Cookie Consent byPrivacyPolicies.comachat scanner intra oral Medit i500 - Eugenol

achat scanner intra oral Medit i500

Capture d  cran 2015 03 12 12.28 - Eugenol
chicot29

24/11/2018 à 07h44

dcs écrivait:
---
> d'ou l intérêt d un rj 45 (pas de limite de distance jusqu à 100 m)
>
>
> Va falloir créer un post bidouille informatique . l expérience de chacun est
> intéressante .
>
>
> Hokusai écrivait:
> -------
> > toothex écrivait:
> > -------
> > > des connecteurs USB dans chaque cab pour brancher la cam, et un système de
> > prise
> > > de contrôle à distance depuis chaque poste ?
> >
> > le pbm c'est la longueur des "rallonges" usb... pas certain que cela
> > fonctionne...

Tu boostes ta ralonge USB tous les 5 m. -)))


--
En cas d'échec des négociations conventionnelles, seriez-vous prêt à suivre la promotion d'un déconventionnement massif de la profession par les syndicats représentatifs ? OUI - NON
Participez, anonymement, sur https://goo.gl/forms/nAO0htnsVmxotjYm1


Capture d  cran 2015 03 12 12.28 - Eugenol
chicot29

24/11/2018 à 07h46

Dr juju écrivait:
-------
> Une application qui pourrait aider.

Bonne idée Splash top m'a baisé tous mes ordis. Il était temps que je change remarque. -)))
--
En cas d'échec des négociations conventionnelles, seriez-vous prêt à suivre la promotion d'un déconventionnement massif de la profession par les syndicats représentatifs ? OUI - NON
Participez, anonymement, sur https://goo.gl/forms/nAO0htnsVmxotjYm1


Capture d  cran 2015 03 12 12.28 - Eugenol
chicot29

24/11/2018 à 07h50

sofica écrivait:
------
> Ai eu une conversation très longue et très interessante avec 6nus sur les
> possibilité de la Medit .
> Il mérite a être connu,il y a des dentistes qui choississent la case retraite
> après 60 ans et des fous ou peut être passionnés qui continuent ...il en fait
> partie.
>
> J'espere te voir sur Reims, j'ai retenu la date.
> C'est vrai que l'offre est très attractive,comme je suis un peu blonde je
> prendrai l'ordi qui va avec.
> Je vais voir travailler la bébête a l'ADF pour finir de me convaincre .
> Merci de tes explications .

Ca commence à m'énerver cette medit. . Faut que je lui bigophone.-)))

--
En cas d'échec des négociations conventionnelles, seriez-vous prêt à suivre la promotion d'un déconventionnement massif de la profession par les syndicats représentatifs ? OUI - NON
Participez, anonymement, sur https://goo.gl/forms/nAO0htnsVmxotjYm1


Capture d  cran 2015 03 12 12.28 - Eugenol
chicot29

24/11/2018 à 07h54

chicotdagneau écrivait:
-------------
> Hokusai écrivait:
> -------
> > pourquoi avoir pris la version sans fil avec un kart ???
> le kart reste a sa place je scanne sur la tele
> et sinon sur kart comme ca si j en ai besoin dans l autre cabinet je peux l
> emmener pour moi ou ma collab

Tout pareil sauf que j'ai pas de kart ni de fils en l'air. Pas de camera sans fil d'ailleurs mais je pense que je suis moins emmerdé. -)))).
--
En cas d'échec des négociations conventionnelles, seriez-vous prêt à suivre la promotion d'un déconventionnement massif de la profession par les syndicats représentatifs ? OUI - NON
Participez, anonymement, sur https://goo.gl/forms/nAO0htnsVmxotjYm1

Capture d écran 2018 11 24 07.53 - Eugenol

Capture d  cran 2015 03 12 12.28 - Eugenol
chicot29

24/11/2018 à 08h01

6nus écrivait:
----
> Juste pour remettre quelques pendules à l'heure

C'est sur que techniquement parlant pour des conseils éclairés en utilisation quotidienne en fonction des cas cliniques , il ne doit pas y avoir photo GG. Merci pour tes tutos sur les collages en dentisterie adhésive, mais pour l'instant ça ne me sert pas trop comme tu as pu le constater. Va falloir te cloner pour répondre à la demande. -)))

--
En cas d'échec des négociations conventionnelles, seriez-vous prêt à suivre la promotion d'un déconventionnement massif de la profession par les syndicats représentatifs ? OUI - NON
Participez, anonymement, sur https://goo.gl/forms/nAO0htnsVmxotjYm1


Capture d  cran 2015 03 12 12.28 - Eugenol
chicot29

24/11/2018 à 08h08

wakrap écrivait:
------
> Logiquement toute les cam le peuvent. Cependant deux facteurs jouent: le
> logiciel qui traite l'empreinte et surtout le crochet en question. D'expérience,
> parfois tu ne peux pas car le crochet est volumineux et cache une partie de la
> dent support, cela peut se corriger au pif en nettoyant l'empreinte mais tu
> perds en précision d'ajustage. D'autre part la face interne du crochet ne sera à
> peu près jamais bien scannée, le scan ne rentrant pas dans le crochet, c'est le
> côté rocco de toutes ces cam.

AH ? pour l'instant pas un seul crochet ne m'a résisté. Par contre faut pas que l'appareil bouge.
--
En cas d'échec des négociations conventionnelles, seriez-vous prêt à suivre la promotion d'un déconventionnement massif de la profession par les syndicats représentatifs ? OUI - NON
Participez, anonymement, sur https://goo.gl/forms/nAO0htnsVmxotjYm1


Capture d  cran 2015 03 12 12.28 - Eugenol
chicot29

24/11/2018 à 08h13

junior® écrivait:
-------
> Bonjour une petite question pour tous les possesseurs de la medit : 6nus nous a
> montré une belle empreinte pour complet au début du post
> Mais pour les empreintes de complet , est-ce que la caméra décroche comme
> d’autres caméras ? En gros est-ce que ça marche vraiment ? Ou est-ce que ça
> marche qu’une fois sur 100 ?

Elle décroche "moins" que la trios. C'est la nuance du "moins" qui est fondamental. Parfois une trios se perd et a du mal à réaccrocher meme sur une arcade dentée. On y arrive mais ca peut etre chiant dans certains cas. Merde alors pourquoi décroche elle ? Quand ca arrive tu poudres il y a un truc qui ne lui plait pas.

--
En cas d'échec des négociations conventionnelles, seriez-vous prêt à suivre la promotion d'un déconventionnement massif de la profession par les syndicats représentatifs ? OUI - NON
Participez, anonymement, sur https://goo.gl/forms/nAO0htnsVmxotjYm1


Hok 1b hgd3rj - Eugenol
Hokusai

24/11/2018 à 08h53

chicot29 écrivait:
--------
> Une fois URSSAF, carcd, IR déduits tu gagnes combien sur tes 1000 balles
> d'économies ?

un peu moins de 400e je dirais... meme pas de quoi faire le plein et inviter darmanin au restau... et sans vin !;)

>Me dis pas que ntu n'es pas assujetti à l'IR, le banquier ne te
> pretera pas pour acheter Ta cam à 20 000 balles. -)))

pire que ca... je suis allé voir ma conseillère, je lui dit que j'envisage un achat a 17ke. elle avait l'air déçue... elle m'a dit que je pouvais emprunter plus qu'il fallait profiter des taux bas tout ca tout ca... c'est pas bon signe cette histoire, ils cherchent du pognon partout.


Capture d  cran 2015 03 12 12.28 - Eugenol
chicot29

24/11/2018 à 09h29

Urssaf carcd ir en tranche marginale ? Il reste quoi par an étalé sur la ,durée d'amortissement.
--
En cas d'échec des négociations conventionnelles, seriez-vous prêt à suivre la promotion d'un déconventionnement massif de la profession par les syndicats représentatifs ? OUI - NON
Participez, anonymement, sur https://goo.gl/forms/nAO0htnsVmxotjYm1


Photo pluton1b h9n4ea - Eugenol
pluton

24/11/2018 à 09h56

chicot29 écrivait:
--------
> Urssaf carcd ir en tranche marginale ? Il reste quoi par an étalé sur la ,durée
> d'amortissement.

oui mais c'est comme tout, le moins tu en dépenses, le plus il en reste...
y a que les gonzesses et le fisc pour essayer de te faire croire qu'en dépensant du pognon tu peux faire des économies....;-))


Hok 1b hgd3rj - Eugenol
Hokusai

24/11/2018 à 10h14

chicot29 écrivait:
--------
> Urssaf carcd ir en tranche marginale ?

J'ai un petit taux urssaf et 30% en tranche marginale d'IR... (avec 2,5 parts dont 1,5 parts d'improductifs...) grosso modo sur 100 de BNC super brut il me reste un peu moins de 40... un peu moins de 10 après préemption conjugale...


Capture d  cran 2015 03 12 12.28 - Eugenol
chicot29

24/11/2018 à 12h05

pluton écrivait:
------
> chicot29 écrivait:
> --------
> > Urssaf carcd ir en tranche marginale ? Il reste quoi par an étalé sur la
> ,durée
> > d'amortissement.
>
> oui mais c'est comme tout, le moins tu en dépenses, le plus il en reste...
> y a que les gonzesses et le fisc pour essayer de te faire croire qu'en dépensant
> du pognon tu peux faire des économies....;-))

Ca dépend en quoi tu le dépenses. Si c'est pour faire joli c'est sur que ca ne fait pas avancer le shmilblic.

--
En cas d'échec des négociations conventionnelles, seriez-vous prêt à suivre la promotion d'un déconventionnement massif de la profession par les syndicats représentatifs ? OUI - NON
Participez, anonymement, sur https://goo.gl/forms/nAO0htnsVmxotjYm1


Capture d  cran 2015 03 12 12.28 - Eugenol
chicot29

24/11/2018 à 12h08

par exemple si on te lache seul dans la nature avec ton I500 et que si tu es confronté à un problème et que personne ne t'apporte la solution t'es pas plus avancé avec ta tour que tu as payé 1000 balles de moins meme si elle te fait gagner 5 secondes sur le traitement de l'image.



--
En cas d'échec des négociations conventionnelles, seriez-vous prêt à suivre la promotion d'un déconventionnement massif de la profession par les syndicats représentatifs ? OUI - NON
Participez, anonymement, sur https://goo.gl/forms/nAO0htnsVmxotjYm1


Photo pluton1b h9n4ea - Eugenol
pluton

24/11/2018 à 13h44

pourquoi voudrais-tu que personne n'apporte de solution?
et en quoi le fait d'avoir acheté mon laptop à part me poserait plus de problèmes???
d'autant que c'est le même que celui que propose 6nus...donc si çà marche pour lui, aucune raison que çà ne fonctionne pas pour moi...
s'il y a un problème, c'est juste un paramétrage, donc la solution existe...


Bebe 038 nf8eum - Eugenol
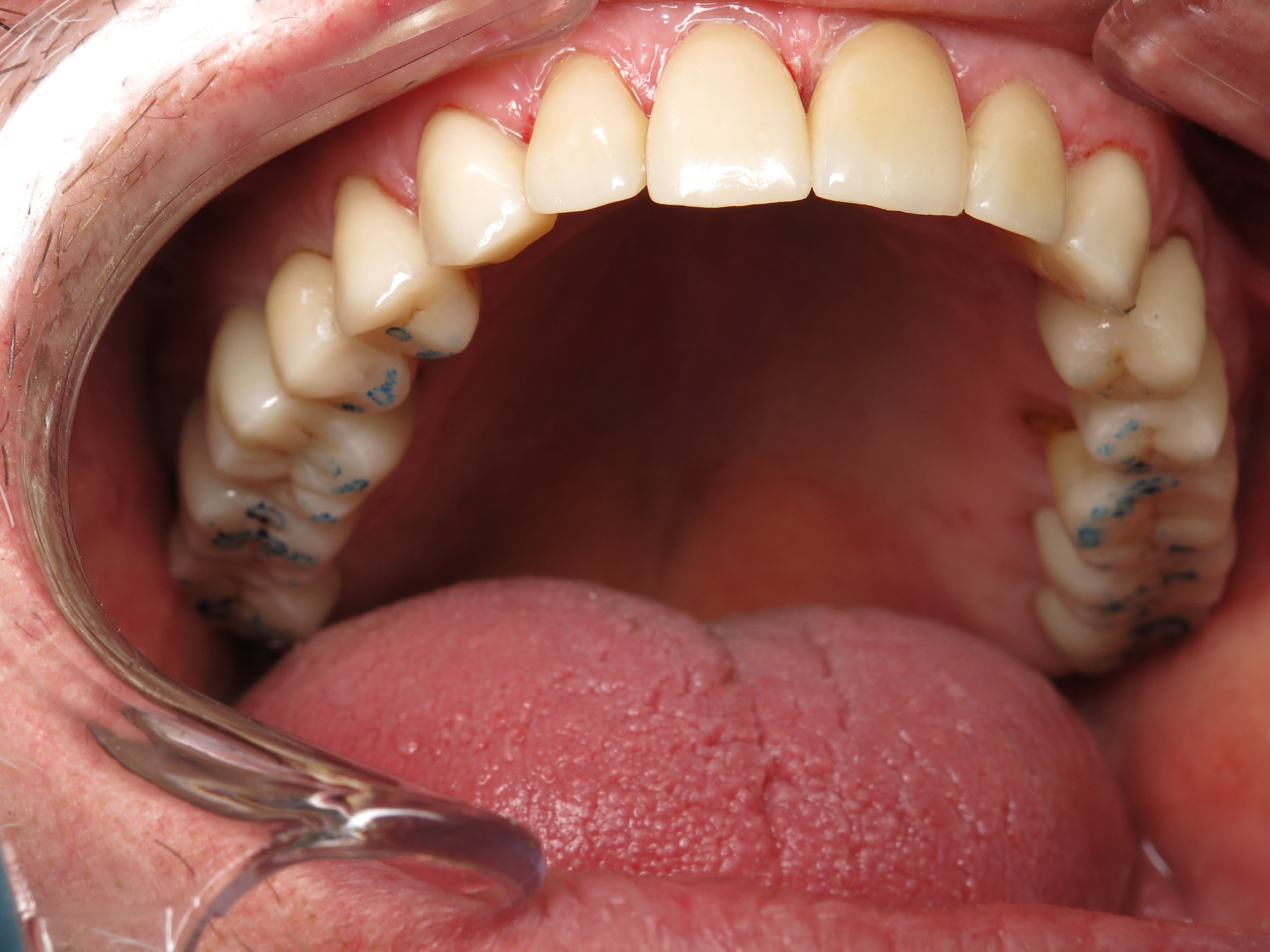
danteyeah

24/11/2018 à 14h33

mr smith écrivait:
--------
> Question de simplet et atchoum , La camera permet t'elle de prendre une taille
> pour une réalisation de CCM avec un crochet de stellite existant et donc
> ajustage aux p'tits oignons ?

Un exemple en photo. Avec une réalisation en un temps IC et Full.
Petite photo au passage de la Full proposée par 6nus: c'est très propre, certes c'est pas du MOF, mais on est très loin de la description faite par Junior....l'homme si plein de certitudes.

Img 3251 nl5lqs - Eugenol
Img 3252 imsa3v - Eugenol
Img 3254 gwtljb - Eugenol
Img 3257 qbufu1 - Eugenol
Img 3258 g5j2hy - Eugenol
Img 3260 nbldet - Eugenol

bbl

24/11/2018 à 14h47

junior® écrivait:
-------
> bbl écrivait:
> ---
> > enlaye écrivait:
> > ------
> > > bbl écrivait:
> > > ---
> > > " petite question sur l'occlusion dynamique ....... peut-on régler la pente
> > > condylienne ainsi que l'angle de benett ou alors le scan va enregistrer les
> > > vrais valeurs du patient ??? "
> > >
> > > Pardi , il te donne meme le quinté + dans l ordre :-))
> >
> > :-))))))))
> >
> > donc je pose pas la question pour l'empreinte complete fonctionnelle ;-)
>
> En même temps avec vos articulateurs, vous pensez que vous faites vos mouvements
> dynamiques exactement comme en bouche ? :))) je vais vous répondre tout de suite
> la réponse est non, ça ne sera qu’une approximation . Et encore tout dépend des
> mouvements que vous faites faire à l’articu.

l'axiographie peut aider !!!! ;-)))
et l'articulateur peut te permettre de CHOISIR les mouvements (+ou- arbitraire)
de toute facon, je suis pas dans le sujet
faudrait peut-etre faire un sujet sur les capacités réelles d'un scan intraoral et surtout des logiciel de conception
bien que je pense que nous en sommes qu'au debut .....


Vw campersurfvan bmnk1q - Eugenol
enlaye

24/11/2018 à 15h02

bbl écrivait:
---

" de toute facon, je suis pas dans le sujet "


si quand meme un peu :-)
regarde ce que m a fait connaitre Junior , ç est ton style .



Le petit con it7vyu - Eugenol
6nus

24/11/2018 à 15h08

Merci à Chicot 29 et à toi
Vous montrez a cette liste que l'accompagnement que je vous ai accordé vous permet de tirer le maximum de vos cameras de prise d'empreinte optiques . Et surtout que j'ai toujours répondu present à vos sollicitations .......avec la vision d'un clinicien , couplé par la force des choses a celui du technicien !!!
Ceci , jumelé au travail d'un laboratoire qui maitrise le numerique ( Labocast) , je sais que vous ne vous posez plus de questions au moment de la pose des prothèses qu'on vous adresse
Je vous suis reconnaissant de le faire remarquer sur cette liste
Que ce soit en fixe , en amovible ou mieux en prothèses mixtes , couplées fixe - amovible , la tentation du "one shoot" est grande ....et le pire , c'est que ça marche !!!
Je commence à realiser de nombreux cas clinique en double , camera ...que je vous ai installé et MEDIT I500 ....c'est bluffant : les pieces prothetiques sont interchangeables , et elles ajustent aussi bien pour celles issues de votre camera que celles issues de la Medit .
Avec les propositions qu'on vous a faites et compte tenu des qualités actuelles et du developpement futur de cette camera .........rester à l'analogique à ce jour constitue pour moi une erreur ...voir une faute


danteyeah écrivait:
---------
> mr smith écrivait:
> --------
> > Question de simplet et atchoum , La camera permet t'elle de prendre une taille
> > pour une réalisation de CCM avec un crochet de stellite existant et donc
> > ajustage aux p'tits oignons ?
>
> Un exemple en photo. Avec une réalisation en un temps IC et Full.
> Petite photo au passage de la Full proposée par 6nus: c'est très propre, certes
> c'est pas du MOF, mais on est très loin de la description faite par
> Junior....l'homme si plein de certitudes.


Le petit con it7vyu - Eugenol
6nus

24/11/2018 à 15h11

Maxime Jaisson , le concepteur de ce Modjaw , est sorti de la Faculté de Reims et c'est un de mes anciens élèves !

enlaye écrivait:
------
> bbl écrivait:
> ---
>
> " de toute facon, je suis pas dans le sujet "
>
>
> si quand meme un peu :-)
> regarde ce que m a fait connaitre Junior , ç est ton style .
>
>



Utilisateur banni

24/11/2018 à 15h18

danteyeah écrivait:
---------
> mr smith écrivait:
> --------
> > Question de simplet et atchoum , La camera permet t'elle de prendre une taille
> > pour une réalisation de CCM avec un crochet de stellite existant et donc
> > ajustage aux p'tits oignons ?
>
> Un exemple en photo. Avec une réalisation en un temps IC et Full.
> Petite photo au passage de la Full proposée par 6nus: c'est très propre, certes
> c'est pas du MOF, mais on est très loin de la description faite par
> Junior....l'homme si plein de certitudes.

Ah mais chacun fait comme il veut avec la Zircone :
-> Si tu dois la démonter et la découper tu vas beaucoup plus galèrer qu’une couronne lambda. C’est un fait et c’est la réalité
-> Si tu corriges la céramique, tu enlèves la couche de vernis , ça sera blanc et moche dans cette zone . C’est un fait et c’est une réalité
-> Si tu mets une couronne zircone en face de dents naturelles, les dents naturelles vont s’user la dent zircone beaucoup moins. C’est un fait et c’est une réalité

Et enfin les amis le clou du spectacle, j’ai envie de dire la cerise sur le gâteau :
Si les couronnes Zircone étaient si magnifiques, pourquoi ne mettez vous pas ces couronnes au niveau de 11 et 21 chez un sujet qui n’a pas une teinte trop saturée..... bah parce qu’ on le sait tous , ces couronnes ne sont pas les plus esthétiques.
Bah oui les gas mettez en en antérieur puisque c’est si c’est beau que ça :))) Montre nous des dents full zircone de chez labocast mis en antérieur , que je rigole. :) de labocast ou d’une autre boîte qui fait de la chinoiserie .... sinon 6nus va croire que je lui en veux

CQFD

Je critique juste la full zircone et non pas le travail ni la compétence de 6nus qui a l’air de dominer son sujet pour les caméras


chicotdagneau

24/11/2018 à 15h38

tu peux mettre des katanas sans problème


Le petit con it7vyu - Eugenol
6nus

24/11/2018 à 15h41

eh .....Pas seulement en anterieur ...Docteur Fuca !
Mais des MonoZir ( c'est l'appellation de nos Zircones monolithiques maquillées) posées de 18 à 28 et ça a deja 2 ans et le maquillage n'a pas bougé . La 23 est elle un facette e.Max , monolithique aussi et maquillée , aussi ...

junior® écrivait:
-------

>
> Et enfin les amis le clou du spectacle, j’ai envie de dire la cerise sur le
> gâteau :
> Si les Zircone étaient si magnifiques, pourquoi ne mettez vous pas ces couronnes
> au niveau de 11 et 21 chez un sujet qui n’a pas une teinte trop saturée..... bah
> parce qu’ on le sait tous , ces couronnes ne sont pas les plus esthétiques.
> Bah oui les gas mettez en en antérieur puisque c’est si c’est beau que ça :)))
> Montre nous des dents full zircone de chez labocast mis en antérieur , que je
> rigole. :)
>
> CQFD

Img 4521   copie fg8tat - Eugenol

Utilisateur banni

24/11/2018 à 15h47

Ouai c’est moche c’est bien ce que je dis. J’en poserais même pas chez mes parents , donc par respect pour les patients je ne pose pas ça. C’est tellement opaque que ça ne fait pas naturel .
Et je plains fortement le praticien qui aura la malchance de tomber sur ce patient quand il devra démonter telle ou telle couronne pour retraiter telle ou telle dent ......... pensez un peu aux futurs praticiens qui devront réintervenir un jour ou l’autre.


Icon poker h4nm2d - Eugenol
jeff

24/11/2018 à 15h58

Cela serais bien de rester sur le sujet, la médit , l’informatique qui va avec .
Il est tout à fait possible de créer un post en prothèses : pour ou contre le full zircone . ( ne pas répondre à se message )


Bebe 038 nf8eum - Eugenol
danteyeah

24/11/2018 à 16h13

junior® écrivait:
-------
> Ouai c’est moche c’est bien ce que je dis. J’en poserais même pas chez mes
> parents , donc par respect pour les patients je ne pose pas ça. C’est tellement
> opaque que ça ne fait pas naturel .
> Et je plains fortement le praticien qui aura la malchance de tomber sur ce
> patient quand il devra démonter telle ou telle couronne pour retraiter telle ou
> telle dent ......... pensez un peu au futur praticien qui devront réintervenir
> un jour ou l’autre

Et ça t'en penses quoi?

Img 3268 yrjrwg - Eugenol

1...252627...