Cookie Consent byPrivacyPolicies.comAligneur in-house - Eugenol
1309531 ours brun n5iukf - Eugenol
seespan

22/01/2019 à 03h27

Depuis quelque mois je me suis mit de manière intensive à la réalisation d'ailgneur in-house.
J'ouvre un sujet non pas pour montrer ce que je fais, mais pour discuter de façon générale de cette modalité de traitement dans différent type de structure.
Quel sont les options matériel, logiciel, intérêt de réaliser soit même en intégralité ou déléguer certain partie .

Pour ceux qui veulent partager leur expérience et ceux qui sont intéresser pour ce lancer dans l'aventure.



--
หมอจัดฟัน


Photo pluton1b h9n4ea - Eugenol
pluton

22/01/2019 à 07h50

plutôt intéressé par le sujet, vu que j'ai une caméra 3D et une petite imprimante 3D à fil...
çà serait l'occasion pour moi de m'y mettre ou de faire des contentions avec petits setup de finition...


1309531 ours brun n5iukf - Eugenol
seespan

22/01/2019 à 08h03

Oui dans ce cas il ne te manque plus que le logiciel et de quoi faire les plaques (encore que je crois que tu as déjà) .
Pour les logiciels tu as as trois options

- soit tu bricoles avec meshmixer , perso j'ai jamais fait mais tu trouves des tuto sur le net. Je n'aime pas trop cette option car ça me parait assez chronophages, et les aligneurs deviennent très chronophage quand tu dépasses un certain seuil d'étape/ou de cas. Il ne parait donc pas super malin de commencer avec une option qui ne peut pas trop évoluer.

- Des logiciels pro ou tu payes à l'usage, tu en as plusieurs

https://ortodonta.com/en/ddp-ortho-2/
Elementrix de sursmile
Bluesky plan
https://www.archform.co

Ca c'est ceux que je connais.

Ca me parait plus simple pour commencer car tu ne sais pas quel volume de patient tu vas avoir ( ça va dépendre en grande partie de comment se passe tes premiers cas) , et ça t'évite de t'en coller pour 2 ou 5K + la maintenance chaque année.

Plus plusieurs des solutions ( DDP, archeforme, elementrix ) ont une option ou tu payes pour que les techniciens te fasse les setup.

- Tu achètes un logiciel . Ça je déconseillé avant d'avoir une certaine expérience.

Au US elementrix semble assez populaire pour les aligneurs mais perso je ne l'ai jamais essayé.


--
หมอจัดฟัน


1309531 ours brun n5iukf - Eugenol
seespan

22/01/2019 à 08h08

Je conseillerais aussi de faire des formations spécifique au aligneur ( invisalign, bouquin, formation sur le net).

Comme indiqué plusieurs fois, les aligneurs c'est le vrais piége à con. Ca parait simple mais ça ne l'ai pas du tout.
Dernièrement j'ai eux des écho par les prof de ma fac, de plusieurs labo qui c'était mis à faire ça en Thailande. Les résultats sont pas top top.
Par contre très prédictible et économique si les indications sont bien posées.


--
หมอจัดฟัน


Icon poker h4nm2d - Eugenol
jeff

22/01/2019 à 09h08

Quand tu fais de l’ortho et que l’on te vends une trio, en général, on te vend aussi orthoanalyseur et tout les modules qui vont avec car tu aimes payer des licences.
Si tu achètes une medit, c’est que tu fais attention à tes dépenses :) et que tu aimes la liberté :)))
Tu as donc un problème : que choisir ?
Si tu veux des beaux modèles numérique gratos, il y a mon tuto meshmixer.
Pour les aligneurs :
Meshmixer : tu es obligé de faire chaque modèle un à un. Je crois que c’est ce que tu fais , seepan, mais avec meshmixer, c’est vraiment pas pratique . Pas de valeur de rotation, de torque...
J’ai la version démo de maestros 3D, je regarde .
J’ai fais quelque cas simple avec blueskyplan.
Je vais regarder tes autres liens.
Pour la formation ,
Il faut savoir faire son setup, et donc apprendre. Une formation invisalign ne va pas te donner cette formation. ( il faut voir les conneries qu’ils peuvent proposer comme cleancheck ).
Je conseille encore le slot concept de jf Ernoult .
Pluton, toi qui fais de l’ortho comme moi, je te conseille le cycle complet, tu ne devrais pas regretter .


Icon poker h4nm2d - Eugenol
jeff

22/01/2019 à 09h08

;


1309531 ours brun n5iukf - Eugenol
seespan

22/01/2019 à 09h21

jeff écrivait:
----
> Quand tu fais de l’ortho et que l’on te vends une trio, en général, on te vend
> aussi orthoanalyseur et tout les modules qui vont avec car tu aimes payer des
> licences.

Oui et non , c'est plus que tu as le scanner qui est associé à un ordinateur, donc il parait logique d'utilisé un module supplémentaire sur ton programme de scan, que d'installer un programme différent et de faire des exportation ( sur un autre ordi ? ) .

A noter que j'ai déjà vue des ortho US, utiliser la trio mais un programme non lié pour faire leur aligneur.

Le soucie que j'aurais avec le module de 3shape c'est que tu ne peut pas l'installer autre part que sur la station du scan, ce qui veut dire que l'utilisation est limité ( impossible à utilisé si tu scannes et bien entendue il faut être au cab ).

Un programme indépendant ( comme les logiciels payant cité plus haut ), tu l'installes ou tu veux.

La question de la communication se pose aussi. Par exemple mon software est très pratique pour communiquer entre différent ordi.
Je fais mes set up sur mon portable, puis j'envois le fichier au protho, qui l'ouvre avec ça version et me fait l'exportation des STL/ Impression.
Si j'était resté au Cambodge l'étape suivant ça aurait était de leur apprendre les règle de base pour bouger les dents, puis de contrôler à distance.

> Si tu achètes une medit, c’est que tu fais attention à tes dépenses :) et que tu
> aimes la liberté :)))
> Tu as donc un problème : que choisir ?
> Si tu veux des beaux modèles numérique gratos, il y a mon tuto meshmixer.

Oui mais encore une fois, ça ne fait jolie que pour le dentiste, je doute que le patient soit sensible à une base orthodontique.

Regarde comment convertir tes fichiers STL en PDF 3D et ça sera à la fois plus utiles et impressionnant pour tes patients.

> Pour les aligneurs :
> Meshmixer : tu es obligé de faire chaque modèle un à un. Je crois que c’est ce
> que tu fais , seepan, mais avec meshmixer, c’est vraiment pas pratique . Pas de
> valeur de rotation, de torque...

Oui je fais mes modéle un à un.

La majorité des logiciels on une option ou tu fait juste le set up final et ensuite c'est séquencé par incrémentation.
Perso je ne crois pas que ça marche à part pour les cas simple.

> J’ai la version démo de maestros 3D, je regarde .
> J’ai fais quelque cas simple avec blueskyplan.
> Je vais regarder tes autres liens.
> Pour la formation ,
> Il faut savoir faire son setup, et donc apprendre. Une formation invisalign ne
> va pas te donner cette formation. ( il faut voir les conneries qu’ils peuvent
> proposer comme cleancheck ).

Les formations invisalign c'est plus pour voir la logique du placement des attachements, le séquençage des mouvement, ect .
C'est quand même eux les plus performant et de loin.


> Je conseille encore le slot concept de jf Ernoult .
> Pluton, toi qui fais de l’ortho comme moi, je te conseille le cycle complet, tu
> ne devrais pas regretter .


--
หมอจัดฟัน


1309531 ours brun n5iukf - Eugenol
seespan

22/01/2019 à 09h49

Un fichier PDF 3D
Ca s'ouvre avec adobe comme un pdf classique. Il faut cliquer sur l'object 3D pour activer l'option 3D.
C'est super léger, l'on peut faire des rotation zoom, couper , supprimer , faire des mesures ( l'object étant calibré les mesures seront en taille réelle ), ou exporter au format STL

Bref très pratique pour transmettre au patient. Bon là il y a des bases orthodontique ...


--
หมอจัดฟัน


Icon poker h4nm2d - Eugenol
jeff

22/01/2019 à 19h21

Ddp ortho, le truc polonais, je l’ai installé. En fait , tu ne fais pas toi même le set up , c’est un logiciel d’analyse de cas .
Je vais regarder archform , qui semble correspondre au cahier des charges .


Icon poker h4nm2d - Eugenol
jeff

22/01/2019 à 19h24

J’ai eu un conctact d’un confrère qui a orthoanalyseur, et ce qui en fait ce sert de maestro 3d ( dans les 4500, sans licence )
orth’up est vraiment bien , mais 7800 €, faut pas pousser .


Casque beotien a3jo39 - Eugenol
beotien

22/01/2019 à 20h55

Merci Jeff de faire les tests des différents logiciels
c'est un gain de temps pour nous tous


Icon poker h4nm2d - Eugenol
jeff

22/01/2019 à 22h06

Je rentre de Paris de la session 4 du slot.
J’ai regardé le site d’archform. 50 euro le cas , cela fait le double de bsp. Mais la segmentation est décrite comme automatique : gain de temps .
5 premiers cas free. J’essayerais donc, là je suis dans le train :)
Par contre , il semble que le déplacement des dents soit avec un outil, sans contrôle des valeurs en direct : à vérifier car ça , c’est pas terrible .
En effet , pour faire un setup, il faut connaître ton encombrement, savoir avec une télé si tu peux vestibuler ton incisives, si tu veux faire 2 mm d’expansion transversale, c’est deux 2,5 degré de version des pm, par exemple .
Sur orthoanalyseur , tu peux faire le setup en indiquant les,valeur de déplacement que tu souhaites , et pas en bougeant la dent . C’est ce qu’il faut faire si tu veux faire de l’ortho.
Sur bsp, tu bouge la dent, mais tu a la valeur de déplacement qui s’affiche dans une boite , donc, ça va , tu peux contrôler ce que tu fais.


Icon poker h4nm2d - Eugenol
jeff

22/01/2019 à 22h06

;


1309531 ours brun n5iukf - Eugenol
seespan

22/01/2019 à 23h30

J'utilise une variante d'onyxceph qui est un logiciel destiné au labo ( 5K pour la licences mais avec 5 post ou tu peut installer le logiciel ).
Oui tu peut comme orthoanalyseur faire un set up et indiqué de combien tu veux que les dents bougent ( mm, ° , inclinaison, rotation ect ) .
Mais encore une fois le séquençage automatique à partir d'un setup final je n'y crois pas une seconde.

Un, j'ai jamais vue de cas présenté avec cette modalité de traitement.

Deux, pour l'instant je fais tout mes set up individuellement et si sur certaine partie, ça peut être bêtement incrémentale ça n'est que très rarement le cas pour un cas complet.

Trois, si tu veux avoir des résultats avec le plastique, la logique n'est pas de bouger les dents sur l'ordinateur là ou tu veux qu'elles aillent, mais de bouger les dents sur l'ordinateur de telle façon que la force qui s'exerce sur les dents en bouche, est de telle caractéristique qu'elle fasse bouger tes dents là ou tu veux qu'elles aillent.
C'est là ou est le soucie principal avec le in-house. Un bon nombre d'utilisateurs sont bloqué sur une logique " je bouge la dent dans la position finale que je souhaites"

Quatre : rêver pas les coco. Invisalign à un logiciel infiniment plus performant que ce que vous pouvez acheter ( le soft calcule la position, forme et positionnement des attaches en fonction de la direction/intensité de la force souhaité en rapport avec l'anatomie de la dent ). Même comme ça c'est tout sauf automatique.
Si tu n'as pas un bon technicien ( la formation de base c'est 4 mois, avec le programme d'apprentissage mise au point par align), le résultat ne sera pas top. Si tu as un bon technicien mais ne donne pas des indications précise pour décrire ta mécanique ça ne sera pas top non plus.

Bref à part pour des cas très simple, le plastique nécessite à la fois une bonne compréhension de la mécanique ( donc une formation spécifique ) et du temps.
Of course si c'est pour bouger une ou deux dents pour finir un traitement de fixe c'est une autre histoire .

PS : oui pour bouger les dents, il faut des valeurs absolue en mm et °, à moins de vouloir faire des cas ultra simple.

--
หมอจัดฟัน


1309531 ours brun n5iukf - Eugenol
seespan

23/01/2019 à 00h08

jeff écrivait:
----
> J’ai eu un conctact d’un confrère qui a orthoanalyseur, et ce qui en fait ce
> sert de maestro 3d ( dans les 4500, sans licence )
> orth’up est vraiment bien , mais 7800 €, faut pas pousser .

Il y a plusieurs paramétre à prendre en compte quand tu choisies un soft.
- Combien de patient tu prévois par mois
- A combien tu factures le traitement si tu le facture (plus combien ça te coûte de faire les gouttières )
- Sera tu le seul à l'utiliser ect.
- type d'utilisation possible ( set up diagnostique, communication avec le patient, collage indirect , ect ).

Il y a pas mal de point, ou tu ne peut pas savoir comment ça va se goupiller avant d'avoir essayée. Plus ne pas oublier que la phase d'enthousiasme de début ne dure pas ...

C'est pour ça que je conseille d'essayer avec un gratuit dans un premier temps. Une fois que tu as fait quelque cas , tu as plus d’élément pour faire une analyse clinique et économique complète.

Par exemple dans mon cas, un soft sur une seul station situé au cab, c'est out. Tout simplement irréaliste quand tu dépasses un certain volume de set up ( je parle de set up plus que de nombre de patient ). Pour d'autre ça peut suffire largement.



--
หมอจัดฟัน


1309531 ours brun n5iukf - Eugenol
seespan

23/01/2019 à 01h50

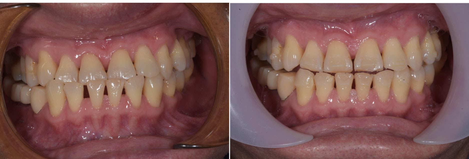
Un exemple pour illustrer le décallage entre le set up sur l'ordinateur est les effets en bouche.
Un cas ou je veux faire une intrusion du secteur anterieur inf.
Première image comparaison entre situation initial et situation présente ( j'avais repris une empreinte pour pouvoir comparer les modèles 3D ). On voit qu'une intrusion à eu lieux.
Deuxième image comparaison du scan avec le set up pour cette étape. On voit que l'intrusion sur le set up est plus importante que la réalité.

Y a d'autre subtilité avec le in-house, mais pour faire bref vous aller apprendre plus vite à faire de l'orthodontie lingual que de bouger les dents de manière prédictible avec du plastique.
Toute la magie marketing d'align c'est d'avoir réussie à convaincre les dentistes/orthodontiste que son produit était simple à utiliser.




--
หมอจัดฟัน

Lim4 nacsnk - Eugenol
Lim6 xen3vi - Eugenol

1309531 ours brun n5iukf - Eugenol
seespan

23/01/2019 à 04h40

Un exemple vue ce matin, illustrant aussi la différence entre le set up virtuel et la réalité.
A noter ça n'a rien à voir avec mon software ou le plastique que nous utilisons. Tu as exactement le même phénomène avec algn et il faut compenser dans le set up.
Si le patient est deepbite tu finie en open bite par exemple.
Pour ce patient on en est à deux mois et demis de traitement et 30$ de matos à la louche :-)


--
หมอจัดฟัน

Song1 l78hyz - Eugenol
Song2 h8gqz3 - Eugenol
Song3 t0hjrv - Eugenol
Song4 exdk6p - Eugenol

1309531 ours brun n5iukf - Eugenol
seespan

24/01/2019 à 01h55

Pas plus de participation ?
Y a en pas mal qui on des cameras intra buccal sur le groupe pourtant.
Si vous voulez soumettre des cas pour avis n’hésitez pas .
Les aligneurs ça peut être un vrais slam dunk quand l'indication est bien posée, si mal posée ben au pire il n'y a rien qui bouge :-) .

Pour ceux qui veulent se lancer vous chercher des cas avec une bonne occlusion postérieur, pouvant se régler par tipping et de petite rotation.
Attention, rotation des canines et incisives lat sup à éviter ( ça se fait mais il faut des attachements ).

Avec un scan intra oral, un logiciel payant à l'usage vous pouvez essayer deux trois cas à très faible coût (voir avec votre labo ).



--
หมอจัดฟัน


1309531 ours brun n5iukf - Eugenol
seespan

25/01/2019 à 01h55

Bon décidement personne ne veut se lancer dans du in-house même pas pluton ...

Enfin si j'ai eu un nonolien qui va m'envoyer ses propre scan pour que je lui fasse la segmentation :-) .

Sinon pour les proprio de la 3shape, on m'a citée un prix de plus de 8K pour le module orthoanalyser...
Je veux bien que le logiciel soit bon ( encore que mes collègue US/Canadien ne soient unanimement enthousiaste ) mais c'est littérallement hors de prix.
Le soft que j'utilise tourne à 5K pour 5 licences et à plus de fonctionnalité.
Je ne sais pas si l'export des STL se fait facilement avec la 3shape ( chico un avis) mais à moins que chaque export soit payant/hors de prix , je conseillerait fortement de regarder d'autre option.

Juste le faite que le soft soit attaché à la station de travail est un très très gros handicape. Ca veut dire ne peut s'utiliser qu'au cab, par une seul personne à la fois et quand le scan n'est pas utilisée.

Pour les aligneurs la délégation est une étape importante donc ce soft à une évolutivité très limité.

--
หมอจัดฟัน


1309531 ours brun n5iukf - Eugenol
seespan

25/01/2019 à 05h16

Pour débuter un exemple de cas vue ce matin.
Patient vient pour une petite récidive au secteur antérieure mandibulaire.
Tout peut se régler par stripping/tipping/petite rotation et pas besoin d'attache.
Ici 10 aligneur on était prévue et en on est au numéro 7.
Rien de sorcier et c'est l'un des rare type de cas ou il faut plus ou moins bouger les dents là ou vous vouler qu'elles aillent.



--
หมอจัดฟัน

Ti egljmq - Eugenol

dmoh.

25/01/2019 à 09h05

Bonjour.
Entre le plastique et la 2D , c'est le choix du patient qui prime ou bien le resultat de la mecanique ? (pour ce cas bien-sur)
.Autre chose : cette recidive est-elle due à l'effet du vieillissement avec mesialisation des dents posterieures, et donc grosses pressions sur les plus faibles(31/41) ; ou bien à l'effet d'une mauvaise contention collèe ?
MERCI.


1309531 ours brun n5iukf - Eugenol
seespan

25/01/2019 à 09h21


Tout est une question de prix, tu regardes combien de temps tu vas passer au fauteuil, le coût matériel, et tu détermines un prix pour les deux options.
La 2D est plus confortable mais le plastique est plus rapide ici avec moins de rendez vous. Tout dépend du patient.
Ici je pencherais fortement pour le plastique, mais certain patient préfère une option ou ils n'ont rien à faire.


--
หมอจัดฟัน


1309531 ours brun n5iukf - Eugenol
seespan

25/01/2019 à 12h07

Concernant le coût d'un traitement par aligneur ça va dépendre entre autre du cout de production pour le cab, et ça varie énormément.
Le prix pour produire un aligneur d'après un fichier STL varie de 1$ ( c'est moi :-) , impression FDM et deux aligneur pas galette de plastique ) à plus de 50$ ( quand tu confies impression + réalisation de la gouttière à certain labo.

Si tu veux être bon, il faut pratiquer, c'est con à dire mais c'est très vrais. Le seul soucie c'est que produire beaucoup d'aligneur ça nécessite de la main d'oeuvre. Dans un cab classique réaliser quelque gouttière par jour ne vas pas poser de soucie, mais a partir d'un certain nombre il va falloir embaucher , et là suivant le pays ou vous résider le coût du traitement va exploser.

Vous faire quelque aligneur et déléguer l'impression/aligneur à l'assistante ne vas pas poser de soucie. Au dela d'un certain seuil par contre c'est quasi un post à plein temps. Vous regarder le prix d'une embauche en France et vous voyez que l'équation économique change complètement.

Les aligneurs c'est un vrais piége à con au niveau économique et clinique :-) . Clinique because encore une fois c'est nettement moins simple que ce que l'on peut penser surtout pour les cas moyennement compliqué, et économique car les coût de production augmente très rapidement avec la complexité/nombre de cas.

En France je dirais qu'il y aurait un fort avantage à se regrouper à plusieurs dentiste/ortho pour se lancer dans la partie labo. Je ne sais pas si c'est faisable au niveau légal mais c'est la direction que je creuserait.





--
หมอจัดฟัน


1309531 ours brun n5iukf - Eugenol
seespan

26/01/2019 à 01h48

Bon personne interessé ?
Là j'avoue je suis déçus. Sur les groupe US/Canadien le in-house est un sujet très actif.
Les différent type d'imprimante, résine , plastique, les différentes technique d'impression ( c'est là que j'ai appris que l'on pouvait imprimer une arcade avec la formlab2 pour 1 euro de résine ) .
Les différents type de plastique pour la réalisation gouttière
Les différentes technique pour faire les gouttiéres
Les colles et résine pour les attaches
Ect ect

On à même deux ou trois Français très actif sur le sujet.

Pour ceux que le sujet intéresse vous pouvez me contacter par PM je vous donnerais les noms de groupes FB qui se spécialise sur le in-house.

Le in-house c'est comme toute nouvelle technique, ça demande un investissement temps et matériel au début, mais bien organisé ça présente des avantages certain pour le cab.


--
หมอจัดฟัน


Mon avatar msn jgkit1 - Eugenol
Ewing

26/01/2019 à 18h44

J’attends mon matos:

Trios 3Shape
Imprimante résine SL1 Prusa
OnyxCeph version labo+module aligneur
(J’ai déjà la thermoformeuse Scheu)
Plaques Essix ACE

En attendant je me forme comme je peux et commence à comprendre les principes, qui diffèrent du multibague.

Quels sont les liens pour les forums américains ?

À bientôt


12...