Cookie Consent byPrivacyPolicies.comProblème d'occlusion et Full Zircone - Eugenol

Problème d'occlusion et Full Zircone

Capture d écran 2018 05 16 à 21.30 - Eugenol
Daryl

02/10/2018 à 10h00

Bonjour à tous et toutes,

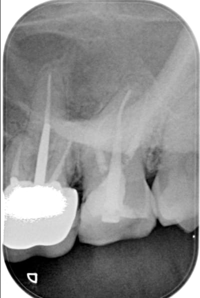
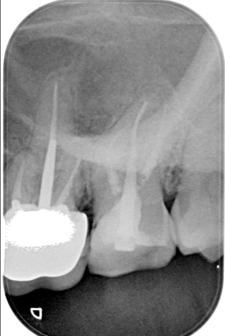
J'ai réalisé en Mars 2016 une CCM sur 26 que j'ai dévitalisée suite à une pulpite, chez une femme de 45 ans très active , voire overbookée ( grosse responsabilité pro, 3 enfants, 3 portables etc etc... ) avec peu de hauteur occlusale.

Cette céram se descellait tous les 3 mois malgré mes recherches pour résoudre le problème : prématurité et occlusion étudiée, collage différent etc etc

Comme la patiente vient toujours très tard au cabinet genre 20h , j'ai eu une idée de génie fatigué...

Comme j'avais, il y a qq années dévitalisée la 27 et sa reconstitution coronaire s'étant légerement cassée et dégradée , je me suis décidée à démonter la CCM sur 26 et à réaliser 2 Full zircones solidarisées sur 26 et 27 avec inlay core sur les 2...

Je me suis dit que le descellement de 26 et la fracture du morceau de 27 étaient dû à son peu de hauteur occlusal !!!

Et là c'est pire !!! Je n'ai pas réussi à trouver une occlusion qui lui convienne... Mes 2 full zircone sont lisses comme une patinoire tellement j'ai du les meuler..
Au rdv du soir je les règle en légère sous occ, la patiente se trouve bien et dès le lendemain, elle m'appelle pour me dire qu'elle est en sur occlusion !!

Ca dure depuis 3 mois et la patiente se plaint aujourd'hui de bruit dans l'oreille, de problème aux cervicales et tout et tout...

J'ai prévu de les retirer Samedi matin mais je ne sais pas quoi faire ensuite... Je sais que c'est un problème occlusal mais je vois pas comment le solutionner !!!
J'avais pensé la laisser qq mois avec juste les inlay core en bouche ( 28 présente) pour que tout se recale sans moi comme par magie, mais elle a une présentation à NY et veut au moins une provisoire sur la 26..

Bref si qq'un ( par hasard enlaye !!) pourrait éclairer mes 2 neurones en fonctionnement, ça serait sympa...

Merci et bonne journée
Daryl

Hnhnksf1kn8zdtzo2rw8 - Eugenol

Generique fraisage r2rxmm - Eugenol
lardonbis

02/10/2018 à 10h11

venir à 20h chez le dentiste... elle aime les sport extrêmes cette nana?
je ferai des provisoires unitaire sur les deux. on y voit bien sur les provisoires, et le patient les use jusqu’à la perfection occlusale :D
T'as rien touché de l'autre coté ?


Capture d écran 2018 05 16 à 21.30 - Eugenol
Daryl

02/10/2018 à 10h28

Je sais que c'est mal mais oui j'ai réalisé qq légers meulages de l'autre côté et sur les antagonistes !!

Faut dire que chaque séance d'essai de réglage des full zircones durait en moyenne 1h et que franchement j'en pouvais plus surtout que je commençais à 21h à avoir grave la dalle !!!

Bref je sens que jsuis dans la merde... La patiente est plutôt cool mais moi je rêve d'elle maintenant... Faut que je trouve une solution !!

J'avais bien pensé aux provisoires non solidarisées mais je lui laisse en qq type d'occlusion ??? En sous occ ou réglées comme je crois être le mieux ???


rat

02/10/2018 à 10h53

une gouttière souple ?


lachmar

02/10/2018 à 11h04

laroxyl 3 par jour pendant 3 semaines
si çà ne fonctionne pas tu es dans le caca
si ca fonctionne il faudra qu'elle trouve un moyen de gerer son stress (ce n'est pas notre boulot)


Ylfwcw979cz1jnx9gfqeaxndiuzk - Eugenol
Algi

02/10/2018 à 11h10

Ton histoire de dent qui se met en suroclusion me parle et parlera aussi à Isaie ou Amibien....

On avait parlé de ce phénomène soi disant impossible y'a quelques années...

Mp la miss et on voit ça en privé....


--
On a toujours le choix mais entre quoi et quoi?
Vas-y boulégue et l'avenir te le dira!


Dprtmuluo7sk4wxn8aabgsxy7sde - Eugenol
Pervers Pépère

02/10/2018 à 11h13

Algi écrivait:
----

> Mp la miss et on voit ça en privé....

Pourquoi en privé ? ça intéresse tout le monde.




--
Chez ♫les vieux (zé vieilles) né(e)s... les jeunes aussi sont les bienvenus.


Generique fraisage r2rxmm - Eugenol
lardonbis

02/10/2018 à 11h29

lachmar écrivait:
-------
> laroxyl 3 par jour pendant 3 semaines

pffff 3 verres de rouge au repas du soir. Mr mettra des boules quies car elle risque de dormir la bouche ouverte.


Vw campersurfvan bmnk1q - Eugenol
enlaye

02/10/2018 à 11h42

me regale :-))) , laroxyl , gouttiere souple , MP , aut' chose ?


Vw campersurfvan bmnk1q - Eugenol
enlaye

02/10/2018 à 11h46

Daryl , ç est con j ai pris 3 café et j ai jeté mon marc .
mais si tu avais 1 photo mes visions pourraient revenir .
la phrase importante est :
" Au rdv du soir je les règle en légère sous occ, la patiente se trouve bien et dès le lendemain, elle m'appelle pour me dire qu'elle est en sur occlusion !! "
on va partir la dessus si tu n as pas de photos .


Vw campersurfvan bmnk1q - Eugenol
enlaye

02/10/2018 à 11h47

et je pense même déjà savoir d ou vient le pb .


Capture d écran 2018 05 16 à 21.30 - Eugenol
Daryl

02/10/2018 à 11h48

Nan mais moi jcrois pas qu'il y ait une composante psy dans mon cas !!!
La patiente, elle est normale, équilibrée , bien dans son corps et dans sa tête, un peu au taquet mais pas plus que moi !!!

Jcrois pas qu'un antidépresseur ou de la kinésologie ( désolée Algi m'en rappelle plus du nom...) y fasse grand chose...

Jcrois que j'ai merdé et foutu le waï dans son occlusion et je voudrais faire marche arrière, remettre les compteurs à zéro...

Kes kil en pense notre maître à tous ??? Il est où, le enlaye ???


Capture d écran 2018 05 16 à 21.30 - Eugenol
Daryl

02/10/2018 à 11h50

Ah te voilà !! On s'est croisé désolée !! J'ai, pas de photos bien sûr !!!

Et j'ai honte enlaye car j'ai fait des meulages de l'autre côté...


Zorba le grec 1373406512 108 lfk5ey - Eugenol
zorbalegrec

02/10/2018 à 11h50

Daryl
Pour la faible hauteur pourquoi ne pas faire de richmond céramique plutôt que IC+CCM


Capture d écran 2018 05 16 à 21.30 - Eugenol
Daryl

02/10/2018 à 11h52

Zorba: jcroyais qu'on avait plus le droit en ccam de faire des dents à tenon ???


Ylfwcw979cz1jnx9gfqeaxndiuzk - Eugenol
Algi

02/10/2018 à 11h54


Faisez pas iech j'avais l'occase de chopper son 06 à Daryl....

Blague en coin les dens ça bouge des fois et pas seulement mécaniquement....

On avait abordé ça avec le CRROC y'a quelques années et on avait de sérieuses pistes notamment sur le collagène susceptible à priori de se déformer sous l'action d'un champ électrique...

Or le cerveau émet des champs.... Ces champs sont éventuellement modifiés en fonction de l'état de conscience et des évocations mentales....



--
On a toujours le choix mais entre quoi et quoi?
Vas-y boulégue et l'avenir te le dira!


Capture d écran 2018 05 16 à 21.30 - Eugenol
Daryl

02/10/2018 à 12h07

Nan mais ça Algi, c'est trop space pour moi comme explication !!!

Jsuis personnellement trop boderline pour pouvoir envisager des champs électromagnétiques parasites ou autre concept sorcier de ce style...

Désolée mais moi il me faut du rationnel, du concret, du cartésien , du réel :))))


Dprtmuluo7sk4wxn8aabgsxy7sde - Eugenol
Pervers Pépère

02/10/2018 à 12h25

Algi écrivait:
----
>
> Faisez pas iech j'avais l'occase de chopper son 06 à Daryl....

Ah mais si c'est pour ça je peux te le donner, enfin te le vendre...


Aiguille cyboyt - Eugenol
fatboy

02/10/2018 à 12h32

Quand tu fais tes réglages, ne lui dit pas « ouvrez fermez » mais faites « tap tap tap », test assise (la patiente, pas toi). Est ce qu’elle dort avec une gouttière?
J’ai jamais eu de gouttière, mais quand je fais de la plongée je mords comme un pitbull sur le caoutchouc et après pendant 1 heure, je sens une grosse surocc sur les molaires. Est ce qu’elle ne dormirait pas en clenching dans une position bizarre...
Bonne chance, ce genre de patient, même sympa, sont épuisants.


Vw campersurfvan bmnk1q - Eugenol
enlaye

02/10/2018 à 12h34

Daryl écrivait:
-----
" Et j'ai honte enlaye car j'ai fait des meulages de l'autre côté... "

tu as meulé les pans internes des cuspides vest de l autre coté , ç est ça ??
oui a tous les coups :-))


Vw campersurfvan bmnk1q - Eugenol
enlaye

02/10/2018 à 12h39

fatboy écrivait:
------
" J’ai jamais eu de gouttière, mais quand je fais de la plongée je mords comme un pitbull sur le caoutchouc et après pendant 1 heure, je sens une grosse surocc sur les molaires. "

et bien ça , ç est bien et normal . ç est le decalage OIM ORC .
lorsque tu as serré comme un pitbull , tu as fait comme un jig et ça t a mis en arriere de la centrée , position qui reste 1 petit moment ( apres avoir enlevé l embout ) par le spasme des muscles elevateurs .
du coup le decalage est + important
pas grave .


Aiguille cyboyt - Eugenol
fatboy

02/10/2018 à 12h43

C’est comme ça que je l’explique aux patients, faut prendre des images...


Capture d écran 2018 05 16 à 21.30 - Eugenol
Daryl

02/10/2018 à 12h44

enlaye écrivait:
------
"
> tu as meulé les pans internes des cuspides vest de l autre coté , ç est ça ??
> oui a tous les coups :-))

Ouais c'est ça :))) Et après elle ne retrouvait plus de calage et glissait vers l'avant ou butait ailleurs ...En fait c'était vraiment comme sur une patinoire...

Un léger meulage et on y était presque cad qu'elle se sentait presque bien... Du coup, le presque me faisait retoucher un ptit point trop marqué et vlan on repartait sur le bordel total :)))


Utilisateur banni

02/10/2018 à 12h45

enlaye écrivait:
------
> Daryl écrivait:
> -----
> " Et j'ai honte enlaye car j'ai fait des meulages de l'autre côté... "
>
> tu as meulé les pans internes des cuspides vest de l autre coté , ç est ça ??
> oui a tous les coups :-))

Occlusion non stable. Un coup elle décale vers l’extérieur et un coup elle se fout en position plus centrée vers l’interieur , c’est ça que tu veux dire ?


Vw campersurfvan bmnk1q - Eugenol
enlaye

02/10/2018 à 12h48


enlaye écrivait:
------ tu as meulé les pans internes des cuspides vest de l autre coté , ç est ça ?? oui a tous les coups :-))

Daryl écrivait:
-----Ouais c'est ça :)))

alors Junior , qui ç est le patron ?? :-)))))))


12...