Cookie Consent byPrivacyPolicies.combesoin de conseils pour provisoires facettes - Eugenol
Vw campersurfvan bmnk1q - Eugenol
enlaye

05/10/2018 à 13h21

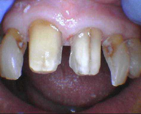
apres avoir lui avoir reglé la parafonction , , cette pré-mamie me demande de faire quelque chose pour ses fêlures pas jolies .
elle m'a pris pour le Dr Lustucru , ou quoi ? .

si je lui fais 2 facettes , comment gerer le prov ????
des idées sur la forme de préparation ?

 mg 1469 fwvveh - Eugenol
 mg 1546 jshnsa - Eugenol
 mg 1471 n8pca0 - Eugenol
 mg 1470 e3uk6r - Eugenol

2 n2dlt7 - Eugenol
2+2®

05/10/2018 à 13h36

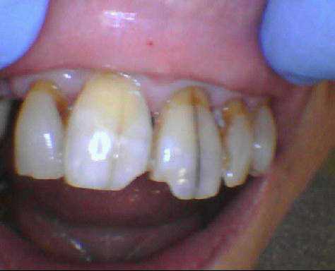
Et popurquoi pas 4 facettes? la 12 n'est pas nickel non plus, ça sera plus facile pour gérer l'esthetique, non?


Fond net de dent 1270 86 cyav5h - Eugenol
Dr_EG

05/10/2018 à 13h41

Provisoires jumelées en résine par automoulage en silicone en bouche ou sur wax-up si tu veux modifier les formes + collage temporaire avec une gouttede compo fluide (tu pourras les décoller à l'arrache couronne)
je te dis ça mais j'aime pas les facettes ...


--
Consultation en ligne sur la future convention : participez, anonymement, sur https://goo.gl/forms/leLn6bdBorFoAC3t2

Suite à l'échec des négociations conventionnelles et la mise en place d'un règlement arbitral, seriez-vous prêt à suivre la promotion d'un déconventionnement massif de la profession par les syndicats représentatifs ? OUI - NON
Participez, anonymement, sur https://goo.gl/forms/nAO0htnsVmxotjYm1

Calculez votre impact financier du règlement arbitral sur : https://docs.google.com/spreadsheets/d/1TI0-w878rn7kdnDafB5qWfq-4RWbKjeESZWv9TC0t80/edit?usp=sharing


Vw campersurfvan bmnk1q - Eugenol
enlaye

05/10/2018 à 13h53

ah ouais !
et si je tailles le retour du bord libre , la difference d epaisseur ne va pas me donner des différences de rendu de teintes ?
avec le diasteme il va falloir rentrer bien en proxy , bien tailler le bord libre et donc retour pour mes reglages ,
je dis des conneries ou action !


Vw campersurfvan bmnk1q - Eugenol
enlaye

05/10/2018 à 14h00

2+2® écrivait:
----
" Et popurquoi pas 4 facettes? la 12 n'est pas nickel non plus, ça sera plus facile pour gérer l'esthetique, non? "

ç est ce que je lui ai dit . mais son compo pipé , je lui avait fait il y a des années et elle l aime et elle veut le garder . vas comprendre .
je crois que ç est moi qu elle aime :-)))


Vw campersurfvan bmnk1q - Eugenol
enlaye

05/10/2018 à 14h02

ç est moi qu ai trop parlé , j avais dit facette , comme ça , histoire de faire l homme moderne , mais suis une quiche en facette


Fond net de dent 1270 86 cyav5h - Eugenol
Dr_EG

05/10/2018 à 14h32

il est pas si pipé que ça ton compo ... tu peux aussi lui faire les mêmes au niveau des fêlures en les biseautant, ça peut être une solution d'attente ... et si ça foire : facettes ...
En cas, le retour P, je l'arrêterais avant ton réglage car sinon, il va se retrouver pile dessus, non ? mais je suis aussi quiche que toi ... par contre le coup des prov, ça, c'est approved.


--
Consultation en ligne sur la future convention : participez, anonymement, sur https://goo.gl/forms/leLn6bdBorFoAC3t2

Suite à l'échec des négociations conventionnelles et la mise en place d'un règlement arbitral, seriez-vous prêt à suivre la promotion d'un déconventionnement massif de la profession par les syndicats représentatifs ? OUI - NON
Participez, anonymement, sur https://goo.gl/forms/nAO0htnsVmxotjYm1

Calculez votre impact financier du règlement arbitral sur : https://docs.google.com/spreadsheets/d/1TI0-w878rn7kdnDafB5qWfq-4RWbKjeESZWv9TC0t80/edit?usp=sharing


Vw campersurfvan bmnk1q - Eugenol
enlaye

05/10/2018 à 14h46

ahrfffff , je le sens pas ce coup . il a raison 2+2


Dprtmuluo7sk4wxn8aabgsxy7sde - Eugenol
Pervers Pépère

05/10/2018 à 14h49

J'ai eu un cas comme ça pour une mamie de 86 ans qui voulait se faire pécho par le père Noël.

Pour les prov, j'ai fait comme Dr_EG a dit.

Les tofs sont pas terribles et le rendu final est mieux mais bon suis pas photographe non plus, à peine dentiste.

1 w2iier - Eugenol
2 prkykl - Eugenol
3 tybuqs - Eugenol

Vw campersurfvan bmnk1q - Eugenol
enlaye

05/10/2018 à 15h04

on est donc deja 3 quiches .
mais ç est une boulangerie ce nonol


2 n2dlt7 - Eugenol
2+2®

05/10/2018 à 15h04

Fais les 4 et corrige les diastemes 22-23 par la même occasion


Fond net de dent 1270 86 cyav5h - Eugenol
Dr_EG

05/10/2018 à 15h08

Pervers Pépère écrivait:
--------------
> J'ai eu un cas comme ça pour une mamie de 86 ans qui voulait se faire pécho par
> le père Noël.
>
> Pour les prov, j'ai fait comme Dr_EG a dit.
>
> Les tofs sont pas terribles et le rendu final est mieux mais bon suis pas
> photographe non plus, à peine dentiste.

C'est pour ça que j'aime pas les facettes parce qu'avec les matériaux d'aujourd'hui, si la rétraction de la chambre pulpaire est proportionnelle à son age, t'aurais pu passer en couronne complète sur dent vivante et là pas de risque de descellement

--
Consultation en ligne sur la future convention : participez, anonymement, sur https://goo.gl/forms/leLn6bdBorFoAC3t2

Suite à l'échec des négociations conventionnelles et la mise en place d'un règlement arbitral, seriez-vous prêt à suivre la promotion d'un déconventionnement massif de la profession par les syndicats représentatifs ? OUI - NON
Participez, anonymement, sur https://goo.gl/forms/nAO0htnsVmxotjYm1

Calculez votre impact financier du règlement arbitral sur : https://docs.google.com/spreadsheets/d/1TI0-w878rn7kdnDafB5qWfq-4RWbKjeESZWv9TC0t80/edit?usp=sharing


Dprtmuluo7sk4wxn8aabgsxy7sde - Eugenol
Pervers Pépère

05/10/2018 à 15h23

Bah c'est quasiment des couronnes 3/4 en fait.


Vw campersurfvan bmnk1q - Eugenol
enlaye

05/10/2018 à 15h44

je vais faire 25 % gratos pour le quart qui manque :-) aller hop 4 couronnes ?


6szjws718sv1jksw54v4mpj3a6cu - Eugenol
vulpi

05/10/2018 à 15h46

Bin npc pour npc prends le plus simple;-))


Vw campersurfvan bmnk1q - Eugenol
enlaye

05/10/2018 à 15h50

rhooo les boulangers , y veulent que je rajoutes 1 quatre quart , y a rien là ? :-))


Ylfwcw979cz1jnx9gfqeaxndiuzk - Eugenol
Algi

05/10/2018 à 15h51

Je crois j'ai jamais fait de facettes....

Quiche too...


--
On a toujours le choix mais entre quoi et quoi?
Vas-y boulégue et l'avenir te le dira!


Ylfwcw979cz1jnx9gfqeaxndiuzk - Eugenol
Algi

05/10/2018 à 15h52

Quoi que... Si mais en composite....

Ça compte ?


--
On a toujours le choix mais entre quoi et quoi?
Vas-y boulégue et l'avenir te le dira!


Ylfwcw979cz1jnx9gfqeaxndiuzk - Eugenol
Algi

05/10/2018 à 15h52

Cet été, 31 lingualee.... Quasi pas de taille, pas de provisoire.

Le labo me livre un truc joli.... Je le colle.... C'était un try in esthétique en composite....

La patient est partie avec, si ça merde on refera gratis lui ai dit.


--
On a toujours le choix mais entre quoi et quoi?
Vas-y boulégue et l'avenir te le dira!


Dprtmuluo7sk4wxn8aabgsxy7sde - Eugenol
Pervers Pépère

05/10/2018 à 16h01

Bon les gars, y a rien là ?
(fait en 2012)

Alors, c'est pas de la déquichisation ça ?

5730 01 lipfsu - Eugenol
5730 08 o6g7gb - Eugenol
5730 09 vebmym - Eugenol
5730 10 mkjwpp - Eugenol

6szjws718sv1jksw54v4mpj3a6cu - Eugenol
vulpi

05/10/2018 à 16h04

un piège à loup pareil, j'y mets pas ma b... (c'est vendredi....) En plus y a pas la place!-)))))))))


Dprtmuluo7sk4wxn8aabgsxy7sde - Eugenol
Pervers Pépère

05/10/2018 à 16h08

Ai oublié la tof des tailles, pour pas qu'on dise que c'est pas moi qui l'ai fait.

5730 04 w84jcl - Eugenol

6szjws718sv1jksw54v4mpj3a6cu - Eugenol
vulpi

05/10/2018 à 16h12

c'est bizarre de rien faire en bas:-)))) surtout une fois (presque) bien en haut.


Dprtmuluo7sk4wxn8aabgsxy7sde - Eugenol
Pervers Pépère

05/10/2018 à 16h18

Ben elle voulait pas d'ortho et faire que le haut et merci pour le presque, enfoiré ;-)


6szjws718sv1jksw54v4mpj3a6cu - Eugenol
vulpi

05/10/2018 à 16h21

Nan mais c'était pas facile!-))) Bravo!


12