Cookie Consent byPrivacyPolicies.com4eme p'tit tuto occluso proximo - Eugenol
6szjws718sv1jksw54v4mpj3a6cu - Eugenol
vulpi

22/02/2019 à 12h59

C'est ça effectivement.
En général j'adoucie la pointe MP de la 7 sup et comme je suis un fonctionnaliste la face occlusale de la 7 inf m'est donnée par les mouvements, c'est jamais une 7 comme dans les livres. Je ménage la chèvre et le chou ;-))


Vw campersurfvan bmnk1q - Eugenol
enlaye

22/02/2019 à 13h02

oui ,si tu respectes les entrées par derriere , y a pas de mééééééé .


6szjws718sv1jksw54v4mpj3a6cu - Eugenol
vulpi

22/02/2019 à 13h08

:-)


Vw campersurfvan bmnk1q - Eugenol
enlaye

22/02/2019 à 18h48

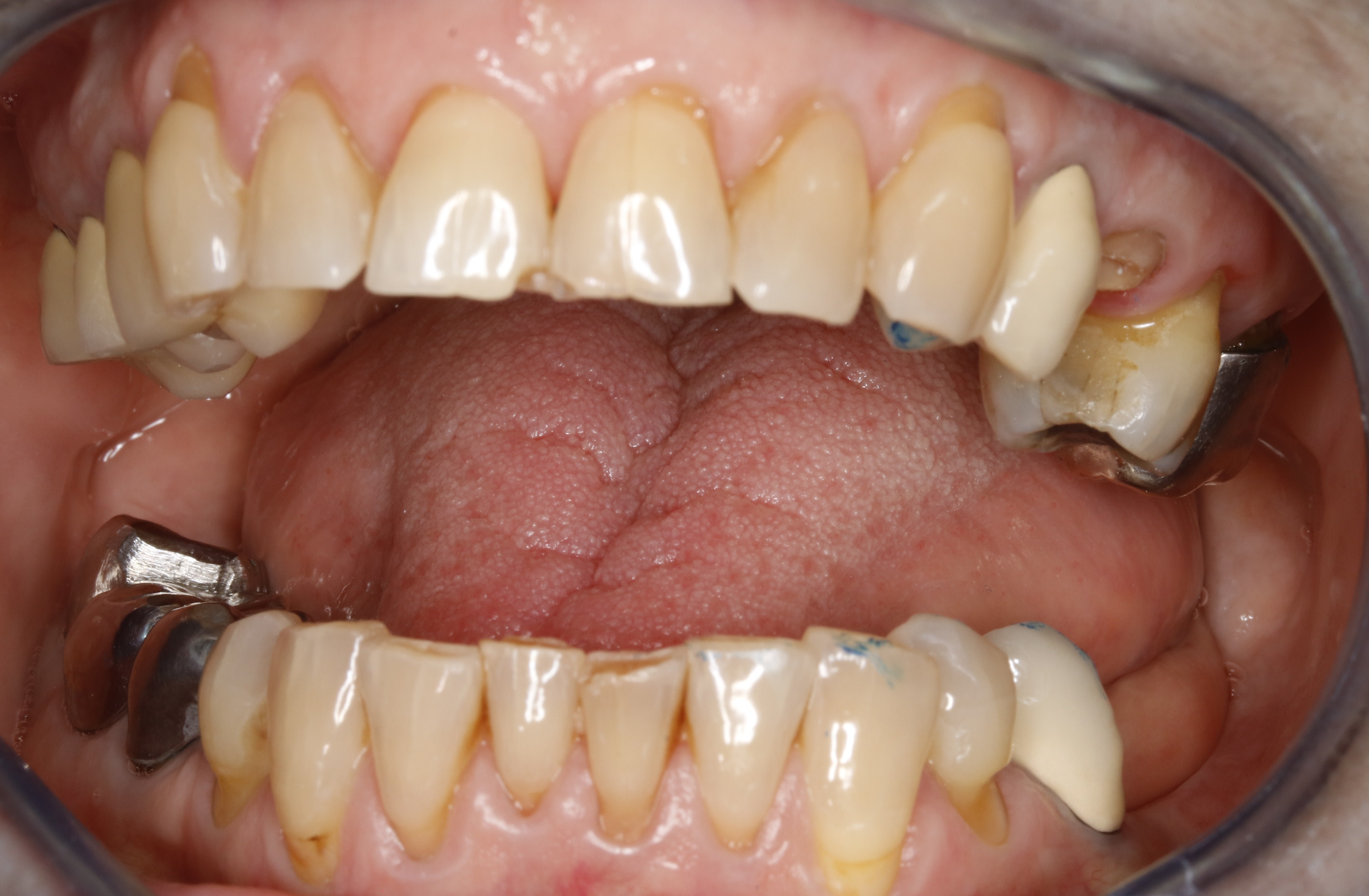
encore un cas .
une belle crête proxi , mais cette fois ci qui ne gène pas la rétropropulsion mais la propulsion .
2 eme particularité les appuis droite gauche sont dissymétriques ,( ça a une importance )

 mg 1668 ltl0og - Eugenol
 mg 1667 qrfcju - Eugenol

Vw campersurfvan bmnk1q - Eugenol
enlaye

22/02/2019 à 19h14

à cause de tout ça elle a explosé sa 25 qui etait couronnée depuis peu apparemment .
quel rapport ?
bien regardons sa position nocturne

 mg 1669 uzidhy - Eugenol

Vw campersurfvan bmnk1q - Eugenol
enlaye

22/02/2019 à 19h52

son seul échappatoire , est non pas de partir en avant puisqu elle ne peut pas , pour cause de son escalier énorme . non pas de partir à droite puisqu il manque des dents et donc un calage .
elle ne peut partir qu a gauche , comme sur la photo .
et en allant à gauche ( vous la voyez la facette d appuis en mesio vest de 46 ? ) elle a le choix de son callage , par contre à droite elle n a pas le choix ce sera forcement sur la 25 afin d avoir le trepied le plus écarté possible pour une raison de stabilité évidente .


6szjws718sv1jksw54v4mpj3a6cu - Eugenol
vulpi

23/02/2019 à 00h31

enlaye écrivait:
------
> à cause de tout ça elle a explosé sa 25 qui etait couronnée depuis peu
> apparemment .
> quel rapport ?
> bien regardons sa position nocturne
Joli exemple de conscience professionnelle. Donc tu invites les patientes à dormir à la maison, pour regarder leurs positions nocturnes.
Je dis bravo.


Vw campersurfvan bmnk1q - Eugenol
enlaye

01/03/2019 à 20h20

bon apres il y a des cas où tu te demandes mais qu est ce qu il ç est passé ? pourquoi elle ? tu baisses les bras . dis y , toi moi j'peux plus :-)

 mg 1679 cpg5vg - Eugenol

6szjws718sv1jksw54v4mpj3a6cu - Eugenol
vulpi

02/03/2019 à 09h18

:-))) (j'avais pas vu!-))
On a tous les mêmes problèmes finalement:-)


paul53

20/10/2024 à 07h11

enlaye écrivait:
------
> bon apres il y a des cas où tu te demandes mais qu est ce qu il ç est passé ?
> pourquoi elle ? tu baisses les bras . dis y , toi moi j'peux plus :-)
Belle collection de mylolyses


Vw campersurfvan bmnk1q - Eugenol
enlaye

20/10/2024 à 09h08

Ah ? Tu ressors les vieux dossiers ? :-)
Ils étaient rigolos les fils à cette époque :-)
toi tu veux attirer le grand Mistigri ordonnateur des rues sombres :-)


Vw campersurfvan bmnk1q - Eugenol
enlaye

20/10/2024 à 09h17

Avec une pensée pour Mr Smith qui nous a quitté suite à une maladie de merde .


1...56