Cookie Consent byPrivacyPolicies.comDépassement d'hydroxyde de calcium - Eugenol

Dépassement d'hydroxyde de calcium

LÉRY

14/03/2019 à 19h26

J'ai effectué une reprise de traitement canalaire sur une dent 36 suite à une symptomatologie et une évolution radiologique d'une lésion apicale.
Le traitement s'est effectué sous digue et accès à l'apex sans trop de difficultés.
Un instrument était déjà fracturé sur la racine mésio-vestibulaire, mais le canal disto vestibulaire est perméable et j'espère qu'il rejoint le canal MV.
Lors de séchage des canaux , celui-ci n'était pas possible sur la racine distale, aussi j'explique à la patiente que je passe par une séance intermédiaire de désinfection par l'Hyca et la place sous antibiotiques(zythromax pendant 3 jours)
Je la revois après 15 jours et désinfecte à l'hypochlorite et de nouveau impossibilité de séchage sur la racine distale, je replace hyca et place la patiente sous antibiotiques 6 jours et solupred 3 jours.
Je fais la radio de contrôle et je vois un gros dépassement d'hyca ,juste injecté à la seringue, pas de lentulo,au niveau de la lésion apicale visible radiologiquement.
La patient m'a rappelée ce matin en m'indiquant qu'elle avait arrêté le solupred hier et que ce matin les douleurs étaient présentes et gonflement.
Je lui ai indiquée de continuer le solupred jusqu'à samedi ,rdv prévu.
Que dois-je faire?
Retirer l'hyca et irriguer à l'hypochlorite , arriverais-je à tout retirer et surtout que faire si je ne sèche pas cette racine?
Quelqu'un a-t-il déjà eu ce problème?
Merci pour votre aide


Fourre tout 05 12 08 017 apc4pu - Eugenol
Pier

14/03/2019 à 20h12

Bonjour si on pouvait voir la radio ce serait un plus. Le dépassement intéresse t il le nerf dentaire? Sinon en général ce genre d'affaires moins on y touche mieux on se porte. Car tu risques de perturber encore plus. Il vaut mieux attendre et surveiller.
Bon courage


Eikichi

15/03/2019 à 01h00

Je pense que t as peut etre refilé ton stress à la patiente, Je pense pas que tu risques quoi que ce soit d irrémédiable avec un dépassement d hydroxyde de calcium. C 'est biocompatible, antibactérien, antiseptique, antiinflammatoire et j en passe. Si elle a mal c est plutot à cause de l infection ou d une réaction du au ph élévé du caOH, Je reprendrais l avis, de Pier plus haut de pas trop y toucher.
Perso moi, je donnerais un vrai antibiotique, augmentin 2g jour, qu elle continue la prednisolone 2 jours de plus, ultralevure et peut etre de l inexium 20mg , Je la revois par rapport à sa douleur pour l'evaluer et prescrire ce qu il faut, AINS courte durée et antalgique de niveau deux si nécessaire.
Fais sentir que t es là pour elle,sois disponible, rassures là mets en sous occ des que tu peux, des que la douleur passe, refermes avec quelque chose d hermetique, cvi plus compo, et attends 2.3 mois avant de réintervenir peut etre sous antibiotiques....


LÉRY

15/03/2019 à 08h00

Merci beaucoup pour votre aide,je vais la mettre effectivement samedi sous augmentin et vais attendre
C’est très gentil à vous d’ Avoir répondu
Merci


elje

15/03/2019 à 08h12

Heu quel intérêt la cortisone? J'avais cru comprendre que pour nous ce devais être utilisé en cas d'oedème et non à visée anti inflamatoire.
A mon avis l'irritation peut tout aussi bien venir de l'hypochlorite qui a pu déborder l'apex , et là tu peux mettre des tonnes d'antibio, il n'y a que le temps qui va régler la chose. Ne pas oublier que le temps biologique est différent mais surtout incompatible avec le tourbillon de la vie courante. No stress et bon courage.


Morgan ztbb1b - Eugenol
BONNET jc

15/03/2019 à 09h37

La cortisone calme énormement.


Hok 1b hgd3rj - Eugenol
Hokusai

15/03/2019 à 10h26

perso je vois pas l'interet de l'antibio... t'as injecté de la chaux vive dans la machoire d'un patient... c'est deja un bon antibio :))))


lachmar

15/03/2019 à 11h24


si le canal est impossible à assainir la lésion apicale est probablement un kyste
et la seule solution est chirurgicale : retrograde ou radicale


mjulkmilk

15/03/2019 à 12h41

https://www.joms.org/article/S0278-2391(02)04878-4/pdf

C est juste un case report... mais a avoir en memoire lors qu on " injecte" du Caoh sur molaire du bas...


Jack 2 wm3tqs - Eugenol
Treponem

15/03/2019 à 13h15

J'ai arrêté les séance de Caoh depuis que j'ai lu cet article :(
Pour ma part si sec, obtu, si pas sec, boulette d'hypo (ou éventuellement Caoh dans la chambre uniquement , histoire de dire) et cavit.


Eikichi

15/03/2019 à 13h22

@ Hokusai, je suis dans le fond d' accord avec toi.
1 A priori c'est l hydroxyde de calcium qui a provoqué la douleur, mais bon est ce que ça peut peut être faire flamber l infection... CA a pas de sens je sais mais en endo j ai vu tellement de choses qui avaient pas de sens...
2 Ca commence à faire 5 jours d ais avec une personnes stressée fatiguée et une éventuelle lésion infectieuse, ca peut pas faire de mal .
3 un eventuel effet prescription antibiotique plus fort qui peut etre utile.

Sinon +1 avec lachmar, mais je pense que l arbre décisionnel nécessite que tu fasses l endo d abord.


lachmar

15/03/2019 à 17h38


l'hydroxyde de calclium est un produit magique qui ne provoque jamais de doleur , mais a plutôt tendance à les calmers si on l'utilise correctement
ceci dit , puisqu'on a pas de radios
-ca peut etre le CDI qui n'aime recevoir aucun produit
-ou un emphysème du à une injection un peu violente


mr smith

15/03/2019 à 18h47

les vieilles recettes , retirer cavit , réaléser legerement le canal , hypo à pression très douce .... 5mn ... si soulagement de la douleur , y a un besoin de "dégazage" et je laisse ouvert 2 jours , pas plus hein ....


LÉRY

15/03/2019 à 21h04

Merci pour toutes ces infos,
Je revois la patiente demain, je vais la mettre sous Augmentin 3g/jour pendant 7 jours et vais attendre tranquillement avant de réouvrir et obturer ensuite en espérant assécher ce canal.
Je pense effectivement que la chirurgie rétrograde sera à effectuer.
J'ai essayé de mettre la radio mais je ne suis pas douée avec Julie.
Le canal dentaire n'est pas en cause, l'hyca est cantonné dans la lésion qui remonte vers la furcation.
j'ai injecté l'hyca avec seringue mais peut-être que l'embout était bloqué dans la racine et donc légère surpression?
Je vous informe de la suite des évènements
Merci à vous tous


Eikichi

16/03/2019 à 01h19

3g jour en fonction de son poids ça peut être violent... A moins qu elle ait une cellulite, tu tapes très fort, jusqu'à 70kg je pense que deux grammes c est pas mal, je sais pas ce qu en pense les autres, si elle fait 90 kg ok.


lachmar

16/03/2019 à 11h03


ceci dit avec une expérience de 40 ans

je n'accorde aucune confiance aux dents qui m'ont emmerdé et je préfère les voir au bout de mon davier que porteuses d'une couronne qui engage ma responsabilité

mon maitre le professeur batarec disait : "on fait un metier merveilleux parceque quand on fait une connerie on peut extraire la preuve"


220px don camillo4 qrcfhs - Eugenol
camillo

20/03/2019 à 18h23

Personnellement j'aime bien qu il y ait un petit dépassement d'hycal.
J'ai l'impression que ça aide à la baisse rapide de la charge infectieuse.
Après, ce n'est peut être qu une impression...

20190320 181614 xkbzq6 - Eugenol

Avatar transparent iqadnc - Eugenol
adhoc

20/03/2019 à 19h58

  

Copieecrannewbie1 tct02k - Eugenol

Eikichi

21/03/2019 à 23h56

Des news ?


LÉRY

22/03/2019 à 11h09

J'ai revu ma patiente samedi,l'ai placée sous Augmentin 3g/jour et ai laissé la dent en attente.
Je la revois début avril pour tenter un sèchement du canal.
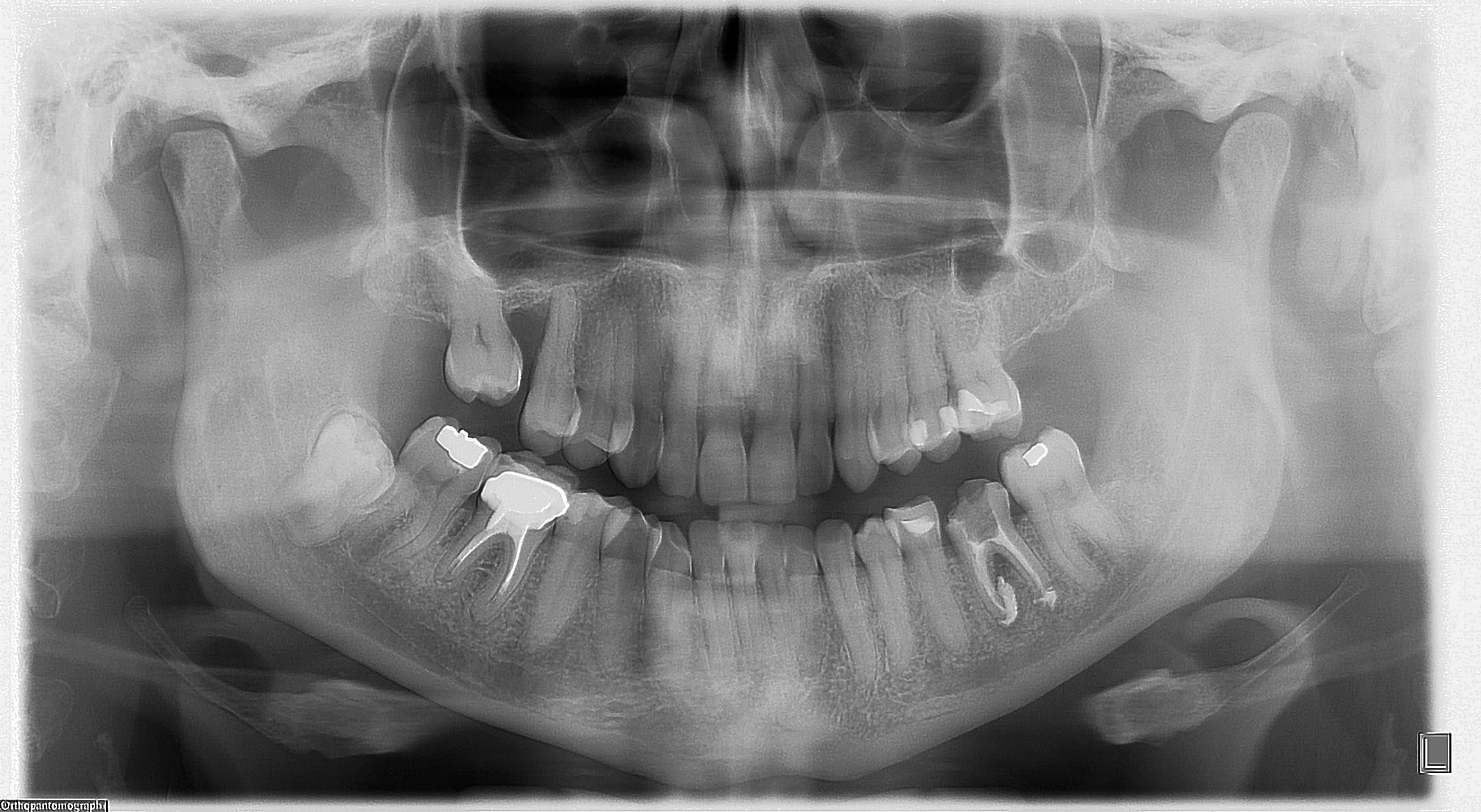
Je fais parvenir les radios panoramiques .
j'ai appelé la patiente hier, tout va bien ,plus de douleurs,tout va bien.
J'espère juste pouvoir obturer en avril...

Martins dominique 10112018 135411 jb6fal - Eugenol
Martins dominique 16032019 124921 qu86ap - Eugenol

Aiguille cyboyt - Eugenol
fatboy

23/03/2019 à 03h52

Ah quand meme! il y avait une promo sur le caoh? genre, en pot de 50 litres avec un masque et des gants en soie en cadeaux?


6szjws718sv1jksw54v4mpj3a6cu - Eugenol
vulpi

23/03/2019 à 07h15

Nan mais tu peux pas comprendre...
En revanche les apex semblent grands ouverts...


Hok 1b hgd3rj - Eugenol
Hokusai

23/03/2019 à 08h19

Dans tout ça ce qui me dérange le plus c est la distribution d antibio façon Haribo, sans respect des recommandations et la pano post opératoire...


6szjws718sv1jksw54v4mpj3a6cu - Eugenol
vulpi

23/03/2019 à 08h27

Nan mais tu peux pas comprendre...:-)


Avatar transparent iqadnc - Eugenol
adhoc

23/03/2019 à 09h53

>Dans tout ça ce qui me dérange le plus c est la distribution d antibio façon Haribo, sans respect des recommandations et la pano post opératoire...<

quand tu fais un depassement sur une de ces dents, tu n'as jamais la trouille d'une atteinte du canal mdbulaire par le produit d'obturation?
Laisse ta has a laquelle tu te referes tout le temps. Situation clinique exceptionnelle, radio exceptionnelle.
Ces gonzes de la has sont tres bons dans la théorie, mais pendant qu'ils enseignent et écrivent des articles et recoivent des médailles et font des conferences et participent a la ccam, ILS NE BOSSENT PAS. Donc ils font moins d'heures que toi et moi, donc ils ont moins d'experience clinique.
On ne peut pas etre au four et au moulin.
Et une pano ici est totalement justifiée. L'irradiation d'une pano c'est deux retroalveloaitres et demi, alors le rayonnement , hein, dis, hein, c'est que dalle devant ceux et celles qui mitraillent en retro....


12