Cookie Consent byPrivacyPolicies.comcontacts proximaux usés prothèse sur implant et dents - Eugenol

contacts proximaux usés prothèse sur implant et dents adjacentes

Vw campersurfvan bmnk1q - Eugenol
enlaye

13/11/2018 à 09h22

junior® écrivait:
-------
" Les orthos ce sont tous des cons :))))) car ils ont pris le pouvoir à Marseille. Ils ont pris la confiance
et ils se croient tout permis. "

faut pas dire çaaaaa , eh peuchere d eux , ils faut dire aussi qu' ils ont souffert .
quand tu etais broque ou avec 2 mains gauches , ou autre tare , hop on t envoyait au 2 eme etage en haut d un tout petit escalier . ç etait la punition .
on les a parqué , cachés et on leur a dit : toi t es une vilaine , comme tu sais rien faire , fais nous une protection canine et pis ç est tout . " mais pourquoi faire ?? " "" t'a gueule , ç est moi qui sait "" comme dirait Lardon :-))
alors a force ils se sont organisés , se sont mis a tordre du fil de fer, mais comme ils etaient gauches il faisaient des arcs tout plats . en meme temps ,sur un axe ç etait plus facile pour avancer ou reculer les dents ,
alors ils ont reussi a se la faire la , protection canine .
enfin , ils ont surtout reussi à se proteger eux .
j usqu au jour ou ils ont dit : et mon vier madame Olivier y en a marre , on veut plus se cacher au 2eme etage . :-)))
et voilà d ou vient le nivellement :-)))))
bon , j exagere un peu , hein comme d ab :-)


Dprtmuluo7sk4wxn8aabgsxy7sde - Eugenol
Pervers Pépère

13/11/2018 à 09h31

enlaye écrivait:
------

> quand tu etais broque ou avec 2 mains gauches , ou autre tare , hop on t
> envoyait au 2 eme etage en haut d un tout petit escalier . ç etait la punition .
> alors a force ils se sont organisés .

Oh fada, tu confonds, là où tu dis, c'est là où j'allais, fumer la clope et buller au labo chez Gégé. Bon daccord pour broque et 2 mains gauches, j'avais bon.

Après l'ortho peux pas dire où c'était, j'y allais jamais.


Margaux motin 01 vv0jbs - Eugenol
Chafia*

13/11/2018 à 20h37

enlaye écrivait:
------
> Chafia* écrivait:
> -------
> " 4 - contrôler qu'on aura des contacts anti mésialisation : c'est ça le moins
> évident "
>
>
> les pans en regard de l implant tu les soulages , et tu favorises les autres .
> en gros , si l implant est en 7 , tu équilibres la 6 en propulsion dents
> serrées comme tu le ferais si la 7 n existait pas .
En lui demandant de "mastiquer " ou de propulser?


Vw campersurfvan bmnk1q - Eugenol
enlaye

13/11/2018 à 23h36

bof , bien je fais comme tout le monde , enfin je crois .

mais ce n est pas que je lui demande de faire un mvt special avec du papier et que je lime (ou pas ) en fonction de ce mvt .

ç est d abord :
- je regarde les incisives du bas du coté opposé à la 6 ( s il y a une parafonction ou pas )
- l interrogatoire ( si ça touche d abord a gauche ou a droite )
- puis l écoute du bruit s il y en a un ,
= déjà tu sais si tu vas limer ou pas .
alors si tu dois limer , comme tu te doutes déjà ou ç est , tu regardes s il y a un un plat sur cette 6 , et si oui , tu l arrondis au grain fin
et tu poses la question : ç est diffèrent oui ?, non ?
* si ç est oui , tu sors le papier pour y voir mieux et tu le fais masteguer comme il veut et tu relimes ou pas en fonction de ce que tu vois .
. * , si ç est non , tu peux laisser le papier dans le tiroir ça s arrête là .

et une fois que tu as mis la couronne implantaire tu refais pareil .
voilà ç est tout .
PS : si tu mets une couronne , ç est que tu as pris l empreinte , donc tu as les platres entre les mains ,donc tu y vois , donc le papier est normalement inutile pour savoir où tu vas gratter si tu dois gratter .
et normalement l équilibration globale , tu l as faite avant l empreinte .


Margaux motin 01 vv0jbs - Eugenol
Chafia*

14/11/2018 à 16h55

C'est compris Enlaye Sensei 😃 merci


Vw campersurfvan bmnk1q - Eugenol
enlaye

15/11/2018 à 08h58

ne faire confiance qu' au bleu ,
ç est aussi con que de ne faire confiance qu' à la météo du matin , alors qu' il suffit de regarder par la fenêtre .

:-)))


Vw campersurfvan bmnk1q - Eugenol
enlaye

15/11/2018 à 13h54

t as le la chance je viens d'avoir une urgence pour une 15 :
dérive mesiale des dents naturelles tu dis ?
Mmmmm ouaich ouaich
et donc , comment il a réussi a la visser cette couronne ( 36 ) ?
là , il y a perte de contact en distal .
déjà ça sent le pb occlusal

36 ir0rof - Eugenol

Vw campersurfvan bmnk1q - Eugenol
enlaye

15/11/2018 à 15h49

et si on regarde le secteur 40 , ç est la confirmation , a mon avis , ça , ç est un pb de décalage latéral qui a cassé la ceram .

 mg 1563 yvbw5u - Eugenol

Vw campersurfvan bmnk1q - Eugenol
enlaye

15/11/2018 à 15h57

bon , bien , et si on regardais mon urgence , maintenant ?
( 15 mobile , la couronne bouge , fait mal , et fait clic clic quand on tire dessus . on lui a donné des AB il y a quelques jour )
ben voilà une belle perte de contact :-) fracture de l angle distal + mesialisation , comme de l autre coté ? a ben non pas mesialistion , pas possible

 mg 1566 t10ehe - Eugenol

Generique fraisage r2rxmm - Eugenol
lardonbis

15/11/2018 à 16h28


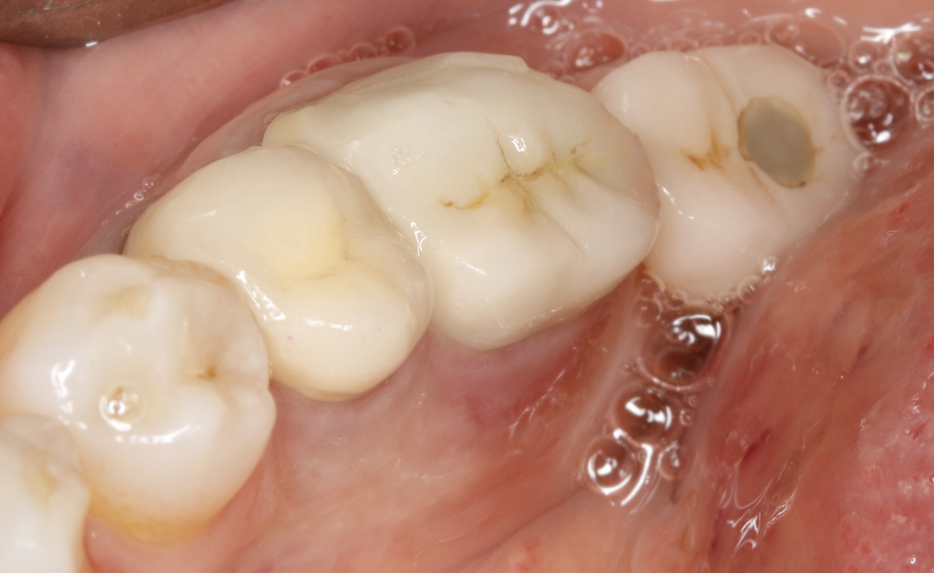
la 24 c'est quoi ?


Margaux motin 01 vv0jbs - Eugenol
Chafia*

15/11/2018 à 17h48

Je suis perdue
Je constate juste que la 13 est plus mesiale que la 23 sur l'arcade, comme si le bloc 13 14 15 s'était mesialé


Vw campersurfvan bmnk1q - Eugenol
enlaye

15/11/2018 à 18h33

lardonbis écrivait:
---------
" la 24 c'est quoi ? "
ç est une photo au miroir , donc je suppose que tu demandes : la 14 ç est quoi ?
ben la voilà

Ci2 yldjqr - Eugenol

Vw campersurfvan bmnk1q - Eugenol
enlaye

15/11/2018 à 18h52

il y a des espaces de partout , alors que d apres la patiente , elle avait du mal a passer le fil en 2014 .
apres enquête , la 13 a merdé et l implant a ete reposé 7 mois plus tard .

Bref , tout ça pour dire qu avant d invoquer la fatalité mesialante galopante , il faut d abord equilibrer , et suivre les cas pour les re-equilibrer si necessaire .

"" bon , on reprend depuis le debut , nom, prénom , et adresse ..... vous avez vos papiers ? ""
" oui , j ai ça , j ai ma carte grise axiom 16+17+36+47+13+14 +13 "
"" bon ben, ça passe pas au controle technique , aller hop à la casse ""


Generique fraisage r2rxmm - Eugenol
lardonbis

15/11/2018 à 18h58

enlaye écrivait:
------
> lardonbis écrivait:
> ---------
> " la 24 c'est quoi ? "
ça bougera pas madame ! c'est tout bien calée !


1...45