Cookie Consent byPrivacyPolicies.comIngression 22 - Eugenol
Pierre logo clykpp - Eugenol
Denteo33

10/12/2018 à 16h39

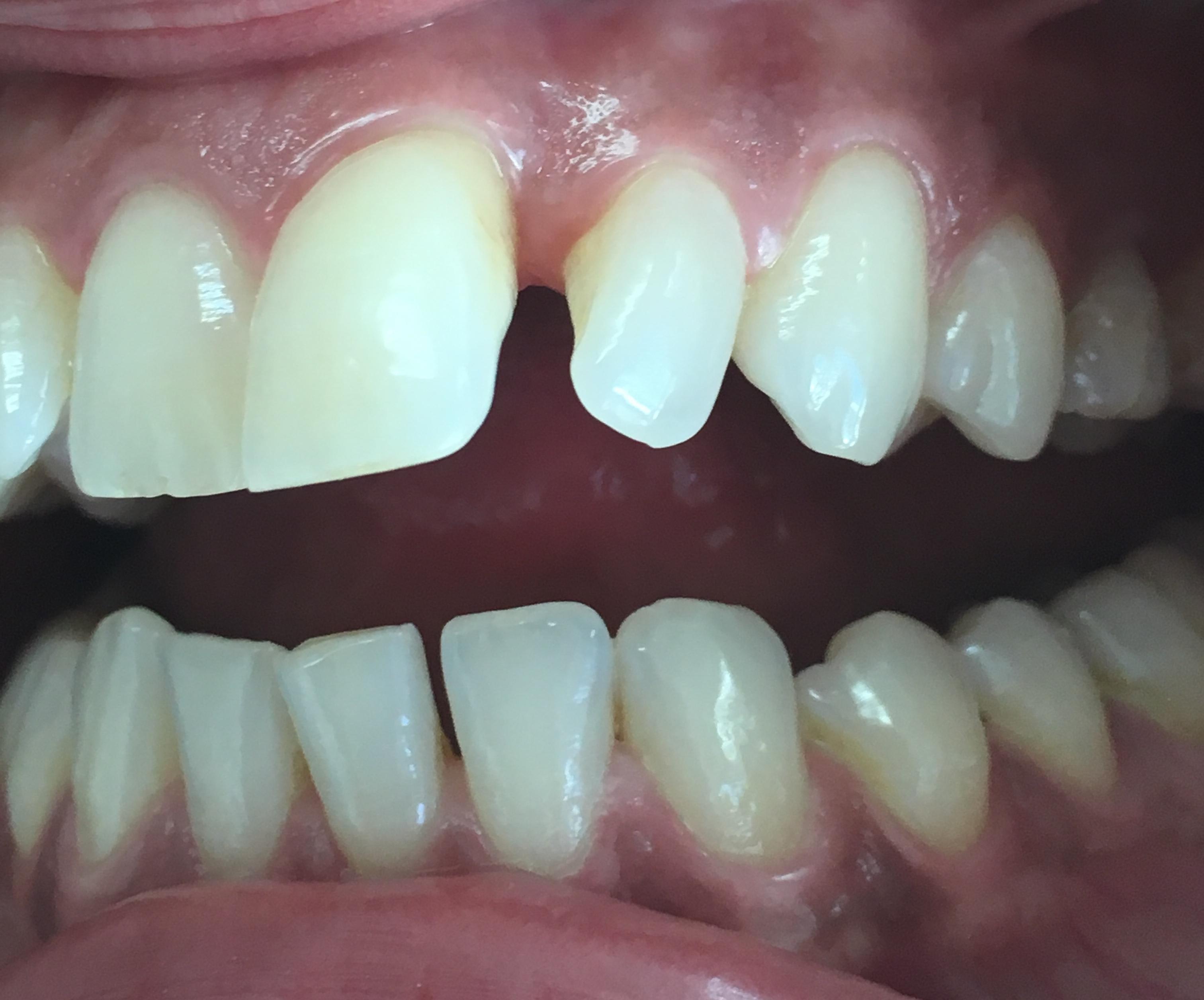
Que proposeriez vous à cette patiente de 40 ans dont la 21 s'est égressée...

Je la vois pour la 1ere fois, le sondage parodontal ne montre pas de poche parodontale (un long epithelium de jonction?)

Je n'arrive pas à comprendre son cas clinique.
Éclairez moi!

Le traitement orthodontique vous semble t'il indiqué?

Uxotzxhtpl3bi2pkrt32 - Eugenol
Tslcwyea9gpzprzn9o6e - Eugenol
Vsvwvbc54bpup6graccq - Eugenol

Dolan donald duck weird wqjham bw43ju - Eugenol
GéPé

10/12/2018 à 17h44

Un implant


Photo pluton1b h9n4ea - Eugenol
pluton

10/12/2018 à 17h47

pas de poche????
t'as vu la tronche de cette 21???


Dolan donald duck weird wqjham bw43ju - Eugenol
GéPé

10/12/2018 à 18h10

Clair, t'as fait le sondage avec le manche?


QuasiModo

11/12/2018 à 07h57

GéPé écrivait:
----
> Clair, t'as fait le sondage avec le manche?

: D : D : D

Premier rire de la journée, merci GéPé, j'espère que ça sera pas le dernier
--
... du haut de la tour nord de N.D.


Vw campersurfvan bmnk1q - Eugenol
enlaye

11/12/2018 à 08h15

vérifie qu il n'y ait pas une prématurité ou une interférence post en propulsion genre dds ou coiffe zircon en 7 .


dmoh.

11/12/2018 à 08h54

Bonjour.
Pourquoi le bouton sur 38 , et pourquoi mini-visse en secteur 2 ?
MERCI.


Ylfwcw979cz1jnx9gfqeaxndiuzk - Eugenol
Algi

12/12/2018 à 09h00


Non non il a pas utilisé le manche.... Le manche y serait rentré...

Juste il fallait se servir de la sonde et pas du miroir....

Ensuite qualifier le défaut de poche est effectivement abusif.... Un sac ? Un aven ? Une fosse océanique ?

--
On a toujours le choix mais entre quoi et quoi?
Vas-y boulégue et l'avenir te le dira!


1 eugenol dmj5np - Eugenol
Dancha

13/03/2019 à 11h47

Comme d'habitude, personne n'a répondu à ta question, Denteo33 !

Je te mets ci-dessous un lien qui te présente une solution orthodontique, la seule qui soit sans risque pour les cas de paro avancés. N'importe quel autre système classique est à proscrire, pour les raisons qui sont expliquées dans le second cas présenté.
https://www.drs-chilles-chirurgiens-dentistes.fr/app/download/5805432633/Des+attaches+extemporan%C3%A9es+en+r%C3%A9sine+composite+-+l%27Orthodontie+Fran%C3%A7aise+2009.pdf

Daniel


Avatar transparent iqadnc - Eugenol
adhoc

13/03/2019 à 12h36

Certes, daniel, mais tu ne reponds pas grand chose non plus au niveau etiologique. La thérapeutique, ok, on ingresse , avec ta technique bien eprouvée du mini implant ou de l'invisalign, forces douces, c'est sur, mais ce n'est pas suffisant!!!!!
Le post d'enlaye est pour moi tres important. La cause.


Vw campersurfvan bmnk1q - Eugenol
enlaye

13/03/2019 à 13h43

eh oui , Dancha ,
la 1ere question etait :
"Je n'arrive pas à comprendre son cas clinique.
Éclairez moi! "


ç est moi , ou on n'a pas été très ébloui ?






Vw campersurfvan bmnk1q - Eugenol
enlaye

13/03/2019 à 13h49

Dancha écrivait:
------
" N'importe quel autre système classique est à proscrire "

+1 tout est a proscrire en effet , si l on met la charrue avant les bœufs .
Pcq il est tres difficile de prevoir l avenir si l on ne peut expliquer le passé .


Images 1 qtgoxf - Eugenol
ciwil

13/03/2019 à 14h21

la courbe de Spee est prononcée, les incisives inf paraissent égressées et vestibulées, l'onde de choc masticatoire arrive à 90° sur les inc sup, la langue est ptêt basse. je commencerais par niveler et redresser les inc inf pour libérer les inc sup de toute la charge occlusale, puis rétablissement du guide incisif en redressant les inc sup


Images 1 qtgoxf - Eugenol
ciwil

13/03/2019 à 14h37

adhoc écrivait:
-----
> Certes, daniel, mais tu ne reponds pas grand chose non plus au niveau
> etiologique. La thérapeutique, ok, on ingresse , avec ta technique bien eprouvée
> du mini implant ou de l'invisalign, forces douces, c'est sur, mais ce n'est pas
> suffisant!!!!!
> Le post d'enlaye est pour moi tres important. La cause.

les aligneurs ne sont pas si doux, ils délivrent une force de 50 à 80g alors que les incisives n'ont besoin que de la moitié



1 eugenol dmj5np - Eugenol
Dancha

13/03/2019 à 14h53

Mea culpa, je suis passé à côté de la réponse d'enlaye qui a parfaitement raison. Penser à la diagonale de Thielemann.
Le problème du cas de Dentheo33 peut avoir deux origines (en plus du problème inflammatoire paro passé ou présent) :
Un tic de pulsion linguale (peu probable), plutôt une mastication déséquilibrée qu'il faut traiter en parallèle.
Comment fonctionne la mastication pour ce cas ? Revoir et analyser en particulier les mouvements en latéralité et en propulsion.
Tous les cas que nous traitons, sans exception, doivent être regardés de cette façon, avant et après traitement.
C'était tellement évident pour moi que je n'ai même pas pensé à le marquer, et je pensais benoîtement que c'était acquis pour tout le monde.

Maintenant pour répondre à l'ami Adhoc, parler d'invisalign pour des dérives dentaires avec pertes osseuses me paraît pas très judicieux..

Daniel



1 eugenol dmj5np - Eugenol
Dancha

13/03/2019 à 14h55

Mille excuses, Ciwil, nos réponses à l'ami Adhoc se sont télescopées...


Images 1 qtgoxf - Eugenol
ciwil

13/03/2019 à 15h11

chercher l'étiologie finalement c'est chercher quand et pourquoi la courbe de Spee s'est creusée


Vw campersurfvan bmnk1q - Eugenol
enlaye

13/03/2019 à 16h27

cette langue notre alliée .

cette langue qui nous sauve et nous protège , en silence , puisque nous ne savons l écouter , n est pas notre ennemie , mais notre alliée .
et ç est encore plus flagrant dans un cas occlusal adulte comme celui là .

donc , si vous me le permettez , ce soir je prendrais sa défense , face à votre jury accusateur , afin , non pas de la disculper , mais de lui rendre honneur et la remercier .


Images 1 qtgoxf - Eugenol
ciwil

13/03/2019 à 18h10

la langue peut être une alliée quand elle récite ses leçons du Kamasutra mais pas quand elle se vautre dans le hamac mandibulaire et fausse le combat contre les lèvres pour équilibrer le couloir musculaire


Vw campersurfvan bmnk1q - Eugenol
enlaye

13/03/2019 à 18h31

Huuumm , ok , je note dans le requisitoire : langue poussante .
Et c est tout ?
Peut etre aussi langue d interposition au niveau des secteurs post ?
Un autre grief ?
Z auriez pas du plus croustillant ? :-))
Ca va etre une boucherie :-)))


Vw campersurfvan bmnk1q - Eugenol
enlaye

14/03/2019 à 00h01

bien , donc je demande réparation pour procès d intention et diffamation .
ce qui s est passé mr les jurés , ç est que l on se retrouve face à un DAM d origine musculaire causé par une interférence postérieure unilaterale au plus pres de l axe charniere .
autrement dit le cas type de la diagonale de Thielemann. comme évoqué par Dancha .
je ne vais pas encore vous redémontrer tjs la meme histoire de phénomène d évitement , puisque qu à force vous la connaissez mais plutôt en évoquer ses conséquences directes .
la nuit , lorsque la gonzesse dort ,pour éviter sa prématurité elle serre fort sur 21 / 22 avec la mâchoire du bas de traviol , en ciseau , quoi .
les temporaux sont tendus , mais de façon différente droite gauche en allongement .
et pour les ptérygoïdiens médians et latéraux ,ç est pareil avec une nette tendance différentielle pour le latéral .
le fait de serrer longtemps , ces muscles qui tirent ( s' insèrent sur ) le disque par la contracture isométrique , le déplacent en avant surtout celui du coté droit .et à l arrière de ce disque les fibres qui le retiennent sont distendues .
ce qui fait que , au petit matin , à la 1ere fermeture normale çad en OIM le disque tarde à revenir en arrière et vers l exterieur et ne suit pas la tete du condyle .
donc la fermeture est un peu faussée .puisque , normalement , ç est le disque qui prépare l engagement de la mand pour l engagement de la fermeture .
à cela tu rajoutes un phenomene algique de type tendinite
et en plus , crac le 1er contact n est pas doux puisque c est une interférence avec latero deviation .
donc tu te doutes bien que la vitesse de la fermeture doit etre ralentie le plus possible , ralentie et guidée .
et la fermeture et la facon de fermer va varier au fur et a mesure que les mouvements se feront , et que le disque va reprendre sa place .
alors par exemple , ç est un peu comme lorsque tu as une sciatique , avant de poser le pied par terre ,bien tu vas t appuyer avec la main pour te guider .
Eh bien ç est la langue qui va faire cet office de guidage , afin d amener tout doucement la mand aux contacts dentaires en soulageant le disque .
si tu veux ç est la langue qui en mobilisant la mand à la meme vitesse que le mouvent possible du disque ,aide au repositionnent de ce meme disque et donc de sa réduction .


il est évident que l action de la langue n est pas une poussée vers devant pour le plaisir de déplacer les incisives , ni d augmenter la courbe de spee , puisque ç est une langue , flasqueuse amortissante , et timide comme la canne d un aveugle .

attendu que la langue ne peut pas déplacer qu une seule dent a savoir la 22
attendu que le deplacement des incisives du haut et du bas ne sont sont dus qu' au serrage
attendu que la mandibule a besoin d une reeducation matinale où des lors qu il y a effort , pour retrouver une bonne correspondance fosse disque condyle .

et que la langue sert à cette rééducation ( reduction) , moi je dis bravo à la langue et vous invite à revoir votre jugement .


Images 1 qtgoxf - Eugenol
ciwil

14/03/2019 à 07h09

et donc mr le Juge, quel est votre verdict pour répondre à l'agression dont les 21 et 22 se disent victimes? des travaux d'intérêt général de la langue?


Vw campersurfvan bmnk1q - Eugenol
enlaye

14/03/2019 à 10h04

à ce propos , nous regrettons l absence du proc , allias maître 6pounet qui est un specialiste de la decortication du code ciwil notamment de l article 69 où il nous sortirait certainement une jurisprudence sur la langoued coquined certified .

pour revenir à notre affaire en cours , ç est un flag de bonne intention , non récidivant avec casier vierge . de plus il y a des circonstances atténuantes : il manque une incisive , non ? donc , il y a une forte suspicion de décalage latéral ( décentrage) .
alors je ne proposerais pas , messieurs les jurés , de rééducation d intérêt général , pcqu'il s'agirait pas de lui donner de l importance , de la tonicité , pcq on ne sait jamais , elle pourrait en profiter .
toutefois apres suppression de la cause majeure , il faudra quand même réévaluer cette liberté surveillée .
on est d accord ?


Vw campersurfvan bmnk1q - Eugenol
enlaye

14/03/2019 à 13h11

sinon , vous parlez beaucoup de mastication , de masticatoire etc .
vous pensez vraiment , que de manger 2 fois par jour ai une influence sur la dentition et les mouvements dentaires ?? surtout que lorsque l on mange , les dents ne se touchent que peu .
je ne comprends pas l interet de se préoccuper de celà , sincèrement .

le cycle masticatoire est adaptatif aux formes et aux positions des dents , ç est tout .
même s il n y a pas de dents il y en a un de cycle masticatoire , et qui n est pas le même que lorsque il y avait des dents .
si tu marches avec des chaussures de ski ,certes t as l air con , mais il suffit que tu les enlèves pour mettre des tong et hop ta démarche change encore .


6szjws718sv1jksw54v4mpj3a6cu - Eugenol
vulpi

14/03/2019 à 13h21

Je note, m'astiquer deux fois par jour a peu d'influence, puisque les dents touchent peu.
A+ on va bientôt avoir du pain sur la planche;-))


12