Cookie Consent byPrivacyPolicies.comProblème d'occlusion et Full Zircone - Eugenol

Problème d'occlusion et Full Zircone

Vw campersurfvan bmnk1q - Eugenol
enlaye

05/10/2018 à 21h07

En tout cas , autant il faut du temps pour que ça te deglingue par des compensations posturales et pareil pour la guerison ( si on peut appeller ça comme ça ),
Autant par contre , les consequences sur le mvt mandibulaire, sont quasi immediates dans un sens comme dans l autre .
Par exemple , si un decentrage lateral amene une limitation d ouverture , tu grattes ou il faut , hop plus de limitation d ouverture .
(Pour le trajet en baionette c est moins evident )


Capture d écran 2018 05 16 à 21.30 - Eugenol
Daryl

06/10/2018 à 11h14

Voilà c'est fait !!!

La patiente est venue en retard ( 1/2h ) mais on est Samedi matin !!!:

Plutôt sympa, décontractée et en confiance ... Bonne surprise, elle n'en voulait pas à sa ptite dentiste cool et souriante car elle a été éberluée du manque de confraternité des 3 autres dentistes consultés !!!

Moi j'avais mal dormi.. encore...

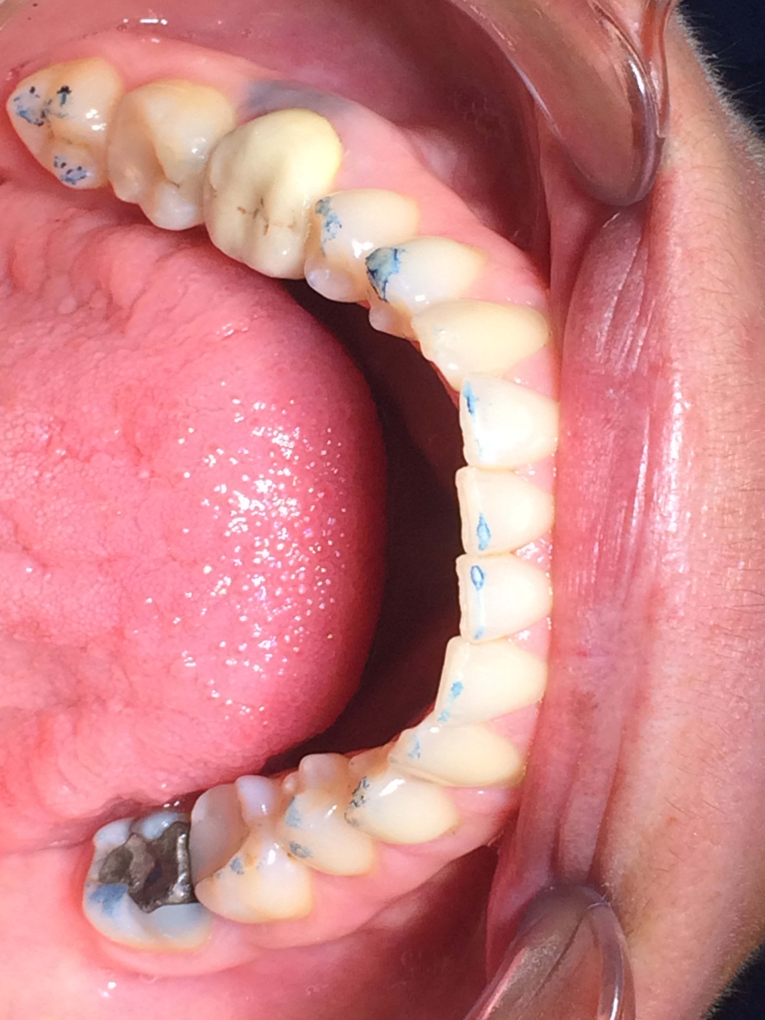
J'ai fait des photos avant la dépose et après la dépose des full zircone... J'ai répèré une prématurité sur 34 ( j'attends confirmation d'enlaye et consorts !!)

J'ai réalisé des provisoires confortables pour elle mais pas en sous occlusion car j'ai peur de perdre encore de la hauteur par égression des prov en sous occlusion...

Comme on était toutes les 2 contentes de nous, elle m'a autorisé à retoucher le pan vestibulaire externe de 34... Je me suis arrêtée là car elle se sentait bien mais ne voulait pas plus !!

On se revoit dans 10 jours pour contrôler encore l'occlusion et voir si les bruits dans l'oreille et autres tensions musculaires ont disparu...

Merci pour vos conseils qui m'ont bien aidé à appréhender la première étape de ce cas...

Jsuis open pour vos avis pour l'étape suivante !!!

Img 0267 pdne5p - Eugenol
Img 0269 abq6zw - Eugenol

Devil wxz6j6 - Eugenol
devil s dare

06/10/2018 à 11h38

c est etrange ;d un cote je serai fortement tente de ne pas demonter ce que tu as fait et de remonter au niveau secteur 4 (46/47) et d un autre ne pas encore toucher a un autre secteur...... mais quand meme :niveau 46 je ferai qque chose ;interessant d attendre l avis de praticien qui touchent plus que moi en occcluso


Vw campersurfvan bmnk1q - Eugenol
enlaye

06/10/2018 à 11h48

Bien joué Daryl , tout est bien qui recommence bien .
Je reve ou il y a les points que j avais decrit ? Y a rien là ? :-)))
Je regarde ça mieux et je reviens


Ylfwcw979cz1jnx9gfqeaxndiuzk - Eugenol
Algi

06/10/2018 à 11h57


Cool que ça se soit bien passé.

Je voulais te poster un petit morceau feel good pour avant.... On va dire je te l'offre pour la suite....




--
On a toujours le choix mais entre quoi et quoi?
Vas-y boulégue et l'avenir te le dira!


Ylfwcw979cz1jnx9gfqeaxndiuzk - Eugenol
Algi

06/10/2018 à 11h59

Et sinon.... Suis assez d'accord avec l'autre diable....

Avant ça touche partout partout sauf sur 45 46....

Pi y'a aussi la 38... Et la bouse toute noire sur la 47 mais ça tu verras plus tard...


--
On a toujours le choix mais entre quoi et quoi?
Vas-y boulégue et l'avenir te le dira!


Ylfwcw979cz1jnx9gfqeaxndiuzk - Eugenol
Algi

06/10/2018 à 12h00

Deuxième photo c'est tes provisoires ?

Joli travail la miss.


--
On a toujours le choix mais entre quoi et quoi?
Vas-y boulégue et l'avenir te le dira!


Devil wxz6j6 - Eugenol
devil s dare

06/10/2018 à 12h30

l autre diable comme il dit gigial il ferait occluser 46 ;remonter au composite dans un premier temps ;ça mange pas de pain vu qu il faudra intervenir dessus . l aurais fait avant de demonter.....je dirai pas je mange un rat si ça marche pas ......mais presque!


Capture d écran 2018 05 16 à 21.30 - Eugenol
Daryl

06/10/2018 à 12h40

Algi nan c'est que les photos à la mandibule :))) Je n'ai eu qu'une heure pour découper et faire les provisoires car elle est arrivée en retard et devait aller déposer sa fille au poney club !!

Donc c'est 1ère photo du bas avec les full en place et 2ème photo : mandibule sans les full...

Merci pour le son !!


Devil wxz6j6 - Eugenol
devil s dare

06/10/2018 à 12h46

a part ça ....putain le contexte : le retard pour cette raison ! et de l autre cote tu te depouilles a n en plus dormir ! desole pour le langage mais il y a de quoi s en mordre les burnes! bon toi t auras du mal !!!!moi aussi d ailleurs ,suis plus assez souple!


Ylfwcw979cz1jnx9gfqeaxndiuzk - Eugenol
Algi

06/10/2018 à 12h55

Autant pour moi.... Je croyais les coiffes en bas....

En même temps j'ai un putain de rhume et la tête dans le cul....


--
On a toujours le choix mais entre quoi et quoi?
Vas-y boulégue et l'avenir te le dira!


Capture d écran 2018 05 16 à 21.30 - Eugenol
Daryl

06/10/2018 à 12h59

T'inquiètes DEvilllll jsuis trop contente, tout va bien !!! Je déjeune avec un ptit verre de vin blanc et jvais aller faire une bonne sieste avant de sortir ce soir :))))


Dprtmuluo7sk4wxn8aabgsxy7sde - Eugenol
Pervers Pépère

06/10/2018 à 13h27

Daryl écrivait:
-----
>elle est arrivée en retard et devait aller
> déposer sa fille au poney club !!
>

Elle est qd même assez casse c...ta working girl, moi j aurais pas eu ta patience mais bravo.


Utilisateur banni

06/10/2018 à 13h44

Faudrait presque refaire la 36 que t’as rabotée et lui refaire une bonne anatomie :))))
« Je sais pas si vous avez vu madame mais je trouve que votre couronne en bas à gauche est usée. Faudrait la refaire. Et puisque vous m’êtes très sympathique, je vous propose de vous mettre une couronne zircone comme celles qu’il y avait en haut. Je vous propose ce type de couronne car vous aviez l’air d’aimer les étincelles et le feu d’artifice qui se sont produits lorsque j’ai découpé vos couronnes . » :)


Capture d écran 2018 05 16 à 21.30 - Eugenol
Daryl

06/10/2018 à 13h54

Attends Junior : jvais pas me relancer dans un autre problème et pis, jsuis pas une bonne "placeuse"...

Je force jamais sur la prothèse et autres trucs rémunérateurs à faire.. Alors certes, avec le RAC0 à venir, ça va être chaud pour ma ptite gueule mais j'ai d'autres atouts ...:))))


Devil wxz6j6 - Eugenol
devil s dare

06/10/2018 à 14h06

Daryl écrivait:
-----
> T'inquiètes DEvilllll jsuis trop contente, tout va bien !!! Je déjeune avec un
> ptit verre de vin blanc et jvais aller faire une bonne sieste avant de sortir ce
> soir :))))
voila! sage decision !la sieste apres le blanc.......ça peut etre chaud!
quand a la fete du soir :au moins une raison valable pour ne rien dormir! bonne teuf et gaffe au ghb!!!!!!


Vw campersurfvan bmnk1q - Eugenol
enlaye

06/10/2018 à 15h40

Daryl écrivait:
-----
" J'ai répèré une prématurité sur 34 ( j'attends confirmation d'enlaye et consorts !!)………
... elle m'a autorisé à retoucher le pan vestibulaire externe de 34... Je me suis arrêtée là car elle se sentait bien mais ne voulait pas plus ! "


ça ç est pas malin . ç est probablement sa butée anti retrusive .

je ne lime jamais une dent NATURELLE comme ça sauf si elle fait partie d un 1er point d entrée de fermeture cad soit la + devant soit la + derrière . ou sauf si elle est devenue prématurité par un déplacement évident .

@ diablotin : ta remarque est pertinente , mais je toucherais pas la 46 maintenant , d abord pcq cela n est pas forcement la cause de départ , mais surtout je me la garderait en temps que joker , pour finaliser le ttt . elle peut te permettre de rectifier le tir au cas où .


Vw campersurfvan bmnk1q - Eugenol
enlaye

06/10/2018 à 15h48

voilà ce que je ferais au 1 er rdv
d abord les pts rouge puis vert . la taille du point indique l intensité du grattage
38++

Inkedinkedimg 0269 abq6zw li ujqmm3 - Eugenol

mr smith

06/10/2018 à 15h51

Daryl écrivait:
-----
Je n'ai eu qu'une heure pourdécouper et faire les provisoires car elle est arrivée en retard et devait aller
> déposer sa fille au poney club !!

Bon mister daryl c'est pas rincer le poireau hier soir , tu as travaillé un samedi matin de manière execptionnelle et l'autre golden women risquait de rater sa flute clicquot- abricot au Polo parce que arrivée en retard à ton rendez vous . Pincez moi là ;o))))


Devil wxz6j6 - Eugenol
devil s dare

06/10/2018 à 16h48

enlaye écrivait:
>
> @ diablotin : ta remarque est pertinente , mais je toucherais pas la 46
> maintenant , d abord pcq cela n est pas forcement la cause de départ , mais
> surtout je me la garderait en temps que joker , pour finaliser le ttt . elle
> peut te permettre de rectifier le tir au cas où .

pour moi le probleme de depart est le delabrement des molaires avec perte de l occlusion normale. tout a bouge d ou certainement la perte de hauteur initiale dont se plaint daryl et d ou le descellement repetitif qu elle decrit au debut.elle a remonte a gauche et accentue le desequilibre.....comme je disais avant j aurai pas demonte tout d abord parce que c est chiant ;serais intervenu d abord sur le secteur 4; vue l etat de 46 et 47 c est justifie .donc jocker direct ;le jocker il sert aussi a se sortir de la merde non?
domage qu elle ait demonte j aurai bien aime connaitre le resultat si elle avait commence avec le fameux jocker!!! enlaye ; tu es plus fort que moi en occluso ,explique moi ou je fais une erreur ça m intéresse........et puis pourquoi diablotin? j ai eu droit a tout: pauvre diable , l autre diable......mon pseudo est toujours deforme a croire qu il fait peur a tout le monde!!!! ça c etait pour deconner. DD


Ylfwcw979cz1jnx9gfqeaxndiuzk - Eugenol
Algi

06/10/2018 à 17h08

D'un autre côté va lui expliquer à la patiente qui se plaint de 2 coiffes neuves que tu veux en faire 1 ou 2 autres....

Nonobstant refaire un compo sur les 2 ça mangeait pas de pain...

A la décharge de Daryl.... Tu poses 2 coiffes et ça merde.... Logique que tu fasses machine arrière...
C'est facile de se prononcer sur des moulages et d'échafauder des hypothèses...


--
On a toujours le choix mais entre quoi et quoi?
Vas-y boulégue et l'avenir te le dira!


Vw campersurfvan bmnk1q - Eugenol
enlaye

06/10/2018 à 17h26

devil s dare écrivait:
------------
" pour moi le probleme de depart est le delabrement des molaires avec perte de l
occlusion normale. "

oui oui , mais pas tel que tu l entends , il y a une nuance .
le fait du délabrement des molaires , a effectivement induit " une perte d occlusion normale " ,
CE QUI a mis en évidence une occlusion sur la DDS dans le chemin d 'entrée , alors qu elle n était pas faite pour ça au départ . surtout lorsque ç est unilatéral .
est ce que tu vois la nuance Devil ?
une perte d occlusion normale fait partie du cours de la vie , il n y a pas de quoi rater un rancard au poney club :-))))


Vw campersurfvan bmnk1q - Eugenol
enlaye

06/10/2018 à 17h38

devil s dare écrivait:
------------
" enlaye ; tu es plus fort que moi en occluso "


ce n est pas que je suis plus fort comme tu dis , mais ç est que j ai une très très grande expérience de la prothèse globale , et pas que de la mienne , mais de la votre :-))))
j 'explique :
je suis dans un endroit de villégiature de gens friqués qui viennent de chez vous .
ce qui fait qu' avant d'arriver chez moi , ,ils sont tous passé chez vous , et comme ils sont largement solvables , vous vous êtes bien régalés ! une goinfrade :-)))
ce qui fait que ne je vis que de l entretient de vos prothèses jusqu à leur mort .


Devil wxz6j6 - Eugenol
devil s dare

06/10/2018 à 17h42

algi ,je ne critique pas ce qu elle fait , ce n est pas dans mes habitudes! mais je lis attentivement ce qu elle dit; ça merdait AVANT :le descellement repetitif,le manque de hauteur, et la ccm sur la 7 avec la face occusale demolie !tout etait equilibre de travers avant et tout s est compense; me suis fait avoir un certain nombre de fois avec ça.....l exercice actuel ne favorise pas la vision globale du cas.....
j ai dis ça au vue des photos et elle avait deja demonte ;je ne suis pas certain mais je pense sincerement qu en retablissant l occlusion sur 46 et 47 sans rien demonter c etait termine;mais de toute façon comme les faces occlusales de ses couronnes etaient devenues des patinoires a steak a force de limer c est bien d en refaire des jolies mais faut voir aussi 46 et 47 autrement elle va tourner en rond.vais voir si enlaye dit que je suis completement con ou pas......relis mes messages ;je ne dirai pas je mange un rat si ça marche pas ...mais presque!


Devil wxz6j6 - Eugenol
devil s dare

06/10/2018 à 19h01

enlaye écrivait:
------
> CE QUI a mis en évidence une occlusion sur la DDS dans le chemin d 'entrée ,
> alors qu elle n était pas faite pour ça au départ . surtout lorsque ç est
> unilatéral .
> est ce que tu vois la nuance Devil ?

putain la je coule a pic!!!! si tu veux essayer de m expliquer je suis preneur.
donc ,ce que je voulais faire c etait une connerie? alors je l ai deja faite celle la!!!


1...789...