Cookie Consent byPrivacyPolicies.com4eme p'tit tuto occluso proximo - Eugenol
Vw campersurfvan bmnk1q - Eugenol
enlaye

21/01/2019 à 20h34

alors , celui là de tuto , est très très court :
"toutes les crêtes proximales tu aligneras "
voilà ,
ça parait tout con , dit comme ça , hein ?
mais l incidence est ENORME !!
mais d'une énormité que t en as pas notion .
que cette phrase , si tu la remets en cause , ç est meme pas la peine d' oser parler de protections ésotériques ou de fonctions encore plus mystiques


Orezza gazeuse verre litre ocoxey - Eugenol
casa

21/01/2019 à 21h26

Bon ben moi comprends pas comme toujours , tu parles de quoi là ? les crêtes , mais de quelles crêtes parles tu ? faut développer parce que moi j'imagine des trucs chelou !


Vw campersurfvan bmnk1q - Eugenol
enlaye

21/01/2019 à 21h32

casa écrivait:
----
" mais de quelles crêtes parles tu ? faut développer parce que moi j'imagine des trucs chelou ! "


naannn pas des crêtes de coq :-) , des crêtes proximales , mesiales et distales .


6szjws718sv1jksw54v4mpj3a6cu - Eugenol
vulpi

21/01/2019 à 21h34

C'est pas encore ! C'est à la Chandeleur les crêpes mon ami;-)


Orezza gazeuse verre litre ocoxey - Eugenol
casa

21/01/2019 à 21h40

ok mais tu les alignes sur quoi ? vas -y prends ton petit crayon ( je suppute !!! ) et dessine nous ça !


Vw campersurfvan bmnk1q - Eugenol
enlaye

21/01/2019 à 22h17

par exemple ,lorsque tu poses une couronne , il faut que la hauteur de la crete mesiale d' une 6 soit égale à celle de la 5 distale ,
et de meme , la hauteur de la crete distale de la 6 doit etre egale à la crete mesiale de la 7 comme les dents naturelles .
en gros il ne doit y avoir aucun soubresaut d 'une dent à l autre quelque soit l antagoniste . si l antagoniste t impose un décalage ,eh bien il faut d abord corriger l antago avant de faire la prothese .

Inkedp4057153 li wmauz6 - Eugenol

Vw campersurfvan bmnk1q - Eugenol
enlaye

21/01/2019 à 22h44

ça te parait évident ?
pourtant c est ce qui veut dire que :
- il ne faut pas mettre de dent en sous occ sur un implant :
mettre une dent en sous occ sur un implant ç est pire que de laisser un trou . en effet lorsqu' il manque une dent , les dents qui bordent l édentation , peuvent se coucher naturellement pour aligner leurs crêtes marginales et respecter une courbe , alors que si elles sont bloquées par une dent sur implant en sous occ , non
.
- mettre un taquet d appui pour stellite est une connerie :
meme s il est encastré , il ne le sera pas longtemps

- un ortho qui fini un ttt en laissant des décalages d une dent à l'autre , n a pas fini son travail .


Vw campersurfvan bmnk1q - Eugenol
enlaye

21/01/2019 à 22h58

alors les crêtes marginales bien alignées sont nécessaires pour :
- une bonne stabilité des points de contact
- un bon glissement entre oim et orc qui permet une bonne lubrification de l atm
- un meilleur amortissement au niveau des ligaments
- une diminution des causes de bruxisme qu il soit centré ou avec mouvement
- une courbe de Spee Wilson et Monzon stable .


Vw campersurfvan bmnk1q - Eugenol
enlaye

21/01/2019 à 23h08

donc ,
si tu as peur des fractures de ceram ( presque tjs en proximal ) ,
si tu as peur des fractures radiculaires sous IC
si tu as peur des résorption osseuses alors que tu te dis paro conscient
si tu as peur des mvts dentaires récidivants pcq tu es ortho
commences par aligner les crêtes marginales , tu seras plus zen .


Generique fraisage r2rxmm - Eugenol
lardonbis

22/01/2019 à 09h48

fallait rien dire !je savais même pas qu'on pouvait faire autrement.

Maintenant j'ai des envies d'expérimentation.


doc.yoyo

22/01/2019 à 09h54

Désolé Enlaye, là c'est toi qui dit une connerie:
"mettre un taquet d appui pour stellite est une connerie :meme s il est encastré , il ne le sera pas longtemps "
Un taquet se fait sur un fraisage de la dent et l'appui ne bouge pas.
Il y a des règles en prothèse adjointe mais comme beaucoup font une emp et hop je pose le stellite sans préparation des dents, alors ........


RépondreCiter
Generique fraisage r2rxmm - Eugenol
lardonbis

22/01/2019 à 10h02

certes, mais contraindre un amovible dans le sens des forces de mastication je l'ai jamais trop senti. Ça fait trop bridge cette histoire.

Perso je fait mon truc, le prothésiste me colle parfois des taquet par dessus des dents non préparées, je les coupe et tout les monde est content :D


RépondreCiter
Vw campersurfvan bmnk1q - Eugenol
enlaye

22/01/2019 à 10h18

doc.yoyo écrivait:
--------
" Désolé Enlaye, là c'est toi qui dit une connerie:......."

ha voilà ça a pité :-))
tu te doutes bien que je t attendais :-) commençais à me languir , me disais y a degun qui bouge ? :-))
mais , il ici , il y a des orthos des implantos des prothesistes ,des esthetico encoleurs des paros , et tous peuvent ( vont ) prendre des coups , donc on va aussi les attendre :-)))


Orezza gazeuse verre litre ocoxey - Eugenol
casa

22/01/2019 à 10h56

ha ben voilà qui est clair , les taquets j'aime pas non plus mais mon prothésiste il m'en met partout ! j'attends la suite .


Dprtmuluo7sk4wxn8aabgsxy7sde - Eugenol
Pervers Pépère

22/01/2019 à 11h15

Au goulag enlaye !
En plus tu seras pas seul, y a casa qui y est déjà, pensez à prendre des provisions avant quand même.


Orezza gazeuse verre litre ocoxey - Eugenol
casa

22/01/2019 à 11h37

ha ha ha , remarque avec Enlaye , ça me va , on va bien rigoler !


Generique fraisage r2rxmm - Eugenol
lardonbis

22/01/2019 à 12h21

t'es pas en taule toi !
putain de laxisme !


mr smith

22/01/2019 à 12h28

enlaye écrivait:
------
> doc.yoyo écrivait:
> --------
> " Désolé Enlaye, là c'est toi qui dit une connerie:......."
>
> ha voilà ça a pité :-))
> tu te doutes bien que je t attendais :-) commençais à me languir , me disais y a
> degun qui bouge ? :-))
> mais , il ici , il y a des orthos des implantos des prothesistes ,des esthetico
> encoleurs des paros , et tous peuvent ( vont ) prendre des coups , donc on va
> aussi les attendre :-)))

attention cela va pleuvoir des taquets ;o)


Vw campersurfvan bmnk1q - Eugenol
enlaye

22/01/2019 à 13h11

:-))
ç est que j en ai pris des taquets , donc si ça peut vous éviter de mauvais coups , vous gagnez des années avec ce que je vous raconte .
mais si toutefois y en a un qui continue a me faire le mariole , je distribue aussi avec plaisir :-)))


Vw campersurfvan bmnk1q - Eugenol
enlaye

22/01/2019 à 13h22

bon regardes ce cas .
2016 : il se plaint de bourrages alimentaire secteur 10 + des petites fractures sur gros compo .
pas de pb , que je lui dis , j'va te couronner la pm mon grand tu vas etre bien comme tout .
2019 : houuuuu l enc . mais pourquoi ? qu est ce que j ai fait pour que ça merde autant sur ma 15 ( perte de contact ) ?

Bb hb8ftu - Eugenol

Hok 1b hgd3rj - Eugenol
Hokusai

22/01/2019 à 13h26

est ce que ca a quelque chose a voir avec la fonction anti-retrusive des premières prémolaires ??


Vw campersurfvan bmnk1q - Eugenol
enlaye

22/01/2019 à 13h35

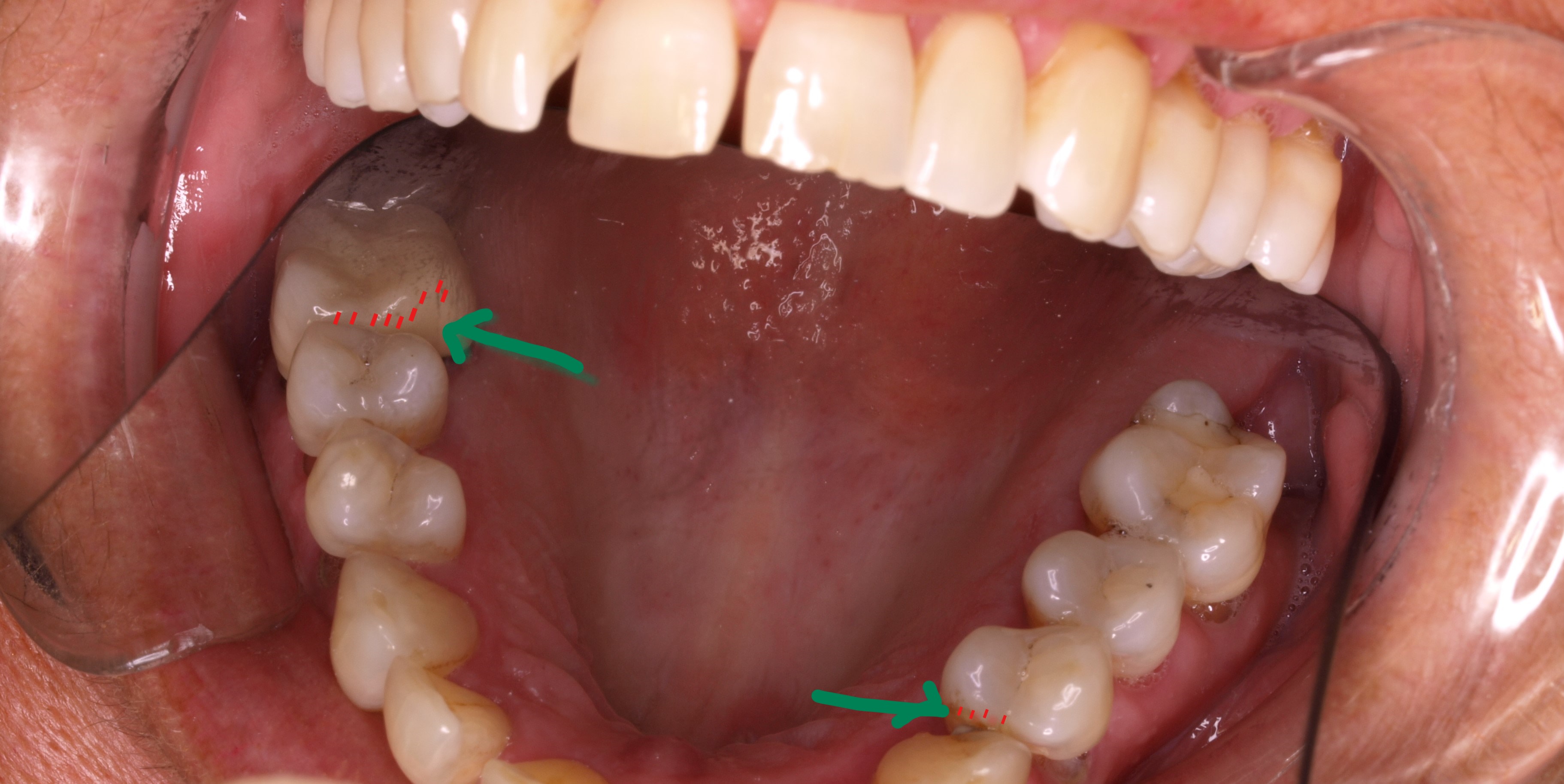
et donc je cherche en bas secteur 30 . et voilà . j avais pas vu , ou tout au moins je manquais encore de conviction quand au décalage des crêtes marginales .
tu vois la crête mesiale de 6 en fer ? avec la mega facette d usure en proximal ?
et bien au fur et a mesure des usures dentaires , le metal lui ne s est pas usé , et ça a créé une prématurité .
or une prema sur une crête , ç est un drame pour le mvt OIM / ORC .
donc qu est ce qu il fait le gonz ? eh bien il va se décontracter , du coté opposé pour eviter cette prema .
il va du coté opposé , tout en reculant son ATM coté droit , pour espérer faire avancer son ATM coté gauche . et anisi , il évite cette putain de crête .

Aa yrig61 - Eugenol

Vw campersurfvan bmnk1q - Eugenol
enlaye

22/01/2019 à 13h36

Hokusai écrivait:
-------
" est ce que ca a quelque chose a voir avec la fonction anti-retrusive des premières prémolaires ?? "

bien vu , il faut tjs y penser , mais ce n etait pas le pb , nos post se sont croisés


Vw campersurfvan bmnk1q - Eugenol
enlaye

22/01/2019 à 13h40

donc avant toute chose et avant de reprendre le cas , hop , il faut remettre à niveau la crete marginale à la fraise . et voilà . à partir de là on peut recommencer a bosser .

Cc q2y3u4 - Eugenol

Vw campersurfvan bmnk1q - Eugenol
enlaye

22/01/2019 à 13h57

certes cette couronne fer etait vielle , et à coup sur , il y avait dejà un décalage des crêtes d origine .ce qui avait créé plein de pb ailleurs
moralité : avant de commencer tout travaux , il faut mettre à niveau les crêtes marginales , ( meme si ce n est pas toi qui ai fait les prothèses antérieures ) .
et ça ç est facile , pas besoin d articulateurs de ci de là et de tout le con de Manon .

tu me disais quoi déjà ? , les taquets d occlusion des stellites ? mouhahahaha


12...