Cookie Consent byPrivacyPolicies.comEndo 37 canal secondaire vers espace interradiculaire? - Eugenol

Endo 37 canal secondaire vers espace interradiculaire?

Paul Pitt

13/09/2018 à 10h23

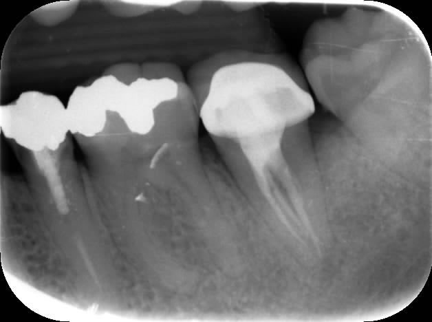
exemple bis

1 s4ecph - Eugenol
2 gblbqi - Eugenol
3 sixnlm - Eugenol
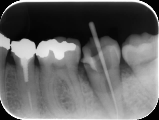
Capture annnve - Eugenol

Mignature

30/09/2018 à 17h20

Bonjour

Essaie plusieurs incidences: perpendiculaire médial distal. C’est rapide et pratique quand tu ne peux pas faire de 3D


12