Cookie Consent byPrivacyPolicies.comLésion endodontique 16 : RTE ou extraction? - Eugenol

Lésion endodontique 16 : RTE ou extraction?

Pierre logo clykpp - Eugenol
Denteo33

17/11/2018 à 14h52

Que feriez vous pour cette patiente de 70 ans sans gros problèmes de santé au niveau de sa 16?

Tentez vous le RTE?
Technique "Enlaye"?
Extraction?

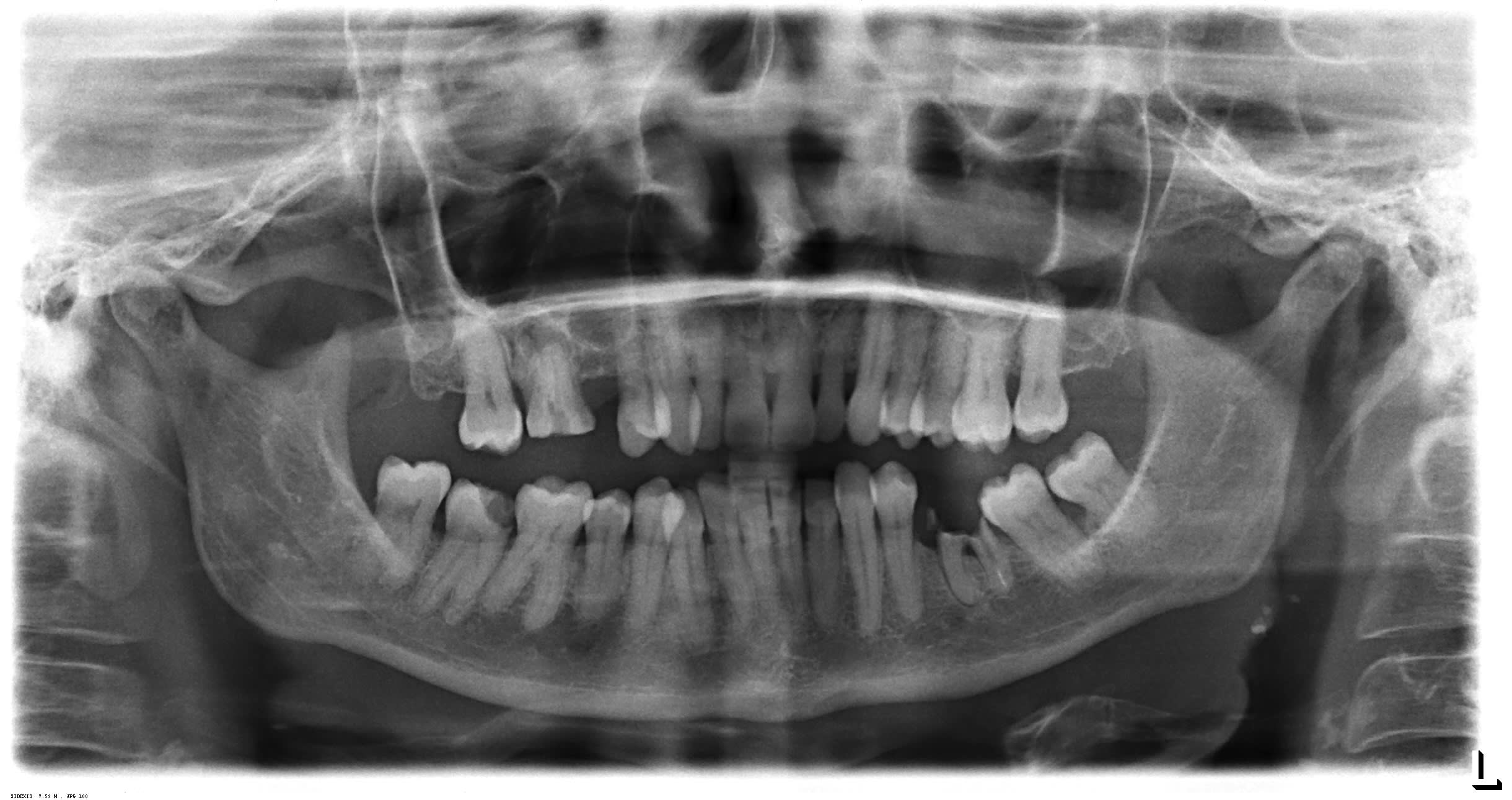
Je vous joins la RVG, la Pano et la 3D...

Bccpmr6frlesrmyhoxfx - Eugenol
Jsseb8nmpjrwjlhe2rpy - Eugenol
Opj2uwimv3xecc1supya - Eugenol
B5grcq5bteieqvzanv95 - Eugenol

bf

17/11/2018 à 19h16

Extraction sans hésiter , rupture de la corticale et du plancher sinusien avec certainement CBS


moritooth

17/11/2018 à 22h21

Quel est le motif de la consultation ? la symptomatologie actuelle ? et les doléances de la patiente?


Pierre logo clykpp - Eugenol
Denteo33

17/11/2018 à 23h34

J’aurais du le préciser en effet:

La patiente a perdu son vieux bridge en extension 16-(15) et sent une « fragilité » dans cette zone : elle souhaite remettre sa 16 et sa 15.

Pas de poche paro et la percussion axiale n’est pas concluante


mr smith

17/11/2018 à 23h44

Et 1 et 2 et 3 implants , 16/15/36 .


Pierre logo clykpp - Eugenol
Denteo33

17/11/2018 à 23h45

A vos ordres !


chicopathe57

18/11/2018 à 12h26

Vu la proximité de 16 avec le sinus et l'absence d'inflammation de la muqueuse sinusienne au cone beam,on peut conclure à l'absence d'inflammation au niveau de la lésion, donc c'est une lésion kystique.
donc avulsion.


lachmar

19/11/2018 à 14h31


si la patient n'a pas de gros problèmes de santé moi je dis : pourquoi ne pas tenter l'endo

chicopathe t'es le plus fort du monde : seule l'anapath peut reveler la nature kystique (5% des lésions endo) .... le meilleur endo du monde ne peut avoir qu'un feeling , jamais une certitude ; même l'echec d'un RTE bien conduit sur une monoradiculée ne permet pas d'établir avec certitude le diagnostic d'un kyste

moi ca m'amuserait de retraiter cette dent


chicopathe57

19/11/2018 à 16h02

Je sais très bien qu'une radioclarté ne peut pas être diagnostiquée avec certitude sur une retro alvéolaire, et je suis d'accord avec toi sur tout le reste.
Mais rien ne t'empêche d'exploiter les infos disponibles (absence d'inflammation muqueuse sinusienne et proximité radiculaire). L'égression de la dent avec cette lésion n'est pas anodine non plus.
Dans ce cas précis, la probabilité de succès du RTE me paraît insuffisante, ce n'est que mon avis.
C'est denteo33 qui choisit ce qui est le mieux pour sa patiente.