Cookie Consent byPrivacyPolicies.comGuérison gingivale - Eugenol

Guérison gingivale

minidentiste

27/09/2018 à 18h32

Bonjour à tous,

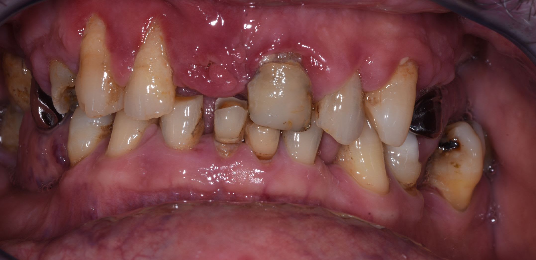
J'ai un patient de 60 ans, bonne santé générale. Rémission de maladie auto-immune lourde mais stable depuis 3 ans. Non fumeur.

La première consultation, il y avait de la plaque partout.
Sa demande : garder tout ce qui est possible.

Une motivation au brossage, un det et un surfaçage + tard, histoire de remettre les choses en état, je me retrouve avec ce type de gencive : voir les photos.

Depuis les photos, j'ai viré la couronne de 21 et refait la provisoire, ça va mieux, mais pas tip top pour la gencive.

J'ai passé une fraise à fine granulométrie (bague blanche) pour laisser la racine encore + lisse qu'avec les curettes.

La situation est-elle sauvable pour les incisives (Gépé va répondre titane je suppose) ?
Chir d'accès ?


Par la suite : remise en état des courbes occlusales, restauration des conservables + stellites pour les absentes.


Merci de vos lumières

Kbmuwqdyuny0vydtylia - Eugenol
Nbapuaoog0arhiego8dp - Eugenol
V1qv87s7lynoxqqlojya - Eugenol
Estigpp3itiq0wsexvr0 - Eugenol

Vw campersurfvan bmnk1q - Eugenol
enlaye

27/09/2018 à 19h23

tant qu il n'y aura pas de calage post tu n arriveras a rien .
tu as remarqué comme le bas est moins altéré que le haut ? pb occlusal majeur .


minidentiste

27/09/2018 à 19h46

La 24 était cassée, je l'ai avulsée j'ai refait un partiel résine provisoire (maxillaire uniquement) pour remettre les meubles. Mais je suppose que partiel résine ne signifie pas vraiment un calage (cela dit, il est très bien stabilisé et rétentif).


4a338550 6a5b 47ea b2a7 d3cb675c5076 oni5gh - Eugenol
fistule 69

27/09/2018 à 20h18

Prix de base 2000€ avant de toucher !
Résine, paro ...
Il a vu combien de gugusses avant toi ?
Après, maintenant que la dent de devant est en place, je suis curieux de voir si la moustache va revenir.
Ben ouais ! Le derrière on le voit pas, alors qu’est-ce qu’on en a à foutre !
Un conseil, deguaine vite les devis, tu vas très rapidement tester la motivation de Monsieur.
Je rappelle que se faire soigner ne coûte rien dans notre beau pays !


4a338550 6a5b 47ea b2a7 d3cb675c5076 oni5gh - Eugenol
fistule 69

27/09/2018 à 20h20

Mais ça nous coûte beaucoup !
Dentiste du Macron Monde.


Utilisateur banni

27/09/2018 à 20h31

Quelle maladie auto-immune ?


4a338550 6a5b 47ea b2a7 d3cb675c5076 oni5gh - Eugenol
fistule 69

27/09/2018 à 20h59

Bloquage du bras droit avec impossibilité de passer la brosse à dent.
Bon, je pense qu’il a continué à se nettoyer le TDC pendant sa maladie, il aurait pu faire pareil avec sa bouche.
Misère, je voulais être proctologue !
Tu sais au moins pourquoi y’a de la merde.
😷😜


4a338550 6a5b 47ea b2a7 d3cb675c5076 oni5gh - Eugenol
fistule 69

27/09/2018 à 21h10

Panono !


minidentiste

27/09/2018 à 21h12

fistule, je ne sais pas pourquoi tu es désobligeant,
le patient a peut être erré, il a peut être été laxiste ou négligent, je ne le juge pas. Il s'est bien repris et vient voir quelle solution je peux apporter à son problème.

Concernant sa motivation, elle est évidente, ne serait-ce que par la reprise du brossage et le retour d'une belle gencive partout sauf en haut devant.

Il y a de mémoire 5 couronnes à prévoir + qq compos +les stellites et la remise en état paro. Il est ok pour le faire. Curieusement, je lui ai demandé de me rappeler quand ce serait cicatrisé après la pose de l'immédiat + provisoire sur 21 posé il y a 15 jours. Il m'a rappelé mercredi.

Concernant sa maladie, c'est une patho orpheline dont j'ai oublié le nom (un truc en ...ite [chut Pervers]), conséquences assez modérées lors des flambées, mais là il n'a plus rien depuis 3 ans si ce n'est un suivi qu'il aura à vie.

Après je pense qu'il suivra s'il faut faire quelque chose de poussé, le tout est d'avoir un plan de bataille et si possible (raisonnablement) de conserver.


3395 40 umvzjn - Eugenol
Aspius

27/09/2018 à 21h24

Il est traité pour sa maladie auto-immune? Si oui avec quoi?


minidentiste

27/09/2018 à 21h27

Il est en fin de sevrage (ou fini il ya peu) de cortisone.


4a338550 6a5b 47ea b2a7 d3cb675c5076 oni5gh - Eugenol
fistule 69

27/09/2018 à 21h29

Minidentiste, il y a toujours une forme de second degrés dans toute réponse, si tu ne le vois pas, tu vas vite devenir une copine de Casa !
Les années de pratique te rendent cynique car la négligence des patients est usante.
Fais réaliser un panoramique.
Ta paro est trop légère, le curetage c’est pour les jeunes filles.
Des papilles hyperplasiques au delà de leur position physiologique et un rapport dentaire-os 1/2. Tu dois taper dedans à la turbine pour ramener l’ensemble à plat. Raccourcir tes chicots. Mais avant calage postérieur ++++, sans ça, ne rien toucher. Là, c’est de la dentisterie de guerre.
Mais donne moi des nouvelles de la moustache, je suis curieux.
😷🤗


4a338550 6a5b 47ea b2a7 d3cb675c5076 oni5gh - Eugenol
fistule 69

27/09/2018 à 21h32

minidentiste écrivait:
------------
> Il est en fin de sevrage (ou fini il ya peu) de cortisone.
Pour la cortisone, oui, pour le reste ???
😷🍻🍺🥃🍾🍹🍸


Utilisateur banni

27/09/2018 à 21h35

Aspius écrivait:
------
> Il est traité pour sa maladie auto-immune? Si oui avec quoi?

Exactement ... je pense à la même chose que toi Aspius


Nouveau image bitmap fz77zh - Eugenol
Sethef

27/09/2018 à 22h06

Sans pano ni sondage, dur de répondre.
Le problème, c'est qu'ici sans prothèse tu fais pas de paro, sans paro tu fais pas la prothèse. Alors faut tout faire d'un coup, et du coup faut être sûr de ton coup.
Il a 15k balles de côté le bonhomme?


4a338550 6a5b 47ea b2a7 d3cb675c5076 oni5gh - Eugenol
fistule 69

27/09/2018 à 22h10

Putain, tout de suite l’argent !
Mini dentiste elle rase gratis que je te dis, y’a 5 acier de prévues, si si !
😷🤣😜


4a338550 6a5b 47ea b2a7 d3cb675c5076 oni5gh - Eugenol
fistule 69

27/09/2018 à 22h14

J’ai du mal car pour moi, il faut déjà recouvrir toute la devanture.
Déjà 6 et le reste...
Vite le RAC0 pour accompagner le brossage 0 et la motivation 0.
Bon, j’arrete mon délire.
Un bon gros 💤
Bonne nuit les petits-enfants.😷🤗


Dolan donald duck weird wqjham bw43ju - Eugenol
GéPé

27/09/2018 à 22h23

minidentiste écrivait:
------------

> Concernant sa maladie, c'est une patho orpheline dont j'ai oublié le nom (un
> truc en ...ite [
C'est dommage c'est quand même le plus intéressant.


minidentiste

27/09/2018 à 22h40

La patho c'est une derm(at?)omyosite de mémoire : https://www.orpha.net/consor/cgi-bin/Disease_Search.php?lng=FR&data_id=701

Pour la stache, c'est un ancien gendarme, il l'a toujours eu.
Il n'a pas le profil d'un dépendant à l'alcool, mais je lui demanderai.

Pas de tabou pour parler argent avec mes patients, ça permet de décider avec eux sans se fourvoyer sur ce qu'on fait. On était sur un budget de 5-6K. Le patient ne demande pas la lune, juste de pouvoir conserver et consolider ( aka pas fidéliser).

Fistule, quand tu dis de taper dedans à la fraise et racourcir les chicots : tu effondres la DV ? Ou j'ai pas bien pigé.

Au sondage on passe les 3 mm quasi partout sur les incisives maxillaires. Ailleurs, de façon générale, ça s'est bien refermé. Pas partout cependant, il doit rester une poche sous une molaire qui s'est versée (de mémoire, j'ai pas son dossier avec moi, juste pris la radio et les photos pour les poster)

La pano est au cab, en argentique. Je peux en prendre une photo mais ça rend pas top.

Ps : pour bibi c'est "il" et non "elle"


Nouveau image bitmap fz77zh - Eugenol
Sethef

27/09/2018 à 22h55

Tu as des migrations secondaires et une dv effondrée, tu ne peux que coiffer au moins toutes les maxillaires entre autre pour rétablir un angle I/i correct, et des courbes compatibles.

A 6k, mieux vaut partir tout de suite sur complet haut/stellite bas, ce sera plus honnête.


Nouveau image bitmap fz77zh - Eugenol
Sethef

27/09/2018 à 23h03

Après, si c'est 6k de sa poche, tu rajoutes la mutuelle, ça peut faire le compte.


minidentiste

27/09/2018 à 23h26

Ok, c'est pas très conservateur mais c'est une option possible. L'autre plan, c'est coiffes + stellite maxillaire et stellite mandibulaire ?




Je prendrai des photos du montage sur articu + pano demain.

Je revois le patient prochainement, je referai le point avec lui et je reprendrai des photos.

Sinon il reste 8 dents au maxillaire. Ya la racine de 11, la 24 qui ont degagé depuis les photos et j'ai raccourci la 15.


Vw campersurfvan bmnk1q - Eugenol
enlaye

28/09/2018 à 00h20

Sethef écrivait:
------
" Le problème, c'est qu'ici sans prothèse tu fais pas de paro, "
Belote
"sans paro tu fais pas la prothèse "
Rebelote
" Alors faut tout faire d'un coup, et du coup faut être sûr de
ton coup."
10 de der
" Il a 15k balles de côté le bonhomme? "
Capot

voila tout est dit .


Vw campersurfvan bmnk1q - Eugenol
enlaye

28/09/2018 à 10h09

sur un truc comme ça , si tu dévitalises toutes les dents ( du haut ) , et qu' en meme temps tu te fais une gingivoplastie , le cas tu ne le reconnais plus .
ç est très étonnant les bienfaits de la dévitalisation pour les pb paro .


4a338550 6a5b 47ea b2a7 d3cb675c5076 oni5gh - Eugenol
fistule 69

28/09/2018 à 10h14

Minidentiste, c'est le professeur DOURY qui m'a appris le truc en tant qu'attaché en paro sur Lyon ( 1998 )
Tu fais une méga-gingivectomie à la fraise cylindro-conique pour ramener tes poches à 1 mm, c'est la boucherie, mais les suites sont moins douloureuses qu'au bistouri électrique.
Pour le budget, tu es trop short !
- Pour la stache, c'est un ancien gendarme, il l'a toujours eu.
- Il n'a pas le profil d'un dépendant à l'alcool, mais je lui demanderai.
Gendarme et alcool, nooonnnn, c'est pas le genre de la maison.


12