Cookie Consent byPrivacyPolicies.combesoin de conseils pour provisoires facettes - Eugenol
Vw campersurfvan bmnk1q - Eugenol
enlaye

05/10/2018 à 16h37

Pervers Pépère écrivait:
--------------
" Bon les gars, y a rien là ? "

respects


Capture d écran 2018 05 16 à 21.30 - Eugenol
Daryl

05/10/2018 à 16h57

T'es trop fort Perverssss !!!

Du coup, pour ta question en MP concernant tu sais la mairie, les alliances, la robe etc etc ... La réponse est Yesss man !!!


Ylfwcw979cz1jnx9gfqeaxndiuzk - Eugenol
Algi

05/10/2018 à 17h13


C'est quoi ces Mp là ?
Daryl veut se marier ?

Déjà demain elle est pas libre, elle a dépose de zircone....

Tente les confettis.... Sans déc...

En plus les confetti ça fait fête et c'est moins casse gueule que les grains de riz....

--
On a toujours le choix mais entre quoi et quoi?
Vas-y boulégue et l'avenir te le dira!


Dprtmuluo7sk4wxn8aabgsxy7sde - Eugenol
Pervers Pépère

05/10/2018 à 17h31

Algi écrivait:
----
>
> C'est quoi ces Mp là ?
> Daryl veut se marier ?

JALOUX !


Capture d écran 2018 05 16 à 21.30 - Eugenol
Daryl

05/10/2018 à 17h36

Algi écrivait:
----
>
> C'est quoi ces Mp là ?
> Daryl veut se marier ?
>
> Déjà demain elle est pas libre, elle a dépose de zircone....
>

Ah ouais c'est vrai !!!! Comment j'ai fait pour oublier ??? Le charme zitalien sans doute !!!


mog

06/10/2018 à 10h17

la gestion des provisoires par automoulage et scellement "débordant" ,les excés de matériau font friction
pour la semaine entre les 2 rdv


--
,

076 mcaebn - Eugenol
079 irvm41 - Eugenol
083 pc7wk6 - Eugenol
086 ydok8z - Eugenol

mog

06/10/2018 à 10h29




--
,


6szjws718sv1jksw54v4mpj3a6cu - Eugenol
vulpi

06/10/2018 à 10h34

mog écrivait:
---
> la gestion des provisoires par automoulage et scellement "débordant" ,les excés
> de matériau font friction
> pour la semaine entre les 2 rdv
>
je plussois, ainsi tu ne dénatures pas ta future surface de collage avec des résidus de compo fluide.


Vw campersurfvan bmnk1q - Eugenol
enlaye

11/10/2018 à 19h38

Dr_EG écrivait:
-----
" il est pas si pipé que ça ton compo ... tu peux aussi lui faire les mêmes au niveau des fêlures en les biseautant, ça peut être une solution d'attente ... et si ça foire : facettes ... "

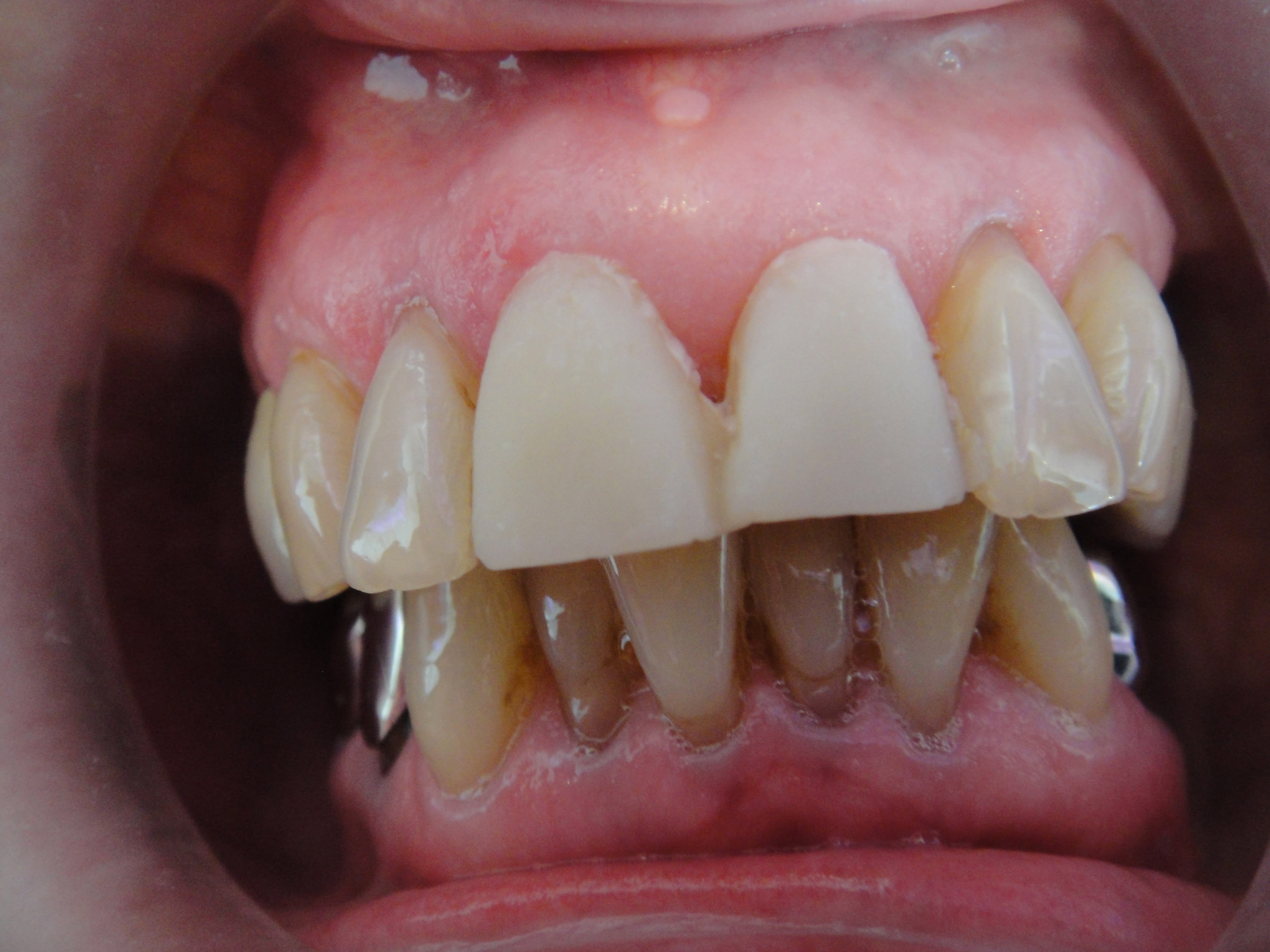
bon eh bien je t ai écouté .
je lui ai dit :
"2+2 vous le connaissez ?"
"" 4 ? ""
"exactement ç est 4 ou rien , en attendant on va faire un truc , asseyez vous là "

Azert z6n2ut - Eugenol

Capture d écran 2018 05 16 à 21.30 - Eugenol
Daryl

11/10/2018 à 20h08

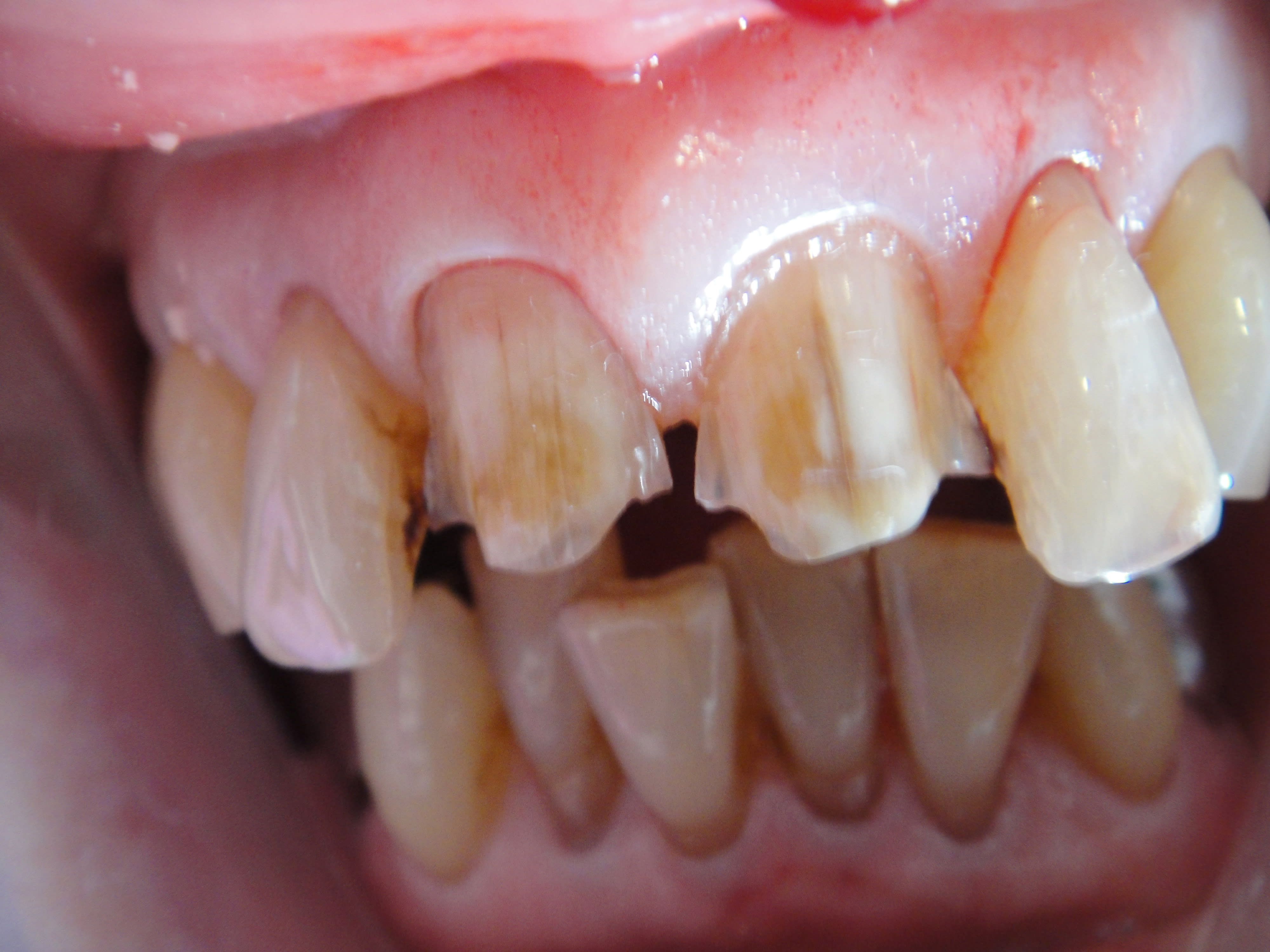
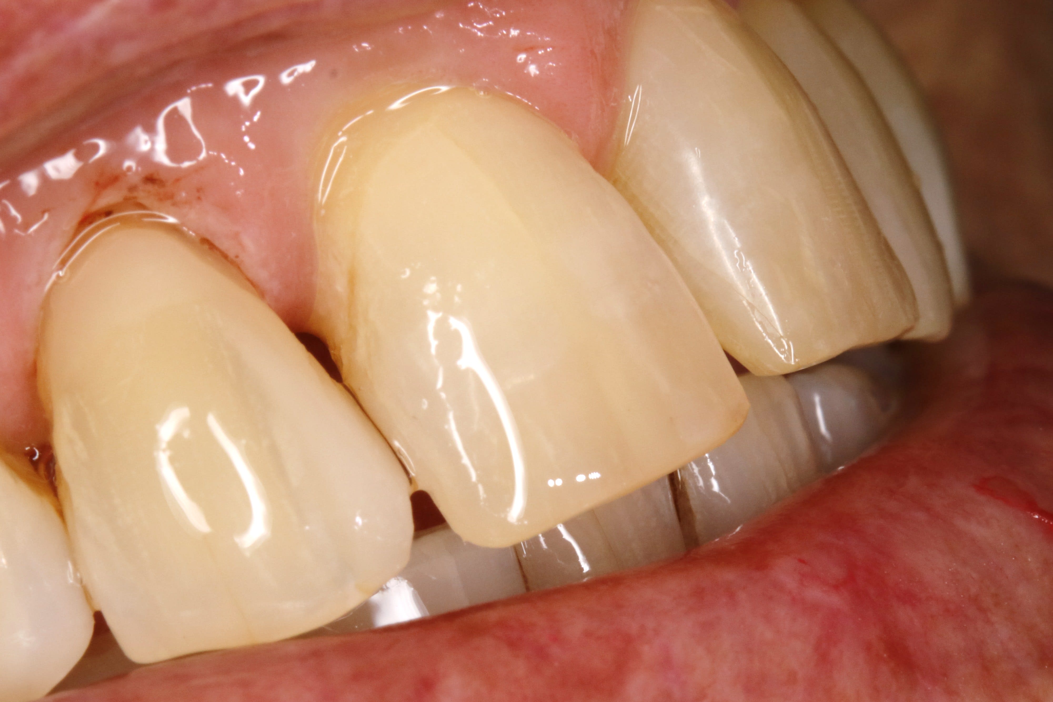
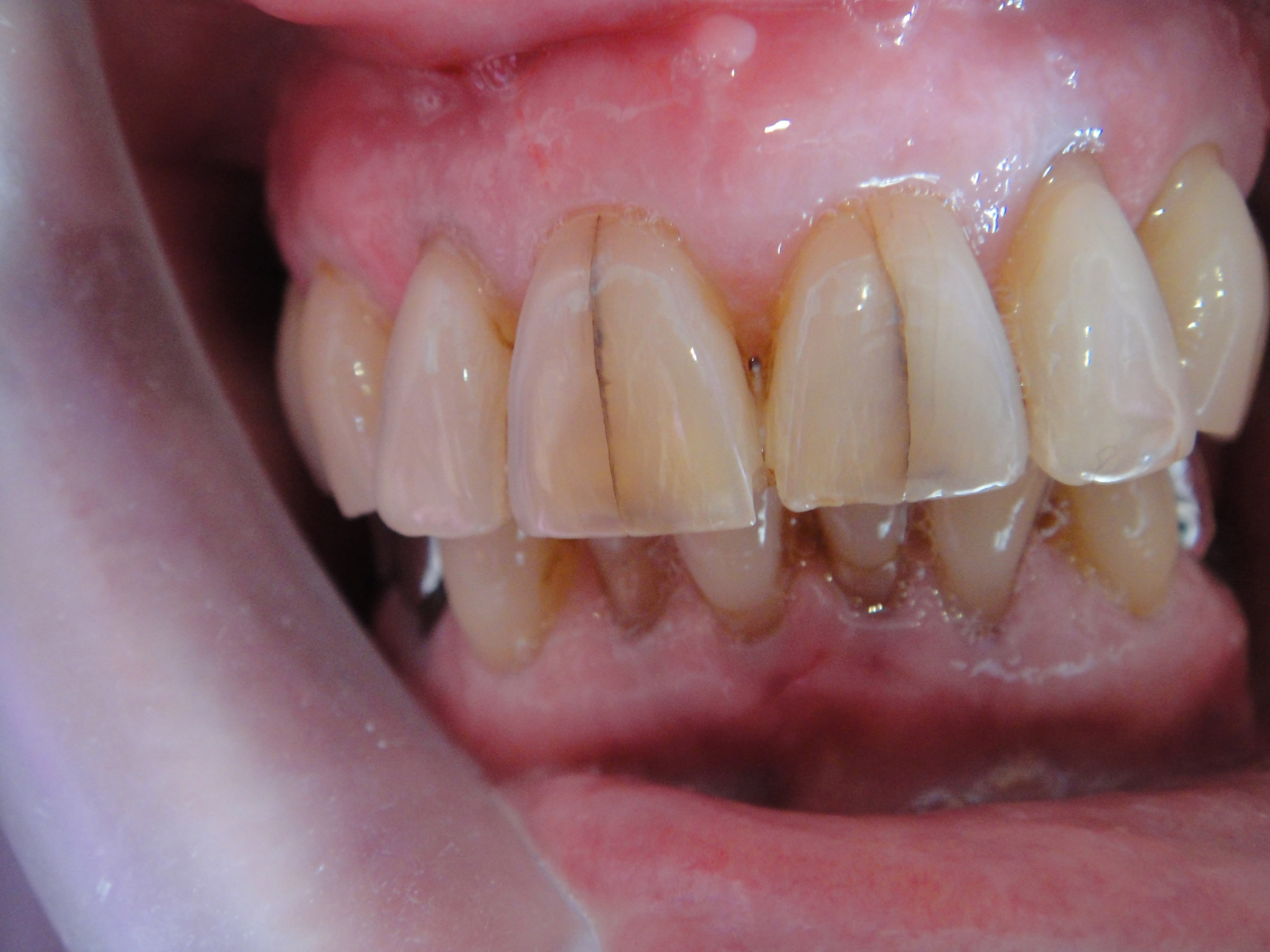
C'est très joliiiiiiiiiii, enlaye !!! Elle n'a plus besoin de facettes ta pré mamie !!!


Dprtmuluo7sk4wxn8aabgsxy7sde - Eugenol
Pervers Pépère

11/10/2018 à 20h27

C'est vrai que c'est très zouli mais c'est 41 par dent et la pré mamie ne va t'elle pas vouloir en rester là ?

T'ain enlaye tu seras jamais riche, t'es varois mais des quartiers nord du Var ;-))


Capture d écran 2018 05 16 à 21.30 - Eugenol
Daryl

11/10/2018 à 20h42

C'est pas plutôt composite 1 face cette affaire là ?????


Dprtmuluo7sk4wxn8aabgsxy7sde - Eugenol
Pervers Pépère

11/10/2018 à 20h45

Bah maladroit comme il est, il aura débordé sur les faces proximales.


Capture d écran 2018 05 16 à 21.30 - Eugenol
Daryl

11/10/2018 à 21h06

:)))


Vw campersurfvan bmnk1q - Eugenol
enlaye

11/10/2018 à 23h12

Pervers Pépère écrivait:
--------------
" C'est vrai que c'est très zouli mais c'est 41 par dent et la pré mamie ne va t'elle pas vouloir en rester là ?
T'ain enlaye tu seras jamais riche, t'es varois mais des quartiers nord du Var ;-)) "

figures toi , que la femme l a mal pris .
elle me demande combien , alors j y dit 77 . oui pcq je suis pas un homme d argent , alors je dis tjs 77 , ç est mon chiffre fétiche . j ai 2 chiffres comme ça ç est 77 et 2500 . mais 2500 ça n a rien de porte bonheur hein ,,ç est mon loyer du cab , ç est réservé à la mobile :-)


" 77 ? ? ? "
* putain je sens l embrouille je rectifie a la seconde ,
"" 77 heuuu par dent ""
" mais j avais bien compris , sic , mais à ce prix là , ça va tenir ? "
* re rectification
"" oui mais en plus du prix secu qui est de 20e je crois ""
* ce qui n était pas prévu , bien sur :-)
" raison de plus il y a trop d écart avec les facettes , 4 vous avez dit ? "


Vw campersurfvan bmnk1q - Eugenol
enlaye

12/10/2018 à 07h37

il y a quand meme 1 truc que je n ai pas compris dans l 'intérêt des facettes pour les cas de dents fendues comme ça .
si les dents sont fendues , ç est qu il y a de fortes contraintes occlusales par derrière ,non ?
donc il faut aussi retoucher la face palatine , et pas forcement à l endroit des points de contact , mais aux points de serrements parafonctionnels , et aux bords libres .
dès que l on enleve 'email de devant et que l on passe l' arrondi des faces proxymales , on supprime l effet de raideur du tube ,
tourne et vire on ne se rapproche pas de la couronne ?


Generique fraisage r2rxmm - Eugenol
lardonbis

12/10/2018 à 08h37

enlaye écrivait:
------

> tourne et vire on ne se rapproche pas de la couronne ?

tant que tu touche pas au cingulum l'honneur est sauf, t'es dans le 21eme siècle.
ou alors une facette devant et une derrière, faudrait pas mutiler avec une ccm !


doc.yoyo

12/10/2018 à 08h44

Et une belle zircone tout simplement ??


Vw campersurfvan bmnk1q - Eugenol
enlaye

12/10/2018 à 09h18

tu veux te faire dépecer , toi :-)
à la limite tu aurais dit emax , bon ,tu aurais peut etre eu l indulgence de tous les encoleurs , mais là tu risques gros :-)


6szjws718sv1jksw54v4mpj3a6cu - Eugenol
vulpi

12/10/2018 à 09h44

lardonbis écrivait:
---------
> enlaye écrivait:
> ------
>
> > tourne et vire on ne se rapproche pas de la couronne ?
>
> tant que tu touche pas au cingulum l'honneur est sauf, t'es dans le 21eme
> siècle.
> ou alors une facette devant et une derrière, faudrait pas mutiler avec une ccm !

C'est tellement ça!-)) en plus deux fois la culbute:-))))


12