Cookie Consent byPrivacyPolicies.compatient refusé à l'armée - Eugenol

patient refusé à l'armée

jeunedentiste001

11/03/2019 à 09h52

L'assistante a eu un coup de fil ce matin concernant un patient qui veut faire l'armée
Je l'avais vu il y a un mois, premier rdv pour bilan et 2e rdv pour dtt
je n'avais pas décelé de carie

L'appel concerne donc ce patient qui apparemment a été refusé à l'armée car ils ont trouvé une carie.

Ça me parait assez étonnant, peut être que je suis passé a coté, on verra à son rdv.
Mais je pense qu'ils ont peut être du voir des sillons un peu noirs et ont pris ça pour une carie ?

Si a son prochain rdv je vois que des sillons noirs, et pas vraiment de carie, et que j'estime personnellement qu'ils n'y a pas à intervenir. Que dois je faire ?

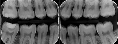
ci joint les radios, pour la 47 il ya une résine avec un fond de cavité

Jescqilsu9ulrnrpue4g - Eugenol

leplombier

11/03/2019 à 10h04

Ils veulent toujours une pano dans leur dossier : ils ont du en faire une ou en prescrire ne et ont vu la 47.
Que ferais tu en voyant une image de la 47? prendrais tu le risque d'envoyer le patient en Opex pendant des mois?


P2eqdh3csim6s7nb09ktdq3e7ev8 - Eugenol
barbabapat

11/03/2019 à 10h11

Explicite ton diagnostic avec des radios pour traiter de la stabilité clinique de ton coiffage pulpaire.

Après sous marinier, fait l'endo. Opex, ca peut être plus facilement tolérable.

Reste qu'en fonction de ce qu'il veut faire à l'armée, parachutisme, nageur de combat, les traitements à faire peuvent la aussi être différents.


fatalmolaire

11/03/2019 à 10h46

Assez étonnant ce recalage toutefois si c'est pour intégrer simplement l'armée et attaquer les formations....maintenant si c'est pour partir rapidement en opex genre au Mali après 10 mois d'instruction...ils aiment pas trop les militaires mieux vaut faire l'endo de la 47...Mais j'ai déjà un cas ou le futur guerrier était accepté sous réserves qu'il fasse soigner ses rattiches et avec Pano post soins il a été intégré....


Utilisateur banni

11/03/2019 à 11h05

J’ai souvent constaté la même chose que toi. Y en a pas mal qui voient des caries là où t’en as pas. Je soupçonne certains parmi eux de fumer la moquette et d’ avoir des hallucinations psychédéliques . Dans ce cas tu les laisses braire. Tu fous un sealant en fond de sillon , comme ça, ça t’évite de lui délabrer les dents pour rien :) . Et tu leur fais un papier pour dire que la carie est traitée. :)


Avatar transparent iqadnc - Eugenol
adhoc

11/03/2019 à 11h14

Meme si la 47 est a l'equilibre dentine tertaire-cavité-pulpe, la proximité pulpaire rend quad meme difficile la notion de stabilisation a long ou moyen terme.
Le dentiste de l'armée a jugé les risques potentiels que présenterait cette 47 .Il n'aurait pas du parler a proprement de carie, mais de risques non nuls de pulpite a moyen terme, pas top en opération.
Pas tres facile a classer, cette 47. Concretement, soyez honnetes, on vous dit "un an sur une ile deserte sans soins médicaux possibles" , vous vous feriez traiter endodontiquement cette 47 ou non avant de partir?


P2eqdh3csim6s7nb09ktdq3e7ev8 - Eugenol
barbabapat

11/03/2019 à 11h20

J'ai eut le cas avec un militaire d'active qui avait une dent avec une infection visible sur la radio, pas le temps de faire les soins correctement avant son déploiement et une stabilité clinique avec l'absence de douleur. Par rapport à une opex de 3 mois, il est parti avec des antibio et le traitement s'est fait à son retour en France.

La notion de soins dépend clairement de la situation. Et opex pour le cuisinier, ca n’est pas opex pour une personne qui sera plus actif en première ligne.


P2eqdh3csim6s7nb09ktdq3e7ev8 - Eugenol
barbabapat

11/03/2019 à 11h21

edit


Utilisateur banni

11/03/2019 à 11h35

Le mec a certainement mis de la biodentine sur la 47 . Si la restauration supérieure n’est pas infiltrée, je ne vois pas pourquoi on s’amuserait à dépulper une dent asymptomatique


Hok 1b hgd3rj - Eugenol
Hokusai

11/03/2019 à 11h47

C est quoi ce fond de cavité qui est totalement radio-transparent ???


Avatar transparent iqadnc - Eugenol
adhoc

11/03/2019 à 11h53

Julior, la question n'est pas la, je suis daccord, faut pas depulper, dent asympto et gnagnagna :-)))

Mais un an sur une ile deserte, sois franc, que fais tu avec cette dent avant de partir?

1/ que dalle, je suis sur de ne rien avoir.
2/ ok , un peu de risque , je tente le coup, on fait rien, mais ca me travaille un peu (certes j'aurai d'autres soucis la bas)
3/ ou la la, je risque une pulpite comme dans le fim robinson crusoe ou je hurle de douleur quand je dois peter ma dent pour me soulager. Pas de ca, lisette, une endo avn,t mon depart.


On peut faire autant d'ethique et de, politiquement acceptable qu'on veut, mon juju, 1, 2 ou 3????


Utilisateur banni

11/03/2019 à 11h58

Tout dépend quand cela a été fait.
1) si ça fait plusieurs mois que c’est en place sans aucune sensibilité. On n’y touche pas
2) si ça fait plusieurs mois que c’est en place , avec des sensibilités récurrentes => je dépulpe
3) si ça vient juste d’être fait , et qu’il n’y a pas de sensibilité, je n’y touche pas non plus
4) si ça vient juste d’être fait et qu’il y a Des sensibilités, je dépulpe si à 2 semaines on a encore trop de sensibilités

Ça a été fait quand cette 47?


Capture d  cran 2015 03 12 12.28 - Eugenol
chicot29

11/03/2019 à 12h09


La biodentine c'est pas radio clair. Et tu ne laisses pas de la merde en dessous.

--
En cas d'échec des négociations conventionnelles, seriez-vous prêt à suivre la promotion d'un déconventionnement massif de la profession par les syndicats représentatifs ? OUI - NON
Participez, anonymement, sur https://goo.gl/forms/nAO0htnsVmxotjYm1


Hok 1b hgd3rj - Eugenol
Hokusai

11/03/2019 à 12h12

chicot29 écrivait:
--------
>
> La biodentine c'est pas radio clair.
>
> --

Clairement... C est a peine moins radio opaque que la dentine. La c est quand même très très radio clair...
Pour moi la c est de la biocarix... ;)


Utilisateur banni

11/03/2019 à 12h41

:))) peut être bien
De toute façon y a un truc louche de l’autre coté avec de la biocarix à l’intérieur aussi

Ea3fe679 2241 4f69 a42e 811e29eb2cf0 hyntvj - Eugenol

Hok 1b hgd3rj - Eugenol
Hokusai

11/03/2019 à 12h47

Non ça c est la projection de la convexité de la racine distale qui crée une zone radioclaire.


Utilisateur banni

11/03/2019 à 12h57

oui pourquoi pas. De toute façon ça ne coûte rien de démonter la restauration de 47 et de voir si il y a bien de la biocarix


Hok 1b hgd3rj - Eugenol
Hokusai

11/03/2019 à 13h00

Surtout qu après tu peux faire une jolie endocouronne.
Une belle endo + endocouronne et là il peut aller l esprit tranquille en opex avec un traitement a l apex.


zolimome

11/03/2019 à 13h36

En opération il n'y a aucune chance que le risque soit pris d'un rapatriement sanitaire pour une dent : il sera recalé.

le reste c'est de la littérature


rice and carie

11/03/2019 à 14h14

barbabapat écrivait:
----------
Après sous marinier, fait l'endo. Opex, ca peut être plus facilement tolérable.
>
> Reste qu'en fonction de ce qu'il veut faire à l'armée, parachutisme, nageur de
> combat, les traitements à faire peuvent la aussi être différents.
-----------

NON OPex ce n'est pas plus simple. Une évacuation sanitaire au fin fond du Sahel ce n'est pas très bien vu. et là généralement il y a un imprimé plus spécifique qui te demande le besoin en soin immédiat, à 6 et 12 mois.
là on dirait que le patient est tombé sur une personne particulièrement zélée.
J'en fais un certain nombre tous les mois et c'st la première fois que j’entends çà. Ou on a pris ce prétexte pour l'écarter.


P2eqdh3csim6s7nb09ktdq3e7ev8 - Eugenol
barbabapat

11/03/2019 à 15h07

Les opex sont très souvent de 3 mois. Ce qui n'est pas plus simple pour les récupérer au retour surtout aujourd'hui avec le format de l'armée qui est très serré pour les rotations.

Du temps de l’Afghanistan, il y a avait des possibilité de traitement sur place qui devaient revenir en France avec la réouverture des postes de dentistes militaires et la possibilité de les déployer. Par contre c'est vrai, sur des postes avec une grande féminisation, pas mal de militaires parlent des difficultés à les déployer sur le terrain.

Avant de faire revenir en France, tu avais dans le temps des bases arrière dans différents pays du secteur qui servent à la logistique et qui peuvent supporter des hôpitaux militaires de campagne. Par contre c'est vrai, que c'est plus simple lorsque les américains sont eux aussi déployés, car on a alors souvent accès à leurs installations.

Enfin, oui, en fonction de ce que fera le militaire en Opex, le soins peut être différent dans cette situation. Un parachutiste ou un nageur de combat ou un sous marinier n'ont pas les mêmes contraintes et globalement un des problèmes par rapport aux rotations et que certaines unités plus avancées ont des utilisations différentes à une autre partie de l'armée qui fait de la logistique même en opex ou du maintient de l'ordre.


Capture d  cran 2015 03 12 12.28 - Eugenol
chicot29

11/03/2019 à 15h32

Hokusai écrivait:
-------
> Surtout qu après tu peux faire une jolie endocouronne.
> Une belle endo + endocouronne et là il peut aller l esprit tranquille en opex
> avec un traitement a l apex.

Je vois qu'on a le meme diagnostic. Vaut mieux pas prendre de risques. -)))
--
En cas d'échec des négociations conventionnelles, seriez-vous prêt à suivre la promotion d'un déconventionnement massif de la profession par les syndicats représentatifs ? OUI - NON
Participez, anonymement, sur https://goo.gl/forms/nAO0htnsVmxotjYm1


zazamouk

11/03/2019 à 16h05

Endo + empreinte couronne RAC 0 en 30 min, livraison 15 min et c'est bon
Pas besoin de chercher les complications, les plans de traitements innovants.
Le trio sécu/mutuel/CNSD veut du simple et pas chère !!


Hariboo uxvd6e - Eugenol
Harry Bo

12/03/2019 à 06h43

un peu trop radio clair à mon gout pour etre honnete....


jeunedentiste001

12/03/2019 à 08h34

en gros si celui qui avait fait le coiffage avait mis un produit radio opaque, cela ne vous aurait pas posé de problème ?


12