Cookie Consent byPrivacyPolicies.compatient refusé à l'armée - Eugenol

patient refusé à l'armée

rice and carie

12/03/2019 à 09h04

jeunedentiste001 écrivait:
----------------
> en gros si celui qui avait fait le coiffage avait mis un produit radio opaque,
> cela ne vous aurait pas posé de problème ?
------------------------

As tu vu la pano? et sais tu pourquoi exactement il a été refusé? le reste n'est que blabla.


fatalmolaire

12/03/2019 à 09h42

Il y a deux trois ans j'ai sympathisé avec un militaire US en poste en France et en Belgique détaché commandement OTAN et donc pour lui rendre service et lui être agréable je l'ai soigné ainsi que sa famille et quelques uns de ses collègues US ...quand des soucis dentaires se présentaient ...sinon ils devaient aller sur Bruxelles ( pas de dentiste militaire US à Mons en Belgique). J'ai été assez surpris de l'état dentaire de certains guerriers qui revenaient parfois de deux rotations d'Afghanistan consécutives avec des caries et foyers pré infectieux...je m'étais imaginé qu'ils étaient mieux suivis ...et il y avait du lourd parmi eux....Airborne, forces spéciales,etc...Ils n'ont pas l'air d'avoir un suivi rigoureux sur le plan dentaire...Je ne les vois plus désormais mon " US brother" a été muté sur Hawai et comme c'est lui qui me les envoyait...ce fut une période enrichissante et interessante et mon anglais avait fortement progressé...


Logo m4n3gc - Eugenol
drmarcus

12/03/2019 à 09h59

Laisses tomber et soignes en ton âme et conscience !
Le recalage de certains individus se fait à différents niveaux. J'ai eu le cas avec un patient "très hautain"; il s'est fait malmené pour les mêmes raisons mais RAS au niveau dentaire à part une amélogénèse pas top! Vu le message d'insulte laissée par sa mère (oui oui..) je me suis dit qu'ils avaient réussi à le coincer....une telle attitude n'est pas compatible avec un esprit de corps.
Maintenant si c'est nécessaire ils ont des services de traitement dentaire; si le personnel est traitable il l'envoie sans problème en soin.


--
"La seule chose promise d'avance à l'échec, c'est celle que l'on ne tente pas" Paul Emile VICTOR


Capture d  cran 2015 03 12 12.28 - Eugenol
chicot29

12/03/2019 à 10h00

jeunedentiste001 écrivait:
----------------
> en gros si celui qui avait fait le coiffage avait mis un produit radio opaque,
> cela ne vous aurait pas posé de problème ?

Si il avait réellement soigné la carie effectivement moins de problème. ca sent le soins sans anesthésie, ouille ! On arrête tout. -)))
--
En cas d'échec des négociations conventionnelles, seriez-vous prêt à suivre la promotion d'un déconventionnement massif de la profession par les syndicats représentatifs ? OUI - NON
Participez, anonymement, sur https://goo.gl/forms/nAO0htnsVmxotjYm1


Hok 1b hgd3rj - Eugenol
Hokusai

12/03/2019 à 10h04

jeunedentiste001 écrivait:
----------------
> en gros si celui qui avait fait le coiffage avait mis un produit radio opaque,
> cela ne vous aurait pas posé de problème ?

Lequel ?? Cite un produit de fond de cavité radioclaire comme sur ta radio.


Logo m4n3gc - Eugenol
drmarcus

12/03/2019 à 10h19

Hokusai écrivait:
-------
> jeunedentiste001 écrivait:
> ----------------
> > en gros si celui qui avait fait le coiffage avait mis un produit radio opaque,
> > cela ne vous aurait pas posé de problème ?
>
> Lequel ?? Cite un produit de fond de cavité radioclaire comme sur ta radio.

Le coton ..... Ok je sors :-)))))

--
"La seule chose promise d'avance à l'échec, c'est celle que l'on ne tente pas" Paul Emile VICTOR


Capture d  cran 2015 03 12 12.28 - Eugenol
chicot29

12/03/2019 à 10h27

Hokusai écrivait:
-------
> jeunedentiste001 écrivait:
> ----------------
> > en gros si celui qui avait fait le coiffage avait mis un produit radio opaque,
> > cela ne vous aurait pas posé de problème ?
>
> Lequel ?? Cite un produit de fond de cavité radioclaire comme sur ta radio.

T'es méchant c'est un coiffage bio actif très indirect. -)))
--
En cas d'échec des négociations conventionnelles, seriez-vous prêt à suivre la promotion d'un déconventionnement massif de la profession par les syndicats représentatifs ? OUI - NON
Participez, anonymement, sur https://goo.gl/forms/nAO0htnsVmxotjYm1


Utilisateur banni

12/03/2019 à 10h38

Les anciens composites (les très vieux) n’apparaissent pas par exemple sur les radios ...
Écoute démonte et tu nous diras .


Capture d  cran 2015 03 12 12.28 - Eugenol
chicot29

12/03/2019 à 10h41

Oui mais le patient est jeune. T'envoies pas en opex des sexagénaires. peut etre aussi traité au caridex tant qu'on y est ? -)))


--
En cas d'échec des négociations conventionnelles, seriez-vous prêt à suivre la promotion d'un déconventionnement massif de la profession par les syndicats représentatifs ? OUI - NON
Participez, anonymement, sur https://goo.gl/forms/nAO0htnsVmxotjYm1


Capture d  cran 2015 03 12 12.28 - Eugenol
chicot29

12/03/2019 à 10h42

Je ne te savais pas aussi confraternel Junior. -)))


--
En cas d'échec des négociations conventionnelles, seriez-vous prêt à suivre la promotion d'un déconventionnement massif de la profession par les syndicats représentatifs ? OUI - NON
Participez, anonymement, sur https://goo.gl/forms/nAO0htnsVmxotjYm1


Utilisateur banni

12/03/2019 à 11h29

chicot29 écrivait:
--------
> Je ne te savais pas aussi confraternel Junior. -)))

:)))) j’essaie de trouver une explication.


6szjws718sv1jksw54v4mpj3a6cu - Eugenol
vulpi

14/03/2019 à 22h15


moritooth

14/03/2019 à 23h32

jeunedentiste001 écrivait:
----------------
> L'assistante a eu un coup de fil ce matin concernant un patient qui veut faire
> l'armée

Bizarre. A mon avis c'est un premier prétexte pour le dissuader. Pour "rentrer" dans l'armée, pour un jeune par la petite porte, on ne regarde pas la dentition de façon aussi poussée. S'il est solide, en bonne santé et bien dans sa tête, il sera engagé. Et c'est seulement au cours de sa période d'instruction, que des examens spécialisés seront effectués si nécéssaire. En plus un jeune engagé ne mettra pas les pieds hors de l'hexagone avant au moins 10 mois. J'ajoute que si c'est pour aller dans les DOM ou TOM, la présence de problèmes dentaires n'est pas rédhibitoire. Et la première sortie de métropole se fait forcément en outremer. C'est seulement s'il postule ou s'il est préssenti pour partir en mission en dehors de la zone France et en dehors de l'Europe, que les pathologies dentaires sont passées au peigne fin.

J'ai eu plusieurs cas. Le dernier en date, un gamin qui rate le bac s'engage sur un coup de tête sans problème. Lors de son BBD j'avais détecté des caries et des DDS enclavées et/ou incluses. Pas le temps de faire les soins, il part 6 mois en instruction avec une ou deux perm du week-end. Ensuite 4 mois de Vigipirate à Paris. Puis 4 mois en Guyanne, puis re Vigipirate pendant 6 mois comme ça lui plaisait pas, il postule pour partir au Mali. Et là examen dentaire et blocage : je le revois et les caries vues deux ans avant, personnes n'y avait touché, ni ses DDS d'ailleurs !

Alors ton gars, il doit avoir un autre défaut quelque part...


Capture d  cran 2015 03 12 12.28 - Eugenol
chicot29

15/03/2019 à 09h07

C'est l'école des fan le BAC. Il le rate pour la xième fois et le "bien dans sa tete" est engagé dans l'armée. C'a me rappelle la fois ou j'avais déconné aux tests des 3 jours. J'étais "tellement bien dans ma tête" qu'il m'avaient collé dans les paras. Heureusement pour moi ( ou malheureusement lol!) je me suis rappellé que j'en avais une de tête, J'ai fait dentaire par la suite et me suis retrouvé aspi gris souris. -)))


--
En cas d'échec des négociations conventionnelles, seriez-vous prêt à suivre la promotion d'un déconventionnement massif de la profession par les syndicats représentatifs ? OUI - NON
Participez, anonymement, sur https://goo.gl/forms/nAO0htnsVmxotjYm1


jeunedentiste001

18/03/2019 à 08h48

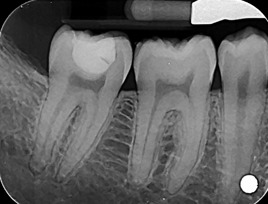
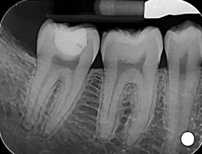
du coup j'ai revu le patient
j'ai démonté le soin, j'ai vu le fond de cavité que j'ai deposé mais pas de carie dessous visible
j'ai remis de la résine sans fond de cavité,

J'ai prévenu le patient des risques de sensibilité post op qui pouvaient venir à cause de fait que j'ai déposé le fond de cavité. Et que s'il y avait des sensibilités, il faudrait dévitaliser la dent.

Null hrr4ly - Eugenol
2019 03 16 085742 ck8rsh - Eugenol
2019 03 16 090314 urr8zq - Eugenol
2019 03 16 090940 u66yjc - Eugenol

Utilisateur banni

18/03/2019 à 09h01

Tu vois , ils se foutaient de notre tronche quand on disait qu’ il y avait un fond de cavité sans carie :) Ils m’ont même mis le doute les deux:)


Hok 1b hgd3rj - Eugenol
Hokusai

18/03/2019 à 09h02

Perso j aurais jamais pensé voir un truc aussi propre... j' avais vraiment tort. Désolé...
Je pensais trouver une dentine noire ébène... Ramollie mais assez dure... De la carie a progression très lente.

Du coup c'était quoi le fond de cav ?? Ça sentait l eugenol ??

Du coup le patient est revenu pour un sc7+z3 ?? C est pas vraiment rac0 ready cette histoire.
Fallait faire un inlay 1F.


12