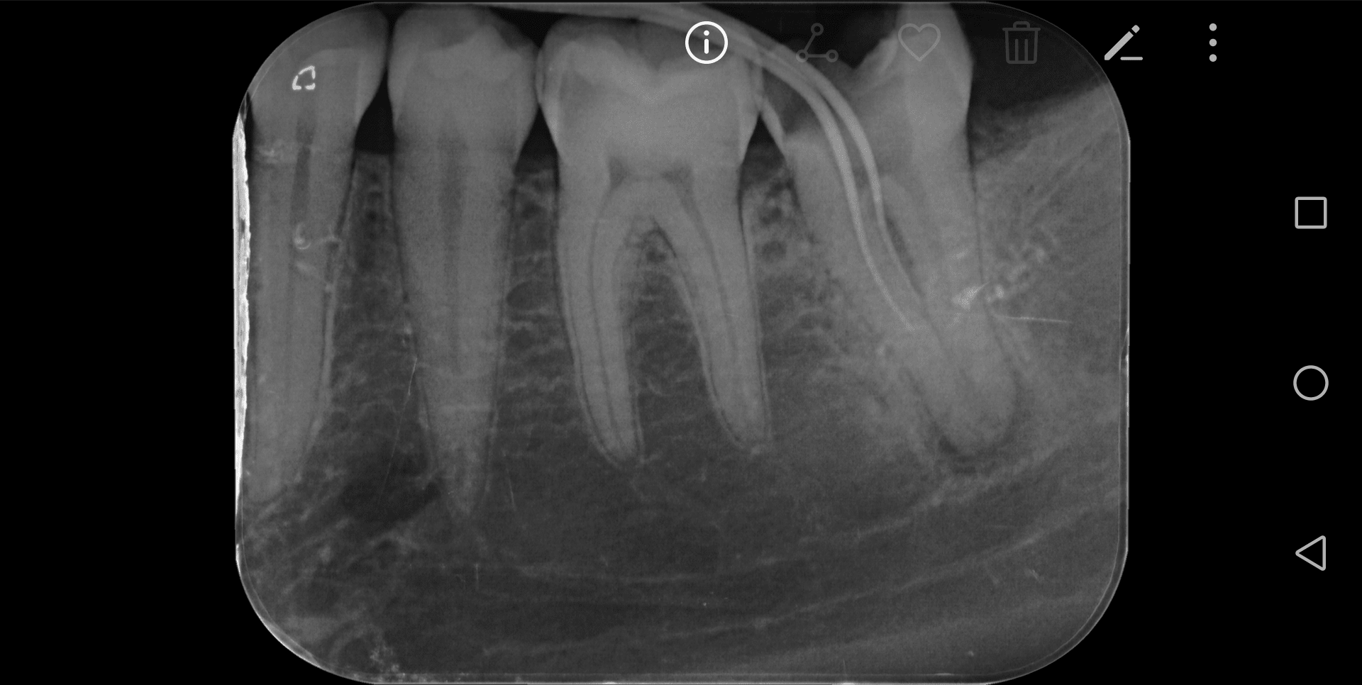
Je fais une radio per-op avec deux cônes de gutta fins de diamètre 20 4% dans les deux canaux mésiaux et … surprise…


Qu'en pensez-vous ?
1/Mon ML correspond a un canal secondaire qui va du plancher pulpaire vers l'espace interdentaire ? Ou bien ML dans racine que je ne vois pas (je ferai des radios excentré prochaine fois)?
2/Comment obturer si petit canal secondaire vers espace interradiculaire ? gutta? MTA ?
3/ j'ai balancé pas mal d'hypochlorite dedans, quelles conséquences?
4/autres remarques ou conseils ?

Merci par avance




41494562 1156120074544725 1225631199234359296 n tavr4p - Eugenol
41598598 321972368561207 6361186228569636864 n smbv7s - Eugenol

Bagheera tudzjy - Eugenol
bagheerra

11/09/2018 à 14h42

De mon point de vue :
1°) digue
2°) localisateur d'apex. Si ça bippe dès l'entrée c'est sans doute une perfo

Tes cônes sont sensés être dans les deux mésiaux ? Si oui ce pseudo canal secondaire n'est pas le DV...
Il y avait un gros pulpolithe sur la pré-op qui a l'air d'avoir disparu sur la post op : avec quoi as-tu débridé la chambre ? fraise ? US ? pointe travaillante ou pas ?...

Quel est l'intérêt de l'anesthésie si c'est juste pour une "exploration canalaire" d'une dent à pulpe a priori nécrosée ?


PtnbZ

11/09/2018 à 14h43

Probable canal en C.


Generique fraisage r2rxmm - Eugenol
lardonbis

11/09/2018 à 14h44

je dis perfo !
si tu as un doute demande à ton locapex.

et ptnbz a raison avec cette morpho le canal en c est possible.

Cq5dam.web.1280 - Eugenol

6szjws718sv1jksw54v4mpj3a6cu - Eugenol
vulpi

11/09/2018 à 15h12

Oui localisateur d'apex, ce sera le juge de paix... c'est pour cela que j'aime bien le gold reciproc, tu sais de suite avec le Sx


Dazic

11/09/2018 à 15h22

merci pour vos réponses, Pour la perf, je ne pense pas… D'ailleurs sur la pré-op on semble voir quelque chose à l'endroit de ma future pseudo perf..?

@bagheerra : J'ai édité mon message puisque je me suis trompé dans ma question 1/, je parlais du ML et non du DV. Les deux cônes sont dans les mesiaux comme indiqué.
AL car malgré la prise des AB et l'amélioration des symptômes, la percussion restait sensible+. L'exploration canalaire et la mise en place d'un pansement pulpaire sont le meilleur moyen de traité plutôt que la prise des Ab sans résoudre la cause locale...
J'ai débridé la chambre pulpaire avec une fraise tungstène boule à carie et des US. Je ne vois pas comment j'aurais fait une perf, d'autant que mon foramen est bien plus petit que la boule de ma fraise.


Le canal en C ca se traite comment, c'est quoi exactement ? (aller je m'en vais faire une recherche internet aussi…)

j'ai acquis récemment le gold reciproq mais peu d'expérience avec le localisateur d'apex intégré. Il me donne a priori l'apex alors que je n'y suis pas, donc la confiance absolue n'y est pas encore…
Je n'ai pas pu tester cette fois-ci,
Je suis assez sur que ce n'ai pas une perf, donc si localisateur sonne tôt, canal secondaire partant de la chambre vers espace inter radiculaire ? Dans ce cas la je n'ai que deux canaux, un MV et un Distal excentré en vestibulaire.



Generique fraisage r2rxmm - Eugenol
lardonbis

11/09/2018 à 15h31

si t'es équipé te complique pas.
Isole la dent , fais tomber ce qui te gène, et bosse au localisateur.
Le C c'est la forme de la coupe du canal, ça peut donner l'illusion d'une perfo comme te faire croire que ta perfo est ok ;) ----> locapex

Capture d u2019écran 2013 11 01 à 17.30 - Eugenol

2 n2dlt7 - Eugenol
2+2®

11/09/2018 à 15h33

C'est quoi une séance d'exploration canalaire ?
C'est une nouvelle mode venue des states?


Dazic

11/09/2018 à 15h36

exploration canalaire = pulpectomie.
merci...


Dazic

11/09/2018 à 15h55

Merci pour la description. Si j'ai bien compris le C peu englober 2 ou 3 canaux avec un 3e canal séparé ou absent.
Si je regarde le plancher de la chambre pulpaire (couple transversale), mon C est relativement peu bombé en forme et va du MV classique au distal excentré en vestibulaire. Le dos du C est vers vestibulaire. N'es-ce pas curieux au vu de la radio pre-op ou l'on voit deux racines mesiale et distal séparées ? Ou bien le C est vraiment très peu profond comme j'en ai l'impression.

En conclusion :
-canal secondaire du plancher vers l'espace inter radiculaire ne vous parait pas plausible ? au contraire plutôt une perf
-perf soit situé en MV faite lors de l'exploration du C, alors que le MV n'est pas présent. (uniquement le D et ML)
-soit situé en ML et uniquement canal MV et D situés dans le C

Réponse avec le localisateur d'apex. Oburation au MTA (galère ++ en MV dans partie V du C).


Purée, mais comment on fait une perf avec une LK 8 ??!


burnax

11/09/2018 à 16h00

canal en c.
Merci localisateur d'apex (enfin j'espère..)

C3 aiq1sh - Eugenol
C5 wpbgcg - Eugenol

Dazic

11/09/2018 à 16h06

ok intéressant. une pre-op ?


6szjws718sv1jksw54v4mpj3a6cu - Eugenol
vulpi

11/09/2018 à 16h08

le test le plus simple c'est saignement ou pas, quand perfo ça pisse et quand c'est un canal improbable cela ne saigne pas après alésage. Cela m'est arrivé d'obturer en fonction de cet unique critère une 37 un peu comme la tienne, je n'avais plus de saignement et le raypex me donnait une mesure reproductible.


Hok 1b hgd3rj - Eugenol
Hokusai

11/09/2018 à 16h09

et t'as 0 saignement ??


Generique fraisage r2rxmm - Eugenol
lardonbis

11/09/2018 à 16h11

je vais vous raconter comment j'ai envoyé une patiente en maxillo en traitant une ratoune comme ça :D


mais là y'en a trop qui sèchent en salle d'attente


Hop c'était rien en fait.
donc je croyais avoir fait une perfo vu l'angle de ma lime de cathétérisme... bizarre, du coup je regarde dans la chambre ( et oui, pas bien, j'avais pas regardé) .
Ouf c'est bonnard c'est juste une anatomie à la con. Heureusement, je voulais pas me foirer, elle bossait avec un maxillo que j'aime bien.
Je nettoie, je remplie, je compacte comme un goret pour avoir le joli voile et évidemment du ciment fuse dans le dentaire inférieur :/
Le lendemain au bloc c'est pas elle qui tenait l'aspi :D


Dazic

11/09/2018 à 16h26

Aucun saignement. Mais uniquement parage canalaire des mésiaux jusqu'à LK 20..

Bon après lecture des réponses et réflexion, j'opte (j'espère); soit, le moins probable, pour un canal secondaire de la chambre vers l'espace inter radiculaire, soit, le plus probable pour une anatomie en C donnant l'impression que mon MV est en inter radiculaire (type TIB postée par BURNAX).


Prochaine fois, digue, ouverture et test fiabilité du gold reciproc du coup. et j'obture en fonction de la reproductibilité du localisateur d'apex… merci

En attendant, si y'a d'autres avis, ne pas hésiter :)


burnax

11/09/2018 à 16h42

Ouverture chambre simple.
Recherche des canaux aux pathfiles et là ma radio me donne cette image improbable, avec 2 canaux distinctes.
je rejoins Vulpi, pas d saignement à l'alésage,et le localisateur qui ne bippait pas.

C1 xuz8ie - Eugenol
C2 pwme2e - Eugenol
P1 l0uvp6 - Eugenol

Generique fraisage r2rxmm - Eugenol
lardonbis

11/09/2018 à 16h58

en tout cas j'éviterais le mac spadden :D


Blue eye thumb medium dx1i0w - Eugenol
bill

11/09/2018 à 17h54

Un peu similaire

https://www.eugenol.com/sujets/420176-qu-est-ce-que?page=1


|||||||||||||||

12/09/2018 à 11h17

Je pense que vous écartez un peu trop rapidement la perforation.
Ca ne pisse pas forcément le sang, surtout si anesthésie préalable.
J'ai fait une perf il n'y a pas longtemps lors d'une rte sans anesthésie, le patient a senti quelque chose au début mais pas de douleurs et pas de saignements.

C'est à mon avis une indication de cone beam. Tu lui fais une ordonnance : coupes centrées sur 37, échelle 1:1 / indication : étude de l'anatomie canalaire de 37.
Et t'auras ta réponse


Avatar transparent iqadnc - Eugenol
adhoc

12/09/2018 à 11h36

>e test le plus simple c'est saignement ou pas<

Condition nécessaire mais pas suffisante!
-si tu as du saignement anormal, grande chance de faux canal
- si tu n'as pas de saignement, cela ne signifie pas que tu n'as pas de faux canal!!!!

Une anesthesie intraligamentaire ou intraseptale empeche parfois le saignement lors d'un faux canal , et ce pendant une vingtaine de minutes, et ca laisse largement le temps de s'engager dans les voies de l'enfer :-)


Tozzi

12/09/2018 à 11h48

Seule une radio 3D précise est objective pour voir le nombre de canaux.
Tout le reste est subjectif.


Avatar transparent iqadnc - Eugenol
adhoc

12/09/2018 à 12h08

On a tous ca dans nos cabinets!!!!! Le sens clinique, ce n'est pas forcément dans le subjectif . Sans celui ci, la pano 3D n'aurait jamais vu le jour.


lachmar

12/09/2018 à 12h26


il n'y a que l'imagerie qui peut te donner une réponse
si tu n'as as de 3d et que tu ne peux pas adresser, plusieurs incidences obliques (comme au bon vieux temps) devraient te permettre d'y voir plus clair
ceci dit si c'est un faux canal , sans digue et malgré le root machin ca parait mal barré


Dazic

12/09/2018 à 18h31

Pas de 3d et pas possible.
Quelques douleurs au reveil de l'anesthésie hier et plus rien ce matin.
La perf j'ai du mal à m'imaginer au vu de l'instrumentation délicate et manuelle (LK 8/10/15/20)...

Je vais tabler sur une morphologie en c (5 à 7% des 2e molaires mandibulaires) et une imagerie à la "burnax". Le plancher pulpaire ressemble au cas posté par Bill. Un c vestibulaire de distal à mv et un canal individualisé en ml. Dans ce cas le mv peut apparaître dans la furcation à la radio...
On verra bien sans AL au prochain rdvz, avec pointe de papier et digue-localisateur!

J'vous tiens au jus!


12