Cookie Consent byPrivacyPolicies.comEmpreinte optique ? - Eugenol

Empreinte optique ?

dentilove

05/10/2018 à 16h14

Bonjour,

y'a t-il vraiment un intérêt à passer à l’empreinte optique ?

J'ai l'impression que je vais m'équiper juste pour ne pas être à coté de la plaque et pour ne pas passer à coté de çà vu qu' on nous en parle énormément et partout...

J'ai 37 ans avec un activité implanto et omnipratique..

Merci de vos avis!


1309531 ours brun n5iukf - Eugenol
seespan

05/10/2018 à 16h27

Il est vraiment impayable ce junior, il à était jusqu'a créer un pseudo en 2010 juste pour pouvoir lancer se sujet.

Junior là t'es quand même lourd, on vient juste d'avoir 20 à 30 page de post/baston sur le sujet, c'est un peut tôt pour relancer le sujet non ?



--
หมอจัดฟัน


rat

05/10/2018 à 17h10

et si c' était pas junior mais une vraie question je répondrais qu'ultim3d plus efficace que la prusat


Hok 1b hgd3rj - Eugenol
Hokusai

05/10/2018 à 17h31

Je me demande si on peut comparer le passage de l empreinte physique a l empreinte optique et le passage de la radio argentique a la rvg.
Dans 5 ans on est tous equipe.
Je vais bientot essayer la medit i500.


Utilisateur banni

05/10/2018 à 23h44

seespan écrivait:
-------
> Il est vraiment impayable ce junior, il à était jusqu'a créer un pseudo en 2010
> juste pour pouvoir lancer se sujet.
>
> Junior là t'es quand même lourd, on vient juste d'avoir 20 à 30 page de
> post/baston sur le sujet, c'est un peut tôt pour relancer le sujet non ?

Je ne peux pas être à l’origine de tous les sujets quand même. ;)


Capture d  cran 2015 03 12 12.28 - Eugenol
chicot29

05/10/2018 à 23h48


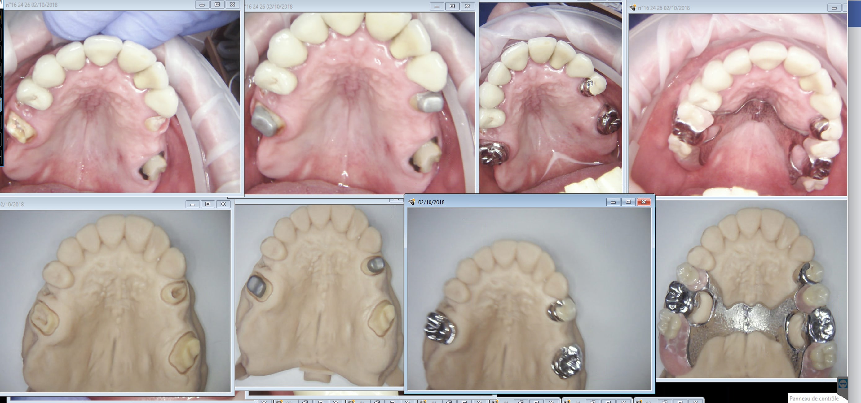
Il y a un avant et un après. IC coiffe stellite one shot.


--
En cas d'échec des négociations conventionnelles, seriez-vous prêt à suivre la promotion d'un déconventionnement massif de la profession par les syndicats représentatifs ? OUI - NON
Participez, anonymement, sur https://goo.gl/forms/nAO0htnsVmxotjYm1

Capture d écran 2018 10 02 19.37 - Eugenol

Capture d  cran 2015 03 12 12.28 - Eugenol
chicot29

05/10/2018 à 23h50


Le bas aussi. Sans bases d'occlusion une seule empreinte. Finition directe.


--
En cas d'échec des négociations conventionnelles, seriez-vous prêt à suivre la promotion d'un déconventionnement massif de la profession par les syndicats représentatifs ? OUI - NON
Participez, anonymement, sur https://goo.gl/forms/nAO0htnsVmxotjYm1

Capture d écran 2018 10 02 18.47 - Eugenol

Capture d  cran 2015 03 12 12.28 - Eugenol
chicot29

05/10/2018 à 23h51


Enfin 2. -)))


--
En cas d'échec des négociations conventionnelles, seriez-vous prêt à suivre la promotion d'un déconventionnement massif de la profession par les syndicats représentatifs ? OUI - NON
Participez, anonymement, sur https://goo.gl/forms/nAO0htnsVmxotjYm1

Capture d écran 2018 10 02 20.36 - Eugenol

Hok 1b hgd3rj - Eugenol
Hokusai

06/10/2018 à 00h22

Tu peux faire la meme chose en physique avec mordu silicone qui sera scanné et servira a matcher les arcades.


Capture d  cran 2015 03 12 12.28 - Eugenol
chicot29

06/10/2018 à 00h32

Oui oui pas mal de silicones à sortir, d'emballage de feuille labo à remplir. Le truc c'est que l'empreinte optique initiale je l'avais fait avant et je n'ai eu qu'à prendre l'empreinte des préparations et ca ca prend 20 secondes. . Et c'est pareil avec les implants. Empreinte des provisoires quand tu veux puis dépose des provisoires empreinte du profil d'émergence des scan bodies terminé. Bon là il m'a raté un RDV c'et pour ca que j'ai extrait les dents à la pose mais il aurait suffit d'effacer ces dents et de reprendre l'empreinte uniquement de la muqueuse. Tu as une souplesse d'utilisation qui va te foutre les silicones au placard comme les films argentiques l'ont été avant avec les capteurs numériques. On a d'ailleurs les memes arguments d'arrière garde utilisés à l'époque genre c'est moins net, moins précis tout ça tout ça. On a vu ce que ça a donné.


--
En cas d'échec des négociations conventionnelles, seriez-vous prêt à suivre la promotion d'un déconventionnement massif de la profession par les syndicats représentatifs ? OUI - NON
Participez, anonymement, sur https://goo.gl/forms/nAO0htnsVmxotjYm1


Capture d  cran 2015 03 12 12.28 - Eugenol
chicot29

06/10/2018 à 00h37

Tu fais l'empreinte en solo. Pas besoin d'une assistante. Pas de stress de temps de prise pas de bulle de tirage etc etc....


--
En cas d'échec des négociations conventionnelles, seriez-vous prêt à suivre la promotion d'un déconventionnement massif de la profession par les syndicats représentatifs ? OUI - NON
Participez, anonymement, sur https://goo.gl/forms/nAO0htnsVmxotjYm1


Photo pluton1b h9n4ea - Eugenol
pluton

06/10/2018 à 00h38

et bien moi je vais essayer la dental wings mi novembre...

mais je suis très indécis...parce que ta 3 shape noir et blanc chicot29, elle me fait aussi les yeux doux...


Capture d  cran 2015 03 12 12.28 - Eugenol
chicot29

06/10/2018 à 00h41

Avec l'habitude Tu ne regardes meme plus ce que tu fais à l'écran. Tu la ballades au bruit de l'acquisition. Et une fois terminé tu bouches les rares manques si nécessaire. En prothèse sur implants c'est une tuerie. Je vais meme plus m'emmerder avec ça je vais demander à, mon assistante de les faire tellement c'est simple. -)))


--
En cas d'échec des négociations conventionnelles, seriez-vous prêt à suivre la promotion d'un déconventionnement massif de la profession par les syndicats représentatifs ? OUI - NON
Participez, anonymement, sur https://goo.gl/forms/nAO0htnsVmxotjYm1


Capture d  cran 2015 03 12 12.28 - Eugenol
chicot29

06/10/2018 à 00h45

Dental wings -3 shape leader des scanners de labo. Bon choix.


--
En cas d'échec des négociations conventionnelles, seriez-vous prêt à suivre la promotion d'un déconventionnement massif de la profession par les syndicats représentatifs ? OUI - NON
Participez, anonymement, sur https://goo.gl/forms/nAO0htnsVmxotjYm1


1309531 ours brun n5iukf - Eugenol
seespan

06/10/2018 à 02h59

Dental wing pour l'ortho c'est nul.
Il faut minimum 15 20 minutes pour un scan complet.
Les dentistes de mon hosto qui ont fait un stage d'entrainement a Shenzhen m'ont dit que le prof prenait trois minutes par arcade. Donc pour l'instant tu ne peut pas descendre à moins de 8 minutes je dirais.
Trop long pour de l'ortho.

Ils doivent mettre au point une amélioration logiciel mais j'attend de voir.

Pour ce que je vois c'est un très bon scan pour la prothèse surtout avec le coté complètement open. Très bon pour nous car on fait énormément de prothèse, mais pour un dentiste qui ne fait pas le labo pas sure que ça soit si avantageux.


--
หมอจัดฟัน


Images 1 qtgoxf - Eugenol
ciwil

06/10/2018 à 08h00

chicot29 écrivait:
--------
Je vais meme
> plus m'emmerder avec ça je vais demander à, mon assistante de les faire
> tellement c'est simple. -)))

y'a des CDO qui ne l'autorisent pas et te font des emmerdes, renseigne-toi sur le tien


1309531 ours brun n5iukf - Eugenol
seespan

06/10/2018 à 08h19

La prise d'empreinte est un acte médicale en France comme au US.
Donc oui ça dépend si le CDO ferme les yeux ou pas. Ils ne peuvent pas l'autorisé car dans les textes c'est interdit.


--
หมอจัดฟัน


Photo pluton1b h9n4ea - Eugenol
pluton

06/10/2018 à 09h14

seespan écrivait:
-------
> Dental wing pour l'ortho c'est nul.
> Il faut minimum 15 20 minutes pour un scan complet.

pour l'ortho, de ce que j'ai compris, il y a Itero.....et les autres...
avec l'Itero, tu peux faire de l'invisalign, c'est prévu pour (accord entre les 2 marques)
le côté totalement open du dental wings me plaît...mais j'ai un peu peur sur ses possibilités exactes et vitesse de capture
bon la vitesse c'est pas le problème n°1...mais si le dental wings ne permet pas de faire les stellites comme le fait chicot29, çà sera non...donc à voir lors de la présentation/démo
sinon, la 3 shape en monochrome sera certainement mon choix...vu ce que chicot29 nous montre...c'est exactement ce que j'attends d'un système d'empreinte optique...


Images 1 qtgoxf - Eugenol
ciwil

06/10/2018 à 09h26

iTero et Invisalign appartiennent à Aligntech, c'est un système fermé, et qui dit aligneur ne pense pas obligatoirement Invisalign :)
il faut pouvoir exporter les fichiers stl sans contrainte financière ou technique.
par contre renseigne toi auprès du labo à qui tu envoies tes empreintes pour savoir si la couleur lui facilite bcp la tâche ou s'il s'en fout


1309531 ours brun n5iukf - Eugenol
seespan

06/10/2018 à 09h26

Pour l'instant je tourne avec un scanner à plâtre.
Prendre une empreinte alignate ça prend 2 minutes et c'est envoyé direct au labo 4 étage au dessus qui me fait le scan/segmentation/envoie boite mail.

Je ne bosse pas avec invisalign et c'est pas leur politique niveau scanner intra oral qui me fera changer d'avis.
Pour des traitement par aligner tu as d'autre boite qui marche aussi bien si tu sais ce que tu fais, le truc marrant c'est qu'elles acceptent tout les scans.


--
หมอจัดฟัน


dentilove

06/10/2018 à 09h38

Merci de vos réponses. J'ai l'impression que vous êtes plutôt à dire qu'il faut sauter le pas.
J'ai un copain qui m'a dit que la caméra de carestream était pas mal et un autre content avec celle de biotech..
On verra bien..


Casque beotien a3jo39 - Eugenol
beotien

06/10/2018 à 09h48

je ne fais pas d'ortho mais je trouve que peut etre ceci est la solution la moins chère
C'est avec blender

Cas pnvarr - Eugenol

1309531 ours brun n5iukf - Eugenol
seespan

06/10/2018 à 10h13

beotien écrivait:
-------
> je ne fais pas d'ortho mais je trouve que peut etre ceci est la solution la
> moins chère
> C'est avec blender

Non c'est la solution la plus chère. Vue le temps que tu vas passer pour faire quoi que se soit avec ça et le cout horaire d'un dentiste ça va te couter une blinde.

--
หมอจัดฟัน


Icon poker h4nm2d - Eugenol
jeff

06/10/2018 à 10h20

dentilove écrivait:
---------

> J'ai un copain content avec celle de biotech..

Sans déconner !!!! c'est possible ?
Cela sera surement pour moi la medit, mais j'attends quand meme la sortie de la shinning.



Casque beotien a3jo39 - Eugenol
beotien

06/10/2018 à 10h39

Seespan, tu as sans doute raison, mais je ne vois pas pourquoi
tu as le haut et le bas en stl matchés par le cone beam
je sais que Patrick a développé la partie ortho dans le logiciel mais aucune idée du temps qu'il met pour déplacer les dents les unes / aux autres.
J'ai juste fait un export stl d'un cas de mes associés ortho

Cas1 k4crvl - Eugenol

12...