Cookie Consent byPrivacyPolicies.comRudy 12 ans et 3 mois. - Eugenol

Rudy 12 ans et 3 mois.

P2eqdh3csim6s7nb09ktdq3e7ev8 - Eugenol
barbabapat

21/09/2018 à 12h25

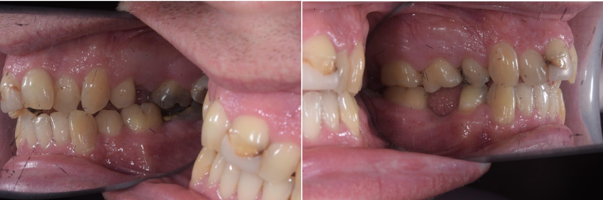
Comme d'habitude motif de consultation douleur.

Mais bon, pour les politiques le problème des soins chez l'enfant c'est le coût. Là on est dans les prise en charge de BBD donc la consultation de prévention aurait été prise en charge en tiers payant. les soins de suite pris en charge en tiers payant.

Et de toute façon patient CMU. Donc pris en charge en tiers payant même en dehors de tout cela.

Quand les politiques arrêteront de croire les dogmatiques pour se rendre compte que le tout gratuit ne fonctionne pas.

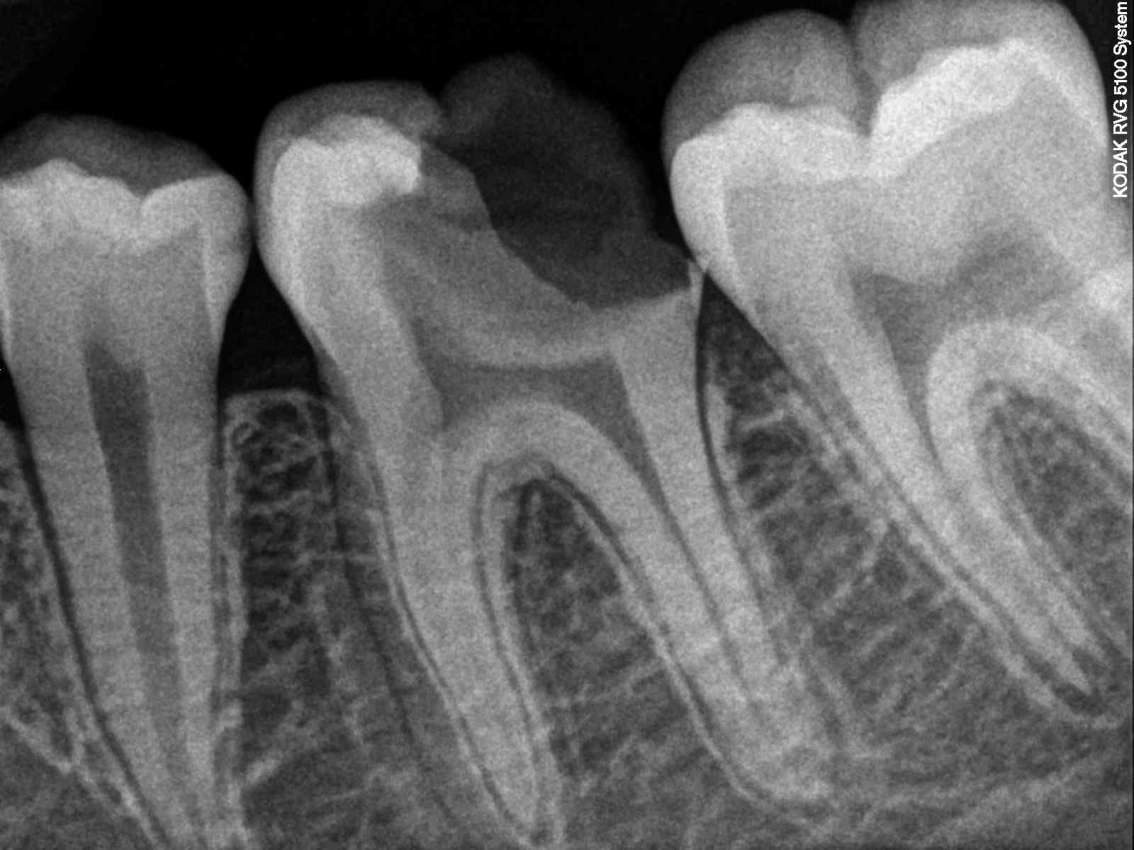
Un simple soin qui s'est transforme par la grâce à la magie de la gratuité CMU en endos couronne et qui dans 20 ans sera à refaire.

Pfyxurgx6doyj0jhparu - Eugenol

Aiguille cyboyt - Eugenol
fatboy

21/09/2018 à 12h48

>motif de consultation douleur

Tu m’étonnes !
Il y a des déclarations à la PMI qui se perdent.


Generique fraisage r2rxmm - Eugenol
lardonbis

21/09/2018 à 13h04

endo couronne :D
le mec il rêve.
Tu va faire la bio, l'an prochain on te le ramène pour l'extraction.
"oui mais il avait plus mal docteur! "


1309531 ours brun n5iukf - Eugenol
seespan

21/09/2018 à 13h09


Y a pas de soucie.
Extraction de la 6 ( en deux temps si possible) et fermeture de l'espace

--
หมอจัดฟัน


P2eqdh3csim6s7nb09ktdq3e7ev8 - Eugenol
barbabapat

21/09/2018 à 13h30

seespan écrivait:
-------
>
> Y a pas de soucie.
> Extraction de la 6 ( en deux temps si possible) et fermeture de l'espace
>
Plus cher sur le court terme et le problème c'est de truquer les comptes publics pour les faire croire à l’équilibre. Investir sur de l'ortho, sachant que si il dépasser les 15 ans après avoir arrêté les soins sous le compo, alors l’État économise sur l'ortho et ne paiera pas plus l'implant plus tard.
Et en plus il pourra râler sur les dentistes qui sont trop cher pour ces soins.


Generique fraisage r2rxmm - Eugenol
lardonbis

21/09/2018 à 13h30

seespan écrivait:
-------
>
> Y a pas de soucie.
> Extraction de la 6 ( en deux temps si possible) et fermeture de l'espace

:D encore un rêveur.
L’extraction de la 46 tu la fait quand l'ortho te dit que le premier semestre est réglé.


1309531 ours brun n5iukf - Eugenol
seespan

21/09/2018 à 14h39

Pour commencer ce type de situation c'est ultra fréquent dans ma pratique privée, avec les expats aussi bien que les Cambodgiens. Enfant de famille " modeste " , friqué ou même de dentiste, donc ça ne me choque pas tant que ça.

Au niveau du traitement c'est simple et ça ne rallonge le traitement de 6 mois grand max sans avoir besoin d'acte supplémentaire ( comme des minivisses ).
Les CMU ont le droit au traitement ortho donc basta.

Si ils ne font pas le traitement les enfant assumeront plus tard.

Tiens deux patients vue en consulte cette semaine.

L'un avait droit à un traitement gratuit quand il était jeune et m'a expliqué " ça m'a soulé j'ai arraché le fil, donc cette fois c'est moi qui paie ( aucune discussion sur le prix ) .
L'autre n'a eu droit à aucun soins gratuit et va faire implant + ortho ( aussi aucune discussion sur le prix ).

Je te dis pas que là situation de ton patient est souhaitable ou mérité, juste que ça se traite dans le cadre d'un panier CMU. Si le patient/ sa famille ne fait pas le traitement alors que c'est gratuit qu'est ce qui te fait dire qu'il l'aurait fait si c'était soumis à contrôle ?


--
หมอจัดฟัน

1 il2vab - Eugenol
Pho rzo2gu - Eugenol

Hok 1b hgd3rj - Eugenol
Hokusai

21/09/2018 à 14h46

je vais passer pour une grosse buse mais c'est quoi une avulsion en deux temps ???


Generique fraisage r2rxmm - Eugenol
lardonbis

21/09/2018 à 14h47

Extraire et se contenter de la parole des autres c'est une erreur.
Je ne me lance plus dans ce type de traitement à l'aveugle. pour certain gosses se faire amener en RDV plusieurs fois à plus de 10min du domicile est problématique.
J'ai plusieurs cas de traitement laissé en plan. Un jour on lira dans le journal "il a extrait des dent saines" :D
Maintenant j'ai tendance à IC+metal: moins de blabla.


P2eqdh3csim6s7nb09ktdq3e7ev8 - Eugenol
barbabapat

21/09/2018 à 14h56

seespan écrivait:
-------
>
>
> Je te dis pas que là situation de ton patient est souhaitable ou mérité, juste
> que ça se traite dans le cadre d'un panier CMU. Si le patient/ sa famille ne
> fait pas le traitement alors que c'est gratuit qu'est ce qui te fait dire qu'il
> l'aurait fait si c'était soumis à contrôle ?

Oui, cela fonctionne dans la cadre de la CMu, mais aujourd'hui comme le rappelle lardon c'est l'extraction d'une dent qui peut être conservée autrement.
Donc globalement, tu joues les choses à 2 pour pouvoir justifier plus tard si le patient ne fait pas les soins intégralement qu'il était correctement informé des conséquences du retrait de cette dent.


1309531 ours brun n5iukf - Eugenol
seespan

21/09/2018 à 14h56

Hokusai

Une extraction en deux temps c'est quand tu extrais une racine ferme l'espace et extrait la deuxième. Ca te permet de conserver le volume osseux et d'augmenter ou de réduire l'ancrage suivant la racine choisie.
Là une 6 a extraire et l'on veut augmenter l'ancrage, donc on extrait la racine mesial.

Lardonbis

Je manque d’expérience pour ce genre de traitement en France, mais je vois pas trop ou est le soucie. Le plan de traitement s'établie avec l'ortho et est validé par le dentiste, l'ortho et la famille. Il y a une bénéfice pour le patient et la faisabilité de cette option ne fait pas débat.
Après c'est la France , donc je ne suis pas sure que tu ne puisse pas avoir d'ennuis...


--
หมอจัดฟัน

Dsc 4590 gt8dcu - Eugenol

Generique fraisage r2rxmm - Eugenol
lardonbis

21/09/2018 à 15h04

le souci c'est les parent qui ne veulent plus "faire 45 min de caisse pour un rdv de 5min"
T'as pas idée des condition d’élevage, "c'est plus rentable que des lapins mais c'est pas pour ça qu'on va se casser le cul hein !?" :D
en gros dans certains cas c'est 45 min de motivation des parents, rappel si besoin, se taper l'exo de la 46 de Thêolînõ pour 30€ et les parent qui râlent parce qu'on les à pas prévenu qu'il fallait y retourner plein de fois.
Si les parent disent pas banco illico quand je dit qu'il y a peu être un moyen de repartir à zéro c'est métal.


1309531 ours brun n5iukf - Eugenol
seespan

21/09/2018 à 15h07

lardonbis écrivait:
---------
> le souci c'est les parent qui ne veulent plus "faire 45 min de caisse pour un
> rdv de 5min"
> T'as pas idée des condition d’élevage, "c'est plus rentable que des lapins mais
> c'est pas pour ça qu'on va se casser le cul hein !?" :D
> en gros dans certains cas c'est 45 min de motivation des parents, rappel si
> besoin, se taper l'exo de la 46 de Thêolînõ pour 30€ et les parent qui râlent
> parce qu'on les à pas prévenu qu'il fallait y retourner plein de fois.
> Si les parent disent pas banco illico quand je dit qu'il y a peu être un moyen
> de repartir à zéro c'est métal.

Bon ben tu l'as ta solution, pourquoi tu t'énerves lapin ?
--
หมอจัดฟัน


Generique fraisage r2rxmm - Eugenol
lardonbis

21/09/2018 à 15h32

En général je fais plus trop confiance au parents quand il s'agit des dents de leur gamin.
En ce moment ce collabo de lardon se tate a signaler certains..
un gosse qui est venu tout seul à pince sans RDV mercredi soir très tard. 7,5 ans, il vit presque a 10 bornes. gros bobo, polycarié, se sert dans les placard pour manger: maman elle fait pas la cuisine :/. Il avait RDV la semaine avant mais on avait pas pu me le porter....
Je devais voir la mère ce matin: lapin. Je toperais son instit jeudi prochain et je verrais avec elle.

Et pourtant c'est vraiment pas la zone ici. Je pense pas que tu as de ça par chez toi ;)

faire en sorte qu'un gamin ne dépende pas de ses parents pour se faire soigner ça compte parfois.